Insuficiencia respiratoria aguda por compromiso de nervios frénicos e intercostales secundario a intervención quirúrgica cervical alta por hernia discal extrusiva: reporte de caso
Resumen breve
La enfermedad discal intervertebral cervical puede acarrear complicaciones potencialmente fatales, como la parálisis del centro respiratorio. Este caso ilustra la necesidad de una evaluación exhaustiva preoperatoria y una vigilancia posquirúrgica intensiva, así como de considerar las limitaciones técnicas y logísticas del entorno en el que se realiza la cirugía.Índice de contenidos
Resumen
La enfermedad discal intervertebral (EDIV) es una de las patologías neurológicas más comunes en medicina veterinaria, especialmente en razas condrodistróficas. Aunque la presentación toracolumbar es más habitual, la forma cervical puede conllevar complicaciones de mayor gravedad, entre ellas la parálisis respiratoria central. En el presente reporte se describe el caso de un paciente canino con extrusión discal C2-C3 que, tras cirugía descompresiva, desarrolló una insuficiencia respiratoria aguda. Se discuten los hallazgos clínicos, terapéuticos y el desenlace, así como las implicancias clínicas y éticas que este tipo de complicación conlleva.
Introducción
La enfermedad discal intervertebral (EDIV) representa una causa frecuente de disfunción neurológica aguda en perros. La incidencia más alta se registra en la región toracolumbar, en particular entre T11 y L1, aunque la afectación cervical también ocurre, especialmente entre C6 y C7. Esta última representa entre el 13 y el 25 % de los casos según distintas series clínicas.
Las razas condrodistróficas, como el Dachshund, Bulldog, Beagle y Shih tzu, presentan una predisposición genética significativa a desarrollar enfermedad discal, particularmente de tipo extrusiva. En el caso del Dachshund, esta predisposición es tan marcada que se estima que hasta el 70 % de los casos clínicos con EDIV pertenecen a esta raza.
La EDIV cervical puede manifestarse con dolor cervical, rigidez del cuello, ataxia tetraparética, debilidad progresiva y, en casos graves, parálisis completa de las extremidades. La evaluación neurológica permite una localización topográfica aproximada de la lesión, aunque el diagnóstico definitivo y la planificación quirúrgica requieren estudios por imágenes, siendo la resonancia magnética (RM) la técnica de elección por su capacidad para caracterizar lesiones medulares y extramedulares con alta sensibilidad.
El tratamiento quirúrgico mediante slot ventral es el abordaje más común en lesiones cervicales, especialmente en extrusiones discales. El procedimiento permite el acceso directo al canal vertebral para la remoción del material discal herniado. No obstante, la cirugía en la región cervical craneal conlleva riesgos particulares debido a la proximidad con estructuras neurovegetativas críticas, incluyendo los centros respiratorios y cardiovasculares del tronco encefálico, especialmente a nivel del bulbo raquídeo y la médula espinal alta.
La parálisis de nervios frénicos e intercostales, si bien infrecuente, representa una de las complicaciones más graves asociadas a intervenciones quirúrgicas en esta región. Esta condición puede derivar en la imposibilidad del paciente de mantener una respiración autónoma, requiriendo ventilación mecánica inmediata. El pronóstico suele ser reservado a grave, dependiendo de la magnitud de la lesión neurológica y de la disponibilidad de cuidados intensivos posoperatorios.
Reporte de caso
Se presenta a consulta un paciente canino macho, entero, de raza Dachshund, de 8 años de edad y un peso corporal de 9.4 kg, con un cuadro clínico de tetraparesia no ambulatoria. La tutora, médica veterinaria, relató un inicio insidioso del cuadro de aproximadamente una semana, manifestado inicialmente por dolor cervical, rigidez en la marcha y ataxia. Se instauró tratamiento médico con meloxicam (0.1 mg/kg/24 h VO) y reposo relativo, observándose una mejoría parcial. Sin embargo, el cuadro evolucionó en forma aguda hacia una tetraparesia severa, motivando la consulta de urgencia.
El examen clínico general reveló parámetros dentro de límites fisiológicos, sin alteraciones cardiopulmonares. En el examen neurológico, el paciente presentaba tetraparesia no ambulatoria, reflejos espinales aumentados en los miembros torácicos y pélvicos, y ausencia de propiocepción consciente. Tanto el reflejo de amenaza como la sensibilidad superficial estaban presentes bilateralmente. Se localizó la lesión a nivel de la región cervical craneal (segmentos C2-C4), compatible con una mielopatía aguda compresiva.
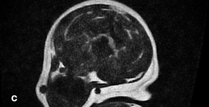
Se indicó una resonancia magnética (RM) de columna cervical bajo anestesia general. El estudio evidenció una extrusión discal a nivel C2-C3 con ocupación del 90 % del canal medular y desplazamiento dorsal de la médula espinal. Se observó hipointensidad del material discal en secuencias T2 (Figura 1A-C), y una leve señal intramedular compatible con edema. Dada la gravedad de la compresión, se indicó cirugía descompresiva urgente.

Figura 1. Resonancia magnética cervical donde se observa la severidad de la compresión medular por la extrusión discal C2-C3. (A) Corte sagital en T2. (B) Corte coronal en T2. (C) Corte axial en T2.


Para la intervención quirúrgica se inició la premedicación con dexmedetomidina (1 µg/kg IV), midazolam (0.3 mg/kg IV) y ketamina (1 mg/kg IV). La inducción anestésica se realizó con propofol (2 mg/kg IV, titulado hasta lograr una intubación adecuada), y el mantenimiento anestésico se efectuó con sevofluorano en oxígeno, complementado con remifentanilo (0.2 µg/kg/min IV) para analgesia continua. Con el objetivo de lograr una adecuada relajación muscular, se administró rocuronio (0.5 mg/kg IV).
Se procedió a realizar un slot ventral a nivel C2-C3 (Figura 2). El procedimiento transcurrió sin incidentes relevantes. La presión arterial media se mantuvo dentro de un rango aceptable, con valores entre 70 y 85 mmHg, sin descensos inferiores a 65 mmHg. La capnografía y la saturación de oxígeno se mantuvieron sin alteraciones significativas. Se registró una leve bradicardia durante el abordaje quirúrgico, sin repercusión hemodinámica.

Figura 2. Vista de slot ventral C2-C3.
La descompresión consistió en el fresado controlado de los cuerpos vertebrales hasta exponer el canal espinal, retirándose el material discal extruido mediante instrumental microquirúrgico (Figura 3). Se realizó una exploración meticulosa para asegurar la remoción completa del material y se descartó la presencia de hemorragia venosa significativa. El cierre quirúrgico se llevó a cabo por planos.

Figura 3. Extracción de material discal extruido.
En el posoperatorio inmediato, se instauró un protocolo analgésico con morfina (0.25 mg/kg IM), meloxicam (0.2 mg/kg SC) y metamizol (20 mg/kg IV). La reversión del bloqueo neuromuscular se efectuó con neostigmina (0.04 mg/kg IV) y atropina (0.02 mg/kg IV), administradas en forma secuencial con un intervalo aproximado de dos minutos.
Durante la anestesia, el paciente mantuvo constantes hemodinámicas estables, sin eventos adversos significativos registrados. La recuperación anestésica fue inicialmente lenta y dificultosa. A pesar de mantenerse intubado y con soporte ventilatorio manual, se observó respiración paradójica, con pobre expansión torácica. La capnografía mostraba elevación progresiva de CO₂, lo que indicaba hipoventilación.
Ante la sospecha de una disfunción neurológica, se decidió sedar nuevamente al paciente para continuar con la ventilación asistida y administrar dexametasona (1 mg/kg IV), con el objetivo de reducir posible edema medular. Luego de varios intentos de recuperación asistida durante un período de cinco horas, no se logró que el paciente recobrara una respiración autónoma eficaz. La respuesta neurológica a estímulos era mínima, sin recuperación de los reflejos de deglución ni movimientos respiratorios activos.
Consultados anestesistas veterinarios especialistas, se consideró la posibilidad de una parálisis del centro respiratorio, secundario a lesión medular irreversible a nivel de C1-C3 o una parálisis de músculos intercostales y diafragma por compromiso neurológico agudo (nn. frénicos e intercostales). Dado que en la región no se dispone de servicios de terapia intensiva veterinaria con ventilación mecánica prolongada, y considerando el sufrimiento potencial del paciente, se decidió conjuntamente con la tutora realizar la eutanasia.
Discusión
El caso expuesto pone de manifiesto una complicación poco frecuente pero de extrema gravedad en la cirugía de columna cervical. La parálisis del centro respiratorio se debe, en la mayoría de los casos, a una disfunción del generador central del ritmo respiratorio localizado en el bulbo raquídeo y segmentos altos de la médula espinal. Estudios en modelos experimentales y humanos han identificado que lesiones por encima del nervio frénico (C3-C5) pueden interrumpir la señal motora hacia el diafragma, causando apnea.
En perros, la importancia de los segmentos cervicales altos es similar. La integridad de los nervios frénicos (originados de C5-C7) es esencial para la función diafragmática. Una compresión o lesión severa a nivel C2-C3 puede afectar de manera directa o indirecta esta vía. En casos agudos, incluso una inflamación posquirúrgica puede exacerbar la disfunción respiratoria.
Además, durante procedimientos quirúrgicos cercanos al tronco encefálico, es posible que la manipulación directa o cambios súbitos de presión intramedular provoquen una disfunción autonómica. En este caso, si bien no hubo eventos intraoperatorios notables, no puede descartarse una lesión microvascular o edema posquirúrgico severo.
El tratamiento ideal ante una parálisis del centro respiratorio es el soporte ventilatorio mecánico prolongado, con monitorización intensiva y cuidados de enfermería constantes. Sin embargo, esto no está disponible en todas las regiones, lo que plantea un dilema ético y clínico importante. La prolongación artificial de la vida sin expectativas de recuperación funcional, especialmente en ausencia de dolor o respuesta neurológica significativa, debe evaluarse cuidadosamente.
Conclusión
La enfermedad discal intervertebral cervical puede acarrear complicaciones potencialmente fatales, como la parálisis del centro respiratorio. Este caso ilustra la necesidad de una evaluación exhaustiva preoperatoria y una vigilancia posquirúrgica intensiva, así como de considerar las limitaciones técnicas y logísticas del entorno en el que se realiza la cirugía.
Asimismo, subraya la importancia del acompañamiento ético y emocional del tutor ante decisiones difíciles como la eutanasia. La formación continua del equipo veterinario en complicaciones neurológicas graves, sumada a la colaboración interdisciplinaria, es fundamental para abordar estos desafíos.
Bibliografía
- Hernando L., Sánchez D., Mascort J., Font A. Complicaciones respiratorias derivadas de lesiones medulares cervicales en perros. Clínica Veterinaria de Pequeños Animales, 29(4), 273–280. 2009.
- Gonçalves Martins de Siqueira, E., Canevese Rahal, S., Melchert, A., Pereira da Silva, J., & Caetano Caldeira, F. M. Retrospective analysis of dogs under 15 kg with cervical disc extrusion treated with ventral slot decompression. Acta Veterinaria Eurasia, 51, 1–6. 2025.
- Java, J. K., & Beal, M. W. Subclinical hypoventilation in dogs undergoing ventral slot decompressive surgery for cervical myelopathy due to intervertebral disc herniation. Frontiers in Veterinary Science, 8, 777052. 2021.
- Rossmeisl, J. H., White, C., Pancotto, T. E., Bays, A., & Henao-Guerrero, P. N. Acute adverse events associated with ventral slot decompression in 546 dogs with cervical intervertebral disc disease. Veterinary Surgery, 42(7), 795–806. 2013.
- Steffey, M. A., & McMichael, M. A. Perianesthetic morbidity and mortality in dogs undergoing cervical and thoracolumbar spinal surgery. Journal of the American Veterinary Medical Association, 245(11), 1235–1241. 2014.
- Tauler Garau, A. Hernias cervicales. Tipos y resolución quirúrgica mediante técnica de slot ventral (Trabajo de fin de grado, Universidad de Zaragoza). Repositorio institucional Zaguán. 2020.