Elastografía en las neoplasias esplénicas del perro mediante Natural Touch Elastography®; Revisión actual y presentación de casos clínicos
Resumen breve
La elastografía es una técnica ultrasonográfica complementaria que permite estimar la rigidez tisular mediante mediciones basadas en deformación o en la propagación de ondas de corte, con utilidad demostrada en múltiples órganos tanto en medicina humana como veterinaria1,2. En perros, los estudios iniciales establecieron valores de referencia del bazo en animales sanos, evidenciando un parénquima homogéneo y estable3,4. Sobre esta base, trabajos posteriores evaluaron la utilidad de las modalidades…Índice de contenidos
Resumen
La elastografía es una técnica ultrasonográfica complementaria que permite estimar la rigidez tisular mediante mediciones basadas en deformación o en la propagación de ondas de corte, con utilidad demostrada en múltiples órganos tanto en medicina humana como veterinaria1,2. En perros, los estudios iniciales establecieron valores de referencia del bazo en animales sanos, evidenciando un parénquima homogéneo y estable3,4. Sobre esta base, trabajos posteriores evaluaron la utilidad de las modalidades basadas en impulsos acústicos, incluidas implementaciones propietarias como Natural Touch Elastography® (NTE) de varios modelos de ecógrafos de la marca Mindray, para la caracterización de lesiones esplénicas. Estos estudios muestran que las lesiones malignas suelen presentar mayor rigidez que las benignas, aunque con superposiciones que limitan su capacidad diagnóstica como método único. El estudio más robusto disponible informa sensibilidades del 71 – 78 % y especificidades del 65 – 72 % utilizando un punto de corte aproximado de 3 m/s para predecir malignidad5. La evidencia sugiere que la elastografía no reemplaza la citología o histopatología, pero constituye un complemento valioso cuando se integra al modo B y doppler. El presente artículo revisa críticamente la literatura actual e incorpora casos propios obtenidos con NTE (Mindray MX7®), integrando además consideraciones técnicas derivadas de documentación específica del fabricante.
Palabras clave: elastografía; ARFI; Natural Touch Elastography; Mindray MX7; bazo; perro; neoplasias esplénicas.
Introducción
Las masas esplénicas en perros representan un desafío diagnóstico frecuente en la práctica clínica. Si bien la ecografía modo B posee elevada sensibilidad para detectar alteraciones morfológicas, su capacidad para diferenciar entre lesiones benignas (hematomas, hiperplasias nodulares, inflamación) y malignas (hemangiosarcoma, linfoma, otros sarcomas) es limitada. La elastografía surge como un método complementario que ofrece información cuali-cuantitativa sobre la rigidez tisular, parámetro alterado en diversos procesos patológicos.
Las modalidades basadas en ondas de corte son las más utilizadas en medicina veterinaria debido a su objetividad y reproducibilidad. Dentro de estas, Natural Touch Elastography® (NTE) del ecógrafo Mindray MX7 constituye una implementación de point Shear Wave Elastography (pSWE) que utiliza impulsos acústicos focalizados para generar ondas de corte y medir su velocidad. Documentos técnicos del fabricante destacan la importancia del seguimiento basado en radiofrecuencia y del control automático de calidad para reducir variabilidad interobservador, conceptos extrapolables a la evaluación esplénica en pequeños animales.
Los estudios en perros sanos mostraron rigidez esplénica estable y homogénea3,4. Trabajos posteriores evaluaron lesiones focales, demostrando que las neoplasias tienden a presentar valores más elevados que las lesiones benignas, aunque con solapamiento. El presente artículo integra la evidencia disponible y añade casos clínicos obtenidos con Mindray MX7, incorporando además recomendaciones técnicas derivadas de documentos oficiales de Mindray para mejorar la estandarización del método.
Marco teórico
La elastografía evalúa la respuesta del tejido frente a un estímulo mecánico. En las modalidades dinámicas, la velocidad de propagación de las ondas de corte se correlaciona con la rigidez tisular. Sistemas como NTE utilizan impulsos acústicos focalizados para desplazar el tejido en un punto específico, midiendo la velocidad de onda de corte mediante algoritmos basados en radiofrecuencia1.
La ubicación superficial y la arquitectura homogénea del bazo facilita mediciones reproducibles, lo que justifica su elección como órgano candidato para elastografía. La rigidez esplénica aumenta en situaciones de neoplasia, inflamación, hemorragia organizada y congestión vascular10.
Principios elastográficos generales y muy relevantes recomendados por el fabricante:
- evitar presión excesiva del transductor,
- mantener ROI estable y profundo,
- utilizar mapas de calidad cuando estén disponibles,
- descartar mediciones sin formación adecuada de onda de corte,
- repetir mediciones hasta obtener estabilidad entre valores u observaciones.
Estos criterios fueron adoptados en los casos clínicos incluidos en este trabajo.
Materiales y métodos
Los estudios ultrasonográficos y las mediciones elastográficas fueron realizadas con un ecógrafo Mindray MX7, utilizando un transductor lineal de alta frecuencia (4.4 a 13.5 MHz) y la función Natural Touch Elastography® (NTE).
Procedimiento técnico
- Posicionamiento del paciente en decúbito lateral derecho, lo cual expone adecuadamente la región esplénica para su evaluación.
- Rasurado de la zona, para mejorar el acoplamiento del transductor a la piel del paciente.
- ROI ubicado en parénquima homogéneo, evitando cápsula, hilio y grandes vasos.
- Se obtuvieron de 5 a 7 mediciones consecutivas por lesión.
- Valores inválidos descartados automáticamente.
- Control de artefactos respiratorios mediante apnea breve.
Las mediciones se compararon con valores de referencia esplénicos publicados3,4 y con rangos asociados a lesiones benignas y malignas5.
Elastografía esplénica en perros sanos
Los estudios pioneros establecieron valores altamente reproducibles. Holdsworth et al.3 describieron velocidades promedio de 2.3 m/s, mientras que Maronezi et al.4 informaron un rango de 2.2 a 2.6 m/s, sin diferencias relevantes entre edades. La homogeneidad del parénquima esplénico explica la estabilidad de estas mediciones.
Elastografía en lesiones esplénicas focales
El estudio más robusto sobre lesiones esplénicas evaluó la capacidad de ARFI para diferenciar malignidad5. Las masas malignas presentaron velocidades entre 3 y 3,5 m/s, mientras que las benignas se ubicaron entre 2,4 y 2,8 m/s. Aunque las diferencias son significativas, la superposición limita su uso como método aislado.
En el contexto del Mindray MX7, valores claramente elevados (>3 m/s) incrementan la sospecha de malignidad, siempre integrados a los hallazgos de modo B y doppler.
Factores que modifican la rigidez esplénica
- Congestión por hipertensión portal10.
- Hematomas organizados (pueden simular rigidez tumoral).
- Inflamación e infiltración.
- Artefactos del equipo, especialmente presión del transductor y respiración.
Documentos del fabricante del ultrasonido sobre tiroides y mama refuerzan la importancia de:
- minimizar presión,
- evitar ROI subcapsular,
- confirmar estabilidad entre mediciones,
- repetir mediciones ante variabilidad excesiva.
Además de la medición cuantitativa de la velocidad de la onda de corte expresada en metros por segundo (m/s), el sistema Natural Touch Elastography® (Mindray MX7) dispone de una función complementaria de representación cualitativa y semicuantitativa de la rigidez tisular (Figura1-4). Esta herramienta permite asignar valores numéricos y porcentajes relativos al grado de dureza o blandura del tejido evaluado y facilita la comparación visual y numérica entre diferentes regiones de interés dentro de un mismo órgano, incluyendo la relación entre una lesión focal y el parénquima esplénico adyacente.




De acuerdo con la documentación técnica del fabricante, esta funcionalidad se basa en el análisis de la respuesta tisular al impulso acústico y en algoritmos de seguimiento por radiofrecuencia, lo que contribuye a una evaluación intraorgánica más precisa. Si bien estos valores no sustituyen las mediciones cuantitativas en m/s ni cuentan con puntos de corte validados para la diferenciación diagnóstica, su utilización aporta información complementaria útil para la interpretación clínica de los hallazgos elastográficos, especialmente cuando se integra con la evaluación en modo B y Doppler.
Casos clínicos
Caso 1 – Hiperplasia nodular linfoide esplénica en un perro con mastocitoma cutáneo
Datos del paciente: perro macho, 9 años, mestizo de talla grande.
Motivo de estudio: el paciente presentaba un nódulo subcutáneo al cual se le realizó una punción y citología, dando como resultado sospechoso de mastocitoma (Figura 5). Se solicitó un ultrasonido abdominal como parte del protocolo de estadificación oncológica, a fin de identificar posibles metástasis viscerales o alteraciones asociadas.

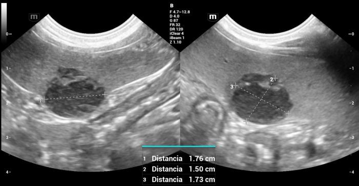
Hallazgos ultrasonográficos (modo B y doppler color): en el cuerpo esplénico, región perihiliar, se identificó un nódulo hipoecoico, bien delimitado, de contornos lisos, con dimensiones de 1.76 × 1.73 × 1.5 cm. La lesión deformaba la superficie visceral del bazo, sin evidenciar compromiso capsular (Figura6).

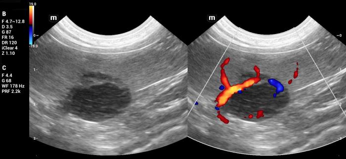
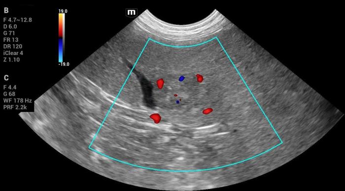
El Doppler color mostró vascularización positiva, principalmente periférica, sin patrones aberrantes evidentes (Figura7).

Además, se encontraron imágenes compatibles con mielolipomas. No se observaron otras lesiones esplénicas ni alteraciones relevantes en órganos abdominales evaluados (Figura 8).

Hallazgos elastográficos (Natural Touch Elastography®): la lesión mostró una rigidez similar al parénquima esplénico circundante, con valores que no superaban los rangos normales descritos para bazo canino3,4 (Figura 9-10). La uniformidad de las mediciones, sin artefactos relevantes y con estabilidad entre adquisiciones consecutivas, aumentó la confiabilidad de la evaluación.


Diagnóstico histopatológico: la lesión se resecó mediante esplenectomía electiva y el análisis histopatológico confirmó hiperplasia nodular linfoide y mielolipoma (Figura 11-12).


Interpretación: la correlación entre un patrón en modo B hipoecoico bien delimitado, vascularización moderada y una rigidez similar al resto del parénquima esplénico es coherente con lesiones benignas, entre ellas la hiperplasia nodular y algunos hematomas en fase temprana. El resultado histopatológico confirma una condición benigna, lo que coincide con el comportamiento elastográfico observado.
Este caso ilustra cómo la elastografía mediante NTE puede aportar información adicional útil en la estratificación de lesiones esplénicas incidentales, especialmente en contextos de estadificación oncológica donde la presencia de metástasis esplénicas modifica drásticamente el pronóstico y la toma de decisiones.
Caso 2 – masa de hiperplasia esplénica benigna en una perra con sospecha de hiperadrenocorticismo
Datos del paciente: canino hembra, castrada, raza Caniche, 12 años de edad.
Motivo de estudio: el examen ecográfico abdominal fue solicitado como parte del protocolo diagnóstico para síndrome de Cushing, con énfasis en la evaluación de glándulas adrenales. Durante la exploración, se identificó un hallazgo incidental en bazo.
Hallazgos ultrasonográficos (modo B y doppler color): en la cola esplénica se observó una masa ovoide, bien delimitada, de 4.09 × 3.98 × 3.11 cm, con ecogenicidad similar al resto del parénquima esplénico, con focos hiperecoicos transónicos (no mineralizados) dispersos en su interior (Figura 13).

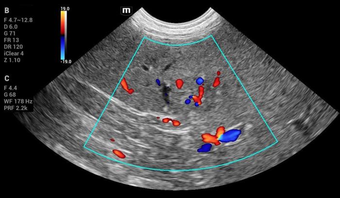
La masa deformaba la arquitectura de la cola esplénica y mostraba vascularización Doppler color positiva, observándose un vaso de gran calibre atravesando toda la masa, sin alteraciones evidenciables (Figura14). No se identificaron otras lesiones esplénicas focales ni alteraciones compatibles con metástasis.

Hallazgos elastográficos (Natural Touch Elastography®): El análisis mediante NTE evidenció una rigidez baja, comparable al parénquima esplénico normal, sin zonas internas de aumento marcado de velocidad (Figura 15-16). Las mediciones fueron consistentes, con buena calidad técnica y sin artefactos significativos.


Diagnóstico histopatológico: el bazo fue removido quirúrgicamente y el análisis histopatológico confirmó hiperplasia benigna focal del parénquima esplénico.
Interpretación: La combinación de una masa hiperecogénica, bien delimitada, con puntos hiperecoicos internos no mineralizados, vascularización positiva y rigidez normal o baja en relación con el tejido esplénico adyacente, constituye un patrón compatible con lesiones benignas. La ausencia de rigidez incrementada (característica frecuente en neoplasias esplénicas malignas5) se correlacionó de forma adecuada con el diagnóstico histopatológico.
Este caso ilustra la utilidad de la elastografía como herramienta complementaria para distinguir lesiones esplénicas incidentales, especialmente en pacientes evaluados por motivos no oncológicos, donde la identificación de una masa esplénica puede generar incertidumbre clínica. La concordancia entre el patrón elastográfico y el diagnóstico benigno refuerza el valor de la técnica en la estratificación inicial de lesiones focales.
Caso 3 – Hemangiosarcoma esplénico en un perro con esplenomegalia severa y lesiones focales múltiples
Datos del paciente: Canino macho, castrado, raza Viejo Pastor Inglés, 13 años 4 meses de edad, y 35.2 kg de peso.
Motivo de estudio: El examen ecográfico abdominal fue solicitado como parte de un chequeo general debido a que el paciente había bajado de peso y presentaba debilidad y menor actividad física.
Hallazgos ultrasonográficos (modo B y doppler color): El bazo se encontraba marcadamente agrandado en todos sus ejes, alcanzando la región mesogástrica derecha, con un espesor a nivel del cuerpo de 3.13 cm. Su conformación mostraba plegamiento parcial, compatible con cambios por desplazamiento, aumento de volumen o pérdida de soporte abdominal.
El parénquima conservaba una ecogenicidad homogénea, aunque se identificaron dos lesiones focales:
- Lesión mayor (cuerpo/cola) (Figura 17):

- Ecogenicidad mixta, compuesta por áreas isoecoicas y otras hiperecoicas transónicas (sin evidencia de mineralización).
- Tamaño: 2.12 × 2.03 × 1.99 cm.
- Vascularización Doppler color positiva (Figura 18-19).


- Elastográficamente endurecida (aumento marcado de rigidez).
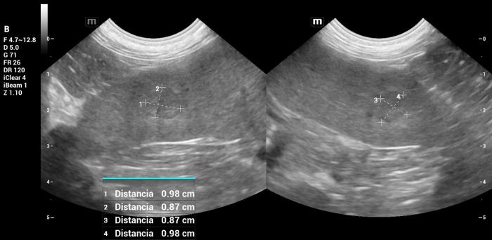
2. Lesión menor (cola) (Figura 20):

- Ligeramente hipoecoica, de 0.98 × 0.98 × 0.87 cm.
- Doppler positivo.
- Sin zonas sugerentes de cavitación o mineralización.
Además, se observaron indicios ecográficos de nefropatía crónica y de hígado graso.
No se observaron alteraciones coexistentes en otros órganos.
Hallazgos elastográficos (Natural Touch Elastography®): la lesión de mayor tamaño mostró rigidez elevada, significativamente superior al parénquima esplénico normal (Figura21-22).


Este comportamiento coincide con el patrón elastográfico típico de lesiones malignas descrito en la literatura5, donde los tumores esplénicos (incluyendo hemangiosarcoma) tienden a presentar velocidades de onda de corte superiores a las de lesiones benignas.
Las mediciones fueron técnicamente consistentes, sin artefactos respiratorios ni subcapsulares.
Diagnóstico histopatológico: el espécimen esplénico obtenido mediante esplenectomía confirmó hemangiosarcoma.
Interpretación: la combinación de esplenomegalia severa, masa sólida de ecogenicidad mixta, vascularización positiva y rigidez marcadamente aumentada en la elastografía constituye un patrón fuertemente sugestivo de malignidad. Este conjunto de hallazgos es coherente con lo reportado para tumores esplénicos de origen mesenquimal, incluida su variante más frecuente en el perro: el hemangiosarcoma.
En este caso, el comportamiento elastográfico aportó un elemento adicional de sospecha (la rigidez aumentada) que coincide con el diagnóstico definitivo y que ha sido descrito como un indicador útil en la estratificación inicial de masas esplénicas5. La presencia de dos lesiones focales dentro de un bazo con esplenomegalia avanzada es un hallazgo compatible con procesos malignos multifocales, y su comportamiento elastográfico divergente (una lesión rígida y otra de baja dureza relativa) refleja la heterogeneidad interna característica de procesos neoplásicos complejos.
Caso 4 - Linfoma folicular esplénico en un perro con carcinoma de células escamosas mandibular
Datos del paciente: canino macho, entero, raza Maltés, 8 años 8 meses, 2.9 kg.
Motivo de estudio: el paciente tenía diagnóstico confirmado de carcinoma de células escamosas mandibular (Figura 23). Se solicitó ultrasonido abdominal como parte del protocolo de estadificación oncológica, con el objetivo de detectar metástasis viscerales o alteraciones hematolinfoides asociadas.

Hallazgos ultrasonográficos (modo B y doppler color): en la cola del bazo, se identificó un nódulo esférico, bien delimitado, de 2.12 × 2.09 cm, con ecogenicidad mixta: un centro predominantemente hipoecoico con pequeñas estructuras puntiformes hiperecoicas periféricas sugerentes de focos de mineralización o densificación tisular (Figura24).

La lesión deformaba la morfología de la cola esplénica y mostraba señal Doppler color positiva, principalmente periférica (Figura25).

Hallazgos elastográficos (Natural Touch Elastography®): el nódulo presentó una rigidez marcadamente aumentada respecto del parénquima esplénico circundante, con patrón elastográfico heterogéneo (“dureza mixta”), caracterizado por áreas internas de elevada velocidad de onda de corte (Figura 26-27).


Este comportamiento se alinea con los hallazgos reportados para lesiones malignas esplénicas, que tienden a presentar valores superiores a 3 m/s según la evidencia publicada5.
Las mediciones fueron consistentes entre sí y no mostraron artefactos relevantes, lo que respalda la confiabilidad del hallazgo elastográfico.
Diagnóstico histopatológico: se realizó esplenectomía al paciente (Figura 28) y el bazo fue estudiado histopatológicamente, confirmándose linfoma folicular (Figura 29).


Interpretación:la combinación de ecogenicidad mixta, presencia de focos hiperecoicos puntiformes, deformación esplénica y vascularización positiva plantea un patrón ecográfico compatible con neoplasia. La rigidez significativamente elevada respecto del parénquima esplénico normal constituye un hallazgo congruente con lesiones malignas, tal como se ha documentado en estudios previos5.
En este caso, el comportamiento elastográfico resultó altamente concordante con el diagnóstico final de linfoma folicular, reforzando la utilidad de la elastografía mediante NTE para apoyar la sospecha diagnóstica en el contexto de masas esplénicas sólidas.
Discusión
La elastografía basada en ondas de corte se ha consolidado como una herramienta útil para complementar la evaluación ecográfica del bazo en el perro. La literatura disponible indica que las lesiones malignas suelen presentar valores de rigidez más altos que las benignas, aunque existe superposición suficiente para impedir conclusiones definitivas basadas en un único parámetro5. Los cuatro casos clínicos presentados reflejan esta variabilidad y permiten analizar el comportamiento real de Natural Touch Elastography® (NTE) de varios ecógrafos de la marca Mindray dentro del contexto clínico.
Los casos 1 y 2, ambos con diagnóstico final de lesiones benignas (hiperplasia nodular linfoide e hiperplasia esplénica benigna), mostraron valores elastográficos muy similares al parénquima esplénico adyacente. Este comportamiento coincide con los rangos de referencia para bazo normal3,4 y con estudios que describen que las hiperplasias y procesos benignos no generan incrementos significativos de rigidez. En ambos pacientes, la elastografía aportó un dato congruente con una etiología no maligna, reforzando la interpretación derivada del modo B y del doppler color.
En contraste, los casos 3 y 4, correspondientes a hemangiosarcoma y linfoma folicular, respectivamente, exhibieron rigidez aumentada, con un patrón marcadamente más duro que el parénquima circundante. Este comportamiento coincide con lo descrito para masas esplénicas malignas, especialmente tumores mesenquimales como el hemangiosarcoma, los cuales suelen presentar incrementos medibles en la velocidad de onda de corte5. En el caso 3, la combinación de esplenomegalia severa, lesiones focales múltiples y rigidez elevada en el nódulo principal constituyó un patrón compatible con malignidad. En el caso 4, la rigidez aumentada de un nódulo sólido y ecográficamente complejo se correlacionó adecuadamente con el diagnóstico de linfoma folicular.
La comparación entre los cuatro casos confirma un punto fundamental: la rigidez elevada aumenta la sospecha de malignidad, mientras que la rigidez normal o baja se asocia más frecuentemente a lesiones benignas, aunque sin excluir solapamientos. La superposición entre rangos sigue siendo una limitación inherente a la técnica, especialmente en procesos inflamatorios o hemorrágicos, por lo que la elastografía no puede utilizarse como único criterio diagnóstico.
Otro aspecto relevante es el valor de la interpretación integrada. En todos los casos, la combinación de los hallazgos del modo B, la vascularización Doppler y la rigidez elastográfica resultó más informativa que cualquiera de los métodos en forma aislada. Esto coincide con la recomendación de la literatura: la elastografía debe actuar como herramienta de soporte, no como sustituto de la citología o histopatología1,3,4,5.
Desde el punto de vista técnico, el uso del mismo equipo (Mindray MX7), la modalidad pSWE NTE y la aplicación de criterios de calidad descritos tanto en la bibliografía general1,2 como en los documentos técnicos del fabricante permitieron obtener mediciones consistentes. La estabilidad del ROI, la minimización de artefactos respiratorios y el descarte de mediciones no válidas fueron esenciales para garantizar confiabilidad. Aunque los documentos técnicos del fabricante se centran en órganos como tiroides y mama, sus recomendaciones generales (evitar presión excesiva, controlar homogeneidad del ROI, y repetir mediciones para confirmar estabilidad) son extrapolables y resultaron aplicables a los casos esplénicos evaluados.
En conjunto, la revisión bibliográfica y la serie de casos clínicos demuestran que la elastografía mediante NTE aporta información complementaria valiosa para la estratificación diagnóstica inicial de masas esplénicas en perros. Su principal fortaleza radica en mejorar la interpretación del modo B, especialmente en escenarios donde la presencia de una masa esplénica plantea dudas sobre malignidad, o cuando la punción resulta riesgosa o poco práctica. Aunque no sustituye la confirmación histopatológica, su contribución al razonamiento clínico es clara y consistente con lo reportado en la literatura.
Conclusiones
Natural Touch Elastography® es una herramienta accesible y reproducible para la evaluación del bazo canino. Si bien no permite diferenciar con certeza absoluta entre lesiones benignas y malignas, mejora la caracterización de masas y contribuye a la toma de decisiones clínicas cuando se interpreta de manera integrada. Su fiabilidad se ve reforzada mediante el cumplimiento de estándares técnicos derivados tanto de la literatura científica como de los documentos oficiales del fabricante.
Declaración de conflictos de interés
El autor declara que no existen conflictos de interés relacionados con la realización del presente artículo, la adquisición de imágenes, la interpretación de los hallazgos ni el uso del equipamiento ultrasonográfico mencionado.
Bibliografía
1. Sigrist RMS, Liau J, El Kaffas A, Chammas MC, Willmann JK. Ultrasound elastography: review of techniques and clinical applications. Theranostics. 2017;7(5):1303–1329.
2. Conti CB, Cavalcoli F, Fraquelli M, Conte D, Massironi S. Ultrasound elastographic techniques in focal liver lesions. World J Gastroenterol. 2016;22(9):2647–2656.
3. Holdsworth A, Bradley K, Birch S, Browne W, Barberet V. Elastography of the normal canine liver, spleen and kidneys. Vet Radiol Ultrasound. 2014;55(3):299–306.
4. Maronezi MC, Carvalho CF, Chieri RA, Uscategui RRA, Feliciano MAR, Simões AP, et al. Elastografía esplénica en perros sanos de diferentes edades. Pesq Vet Bras. 2015;35(5):516–520.
5. Lima R, Amorim M, Silva L, Uscategui R, Canola JC, Matera JM, et al. Accuracy of B-mode ultrasound and ARFI elastography in predicting malignancy of splenic lesions in dogs. Sci Rep. 2022;12:1–11.
6. Gennisson JL, Deffieux T, Fink M, Tanter M. Ultrasound elastography: principles and techniques. Diagn Interv Imaging. 2013;94(5):487–495.
7. White J, Gay J, Farnsworth R, Mickas M, Kim K, Mattoon J. Ultrasound elastography of the liver, spleen, and kidneys in clinically normal cats. Vet Radiol Ultrasound. 2014;55(4):428–434.
8. Carvalho CF, Uscategui RRA, Maronezi MC, Simões AP, Silva L, Coutinho L, et al. Elastography: principles and considerations for clinical research in veterinary medicine. J Vet Diagn Invest. 2020;32(6):1–11.
9. Piscaglia F, Salvatore V, Mulazzani L, Cantisani V, Colecchia A. Ultrasound shear wave elastography for liver disease assessment. World J Gastroenterol. 2016;22(26):7249–7258.
10. Wagner ES, Abdelgawad HAH, Landry M, Asfour B, Slidell MB, Azzam R. Use of shear wave elastography for the diagnosis and follow-up of biliary atresia: a meta-analysis. World J Gastroenterol. 2022;28(32):4726–4740.
11. Mindray Medical International. Breast Elastography: Clinical White Paper. Shenzhen (China): Mindray. (2019)
12. Mindray Medical International. Elastography of the Thyroid Nodule: Clinical White Paper. Shenzhen (China): Mindray. (2023)