Evolución de la insuficiencia cardíaca congestiva en un paciente tras intervención de V-Clamp (Cirugía mitral transaplical)
Resumen breve
En la presente investigación se pretendió investigar la evolución en los criterios de insuficiencia cardíaca congestiva, basados en parámetros ecocardiográficos y clínicos, posteriormente a la intervención de cirugía, transapical edge to edge, con el dispositivo V-Clamp para el tratamiento de la degeneración mixomatosa de la válvula mitral en un paciente canino. Para ello, se aplicaron medidas ecocardiográficas que permitieron la valoración de la insuficiencia mitral basados en el Mitral…Índice de contenidos
Resumen
En la presente investigación se pretendió investigar la evolución en los criterios de insuficiencia cardíaca congestiva, basados en parámetros ecocardiográficos y clínicos, posteriormente a la intervención de cirugía, transapical edge to edge, con el dispositivo V-Clamp para el tratamiento de la degeneración mixomatosa de la válvula mitral en un paciente canino. Para ello, se aplicaron medidas ecocardiográficas que permitieron la valoración de la insuficiencia mitral basados en el Mitral Insufficiency Echocardiographic Score (MINE score)1, y en los criterios del consenso internacional del Colegio Americano de Medicina Interna Veterinaria (ACVIM)2. Los resultados mostraron una satisfactoria mejoría de todos los parámetros evaluados, correspondiendo con un pronóstico más favorable para la evolución de la patología en el paciente analizado.
Introducción
La degeneración mixomatosa de la válvula mitral (MMVD) es una patología degenerativa de elevada incidencia en la población canina. Diversas investigaciones han reportado una incidencia de hasta el 75 %, siendo más prevalente en perros de menos de 20 kg, y con una predisposición de 1,5 veces más frecuente en machos que en hembras. Esta afección afecta principalmente a la válvula auriculoventricular izquierda, produciendo una regurgitación de la válvula mitral (RM) durante la sístole. En fases avanzadas esta patología produce signos cardiorrespiratorios severos y puede ocasionar la muerte debido a un fallo cardíaco congestivo (FCC)1,2.
La técnica edge to edge, es un procedimiento mínimamente invasivo de cirugía cardíaca, previamente descrito para el tratamiento de la degeneración valvular en medicina humana. Este método surge como una modificación de la técnica de Alfieri3 y consiste en reducir la RM mediante la corrección del aparato valvular mitral lesionado mediante la implantación de un dispositivo especialmente diseñado. El propósito de la técnica es conseguir la coaptación del orificio regurgitarte en el segmento 2 (central) del aparato mitral (según la modificación anatómica de Carpentier), es decir, obliterar la insuficiencia originada a través del segmento central del aparato mitral, permitiendo la apertura natural de la válvula en los segmentos laterales 1 y 3 (medial y lateral).
Esta intervención en medicina humana ha demostrado resultados similares a la intervención quirúrgica convencional (EVEREST II)4, con un seguimiento favorable en el tiempo, con reducción del grado de insuficiencia cardíaca congestiva según la clasificación de la New York Heart Association (NYHA)5 y ausencia de pérdida de integridad del dispositivo aplicado en el seguimiento a dos años de los pacientes intervenidos. Por lo que se ha implementado como una opción segura para la intervención mitral en humanos.
En medicina veterinaria se han descrito diversas técnicas quirúrgicas para el tratamiento de la MMVD, sin embargo, existen serias limitaciones para su implementación, debido principalmente a las complicaciones cardiovasculares consecuentes a procedimientos de cirugía abierta, unido al alto costo económico y ausencia de equipos médicos altamente especializados para su realización. Por ello, recientemente se ha desarrollado el dispositivo “V-Clamp” para poder aplicar la técnica transapical edge to edge en perros con MMVD ofreciendo una alternativa terapéutica quirúrgica6.
En el presente caso clínico, se muestra la evolución de un paciente canino de 7 años de edad, con MMVD en fase C (ACVIM 2019) y su evolución post quirúrgica a través del análisis de diversos parámetros ecocardiográficos.
Descripción de caso clínico
Se presenta en consulta un paciente previamente diagnosticado de MMVD en fase C (ACVIM 2019). El paciente es un macho de raza mestiza, esterilizado, de 7 años de edad y 5 kg de peso. Tiene historial de hospitalización reciente por edema pulmonar en otro centro veterinario, y recibía medicación consistente en furosemida (4 mg/kg TID), pimobendán (0.25 mg/kg BID), espironolactona (2 mg/kg BID) y benazeprilo (0.25 mg/kg BID).
Se realizó un examen ecocardiográfico completo confirmando la presencia de fase C del consenso del ACVIM de MMVD. En la Tabla 1 se muestran los parámetros empleados para determinar la clasificación MINE (1-14)1, según esta clasificación de pronóstico el paciente cumple 10 puntos, encontrándose en una fase severa.
Tabla 1. Parámetros ecocardiográficos analizados en el paciente sometido a cirugía de degeneración mixomatosa de la válvula mitral. Ai: aurícula izquierda; LVIDn: diámetro interno del ventrículo izquierdo en diástole; FA: fracción de acortamiento del ventrículo izquierdo; MINE: Mitral Insufficiency Echocardiographic Score.
| Parámetro ecocardiográfico | Pre-cirugía | Post cirugía | Revisión a los 7 días |
|---|---|---|---|
| Ratio Ai:Ao (Aurícula izquierda / Aorta) | 2.1 | 1.88 | 1.5 |
| LVIDn (cm) (Diámetro interno del ventrículo izquierdo en diástole) | 2.1 | 1.9 | 1.8 |
| Flujo transmitral pico E (m/s) | 1.4 | 1.3 | 1.0 |
| FA (%) (Fracción de acortamiento del ventrículo izquierdo) | 50 | 45 | 42 |
| Score MINE (1–14) (Mitral Insufficiency Echocardiographic Score)1 | 10 | 8 | 5 |
Cumpliendo con los criterios generales para intervención quirúrgica de MMVD (edad, fase y peso) se procedió a realizar una ecocardiografía transesofágica para la medición y valoración de la ultraestructura anatómica valvular. De esta prueba cabe destacar una serie de medidas de importancia quirúrgica mostradas en la Tabla 2.
Tabla 2. Determinaciones realizadas mediante ecocardiografía transesofágica para la medición y valoración de la ultraestructura anatómica valvular mitral.
| Parámetro | Valor |
|---|---|
| Medida de anillo mitral ANTERO-POSTERIOR (Sístole) | 16 mm |
| Medida de anillo mitral ANTERO-POSTERIOR (Diástole) | 19 mm |
| Medida de NO Coaptación valvular | 1.8 mm |
| Longitud de valva septal | 10 mm |
| Longitud de valva parietal | 7.5 mm |
| Medida del grosor de las válvulas | > 1 mm |
| Posición de la regurgitación mitral | Jet posterior central en zona 2 |
| Estado de las válvulas | Leve prolapso de segmento anterior |
Una vez confirmado que el paciente cumplía los criterios de intervención y no existían alteraciones en las pruebas prequirúrgicas previas (hemograma, perfil bioquímico completo, electrolitos, coagulación), ni evidenciando alteraciones rítmicas en estudio electrocardiográfico de 5 min y 6 derivaciones, se programó la intervención quirúrgica transapical edge to edge.
El procedimiento quirúrgico se realizó bajo anestesia general y con guía ecocardiográfica transesofágica tridimensional (TEE-3D). Se llevó a cabo mediante exposición del ápex cardíaco mediante una mínima toracotomía izquierda en el séptimo espacio intercostal. Seguidamente se realizó pericardiectomía con exposición de saco pericárdico y epicardio para crear un segundo campo quirúrgico mediante tracción cardíaca. Posteriormente, tras localizar el lugar de punción a nivel del ápex cardíaco mediante visualización directa y ecocardiográfica en 3D, se colocaron dos suturas en la zona del ápex con refuerzo de tejido Goretex y colágeno bovino (Figura 1).

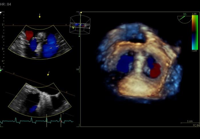
Se realizó la punción transapical ecoguiada y posterior intercambio a introductor de 14 French. Se introdujo un catéter introductor vascular de 6Fr que permitió colocar un dispositivo de nitinol con el extremo distal de forma esférica para poder avanzar el catéter de 14Fr hasta el atrio izquierdo. Se retiró el catéter guía y el catéter de 6Fr y se introdujo el dispositivo V-Clamp con su primera apertura en posición atrial y segunda en posición ventricular. Tras confirmación mediante TEE-3D y estudio Doppler color de la correcta posición de dispositivo en la zona central de la válvula mitral, se procedió al cierre, toma de medidas de seguridad pre-liberación y liberación del mismo. Finalmente, una vez liberado el dispositivo se confirmó la correcta posición, con una reducción intraquirúrgica de la RM de 78 %, calculada en base al porcentaje del volumen regurgitante en el atrio izquierdo (Figura 2).

Se concluyó la intervención con cierre de la apertura ventricular, colocación de tubo de drenaje pleural y cierre por planos de la intervención quirúrgica. El paciente fue hospitalizado, donde la radiografía post quirúrgica inmediata mostró correcta posición del dispositivo. A las 8 horas post-intervención el paciente se mostró activo, con interés por comer, y sin presencia de alteraciones en presión arterial, frecuencia cardíaca, frecuencia respiratoria y temperatura. Se observó en el electrocardiograma de superficie la presencia de ectopias ventriculares y ritmo idioventricular acelerado de forma paroxística y autolimitarte, que se resolvió espontáneamente sin empleo de tratamiento antiarrítmico.
En la Tabla 1 se muestran las medidas ecocardiográficas obtenidas a las 48 horas post-intervención y previa al alta del paciente. Con esos valores el paciente evolucionó a un índice MINE de 8 puntos, persistiendo una gravedad severa. Debido a la reducción del tamaño atrial se optó por modificar la terapia diurética. De esta manera, el paciente fue dado de alta hospitalaria con la siguiente medicación: Furosemida 2mg/kg BID, Pimobendán 0.25mg/kg BID; Benazeprilo 0.25mg/kg BID, Cefalexina 20mg/kg BID, Meloxicam 0.1mg/kg SIB, Omeprazol 1mg/kg SIB previa a la comida y resto de medicación.
A la semana de intervención el paciente se presentó en consulta para revisión de ecocardiografía y los parámetros obtenidos mostraron una mejoría de la clasificación ACVIM pasando a fase B2, con un índice MINE de 5 puntos, mejorando a un grado leve (ver Tabla 1). En ese momento el tutor comentó que presentaba un estado general correcto, había presentado vómitos aislados y tenía un ligero seroma en el área de intervención. Se realizó hemograma el cual mostró una leve leucocitosis y el análisis bioquímico descartó aumento en los valores de urea y creatinina. El estudio radiográfico en ese momento evidenció reducción significativa del atrio izquierdo, con ausencia de signos compatibles con congestión pulmonar (Figura 3). En consecuencia, se optó por modificación del tratamiento ambulatorio y reducción de la dosis de Furosemida (1mg/kg BID) y continuar con misma dosis de Pimobendán (0.25mg/kg BID) de manera crónica hasta la siguiente visita al cabo de un mes.

Conclusiones
Si bien se trata de un caso aislado, la ausencia de estudios y publicaciones sobre el seguimiento de los pacientes intervenidos de cirugía mitral con técnica “transapical edge to edge (V-Clamp)” hacen que el caso reportado tenga interés relevante a nivel clínico.
La técnica quirúrgica realizada se ha mostrado segura y eficaz7. Además, ha mostrado un tiempo de intervención y hospitalización menor que los descritos mediante otras técnicas abiertas de cirugía abierta.
La mejoría en los parámetros ecocardiográficos se ha observado incluso con una reducción significativa en la dosis de diuréticos. El hallazgo más destacado ha sido la disminución del tamaño atrial, dado que este parámetro es altamente sensible a la reducción del tamaño del orificio regurgitante. Además, la reducción de la fracción de acortamiento posterior a la intervención podría reflejar una normalización de la función sistólica, como consecuencia de la disminución de la precarga ventricular tras la corrección de la regurgitación mitral. A nivel de flujo transmitral la mejoría no es tan evidente y cabe destacar que su medida es más compleja debido al cambio de conformación anatómica de la apertura mitral tras la intervención (con un doble orificio de paso), por lo que esta determinación puede ser compleja en los pacientes tras su intervención.
Los pacientes con intervención similar con técnica abierta (Alfieri, hemianuloplastia, reparación de cuerdas tendinosas) muestran una evolución similar según los casos publicados con respecto al paciente presentado en este reporte individual. Al tratarse de dos técnicas quirúrgicas con misma principios fisiopatológicos (reducción de la RM) se espera que la evolución de los pacientes intervenidos con la técnica V-Clamp sea similar a la que se intervienen con técnicas abiertas, pero se requieren más estudios tanto de una como de otra técnica, con poblaciones mayores y comparación entre grupos con las diferentes intervenciones quirúrgicas.
Bibliografía
- Vezzosi T, Grosso G, Tognetti R, Meucci V, Patata V, Marchesotti F, Domenech O. The Mitral INsufficiency Echocardiographic Score: A Severity Classification of Myxomatous Mitral Valve Disease in Dogs. J Vet Intern Med, 2021, Estados Unidos.
- Keene BW, Atkins CE, Bonagura JD, Fox PR, Häggström J, Fuentes VL, Oyama MA, Rush JE, Stepien R, Uechi M. ACVIM Consensus Guidelines for the Diagnosis and Treatment of Myxomatous Mitral Valve Disease in Dogs. J Vet Intern Med, 2019, Estados Unidos.
- Alfieri O, Maisano F, De Bonis M, Stefano P, Torracca L, Oppizzi M, et al. The Double-Orifice Technique in Mitral Valve Repair: A Simple Solution for Complex Problems. J Thorac Cardiovasc Surg, 2001, Estados Unidos.
- Mauri L, Garg P, Massaro JM, Bates ER, Collins MB, Foster E, et al. The EVEREST II Trial: Design and Rationale for a Randomized Study of the Evalve MitraClip System Compared with Mitral Valve Surgery for Mitral Regurgitation. Am Heart J, 2010, Estados Unidos.
- Giustino G, Lindenfeld J, Abraham WT, Kar S, Lim DS, Grayburn PA, et al. NYHA Functional Classification and Outcomes After Transcatheter Mitral Valve Repair in Heart Failure: The COAPT Trial. JACC Cardiovasc Interv, 2020, Estados Unidos.
- Liu B, Leach SB, Pan W, Zheng F, Jia L, Zhou X, Li J. Preliminary Outcome of a Novel Edge-to-Edge Closure Device to Manage Mitral Regurgitation in Dogs. Front Vet Sci, 2020, China.
- Potter BM, Orton EC, Chi I-J, Scansen B, Abbott-Johnson K, Visser L, Shaub E. Feasibility Clinical Study of Transcatheter Edge-to-Edge Repair in Dogs with the Canine Mitral V-Clamp Device. ACVIM Forum Research Report Program, 2024, Estados Unidos.