Propuesta de adaptación de la clasificación de la insuficiencia mitral de Carpentier ampliada de medicina humana a veterinaria
Resumen breve
En cardiología humana se clasifican las regurgitaciones mitrales según la clasificación de Carpentier aumentada, tratándose de una clasificación basada en características subjetivas de las valvas. En cardiología veterinaria todavía no se había adaptado esta clasificación. En este artículo se propone una adaptación de la clasificación de Carpentier aumentada para cardiología veterinaria basada no solo en parámetros subjetivos como el tipo de regurgitación o el movimiento de las valvas…Índice de contenidos
Resumen
En cardiología humana se clasifican las regurgitaciones mitrales según la clasificación de Carpentier aumentada, tratándose de una clasificación basada en características subjetivas de las valvas. En cardiología veterinaria todavía no se había adaptado esta clasificación. En este artículo se propone una adaptación de la clasificación de Carpentier aumentada para cardiología veterinaria basada no solo en parámetros subjetivos como el tipo de regurgitación o el movimiento de las valvas mitrales, sino mediante el uso de mediciones ecocardiográficas ya publicadas. Para ello se ha evaluado la clasificación en 50 pacientes caninos y 20 pacientes felinos con regurgitación mitral secundaria a diferentes patologías cardíacas o extracardíacas. El objetivo de esta clasificación es poder subclasificar a algunos pacientes de cara a su valoración como candidatos para procedimiento quirúrgicos o intervencionistas avanzados, o ayudar a realizar una clasificación más detallada de los casos con regurgitación mitral y poder valorar tanto pronóstico como supervivencia a largo plazo.
Introducción
En medicina humana para el estudio de la regurgitación mitral disponemos de la clasificación de Carpentier ampliada (Tabla1).

Se basa principalmente en la posición de los velos mitrales respecto al anillo valvular y en el movimiento de apertura o cierre de la válvula. En esta clasificación se crearon 3 tipos: tipo I en el que el movimiento y posición de las valvas es normal y donde se incluyen alteraciones como la perforación o fisuras de las valvas mitrales, tipo II en el que existe un exceso de movimiento de las valvas, es decir, hay un prolapso de las valvas mayor de 2mm desde el punto de coaptación normal durante la sístole, como por ejemplo en la degeneración mixomatosa de la válvula mitral, tipo III donde las valvas presentan una restricción del movimiento, pudiendo subdividirlo en tipo IIIa donde existe restricción del movimiento de las valvas durante la sístole y diástole, como en la endocarditis mitral, y el tipo IIIb donde solo existe esta restricción durante la diástole como en la cardiomiopatía dilatada no isquémica1.
Posteriormente se añadieron otros 2 tipos: tipo IVa y b que se refiere a la insuficiencia mitral secundaria al movimiento sistólico anterior de la valva mitral, ya sea de origen primario o secundario respectivamente, tipo IVc que es la regurgitación mitral inducida hemodinamicamente como, por ejemplo, en pacientes hipovolémicos, con anemia o hipertermia, y el tipo V donde se incluyen aquellas insuficiencias mitrales que cumplen criterios de varios grupos y por tanto no pueden ser incluidas únicamente en uno de ellos1.
Objetivos
Esta clasificación no ha sido adaptada a cardiología veterinaria. El objetivo de este estudio es adaptar esta clasificación de Carpentier ampliada a la cardiología veterinaria, principalmente para las especies canina y felina, utilizando mediciones de la válvula mitral ya estudiadas y publicadas con anterioridad: leaflet-annulus indexx2, área mitral, diámetro anteroposterior y transversal del anillo mitral3 y longitud, grosor y área de las valvas mitrales4-7.
Material y métodos
Para este estudio se han adaptado los grupos de la clasificación de Carpentier de medicina humana1para la regurgitación mitral en base a índices y mediciones ecocardiográficas de la válvula mitral ya publicados con anterioridad2-7(Tabla2).

Se han incluido de forma retrospectiva estudios ecocardiográficos de 50 perros y 20 gatos con regurgitación mitral secundaria a diferentes enfermedades cardíacas y extra-cardiacas que pueden generar alteraciones hemodinámicas (por ejemplo, anemia, hipovolemia, hipertermia, etc.) clasificándolos en los diferentes tipos de la clasificación de Carpentier aumentada adaptada.
Para confirmar el diagnóstico de enfermedad crónica degenerativa mitral se utilizaron los criterios del consenso del colegio americano de medicina interna (ACVIM) para la enfermedad8. En el caso de la cardiomiopatía dilatada se utilizaron los valores publicados por Bonagura et al. en 20229, además de valores de referencia específicos de raza en caso de haber sido publicados. El diagnóstico de las diferentes cardiomiopatías felinas se realizó en base al consenso del ACVIM para las cardiomiopatías felinas10, o en publicaciones específicas de raza.
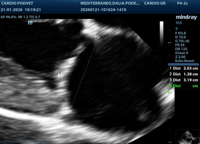
Se han utilizado medidas ecocardiográficas ya publicadas anteriormente. El leaflet-annulus indexx (LAI)es un parámetro para evaluar si existe un ensanchamiento del anillo mitral, se realiza mediante la medición de las valvas anterior (AML) y posterior mitral (PML), además del diámetro antero-posterior del anillo mitral (APL), en la vista paraesternal derecha 4 cámaras en la telesístole cardíaca (Figura 1).

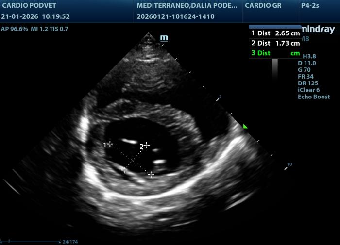
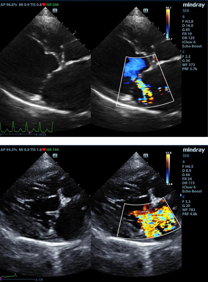
Posteriormente se obtiene este índice mediante la siguiente fórmula: LAI= AML (mm) + PML (mm)]/APL(mm). El área mitral se calcula obteniendo los diámetros de la válvula mitral (AM) en la vista paraesternal derecha transversal a la altura de la válvula mitral, con los diámetros anteroposterior (dAP) y diámetro transcversal (dT) (Figura2) y la fórmula: AM = (π x (dAP/2) x (dT/2))/100. Y por último los diámetros y áreas de las valvas mitrales medidas en la vista paraesternal derecha 4 cámaras durante la diástole (Figura3A-B).



Todas las mediciones ecocardiográficas se han realizado con un equipo Mindray M8, con sondas phase array de diferentes frecuencias (2-11 Hz) según el tamaño del paciente, todos los estudios ecocardiográficos fueron realizados por el autor. Posteriormente los pacientes se han clasificado según la enfermedad cardíaca que presentaban y, por último, se han clasificado en los diferentes grupos de la clasificación de Carpentier aumentada y adaptada.
Resultados
De los 50 pacientes caninos a 30 de ellos se les diagnosticó una enfermedad crónica y degenerativa de la válvula mitral (ECDM), a 10 de ellos se les diagnosticó una cardiomiopatía dilatada canina (CMD) y a otros 10 de ellos no se les identificaron alteraciones cardíacas en la ecocardiografía (NC) que justificaran la presencia de regurgitación mitral (Gráfico 1A).

En el caso de los 20 pacientes felinos, 14 de ellos presentaban una cardiomiopatía con fenotipo hipertrófico (CMH), 2 gatos no presentaban enfermedades cardíacas y los 4 pacientes restantes presentaba cada uno una enfermedad cardíaca diferente. Uno de ellos presentaba una displasia mitral, otro una estenosis subáortica, otro una cardiomiopatía de fenotipo dilatado y el último una cardiomiopatía de fenotipo restrictivo (Gráfico1B).

Si utilizamos la clasificación de Carpentier aumentada y adaptada, el grupo con mayor número de representantes en la especie canina es el IIc con 19 pacientes (38 % de los casos) seguido de los grupos I con 9 pacientes y IIa con 8 pacientes (18 % y 16 % de los casos respectivamente). En el caso de la especie felina el grupo con mayor representación es el IVa con 14 pacientes (70 % de los casos) repartiéndose los otros 6 pacientes en el resto de los grupos (Gráfico 2, Figura 4).


Discusión
La clasificación de Carpentier ampliada adaptada puede ser aplicada en cardiología veterinaria para un estudio más protocolizado de la regurgitación mitral. En base a los resultados de este estudio parece que la clasificación puede ser de mayor utilidad en la especie canina. Aunque se deben de tener en cuenta las debilidades de este estudio, ya que se trata de un estudio retrospectivo, no multicéntrico, con un número bajo de pacientes, principalmente de la especie felina. Por lo que este estudio se complementará en un futuro con la evaluación del pronóstico y supervivencia de los pacientes.
En este estudio se propone una subclasificación del tipo II, que no existe en la clasificación utilizada en medicina humana. Esta subdivisión del grupo II puede ser utilizada para el estudio de la anatomía de la válvula mitral tanto para una valoración previa de los pacientes que se van a someter a procedimientos quirúrgicos o intervencionistas de la válvula mitral como el dispositivo V-Clamp®, así como poder estudiarse para una valoración de pronóstico de las enfermedades cardíacas que cursan con regurgitación mitral como la ECDM.
Para ello se hace necesario realizar estudios complementarios tanto de mediciones que involucren a la válvula mitral, como estudios de tiempo de supervivencia dentro de los diferentes grupos o tipos de la clasificación de Carpentier.
En conclusión, este estudio presentado por el autor en el congreso de ECVIM-CA de Maastricht de 2025, representa un primer paso para establecer una clasificación más detallado y organizado de los pacientes con regurgitación mitral en cardiología veterinaria.
Bibliografía
- Rodriguez R., Ahmad T.: Anatomía de la válvula mitral. En Goldman SM., William AG.(ed): Diagnóstico y tratamiento de la valvulopatía mitral, un enfoque multidisciplinario, China, AMOLCA, 2024; 1-13.
- Isaka M, Hisada S, Araki R, Ueno H. The leaflet-annulus index in canine myxomatous mitral valve disease. Res Vet Sci. 2022;152:245-247.
- Mihara K, Kanemoto I, Sato K, Yasuhira Y, Watanabe I, Misumi K. Echocardiographic evaluation of deformity and enlargement of the canine mitral valve annulus associated with myxomatous degenerative mitral valve disease. J Vet Cardiol. 2021;37:8-17
- Wesselowski S, Borgarelli M, Menciotti G, Abbott J. Echocardiographic anatomy of the mitral valve in healthy dogs and dogs with myxomatous mitral valve disease. J Vet Cardiol. 2015;17(2):97-106.
- Menciotti G, Borgarelli M, Aherne M, et al. Mitral valve morphology assessed by three-dimensional transthoracic echocardiography in healthy dogs and dogs with myxomatous mitral valve disease. J Vet Cardiol. 2017;19(2):113-123.
- Seo J, Matos JN, Payne JR, Fuentes VL, Connolly DJ. Anterior mitral valve leaflet length in cats with hypertrophic cardiomyopathy. J Vet Cardiol. 2021;37:62-70. doi:10.1016/j.jvc.2021.09.001
- Schober K, Todd A. Echocardiographic assessment of left ventricular geometry and the mitral valve apparatus in cats with hypertrophic cardiomyopathy. J Vet Cardiol. 2010;12(1):1-16.
- Keene BW, Atkins CE, Bonagura JD, Fox PR, Häggström J, Fuentes VL, Oyama MA, Rush JE, Stepien R, Uechi M. ACVIM consensus guidelines for the diagnosis and treatment of myxomatous mitral valve disease in dogs. J Vet Intern Med. 2019 May;33(3):1127-1140.
- Bonagura JD, Visser LC. Echocardiographic assessment of dilated cardiomyopathy in dogs. J Vet Cardiol. 2022 Apr;40:15-50.
- Luis Fuentes V, Abbott J, Chetboul V, Côté E, Fox PR, Häggström J, Kittleson MD, Schober K, Stern JA. ACVIM consensus statement guidelines for the classification, diagnosis, and management of cardiomyopathies in cats. J Vet Intern Med. 2020 May;34(3):1062-1077.