Diagnóstico de las principales enteropatías crónicas felinas a través de biopsias por endoscopía
Resumen breve
Las enteropatías crónicas felinas representan uno de los principales retos diagnósticos en la medicina felina actual, particularmente en gatos adultos y geriátricos. Se definen como enfermedades del intestino caracterizadas por la presencia de signos gastrointestinales persistentes durante más de tres semanas, asociados a inflamación o alteraciones estructurales de la mucosa intestinal. Su etiopatogenia es multifactorial e involucra la interacción entre factores genéticos, antígenos dietarios,…Índice de contenidos
RESUMEN
Las enteropatías crónicas felinas representan uno de los principales retos diagnósticos en la medicina felina actual, particularmente en gatos adultos y senior. Se definen como enfermedades del intestino caracterizadas por la presencia de signos gastrointestinales persistentes durante más de tres semanas, asociados a inflamación o alteraciones estructurales de la mucosa intestinal. Su etiopatogenia es multifactorial e involucra la interacción entre factores genéticos, antígenos dietarios, alteraciones de la microbiota intestinal y disfunción del sistema inmune.
En este trabajo se describen dos casos clínicos de gatos machos con signos gastrointestinales crónicos, en los cuales se descartaron causas obstructivas, infecciosas, metabólicas y endocrinas mediante estudios laboratoriales e imagenológicos. Debido a los hallazgos ultrasonográficos compatibles con enteropatía crónica, se realizaron biopsias intestinales por endoscopía. Los hallazgos histopatológicos mostraron infiltrados inflamatorios atípicos con características que dificultaron la diferenciación entre procesos inflamatorios y neoplásicos, por lo que fue necesario complementar el diagnóstico mediante inmunohistoquímica.
Los resultados fueron compatibles con enfermedad inflamatoria intestinal en ambos pacientes, aunque no se descartó la posibilidad de evolución hacia linfoma de bajo grado. Este artículo revisa el abordaje diagnóstico de las enteropatías crónicas felinas, la utilidad de las biopsias endoscópicas y el papel de las técnicas diagnósticas avanzadas para una correcta clasificación y manejo clínico.
INTRODUCCIÓN
Las enteropatías crónicas felinas constituyen uno de los principales desafíos diagnósticos en la medicina veterinaria felina contemporánea. Su incidencia ha aumentado de forma notable en la última década, particularmente en gatos adultos y senior, convirtiéndose en una causa frecuente de consulta y de preocupación para los tutores. Estas enfermedades no solo representan un reto clínico por la complejidad de su diagnóstico, sino que también tienen un impacto significativo en la calidad de vida de los pacientes, al cursar con signos digestivos persistentes que tienden a ser subestimados o normalizados.
Se considera enteropatía crónica a cualquier enfermedad intestinal que provoque signos digestivos durante más de tres semanas, asociados a inflamación o alteraciones estructurales del intestino. Clínicamente, estas patologías se manifiestan de manera inespecífica, siendo la pérdida de peso, el vómito crónico y la diarrea los signos más comunes. La inespecificidad clínica dificulta la diferenciación entre las distintas causassubyacentes y puede retrasar el diagnóstico si no se aborda de forma sistemática y estructurada.
La etiopatogenia de las enteropatías crónicas felinas es multifactorial y compleja, involucrando la interacción entre susceptibilidad genética, antígenos dietarios, alteraciones de la microbiota intestinal y disfunción del sistema inmunitario. Estos factores se interrelacionan y perpetúan la inflamación intestinal crónica, pudiendo favorecer, en algunos casos, la progresión de procesos inflamatorios hacia neoplasias como el linfoma intestinal de bajo grado.
El objetivo de este artículo es revisar de manera integral el abordaje diagnóstico de las enteropatías crónicas felinas, haciendo énfasis en la importancia de un diagnóstico diferencial riguroso, el uso adecuado de pruebas laboratoriales y de imagen, y el papel fundamental de las biopsias intestinales, la histopatología y las técnicas avanzadas como la inmunohistoquímica y las pruebas de clonalidad para una correcta clasificación y manejo de estas enfermedades.
El diagnóstico de las enteropatías crónicas felinas (ECF),Enfermedad inflamatoria intestinal ó IBD por sus siglas en inglés y linfoma de bajo grado (LBG) se realizapor exclusión de otras patologías y requiere de un extensivo estudio diagnóstico encaminado para descartar otras causas extra e intra intestinales que causan signos digestivos (Tablas 11 y 21).
Tabla 1. Enfermedades que pueden cursar con diarrea y vómito crónico en el gato.
| Metabólicas | Hipertiroidismo, hipoadrenocorticismo |
| Infecciosas | FeLV, FIV, Clostridium, Campylobacter, Giardias, Tritrichomonas, Coccidios |
| Neoplásicas | Linfoma alimentario, adenocarcinoma, mastocitoma |
| Inflamatorias | IBD |
| Miscelaneos | Insuficiencia pancreática exócrina, reacción adversa al alimento, síndrome hipereosinofílico |
Tabla 2. Estudios previos a la toma de biopsias intestinales.
| Hemograma, bioquímica sanguínea y urianálisis |
| Coproparasitoscópicos seriados, kinyoun y PCR de Tritrichomonas |
| Pruebas retrovirales |
| Panel tiroideo en gatos con síntomas compatibles |
| fPLI (Lipasa pancreática específica felina) |
| Ensayo terapéutico para descartar reacción adversa al alimento |
| Ultrasonido abdominal en donde se realicen mediciones del grosor de la pared del intestino |
El diagnóstico se basa en hallazgos histopatológicos de la mucosa intestinal, así como infiltrados inflamatorios y cambios estructurales de la mucosa, a través de biopsias intestinales.
El IBD es una forma de FCE que es considerada una enfermedad de tipo inmunomediada y se caracteriza por la manifestación de signos gastrointestinales crónicos y recurrentes, así como inflamación histológica. El sistema inmune local de la mucosa intestinal juega un rol importante como un causal de la enfermedad, pero también factores asociados con la microbiota (disbiosis) como perpetuantes de la misma. Se puede decir que el IBD probablemente sea consecuencia de reacciones de hipersensibilidad hacia antígenos del lumen intestinal (bacterias, parásitos, antígenos dietarios)2. Si la disbiosis del microbioma persiste con el tiempo, habrá un empeoramiento de la inflamación intestinal, la cual eventualmente conducirá al desarrollo de un linfoma de bajo grado3. Los signos clínicos predominantes son: vómitos, diarreas y pérdida de peso, y la inflamación de la mucosa suele presentarse en cualquier tramo del tracto digestivo, pero particularmente en el intestino delgado. Los infiltrados inflamatorios más comunes dependiendo del tipo celular son:
- Enteritis linfocítica plasmocítica (70-100 % de los casos)
- Eosinofílica
- Neutrofílica
- Inflamatoria mixta
- Granulomatosa
Los gatos afectados también podrían padecer inflamación concurrente de otros órganos tales como el hígado y el páncreas, lo cual podría conducir al desarrollo de una colangiohepatitis, pancreatitis y por consiguiente una triaditis4.
RECOMENDACIONES TERAPÉUTICAS
- Ofrecer dietas con proteína hidrolizada o proteína novel por tiempo indefinido.
- Uso de drogas inmunosupresoras en aquellos pacientes no responsivos a la dieta o usar como fármaco de primera elección en aquellos pacientes con enfermedad severa. Iniciar con prednisolona 2 mg/kg PO BID por 14 días e ir reduciendo el 25 % en intervalos de dos semanas hasta encontrar la mínima dosis efectiva.
- En aquellos casos refractarios a la prednisolona se puede agregar clorambucilo a dosis de 2 mg/gato/48 h (o cada 72 horas en gatos que pesan <4 kg) siendo generalmente bien tolerado por la gran mayoría de los gatos. En aquellos pacientes de difícil manejo para medicar se puede dar una dosis de 20 mg/m2 cada 15 a 21 días.
- Con respecto al uso de antibióticos, no se recomiendan en gatos con signos crónicos gastrointestinales debido a la baja incidencia de respuesta a los mismos, así como al impacto negativo que estos tienen en la microbiota.
- Suplementar con cobalamina (250 mcg/gato SC semanal) y folatos (0.004 mg/kg PO SID) a aquellos pacientes que tengan deficiencias.
- Administrar probióticos para corregir disbiosis y reducir la inflamación en el intestino3.
El linfoma gastrointestinal (GIL) es por mucho la neoplasia del tracto digestivo más frecuente en el gato. Afecta predominantemente a gatos adultos maduros y gatos senior (en su mayoría 10 a 13 años), y no se ha reportado predisposición racial o por sexo. Se define como una infiltración de linfocitos neoplásicos en el tracto GI con variable implicación de sitios extraintestinales como linfonodos, hígado, bazo y páncreas. La incidencia del GIL se ha incrementado significativamente en las dos últimas décadas. Se han reconocido varios subtipos de acuerdo al grado histológico (bajo, intermedio o alto), o por fenotipo (cels T o B) o de acuerdo al tamaño de los linfocitos neoplásicos (pequeños o grandes). Estos grupos histológicos difieren en su curso, respuesta al tratamiento y pronóstico. El linfoma de bajo grado (células pequeñas) representa el 75 % de todos los casos de GIL en gatos.
La etiopatogenia del GIL permanece pobremente entendida. Sin embargo, hay factores que se sabe juegan un papel importante para su aparición como una IBD preexistente, predisposición genética, composición dietaria, factores geográficos, agentes infecciosos y otros factores ambientales3.
El LBG o linfoma de células pequeñas es un tumor difuso de linfocitos T, que se origina en la mucosa superficial y progresa hasta invadir toda la mucosa y submucosa, posteriormente la muscular hasta infiltrar las 4 túnicas intestinales. El LBG tiene un buen pronóstico al tener una sobrevida elevada. Clínicamente es imposible distinguir gatos con IBD de gatos con LBG. Y esto no es de extrañarse cuando incluso en los estudios de ultrasonografía que se caracterizan por un engrosamiento difuso de la pared del intestino, así como en los estudios de histopatología son difíciles de distinguir2. Es importante recalcar que un engrosamiento normal o ganglios linfáticos normales no descartan la presencia de IBD o LBG, siendo en estos casos el ratio de muscular sobre submucosa > 1 un buen biomarcador para su diagnóstico1. Los gatos con LBG tendrán como signos clínicos pérdida de peso, vómitos y diarreas de la misma manera que los gatos con IBD. Dependiendo de la severidad, otros gatos pueden presentar letargia, inapetencia ó por el contrario, polifagia.
DIAGNÓSTICO
Generalmente los signos clínicos, pruebas de laboratorio y el ultrasonido no son medios adecuados para el diagnóstico del IBD y LBG. Las anormalidades que se pueden encontrar en el ultrasonido y que son comunes para ambas enfermedades son: engrosamiento de la capa muscular, pérdida de definición de las capas de la pared intestinal y linfadenomegalia5. Un engrosamiento del intestino >0.28 cm justifica las biopsias con múltiples fragmentos en los diferentes tramos del intestino. La aproximación diagnóstica que combina histopatología, inmunohistoquímica y pruebas de clonalidad son óptimas para distinguir IBD de LBG6.
La toma de biopsias intestinales se pueden realizar por laparotomía (grosor completo) así como por endoscopía según las guías de la ACVIM 2023. Anteriormente se cuestionaba la toma de biopsias por endoscopía ya que no se lograban tomar muestras del yeyuno e íleon debido a dificultades técnicas por el calibre del endoscopio. Pero recientemente y con la llegada de nuevos gastroscopios para felinos con un diámetro inferior a 6 mm se puede acceder a todos los tramos del intestino, lo cual es indispensable para el diagnóstico del IBD y LBG, ya que en el mismo paciente puede haber tramos con IBD, y en otros la presencia de LBG1.
Entre las múltiples ventajas que tienen las biopsias endoscópicas sobre las biopsias de grosor completo están:
- Procedimiento de mínima invasión.
- La mucosa se puede visualizar directamente.
- Recolección de biopsia dirigida.
- Se pueden tomar múltiples biopsias que son representativas de un área en particular.
- La mayoría, sino es que todas las enfermedades difusas del intestino delgado se localizan en la mucosa, por lo tanto las biopsias endoscópicas son suficientes cuando el endoscopio alcanza la región afectada.
- Es un procedimiento de tipo ambulatorio.
- El tratamiento se puede iniciar el mismo día que el procedimiento.
- Sin riesgos de dehiscencias ó infección en los sitios de muestreo5.
Independientemente si las biopsias son tomadas por endoscopía o de grosor completo quirúrgicas, existe dificultad por parte de los patólogos para diferenciar un IBD de un LBG. En un estudio se comprobó que realizar inmunohistoquímica y análisis de clonalidad de los infiltrados linfoides mediante PCR determinaron que en 10 de 19 casos diagnosticados como IBD por histopatología fueran reclasificados como LBG, mientras que en 3 casos diagnosticados como LBG se reclasificaron como IBD. Por este motivo tanto la inmunohistoquímica como pruebas de clonalidad son de gran ayuda para diferenciar IBD de LBG. El anatomopatólogo es quien decidirá cuales son los marcadores recomendados para cada caso en particular1.
TRATAMIENTO
Aparte de las recomendaciones dietéticas, suplementación de cobalamina y folatos en aquellos pacientes con deficiencias, y la adición de probióticos, en el caso de los LBG el protocolo quimioterapéutico standard es la combinación de prednisolona y clorambucilo. Existen diferentes protocolos que se resumen en la Tabla 33.
Tabla 3 Protocolos terapéuticos para el linfoma de bajo grado.
| Estudio | Fondacaro et al. 1999 | Kiselow et al. 2008 | Lingard et al. 2009 | Stein et al. 2010 |
|---|---|---|---|---|
| Número de casos | 29 | 41 | 12 | 28 |
| Prednisolona | 10 mg/gato/día PO | 5 mg/gato PO cada 12-24 h | 3 mg/kg PO cada 24h, a reducción 1-2 mg/kg una vez en remisión | 1-2 mg/kg PO cada 24 h |
| Clorambucilo | 15 mg/m2 PO cada 24 h por 4 días cada 3 semanas | 2 mg/gato PO cada 48 h | 15 mg/m2 PO cada 24 h por 4 días cada 3 semanas | 20 mg/m2 PO cada 2 semanas |
| Número de respuesta | ---------- | 37 (95 %) | ---------- | 27 (96 %) |
| Tasa de remisión completa | 20 (69 %) | 22 (56 %) | ---------- | ---------- |
| Tiempo medio de remisión (días) | 615 | 897 | 505 | 786 |
| Tiempo medio de sobrevida (días) | 510 | 704 | 513 | ---------- |
PRIMER CASO CLÍNICO
Paciente felino, europeo doméstico, macho castrado de 10 años de edad, FeLV-FIV negativo, que ingresa a consulta el día 05 de octubre de 2024, la tutora refiere que presenta diarrea intermitente, escala fecal de 6 a 7 con un tiempo promedio de evolución de 5 meses, la cual mejoraba por temporadas con cuidados paliativos, tiene apetito aumentado, su ánimo no ha cambiado y ha estado perdiendo peso de manera progresiva. Consume alimento comercial (Figura 1).

Recientemente le realizaron estudios de sangre donde presentaba una elevación leve de urea, creatinina y la enzima ALT.
Examen clínico
A la exploración se encuentra alerta y responsivo, con moderada pérdida de masa muscular y condición corporal 4/9, con un peso de 3.690 kg, mucosas rosadas pero ligeramente secas, patrón respiratorio normal, leve deshidratación del 6 %, FC de 180 l/m y respiratoria de 56 l/m, a la palpación abdominal se detecta gas y nodulaciones posiblemente compatibles con linfonodos mesentéricos reactivos.
Plan diagnóstico
Se sugiere complementar los estudios que tiene y realizar urianálisis, medición de la presión arterial, medición de T4 total, TSH y ultrasonido abdominal, así como descartar la presencia de parásitos realizando coproparasitoscópico directo y tinción Kinyoun.
Resultados de laboratorio
en urianálisis presentó una DU de 1.038, presencia de sangre secundario a la toma de muestras y proteinuria relacionada. Presión arterial promedio de 152/92, considerado como pre hipertensión, perfil tiroideo sin alteraciones y en ultrasonido abdominal se observa engrosamiento del segmento intestinal del duodeno (0.30 cm), yeyuno en mediciones normales y engrosamiento del íleon (0.39 cm) con pérdida de la estratificación normal, presencia de linfonodos iliacos reactivos y presencia de sedimento en el lumen de la vesícula biliar (Figuras 2 y 3). El coproparasitoscópico directo fue negativo y la tinción kinyoun fue positiva aCryptosporidium.


Plan terapéutico
Debido a los hallazgos del ultrasonido, se sugiere cambiar el alimento a uno de prescripción hidrolizado, agregar probióticos a su dieta y tomar la decisión de realizar biopsias intestinales mediante endoscopia.
Se inicia el tratamiento con ácido ursodesoxicólico para evaluar si se logra disolver el sedimento en la vesícula biliar y para Cryptosporidium se receta nitazoxanida a dosis de 10 mg/kg SID durante un periodo de 10 días.
Después de transcurrido el periodo de evaluación y debido a que no presentó mejoría de la signología, se decide realizar estudios prequirúrgicos para ingresarlo a la toma de biopsias.
De acuerdo a los estudios prequirúrgicos se asigna un riesgo anestésico ASA 2 y se procede a realizar las biopsias intestinales por medio de endoscopía.
Se realiza esófago-gastro-duodenoscopia, colonoscopia e ileoscopía y se obtienen los siguientes resultados:
- Esofagitis erosiva moderada-severa
- Gastritis congestiva ligera
- Duodenitis congestiva moderada
- Atrofia severa de vellosidades duodenales (Figura 4)

- Colitis e ileítis congestiva ligera (Figura 5)

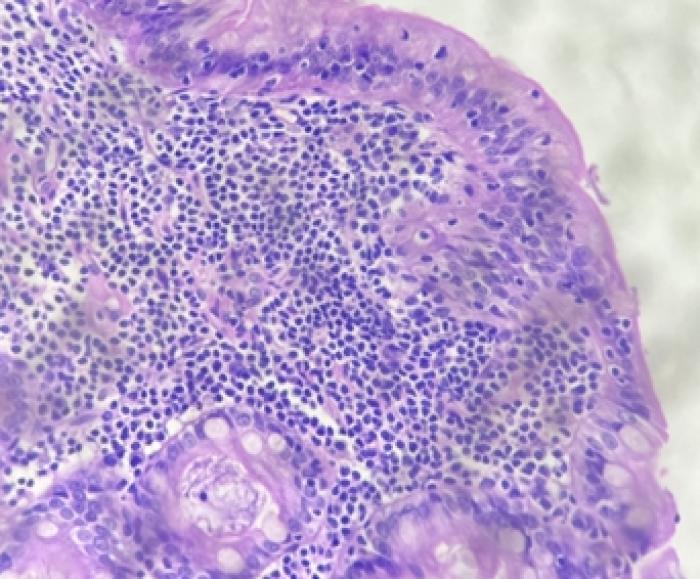
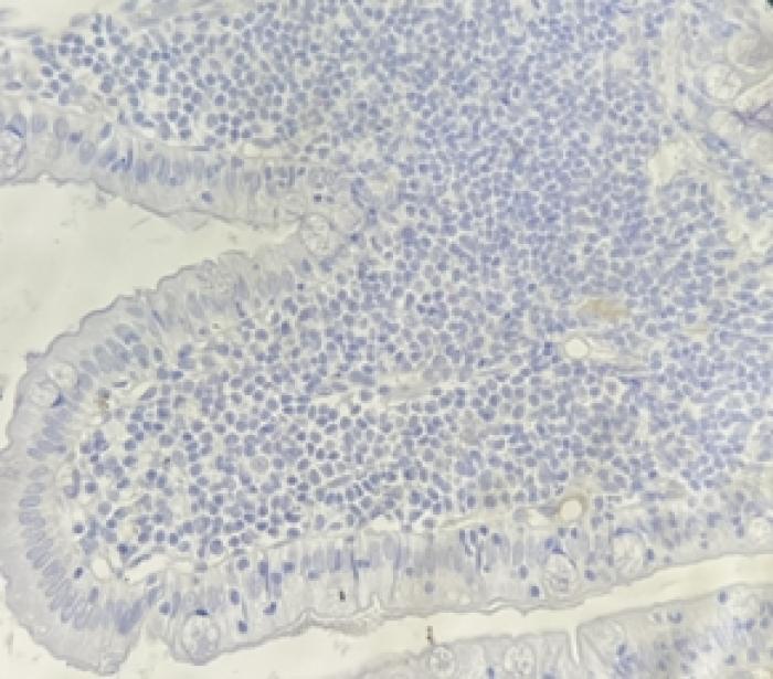
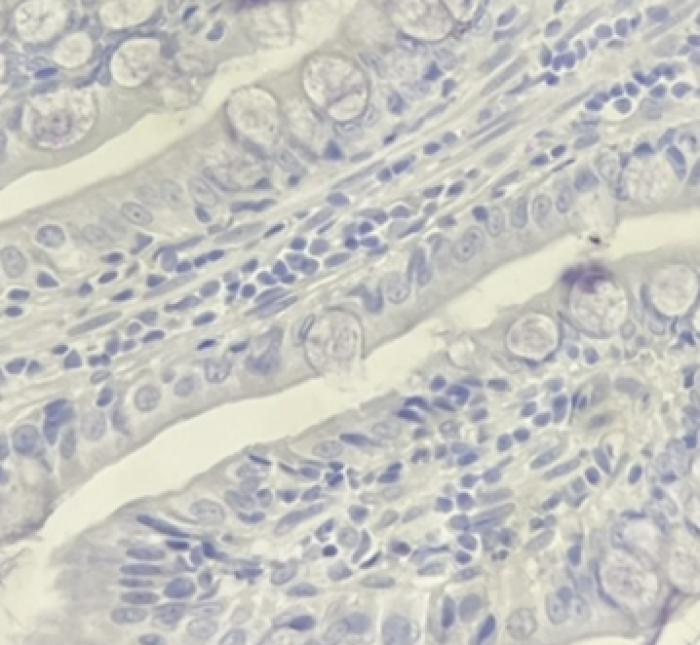
El resultado de las biopsias fue: infiltración linfoplasmocítica atípica de ligera a grave multifocal, los cuales se consideraron hallazgos que favorecen un linfoma intestinal (Figura 6), por lo que se propuso por parte del patólogo realizar los marcadores inmunohistoquímicos CD3, CD8, CD20 y CD79 para el bloque de ileon.

Los marcadores reportaron ausencia de inmunopositividad para linfocitos T e inclinación hacia linfocitos B, lo cual favorece un proceso inflamatorio compatible con enfermedad inflamatoria intestinal. No obstante cabe considerar que no se descarta evolución hacia linfoma (Figuras7 y 8).


SEGUNDO CASO CLÍNICO
Se presenta a clínica Doctora Cats a consulta felino doméstico europeo de pelo corto, macho de 9 años de edad, esterilizado, con un peso de 4.6 kg. Prueba FeLV/FIV negativa (Figura9).

Examen clínico
Constantes fisiológicas en rangos normales, excepto la palpación abdominal en la que se palpan estructuras compatibles con linfonodos mesentéricos aumentados de tamaño y asas intestinales engrosadas.
Plan diagnóstico
Se sugiere realizar estudios para descartar la presencia de cuerpos extraños, indiscreción alimentaria, intoxicaciones, enfermedad inflamatoria intestinal/linfoma alimentario.
Resultados
Química sanguínea: urea disminuida (5.6 mmol/l),los demás analitos dentro de rangos normales, hemograma sin alteraciones. Ultrasonido abdominal con ayuno de 8 h en el cual se observó estómago con presencia de gas, engrosamiento de segmentos duodenal (0.39 cm) (Figura10)y yeyunal (0.30-0.31 cm), el yeyuno con pérdida de definición de capas, así como la presencia de linfonodos yeyunales reactivos, con grasa perinodal hiperecoica y peritoneo reactivo adyacente al yeyuno (Figura11),vesícula biliar con presencia de sedimento biliar en cantidad moderada.


Después de 15 días se realiza esofago-gastro-duodenoscopia, colonoscopia e ileoscopia para realizar biopsias, obteniendo los siguientes resultados:
- Gastritis congestiva ligera (Figura 12)

- Duodenitis congestiva y erosiva moderada (Figura 13)

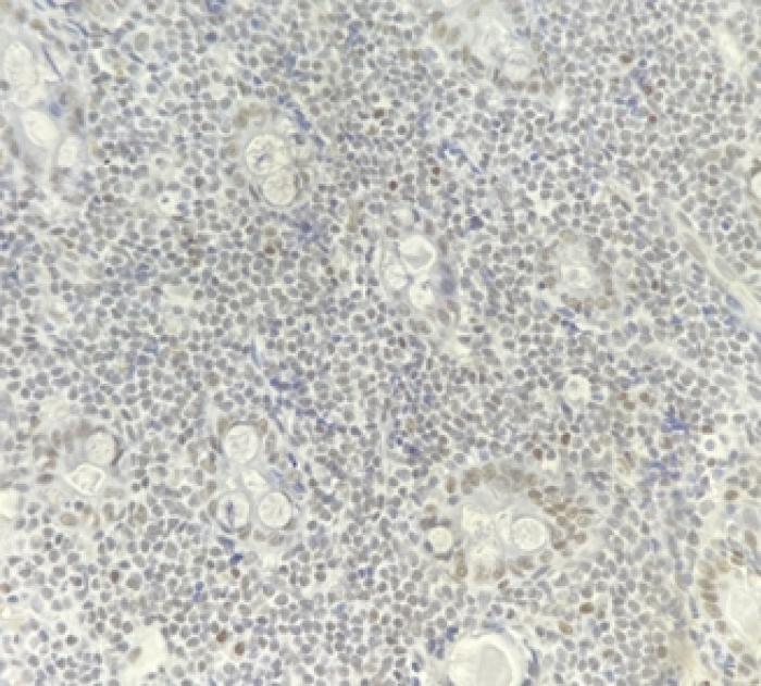
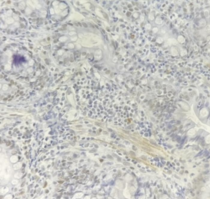
Diagnóstico histopatológico: infiltración linfocítica atípica de origen a determinar (Figura 14). Por el nivel de epiteliotropismo e infiltración, se recomienda realizar inmunotipificación de íleon con CD3, CD8, CD79 & CD20 para aumentar la especificidad diagnóstica; pudiendo corresponder tanto a un proceso inflamatorio crónico, o bien, a uno neoplásico inicial/de bajo grado.

Se realiza inmunohistoquímica de la sección del íleon en la cual la integración de la inmunorreacción disminuye la posibilidad de una lesión neoplásica (linfoma) y puede ser compatible con una enteropatía crónica (como enfermedad inflamatoria intestinal) (Figuras 15 y 16).


Tratamiento
Se prescribe prednisolona a 2 mg/kg/12 h por 5 días, posteriormente 1 mg/kg/24 h hasta nueva indicación, sucralfato a dosis de 0.5 g/gato/12 h, ácido ursodesoxicólico 10 mg/kg/24 h, ondansetrón a una dosis de 0.5 mg/kg/12 h y pregabalina a dosis de 1 mg/kg/24 h.
Se prescribe alimento hidrolizado como dieta única.
DISCUSIÓN
Debido que el IBD y el LBG son entidades con diagnósticos por exclusión es fundamental realizar antes de decidir tomar biopsias, ya sea por endoscopía o quirúrgicas, estudios que descarten otras patologías que cursen con signología gastrointestinal crónica, tales como enfermedades infecciosas, endócrinas, reacción adversa al alimento, neoplasias, problemas hepáticos y pancreáticos.
Los signos clínicos, así como los hallazgos que suelen observarse en el ultrasonido abdominal tales como aumento en el grosor de las capas intestinales, pérdida de definición de las capas, linfadenopatía reactiva y peritoneo hiperecoico son comunes para ambas enfermedades, por lo que en ningún caso se debe emitir un diagnóstico por este método ni basado en signología clínica. El promedio de las mediciones de la pared intestinal de ambos gatos superaron los 0.28 cm, por lo cual se justificaron la toma de las biopsias. La prueba gold standard para la diferenciación de las enteropatías crónicas felinas es el examen histopatológico de muestras de biopsias teñidas con H&E5.
Se demostró que todas las lesiones neoplásicas e inflamatorias se encuentran en la lámina propia, por lo tanto, si se obtienen muestras endoscópicas de la mucosa con la calidad suficiente se puede realizar el diagnóstico sin la necesidad de obtener muestras de grosor completo.
Hace algunos años, solo se realizaban gastroduodenoscopías en gatos con sospecha de IBD ó LBG debido a la dificultad que tenían los endoscopios que no contaban con un calibre adecuado para ingresar al yeyuno e íleon, lo cual conducía a diagnósticos erróneos ya que es en estos tramos donde se encuentran con mayor frecuencia estas patologías. La ventaja de contar con videogastroscopios felinos con diámetros inferiores a 6 mm es que ya se puede acceder a todos los tramos de forma más sencilla, pudiendo ofrecer mayor cantidad de biopsias (4 a 5 por tramo) y aumentando las posibilidades de obtener un diagnóstico más acertado para las enteropatías crónicas felinas. En un estudio encontraron IBD concurrente con LBG en un solo tramo en 2 gatos, así como en diferentes segmentos en un gato, por eso la importancia de realizar múltiples biopsias por tramo7.
Por otro lado, el realizar biopsias por laparotomía tiene algunas desventajas, tales como: se toman un número limitado de biopsias (alrededor de 5 en total), por ende, habrá un área mucosal limitada para el análisis, aunado a la incapacidad para visualizar la mucosa mientras se toman las biopsias. Es un procedimiento invasivo con riesgos asociados a una cirugía como una morbilidad postoperatoria más elevada, tiempos más prolongados de recuperación, hay un mayor riesgo de dehiscencia y de infección en el sitio quirúrgico, el tratamiento se pospone hasta el cierre completo y la cicatrización de la herida de la laparotomía5.
Independientemente si las biopsias se obtienen por endoscopía o por cirugía, el estudio histopatológico de las muestras puede ser insuficiente o inadecuado para concluir el diagnóstico, por lo que la inmunohistoquímica y las pruebas de clonalidad son una herramienta valiosa en casos ambiguos. Los casos ambiguos presentan características tanto inflamatorias como neoplásicas, como áreas con linfocitos monomórficos dentro de la lámina propia en un fondo polimórfico, identificación inconsistente de nidos o placas dentro de vellosidades individuales, o epiteliotropismo en un fondo polimórfico5.
Por último y con respecto a la terapéutica, aunque se menciona el uso de inmunosupresores y quimioterapia, sería útil incluir nuevas opciones terapéuticas emergentes o estudios recientes que evalúen el papel de la modulación de la microbiota intestinal en el tratamiento de estas enfermedades, tales como la administración de prebióticos y probióticos, trasplante de microbiota fecal, dieta baja en carbohidratos fermentables y suplementación, así como la terapia con células madre mesenquimales.
CONCLUSIONES
Las enteropatías crónicas felinas representan un desafío diagnóstico tanto para los veterinarios como para los patólogos debido a la similitud clínica e histopatológica entre la enfermedad inflamatoria intestinal y el linfoma de bajo grado. El uso de biopsias endoscópicas ha demostrado ser una herramienta efectiva y menos invasiva para obtener muestras representativas de la mucosa intestinal, permitiendo una mejor diferenciación entre ambas patologías. La integración de técnicas avanzadas como la inmunohistoquímica y la evaluación de clonalidad resulta fundamental en casos ambiguos. Un diagnóstico preciso es clave para establecer el tratamiento adecuado y mejorar la calidad de vida de los pacientes felinos afectados.
AGRADECIMIENTOS
Agradecemos al Dr. Jesús Villalobos (Hospital veterinario del Valle) por el apoyo para la realización de las endoscopías y tomas de biopsias de ambos pacientes, así como al Dr. Pablo Montes de Oca (Diagnóstico veterinario del Valle), por el procesamiento de las muestras para la histopatología e inmunohistoquímica de las biopsias obtenidas para este estudio, así como las fotografías de las mismas.
BIBLIOGRAFÍA
- Palmero ML, Carballes V, Dessal F, Montoya B, Monje C. Endoscopia digestiva para el diagnóstico de IBD y linfoma de bajo grado: todo lo que un clínico debe saber. Madrid: Gattos Centro Clínico Felino; 2023.
- Little SE. The cat. 2nd ed. St. Louis: Elsevier; 2011.
- Procoli F, Allenspach K, Salavati S. Feline gastroenterology. Milan: EDRA; 2023.
- Barrs VR, Beatty JA. Feline alimentary lymphoma: part 1. Classification, risk factors, clinical signs and non-invasive diagnostics. J Feline Med Surg. 2012;14(3):182–190.
- Marsilio S. Feline chronic enteropathy. J Small Anim Pract. 2021;62(6):409–417.
- Barrs VR, Beatty JA. Feline alimentary lymphoma: part 2. Further diagnostics, therapy and prognosis. J Feline Med Surg. 2012;14(3):191–201.
- Daniaux LA, Laurenson MP, Marks SL, Moore PF, Taylor SL, Chen RX, et al. Ultrasonographic thickening of the muscularis propria in feline small intestinal small cell T-cell lymphoma and inflammatory bowel disease. J Feline Med Surg. 2014;16(2):89–98.