Caso clínico felino: estenosis nasofaríngea secundaria como causa de signos respiratorios crónicos
Resumen breve
El diagnóstico diferencial de signos respiratorios crónicos de vías altas en gatos (estertores, sibilancias, arcadas y/o descarga nasal) es amplio, incluyendo pólipos nasofaríngeos, cuerpos extraños, rinitis crónica, estenosis nasofaríngea, imperforaciones e infecciones1.A continuación se presenta un caso de estenosis nasofaríngea, inicialmente manejado como enfermedad de vías bajas, detallando el proceso diagnóstico y el tratamiento mediante dilatación con balón.
Índice de contenidos
Introducción
Se evaluó en consulta un gato macho castrado de 3 años de edad por un cuadro crónico de varios meses de evolución caracterizado por secreción nasal mucosa y ruidos respiratorios, diagnosticado erróneamente como asma felino. Presenta un PCR respiratorio positivo para calicivirus felino, tras la anamnesis y pruebas pertinentes, el diagnóstico definitivo fue de estenosis nasofaríngea.
Los signos respiratorios crónicos refractarios eran consecuencia de la obstrucción provocada por la misma1. Esta debe sospecharse en gatos jóvenes con signos crónicos de vías altas como estertores, sibilancias, ruidos en la deglución con o sin descarga nasal1,3.
Las radiografías de cráneo pueden ser sugerentes de estenosis nasofaríngea, observándose opacidad de tejido blando dentro de la nasofaringe dorsal, y con frecuencia una desviación dorsal o deformación del paladar blando en el sitio de la estenosis4.
La dilatación con balón representa una opción terapéutica viable para el manejo de esta condición, si bien su tasa de recurrencia tras la misma es alta. En un estudio, el 30 % de los pacientes tuvieron éxito después de una sola dilatación y el 41 % tras múltiples procedimientos2, por lo que se debe informar a los tutores previamente.
Caso clínico
Se evaluó en consulta un gato macho castrado de 3 años por un cuadro crónico de varios meses de evolución caracterizado por secreción nasal mucosa y ruidos respiratorios.
Cuatro meses antes, se estableció en otro centro un diagnóstico presuntivo de asma felino instaurándose tratamiento con corticoides inhalados y orales durante más de 15 días, sin respuesta clínica favorable.
Se realizó también un test FeLV/FIV con resultado negativo y un panel PCR respiratorio de vías altas resultó positivo para calicivirus felino (CVF) y negativo para Chlamydophila spp y herpesvirus felino (HVF-1) y se administró un ciclo de marbofloxacino de forma empírica, considerando una respuesta positiva previa del paciente a este antibiótico por una infección por pseudomonas dos años antes, sin observarse mejoría.
En consulta, se determinó un empeoramiento de los signos respiratorios en los 9 meses previos, así como de los ruidos.
Las radiografías torácicas aportadas por los tutores, no revelaron alteraciones significativas (Figura 1).

Vídeo 1-3. El examen físico reveló sibilancias, estertores inspiratorios severos al tragar, así como refuerzo respiratorio marcado.
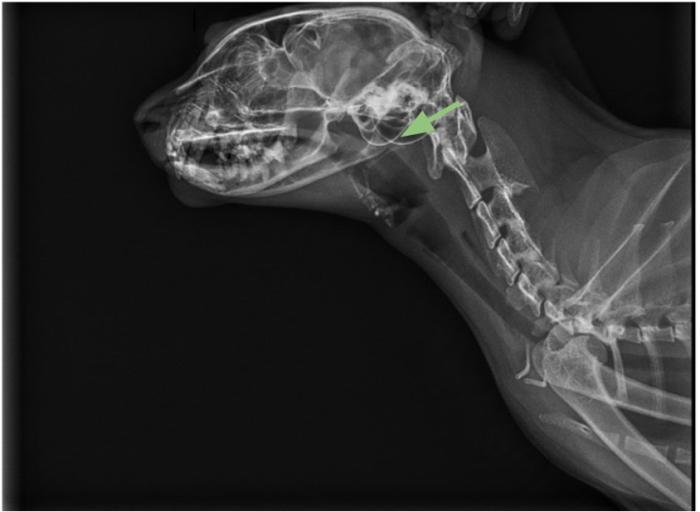
Ante la sospecha de una alteración de vías altas compatible con estenosis o pólipo nasofaríngeo, se realizó una radiografía de cráneo, en la cual se mostraba una alteración en la región nasofaríngea, a la altura de la zona de proyección de las coanas (Figura 2-3), compatible con una estenosis nasofaríngea o imperforación nasofaríngea.


Debido a esto, se planificó y realizó una rinoscopia y nasofaringoscopia retrógrada para confirmar y tratar la alteración, tras confirmar normalidad en los análisis prequirúrgicos (hemograma y bioquímica).
El examen endoscópico reveló inflamación y cambios estructurales severos en los cornetes nasales (más marcados en fosa nasal izquierda) y confirmó la presencia de una estenosis anular fibrosa en la región nasofaríngea media-caudal, con un diámetro luminal estimado de 2 mm. No se identificaron cuerpos extraños ni masas neoplásicas (Figura 4-5; Vídeo 4).


Vídeo 4. Estenosis nasofaríngea.
Durante el mismo procedimiento, se realizó la dilatación de la estenosis mediante un balón de 10 mm de diámetro, con cuatro aplicaciones consecutivas durante un minuto cada una (Vídeo 5).
Vídeo 5. Procedimiento dilatación nasofaríngea.
Y dilatando la nasofaringe como se puede observar (Vídeo 6 y Figura 6).
Vídeo 6. Estenosis nasofaríngea posdilatación.

Después de la misma, se prescribió tratamiento con prednisolona 1 mg/kg/día durante un mes para retrasar la cicatrización, amoxicilina-clavulánico a 12.5 mg/kg/12 h durante 1 semana para evitar infecciones secundarias y buprenorfina a 20 μg/kg/12 h durante 5 días como analgésico.
Inmediatamente después del procedimiento, los signos respiratorios desaparecieron, aunque se advirtió de la muy posible recidiva de los mismos pasadas unas semanas y la necesidad de ser intervenido en varias ocasiones, en base a estudios publicados y casos previos de esta patología.
Discusión
Se evaluó en consulta un gato macho castrado de 3 años por un cuadro crónico de varios meses de evolución caracterizado por secreción nasal mucosa y ruidos respiratorios, diagnosticado erróneamente como asma felino. Trae un diagnóstico laboratorial externo de PCR respiratorio positivo para calicivirus felino.
En las radiografías torácicas no se apreciaron alteraciones significativas.
El examen físico reveló sibilancias, estertores inspiratorios severos al tragar y refuerzo respiratorio marcado.
En la radiografía de cráneo, se observó alteración en la región nasofaríngea, a la altura de la zona de proyección de las coanas, compatible con una estenosis o imperforación nasofaríngea.
En base a los hallazgos, se planificó y realizó una rinoscopia y nasofaringoscopia retrógrada para confirmar y tratar la alteración, en la que se confirmó la presencia de una estenosis anular fibrosa en la región nasofaríngea media-caudal, con un diámetro luminal estimado de 2 mm, sin identificarse cuerpos extraños ni masas.
Durante el mismo procedimiento, se realizó la dilatación de la estenosis mediante un balón de 10 mm de diámetro, con cuatro aplicaciones consecutivas durante un minuto cada una, dilatando la nasofaringe.
Los signos respiratorios desaparecieron, aunque suele ser habitual la recidiva de los mismos pasadas unas semanas y debe reintervenirse en varias ocasiones, en base a estudios publicados y casos previos de esta patología.
Bibliografía
1. Champetier, A., Lemetayer, J., Ruel, Y. &Dossin, O. Nasopharyngealstenosis in cats: aretrospective studyof 21 cases comparingendoscopic and surgicaltreatment (2018–2022). J.FelineMed. Surg. 26, 1098612X241281902 (2024).
2. Burdick, S. et al. Interventionaltreatmentofbenignnasopharyngealstenosis and imperforatenasopharynx in dogs and cats: 46 cases (2005–2013). J. Am. Vet. Méd. Assoc. 253, 1300–1308 (2018).
3. Kang, K. &Brash, R. CT featuresofconfirmednasopharyngealstenosis in 12 cats. J. Feline Med. Surg. 27, 1098612X241305932 (2025).
4. Lorenzi, D. D., Bertoncello, D., Comastri, S. &Bottero, E. Treatmentofacquirednasopharyngealstenosisusing a removablesilicone stent. J. Feline Med. Surg. 17, 117–124 (2015)
Artículos Relacionados
Clinatv
Agosto 2017
Como alimentar adecuadamente al paciente felino
Emily Badaraco Tomás
Clinurgevet
Agosto 2017
Xenotransfusión de sangre canina a felino. Caso clínico
Sergio Salgado Nuñez del Prado, María Grazia Tovar Romero
Clininfectovet
Julio 2025
Sospecha de toxoplasmosis como causa de uveítis en un gato: abordaje clínico y revisión de las uveítis de origen infeccioso en gatos
Christian Cabo Álvarez, Luis Miguel García Roldán
Clinurgevet
Abril 2024
Miocardiopatía secundaria a la sepsis en veterinaria. Revisión bibliografía a partir de un caso clínico
Juan Manuel Guevara, Celeste Maistruarena, Emiliano Canizzo
Clinoncovet
Mayo 2025
Condrosarcoma felino: diagnóstico y relevancia de la histopatología en un caso clínico
Elena Colombino
Clinfelivet
Septiembre 2024
Hipertiroidismo felino: tratamiento con dosis individualizada de yodo radiactivo (I131) en un gato con enfermedad renal oculta; caso clínico.
María del Pilar Xifra Rubio, Sara Isabel Serrano García, Mark E. Peterson
Regístrate en CLINVET y podras acceder a todo nuestro contenido totalmente gratis
En 1 minuto estarás leyendo este artículo.
Especie
Revista
Clinanesvet
Clincardiovet
Clincirvet
Clinetovet
Clinnutrivet
Clinfelivet
Clininfectovet
Clindervet
Clinoncovet
Clinlabvet
Clinurgevet
Clinatv
Accede a CLINVET y podrás visualizar todo nuestro contenido
Recordar contraseña
Regístrate en CLINVET y podrás acceder a todo nuestro contenido
¿Has olvidado tu contraseña?