Aproximación al diagnóstico y manejo de las neoplasias cardíacas en el perro a propósito de un caso clínico
Resumen breve
Las masas cardiacas en el perro comprenden un grupo heterogéneo de lesiones que incluyen tumores primarios, metástasis y otras patologías, como trombos. Los tumores cardiacos son poco frecuentes, con una incidencia descrita entre 2.7 % y 4.33 % en necropsia.El hemangiosarcoma (HSA) es el tumor cardíaco canino más frecuente (40 – 60 %, según diferentes estudios), seguido del quemodectoma (17.3 %) y el paraganglioma. Otros tumores cardiacos primarios son el carcinoma de tiroides ectópico,…
Índice de contenidos
Introducción
Las masas cardíacas en el perro comprenden un grupo heterogéneo de lesiones que incluyen tumores primarios, metástasis y otras patologías, como trombos. Los tumores cardíacos son poco frecuentes, con una incidencia descrita entre 2.7 % y 4.33 % en necropsia.
El hemangiosarcoma (HSA) es el tumor cardíaco canino más frecuente (40 – 60 %, según diferentes estudios), seguido del quemodectoma (17.3 %) y el paraganglioma. Otros tumores cardíacos primarios son el carcinoma de tiroides ectópico, el fibrosarcoma, el linfangiosarcoma, el fibroma, el rabdomiosarcoma, el neurofibroma, el angiolipoma, el mixoma y el mesotelioma, entre otros. En cuanto a la presencia de metástasis cardíacas, las neoplasias identificadas con más frecuencia son el linfoma y los carcinomas, que suponen el 35% de las masas cardíacas. Las neoplasias primarias cardíacas benignas son poco frecuentes.
Normalmente, el HSA se localiza en el atrio derecho (AD), tanto en la pared como en la luz; mientras que el quemodectoma suele localizarse en la arteria pulmonar, en la arteria aorta (Figura 1) o en la luz del AD. La localización más frecuente de las lesiones metastásicas es la pared ventricular.

Las razas que presentan mayor riesgo de desarrollar HSA cardiaco son el Golden Retriever y el Pastor Alemán, seguidas del Bóxer, el Labrador Retriever y el Cócker Spaniel. Las neoplasias del cuerpo aórtico son más frecuentes en braquicéfalos, pero también se han descrito en el Pastor Alemán, el Golden Retriever y el Labrador Retriever. La edad en el momento del diagnóstico es media/avanzada (7-15 años).
Los signos clínicos de las neoplasias cardíacas aparecen como consecuencia de la alteración de la funcionalidad cardíaca debido a su localización y tamaño (y no tanto por su origen histológico), es decir, alteraciones circulatorias, taponamiento cardíaco por presencia de efusión pericárdica, e, incluso, muerte súbita. Otros signos clínicos inespecíficos son letargia, inapetencia y vómitos.
Alcanzar el diagnóstico definitivo de una neoplasia cardíaca es con frecuencia complicado. Lo más habitual es encontrar una imagen compatible con neoplasia cuando se realizan pruebas de imagen en animales con signos de enfermedad cardiorrespiratoria, aunque también es común el diagnóstico incidental durante la necropsia.
Como en cualquier patología cardíaca, además de una exploración física completa, es necesaria la realización de un hemograma, bioquímica completa, tiempos de coagulación, urianálisis, radiografías torácicas y ecocardiografía. La tomografía computarizada (TC) está indicada a la hora de valorar el tratamiento quirúrgico o la radioterapia.
Se ha descrito una sensibilidad y una especificidad del 82 y del 100 % de la ecografía cardíaca en la identificación de tumores, sin embargo, la localización del tumor es moderadamente predictiva en la identificación del tipo tumoral. El 82% de las efusiones pericárdicas se deben a la presencia de HSA. El análisis del líquido pericárdico puede aportar o no información en el diagnóstico final de la neoplasia en relación con la presencia o no de células tumorales.
En los últimos años se ha empleado la concentración sérica de troponina I cardíaca como herramienta diagnóstica para el HSA cardíaco en el perro. Es un marcador de isquemia y necrosis del miocardio y se ha descrito la existencia de concentraciones significativamente superiores en perros con HSA (> 0.25 ng/ml) en relación con perros con efusión pericárdica idiopática. Además, los niveles de troponina I son mayores en HSA que en otras neoplasias cardíacas. Por lo tanto, su uso dentro del procedimiento diagnóstico puede orientar en el diagnóstico de efusiones pericárdicas en las que no se identifique una lesión compatible con tumor.
Existe poca información sobre la toma de muestras para el estudio citológico ya que no es una técnica diagnóstica frecuente en este tipo de neoplasias debido a su localización. Las complicaciones asociadas a la técnica son poco frecuentes.
Por lo tanto, en la mayor parte de los casos en los que se identifica una imagen compatible con neoplasia cardíaca primaria se emite un diagnóstico presuntivo basado en las pruebas de imagen y la localización.
El tratamiento de las neoplasias cardíacas comprende, por un lado, del tratamiento sintomático de la insuficiencia orgánica y, por otro, del tumor en sí.
Como parte del tratamiento sintomático, en el caso de las efusiones pericárdicas, se indica la pericardiectomía subtotal. En el HSA no mejora la evolución del tumor como tratamiento único, pero en los tumores de la base del corazón, del cuerpo aórtico y el mesotelioma, mejora la supervivencia, incluso en ausencia de derrame pericárdico.
Cuando es posible, la cirugía del tumor primario es una opción como parte del tratamiento, ya que reduce la carga tumoral y permite el diagnóstico definitivo al obtenerse una muestra para su estudio histopatológico.
El tratamiento con quimioterapia basada en el uso de doxorrubicina (DOX) está ampliamente aceptado en el manejo del HSA cardíaco, pudiendo emplearse la DOX en monoterapia o combinada con otros fármacos (ciclofosfamida (CFX), vincristina (VC)). También se ha descrito el uso de toceranib fosfato y terapia metronómica, entre otros. En los últimos años, la radioterapia (RT) es una opción emergente en el manejo del HSA cardíaco, con resultados esperanzadores.
En relación con los tumores de la base del corazón, existen publicaciones que respaldan el uso de toceranib fosfato con el objetivo de estabilizar la neoplasia y ralentizar su crecimiento.
La supervivencia media en perros con HSA cardíaco es pobre en general. La respuesta a la quimioterapia basada en DOX es del 41 %, con una supervivencia de 116-140 días. Esta supervivencia media puede aumentar a los 175 días si se combina con cirugía.
Sin embargo, en las neoplasias del cuerpo aórtico, la supervivencia media descrita es de 661-730 días si se realiza pericardiectomía, y de 42-129 días en los perros que no se someten al procedimiento.
Caso clínico
Acude a consulta una hembra, mestiza, de 11 años, castrada, hipotiroidea (en tratamiento con levotiroxina) y con sospecha de síndrome de Cushing.
El motivo de consulta es la presencia de una masa cardiaca en el ventrículo derecho, de 3 × 4 cm, identificada hace dos semanas en su veterinario habitual durante el procedimiento diagnóstico de síncopes de resolución espontánea. En el momento de la consulta, la paciente se encuentra en tratamiento con amlodipino (0.1 mg/kg/día), benaceprilo (0.25 mg/kg/12 h) y espironolactona (2 mg/kg/día), pautado por su veterinario habitual.
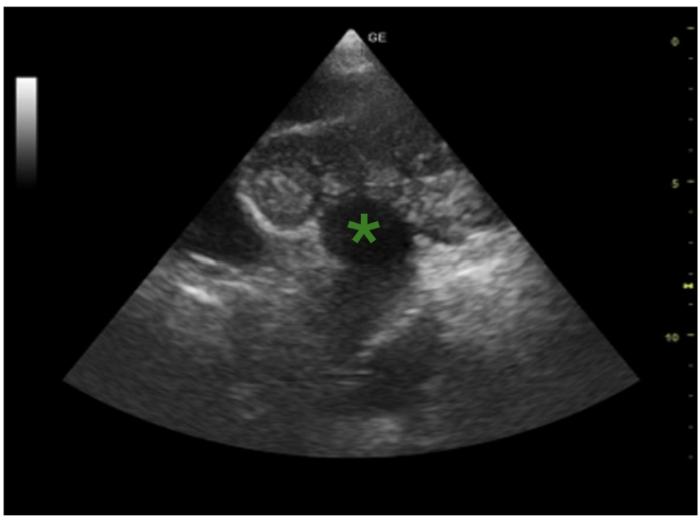
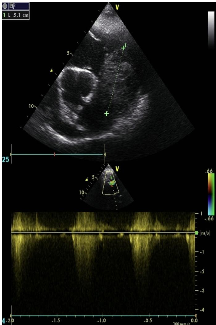
Durante la exploración física general el único hallazgo relevante es la presencia de un soplo mitral y una frecuencia cardiaca de 140 lpm. La ecocardiografíaconfirma la presencia de una masa en el ventrículo derecho (3.8 × 5 cm) (Figura 2 y 3), junto con insuficiencia mitral en estadio B2 e hipertensión pulmonar (consenso ACVIM). Se instaura terapia con clopidogrel (1.5mg/kg/día), para la prevención de tromboembolismo, y se sustituye el benaceprilo por pimobendan (0.5 mg/kg/12 h).


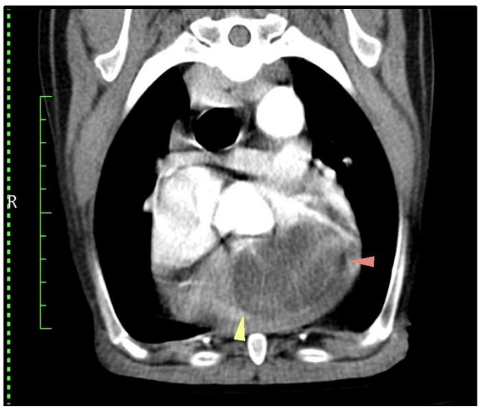
Se propone como diagnósticos diferenciales la presencia de un tumor cardíaco primario vs. metastásico, y se programa una tomografía computarizada (TC) toracoabdominal, para realizar estadio clínico completo, junto con una punción con aguja fina (PAF) de la masa intracardíaca, con el objetivo de obtener un diagnóstico presuntivo (Figura 4). Se añade cimicoxib (2 mg/kg/día) y toceranib fosfato (2.75 mg/kg, lunes-miércoles-viernes) hasta la obtención de los resultados. En la TC se confirma la presencia de neoplasia cardíaca primaria y la citología resulta compatible con un sarcoma, posiblemente un rabdomiosarcoma (RMS).

En base a los resultados obtenidos, se valora la posibilidad de tratamiento con radiofrecuencia (RF), que se descarta por el riesgo de desprendimiento de la masa y taponamiento cardíaco secundario. El tratamiento quirúrgico tampoco está indicado debido al gran tamaño de la masa, su localización y las complicaciones asociadas al procedimiento.
Una vez confirmada la presencia de neoplasia cardíaca primaria compatible con sarcoma/ RMS se modifica el tratamiento antineoplásico y se pauta mitoxantrona (5 mg/m² cada 21 días) como alternativa a la DOX.
Tras 7 meses de tratamiento, debido a la presencia de enfermedad progresiva (4 × 6.6 × 5.9 cm), la paciente muestra signos clínicos graves y se procede a la eutanasia humanitaria. Los tutores rechazan la realización de una necropsia para la obtención de un diagnóstico definitivo.
Discusión
El caso expuesto en este artículo sirve como ejemplo del procedimiento diagnóstico en un perro con síncopes y presencia de lesión cardíaca compatible con neoplasia.
Los diagnósticos diferenciales de un síncope incluyen alteraciones cardiovasculares (arritmias, miocardiopatías, tumores, insuficiencia cardíaca), patologías respiratorias (tromboembolismo pulmonar, síndrome braquicefálico), alteraciones metabólicas (hipoglucemia, Addison), debiendo descartarse enfermedades neurológicas (convulsiones).
En este caso, la posibilidad de obtener una muestra para su estudio citológico emite un diagnóstico presuntivo de sarcoma, más probable RMS, lo que permite exponer el manejo de una neoplasia cardíaca no HSA en el perro.
El diagnóstico definitivo de RMS requiere de técnicas de inmunohistoquímica (IHQ), con desmina, actina, SMA, miosina, mioglobina, MyoD1, miogenina y/o CD18. Los RMS son tumores malignos del músculo esquelético, poco frecuentes y descritos en múltiples especies. Según la revisión bibliográfica realizada por las autoras, solo se han descrito cuatro casos de RMS cardiaco en el perro.
El manejo de la cardiopatía, la hipertensión pulmonar y el tratamiento antineoplásico permitieron alcanzar una supervivencia de 7 meses, superior a la descrita para el HSA cardíaco y similar a la esperanza de vida descrita en el RMS humano (menos de 1 año).
Bibliografía
- Aupperle H, März I, Ellenberger C, Buschatz S, Reischauer A, Schoon HA. Primary and secondary heart tumours in dogs and cats. J Comp Pathol. 2007 Jan;136(1):18-26.
- Burton J, Stern J. Cardiac Tumours. In Withrow and MacEwen´s Small Animal Clinical Oncology. Chapter 34 Miscellaneous. Pg 87-791. Vail, Tham and Liptak. 6th Ed. Elsevier. 2020. ISBN: 978-0-323-59496-7
- Caserto BG. A comparative review of canine and human rhabdomyosarcoma with emphasis on classification and pathogenesis. Vet Pathol. 2013 Sep;50(5):806-26.
- Girard C, Hélie P, Odin M. Intrapericardial neoplasia in dogs. J Vet Diagn Invest. 1999 Jan;11(1):73-8.
- Pérez J, Pérez-Rivero A, Montoya A, Martín MP, Mozos E. Right-sided heart failure in a dog with primary cardiac rhabdomyosarcoma. J Am Anim Hosp Assoc. 1998 May-Jun;34(3):208-11.
- Poterucha TJ, Kochav J, O'Connor DS, Rosner GF. Cardiac Tumors: Clinical Presentation, Diagnosis, and Management. Curr Treat Options Oncol. 2019 Jun 27;20(8):66.
- Steven Moirano,Michelle Turek,Diana Sanchez,David Vail,Nate Van Asselt,Jessica Lawrence,Lisa Forrest. Intensity-modulated radiotherapy and chemotherapy for canine right atrial tumors: A retrospective study of seven dogs. Vet Radiol Ultrasound.2023 Nov;64(6):1099-1102. doi: 10.1111/vru.13303.Epub 2023 Oct 6.
- Szaluś-Jordanow O, Czopowicz M, Moroz-Fik A, Mickiewicz M, Łobaczewski A, Tarka S, Koperski Ł, Sapierzyński R. A primary multiple pleomorphic rhabdomyosarcoma of the heart in an adult dog. BMC Vet Res. 2023 Aug 30;19(1):137.
- Tuohy JL, Byer BJ, Royer S, Keller C, Nagai-Singer MA, Regan DP, Seguin B. Evaluation of Myogenin and MyoD1 as Immunohistochemical Markers of Canine Rhabdomyosarcoma. Vet Pathol. 2021 May;58(3):516-526.
- Uchida T, Kuroda Y, Sadahiro M. Primary Biatrial Cardiac Rhabdomyosarcoma. Braz J Cardiovasc Surg. 2020 Jun 1;35(3):399-401.