Displasia de válvula tricúspidea: reporte de un caso clínico
Resumen breve
Paciente canino, raza Labrador Retriever, de cuatro años y dos meses de edad con intolerancia al ejercicio, letargia y taquipnea. Se determina un diagnóstico de displasia de la válvula tricúspide. El tratamiento ambulatorio instaurado fue con pimobendan, furosemida y diltiazem. El animal mostró una mejoría clínica progresiva en la que la taquipnea y la intolerancia al ejercicio se redujeron.Índice de contenidos
Historia clínica
Dozer acude a la consulta veterinaria. Es un paciente canino, raza Labrador Retriever, de cuatro años y dos meses de edad. No está castrado y tiene el plan vacunal y las desparasitaciones al día. No convive con más animales. El motivo de la consulta es porque los tutores refieren intolerancia al ejercicio, letargia y taquipnea.
Exploración física
Durante el examen clínico, Dozer se mostraba tranquilo pero alerta. Su índice de condición corporal era de normopeso, con 5/9. Se observaron membranas mucosas de tono grisáceo. Además, durante la auscultación se apreciaron ruidos cardíacos apagados. Su frecuencia cardíaca oscilaba entre 120 y 240 latidos por minuto, siendo muy variable durante la auscultación, con un ritmo irregularmente irregular. La calidad del pulso periférico era ligeramente débil y había déficits de pulso. La frecuencia respiratoria fue de 32 respiraciones por minuto, con un esfuerzo inspiratorio ligeramente aumentado. No presentaba fiebre, teniendo una temperatura rectal de 36.0 °C.
Plan diagnóstico
Basándose en la anamnesis y el examen físico, se decide realizar pruebas de diagnóstico por imagen (radiografías torácicas y ecocardiografía), electrocardiograma y analítica sanguínea completa.
Pruebas diagnósticas
Hemograma
La serie roja no mostró ninguna alteración, mientras que la serie blanca únicamente mostró una leve leucocitosis con neutrofilia (leucocitos: 17.41 K/µl (5.05-16.76), neutrófilos: 13.06 K/µl (2.95-11.64 K/µl). El recuento plaquetario se encontraba dentro de los rangos de referencia.
Bioquímica
Los resultados de la analítica fueron todos dentro de los rangos de referencia para perros sanos, excepto la fosfatasa alcalina y los ácidos biliares, que estaban elevados (fosfatasa alcalina: 306 UI/l (0-150), ácidos biliares: 29.8 µmol/l (0.0-20.0).
A su vez se extrae muestra del líquido ascítico para su posterior análisis (Tabla 1).
| Parámetro | Resultado |
|---|---|
| Eritrocitos TNCC (recuento total de células nucleadas) % GRANS (granulocitos) % AGRANS (agranulocitos) GRANS (valor absoluto) AGRANS (valor absoluto) Proteínas totales Aspecto macroscópico Gravedad específica | 0.00 M/μl 0.35 K/μl 0.0 % 0.0 % 0.00 K/μl 0.00 K/μl Entre 2.5 y 3.5 g/dl Claro, aunque ligeramente turbio usualmente <1.018 |
| Clasificación del líquido | Trasudado |
Tabla 1. Análisis del líquido ascítico extraído del paciente.
Radiografías torácicas
Se obtienen imágenes radiológicas del tórax en proyección laterolateral izquierda y derecha tras sedación ligera con butorfanol/midazolam vía endovenosa. En ambas proyecciones se observa una importante cardiomegalia generalizada, con un índice cardiaco vertebral igual a 16 (10.22 ± 0.20). Además, se aprecia una marcada elevación traqueal y compresión de la carina traqueal acompañado de elevación traqueal (Figura 1A-B). Estos hallazgos son compatibles con cardiomegalia o presencia de derrame pericárdico.

Figura 1. Radiografías de tórax del paciente en su proyección (A) laterolateral izquierda y (B) derecha, en las que se aprecia evidencia cardiomegalia.

Electrocardiograma
Durante el estudio electrocardiográfico se detecta taquicardia supraventricular con una frecuencia cardíaca de entre 140-160 latidos por minuto, así como ausencia de ondas P, acompañado de un ritmo irregularmente irregular, siendo sugerente de fibrilación atrial (Figura 2). Además, hay presencia de ondas R con morfología mellada (notched), lo cual probablemente está relacionado con un defecto de conducción interventricular; otras posibles causas podrían incluir la presencia de una vía accesoria.

Figura 2. Trazado electrocardiográfico del paciente, en el que se aprecian las alteraciones electrocardiográficas descritas.
Ecocardiografía
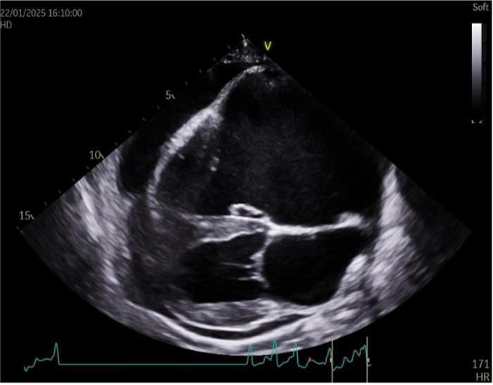
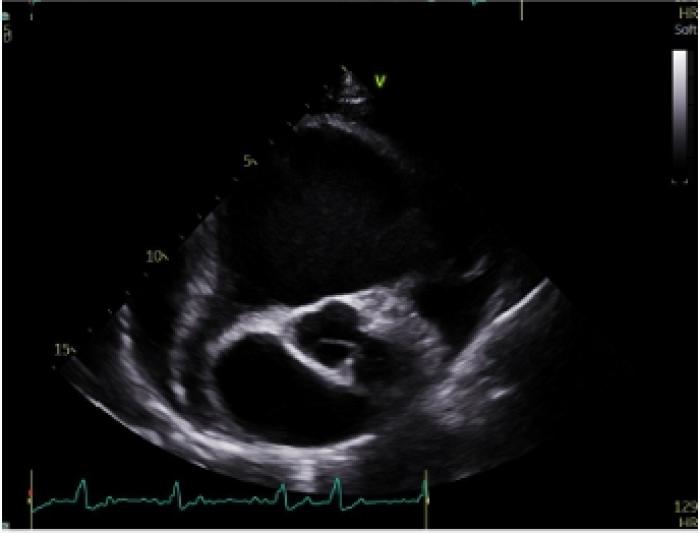
El examen ecocardiográfico muestra dilatación muy marcada del corazón derecho, con aplanamiento de los septos interauricular e interventricular. Además, el corazón izquierdo se muestra comprimido debido al agrandamiento del corazón derecho (Figura 3A-B). Durante el examen, se detecta displasia de la válvula tricúspidea, con una velocidad de regurgitación tricúspidea (RT) de 3.2 m/s (referencia <3 m/s), y mostrando la válvula una morfología engrosada y retraída. Además, la válvula mitral presentaba un engrosamiento leve.

Figura 3. (A) Corte paraesternal derecho de cuatro cámaras en el que se aprecia la dilatación marcada de las cámaras cardíacas derechas y la presencia de derrame pericárdico. (B) Eje corte por a nivel de base cardíaca, este corte se realiza por ventana paraesternal derecha con un eje transversal. En esta imagen se puede apreciar la dilatación marcada de la aurícula derecha.

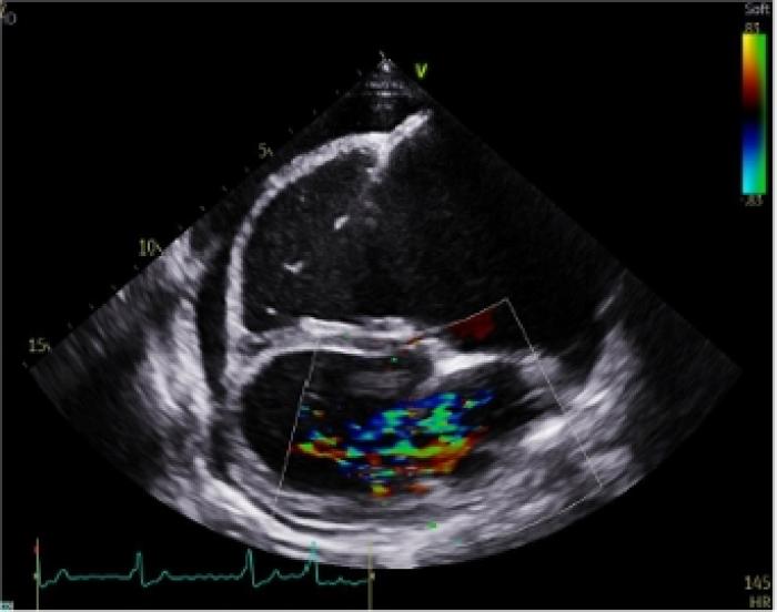
En el examen por Doppler color, se detecta flujo turbulento severo a nivel de la válvula tricúspide (Figura 4A) y moderado en la válvula mitral. A nivel de la válvula pulmonar se detecta una leve insuficiencia, aunque muestra una apariencia normal. Las velocidades aórticas se encuentran por encima del límite normal, con un valor de 2.23 m/s (referencia: <2 m/s). La función sistólica se encuentra disminuida, con una fracción de acortamiento (FA) del 13.77 % (referencia: 28-45 %) y una fracción de eyección (FE) del 29.34 % (referencia: 40-75 %) (Figura 4B).
Durante el examen también se detecta la presencia de derrame pericárdico leve (ver Figuras 3A-B y 4A-B) sin evidencia de taponamiento cardíaco. El ECG durante el estudio ecocardiográfico confirma la presencia de fibrilación atrial.

Figura 4. (A) Examen con Doppler Color de la válvula mitral en un corte paraesternal derecho de cuatro cámaras en el que se aprecia la regurgitación mitral. (B) Modo M a nivel de los ventrículos mediante eje corto por ventana paraesternal derecha.

Resumen de los hallazgos ecocardiográficos:
- Displasia de la válvula tricúspide.
- Fibrilación auricular.
- Derrame pericárdico.
Diagnóstico
Tras las pruebas realizadas, se determina un diagnóstico de displasia de la válvula tricúspide, siendo causa de las alteraciones cardíacas detectadas como la fibrilación atrial, derrame pericárdico, edema pulmonar y de los signos clínicos asociados.
La displasia de válvula tricúspidea es una malformación congénita poco común en pequeños animales, suponiendo aproximadamente el 3 % de las malformaciones congénitas en perros. Es más común en perros de razas grandes como en Labrador retriever, Bulldog inglés o el Golden retriever, entre otras. Existe una fuerte asociación hereditaria en el caso del Labrador retriever y en los Dogos de Burdeos. La endocardiosis mitral asociada a la displasia tricúspidea es una condición poco frecuente.
A nivel fisiopatológico la displasia de la válvula tricúspide en perros abarca un espectro de malformaciones congénitas del aparato de la válvula tricúspide, que incluyen engrosamiento focal o difuso de las valvas, subdesarrollo o falta de diferenciación de las cuerdas tendinosas y músculos papilares, separación incompleta de los componentes valvulares de la pared ventricular y agenesia focal del tejido valvular, lo que resulta en insuficiencia valvular o, raramente, estenosis. La anomalía más comúnmente observada se debe a la inserción directa del músculo papilar a la valva parietal añadido a una sujeción severa de la valva septal al tabique interventricular mediante unas cuerdas tendinosas demasiado cortas. Esta situación produce una restricción del movimiento de las valvas desencadenando insuficiencia tricúspidea. En los casos graves, la dilatación del anillo de la válvula tricúspide y dilatación de las cámaras cardíacas derechas empeora la insuficiencia. Con menor frecuencia, puede haber fusión comisural de las valvas, añadiendo un componente de estenosis tricuspídea. También se ha descrito una malformación tipo Ebstein, caracterizada por un desplazamiento apical en distintos grados de una o ambas valvas tricuspídeas. Se trata de que las valvas (septas y/o mural) se insertan inferiormente a su localización habitual dentro del ventrículo derecho, en lugar de insertarse a nivel del plano del anillo atrioventricular. Esto provoca que una porción del ventrículo derecho funcione como si fuera parte de la aurícula derecha; fenómeno conocido como atrialización del ventrículo derecho.
Tratamiento
Las opciones de tratamiento para la displasia de la válvula tricúspide en perros consisten típicamente en terapia médica para la insuficiencia cardíaca derecha, si bien también existe la opción quirúrgica mediante la reparación de la válvula tricúspide, conduciendo a una mejora significativa en la función valvular y reduciendo los síntomas de insuficiencia cardíaca.
Sutherland y colaboradores (2020) describen una técnica quirúrgica de reparación de la válvula tricúspide en un caso de Labrador retriever de 1.5 años que presentó displasia tricúspide severa. Tras la resolución quirúrgica se consiguió una disminución del 93 % del orificio regurgitante y reducción de las dimensiones de las cámaras cardíacas derechas. Cuarenta y ocho meses después de la cirugía, el paciente estaba libre de signos clínicos, no presentaba soplo cardíaco y no recibía medicación cardíaca. Otra técnica quirúrgica descrita se basa en el reemplazo de la válvula tricúspidea mediante la utilización de bioprótesis de origen bovino y porcino, aunque los autores notifican un alto riesgo de complicaciones y pronóstico menos favorable.
En la actualidad, el manejo clínico sigue siendo la principal opción en perros con displasia leve y moderada, o en aquellos casos en los que la cirugía no es factible.
Tras ofrecer la solución quirúrgica a los tutores de Dozer, estos finalmente optaron por un tratamiento médico, por lo que se instauró un tratamiento mediante la administración oral de pimobendan (0.25 mg/kg/12 horas), furosemida (2 mg/kg/12 horas) y diltiazem (2 mg/kg/8 horas).
Evolución y seguimiento
Tras instaurar el tratamiento, Dozer fue reevaluado a las 48 horas y una semana después recibió el alta hospitalaria. El tratamiento ambulatorio instaurado fue con pimobendan, furosemida y diltiazem. El animal mostró una mejoría clínica progresiva en la que la taquipnea y la intolerancia al ejercicio se redujeron. A su vez, los tutores refirieron que el perro mostró menor intolerancia al ejercicio y presentó mayor apetito. Durante las exploraciones físicas de control, la frecuencia cardíaca disminuyó por debajo de 120 lpm, con una mejoría de la perfusión periférica, siendo el pulso femoral más sincrónico y fuerte.
El tratamiento se continuó sin modificaciones, estableciéndose revisiones mensuales y controles ecocardiográficos trimestrales.
Pronóstico
Dado que la displasia de válvula tricúspide abarca una variedad de anomalías y grados de severidad, la insuficiencia valvular es variable, si bien la enfermedad grave puede desencadenar una insuficiencia cardíaca congestiva derecha tanto en perros jóvenes como adultos. La insuficiencia cardíaca congestiva derecha suele desarrollarse dentro de los primeros 3 años de vida en los casos graves. Algunos autores sugieren que una vez que la insuficiencia cardíaca se vuelve refractaria al tratamiento médico, la media de supervivencia es de 180 días tras su inicio.
La evaluación del pronóstico sigue siendo un desafío ya que, según el conocimiento de las autoras, no se han determinado los factores de riesgo para la progresión de la enfermedad y la mortalidad. Pero, en general, el pronóstico para perros con displasia tricúspide es reservado y depende de la gravedad de la malformación y los síntomas que presente el animal. En casos leves, los perros pueden llevar una vida relativamente normal, pero en casos más graves, la displasia tricúspide puede causar insuficiencia cardíaca y reducir la esperanza de vida a unos pocos años.
Bibliografía
- Adin, D. 2014. Tricuspid valve dysplasia. In Kirk’s Current Veterinary Therapy, Eds., Bonagura, J.D. and Twedt, D.C. Saint Louis, MI: W.B. Saunders, pp: e332-e335.
- Bodh D, Hoque M, Saxena AC, Gugjoo MB, Bist D, Chaudhary JK. Vertebral scale system to measure heart size in thoracic radiographs of Indian Spitz, Labrador retriever and Mongrel dogs. Vet World. 2016 Apr;9(4):371-6. doi: 10.14202/vetworld.2016.371-376. Epub 2016 Apr 14. PMID: 27182132; PMCID: PMC4864478.
- Bristow P, Sargent J, Luis Fuentes V, Brockman D. Outcome of bioprosthetic valve replacement in dogs with tricuspid valve dysplasia. J Small Anim Pract. 2017 Apr;58(4):205-210. doi: 10.1111/jsap.12630. PMID: 28276122.
- Choi, R., Lee, S.K., Moon, H.S., Park, I.C. and Hyun, C. 2009. Ebstein’s anomaly with an atrial septal defect in a jindo dog. Can. Vet. J. 50, 405-410.
- Famula, T.R., Siemens, L.M., Davidson, A.P. and Packard, M. 2002. Evaluation of the genetic basis of tricuspid valve dysplasia in Labrador Retrievers. Am. J. Vet. Res. 63, 816-820.
- Lake-Bakaar, G.A., Griffiths, L.G. and Kittleson, M.D. 2017. Balloon Valvuloplasty of Tricuspid Stenosis: A Retrospective Study of 5 Labrador Retriever Dogs. J. Vet. Intern. Med. 31, 311-315.
- Ohad, D.G., Avrahami, A., Waner, T. and David, L. 2013. The occurrence and suspected mode of inheritance of congenital subaortic stenosis and tricuspid valve dysplasia in Dogue de Bordeaux dogs. Vet. J. 197, 351-357.
- Sutherland BJ, Pierce KV, Heffner GG, Scansen BA, Miller MW, Grey P, Orton EC. Surgical repair for canine tricuspid valve dysplasia: Technique and case report. J Vet Cardiol. 2021 Feb;33:34-42. doi: 10.1016/j.jvc.2020.11.001. Epub 2020 Nov 10. PMID: 33279771.
- Navarro-Cubas X, Palermo V, French A, Sanchis-Mora S, Culshaw G. Tricuspid valve dysplasia: A retrospective study of clinical features and outcome in dogs in the UK. Open Vet J. 2017;7(4):349-359. doi: 10.4314/ovj.v7i4.11. Epub 2017 Dec 9. PMID: 29296595; PMCID: PMC5738889.
- Wright, K.N., Bleas, M.E. and Benson, D.W. 2001. Clinical spectrum of congenital tricuspid valve malformation in an extended family of Labrador retrievers. J. Vet. Intern. Med. 15, 280.