Indicadores de gravedad en diagnósticos de hipertensión pulmonar en perros
Resumen breve
La hipertensión pulmonar se define como el aumento de la presión dentro de la vasculatura pulmonar. La evaluación precisa de su gravedad requiere la utilización de métodos complementarios de diagnóstico. Cada estudio, incluyendo electrocardiografía, radiología torácica, ecocardiografía y Doppler cardiovascular, aporta información para establecer el diagnóstico y determinar el pronóstico del paciente. El electrocardiograma se caracteriza por el desvío del eje cardíaco a la derecha y…Índice de contenidos
Resumen
La hipertensión pulmonar se define como el aumento de la presión dentro de la vasculatura pulmonar. La evaluación precisa de su gravedad requiere la utilización de métodos complementarios de diagnóstico. Cada estudio, incluyendo electrocardiografía, radiología torácica, ecocardiografía y Doppler cardiovascular, aporta información para establecer el diagnóstico y determinar el pronóstico del paciente. El electrocardiograma se caracteriza por el desvío del eje cardíaco a la derecha y la presencia de ondas S profundas, en ocasiones melladas. La radiología muestra dilatación de la arteria pulmonar y del ventrículo derecho en D invertida, sobre una base de cardiomegalia significativa. La ecocardiografía, principalmente el estudio Doppler, permite establecer los cambios más precisos en cuanto a la valoración de la gravedad, especialmente la determinación de gradientes de presión transvalvular en el lado derecho del corazón. La regurgitación tricúspide significativa, definida con un punto de corte >3.4 m/s (>46 mmHg), es la determinación más importante. El propósito de esta publicación es aportar imágenes clave que permitan establecer los indicadores de máxima gravedad en perros con hipertensión pulmonar.
Introducción
La evaluación integral del paciente con hipertensión pulmonar (HP) comprende la anamnesis, la exploración física y la utilización de diversos métodos complementarios de diagnóstico, con el objetivo de establecer su gravedad clínica y hemodinámica1. Los perros con HP se clasifican en seis grupos: a) hipertensión arterial pulmonar, b) cardiopatía izquierda, c) enfermedad respiratoria, d) tromboembolia pulmonar, e) enfermedad parasitaria y f) trastornos multifactoriales, con mecanismos poco claros2. La fisiopatología del desarrollo de HP, definida como el aumento anormal de la presión dentro de la vasculatura pulmonar, resulta del aumento del flujo sanguíneo arterial pulmonar, el aumento de la resistencia vascular pulmonar, el aumento de la presión venosa pulmonar o una combinación de estos factores3. La vasculatura pulmonar normal está compuesta por arterias, venas y capilares de paredes delgadas; un sistema de baja presión, baja resistencia vascular y alta capacitancia. Debido a interacciones complejas, la mayoría de las cuales aún no se comprenden completamente en perros, la homeostasis de la circulación pulmonar puede verse alterada. Sin embargo, se sabe que el aumento del flujo sanguíneo arterial pulmonar y/o el aumento de la presión venosa pulmonar pueden provocar un aumento de la resistencia vascular pulmonar debido a la vasoconstricción arterial pulmonar, a la remodelación vascular pulmonar o a ambas4. Cuando la presión arterial pulmonar aumenta por encima de 25 mm Hg en reposo, se produce HP en humanos5. Con HP sostenida, el ventrículo derecho debe trabajar con mayor esfuerzo contra los aumentos en las presiones pulmonares, para mover la sangre a través de la vasculatura pulmonar. Como consecuencia, el ventrículo derecho (VD) sufre alteraciones estructurales, las cuales se relacionan con el aumento progresivo de la carga de trabajo, pudiendo generar disfunción ventricular, lo que conduce a insuficiencia cardíaca derecha (ascitis), signos de gasto bajo (hipotensión) y, probablemente, la muerte del paciente1.
Desarrollo
Las contribuciones de los métodos complementarios son invaluables para establecer el diagnóstico y determinar con precisión su gravedad.
Electrocardiografía
La HP puede evidenciar sobrecarga cameral atrial y ventricular derecha. En los registros se pueden presentar onda P picudas (>0.4 mV) y ondas S profundas en derivaciones I, II, III y aVF (patrón S)6y melladas (no siempre presente), así como desvío del eje cardíaco a la derecha5. La presencia de arritmias supraventriculares y ventriculares es variable, tanto en frecuencia como en tipo de presentación, y dependerá tanto del estado del sistema de conducción como del miocardio funcional, para cada caso en particular (Figura1).

Radiología torácica
La HP muestra aumento de las cámaras cardíacas derechas (ventrículo derecho, principalmente), de la arteria pulmonar principal y de sus ramas derecha e izquierda. En la imagen laterolateral, el ventrículo derecho se muestra recostado sobre el esternón (ocupando más de 3 esternebras) y la arteria pulmonar muestra una redundancia significativa en la base cardíaca craneal (Figura2A). El par ortogonal muestra D invertida para el ventrículo derecho y redundancia de la arteria pulmonar entre la 1 y las 2, cuando se usa la analogía de las agujas del reloj para establecer aumentos camerales específicos (Figura2B-D). Las arterias pulmonares craneales y caudales, sobre las vistas laterolateral y dorsoventral, respectivamente, pueden evidenciar aumento de su diámetro cuando se comparan con las estructuras costales respectivas7.

Ecocardiografía
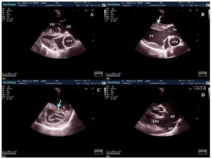
En las imágenes bidimensionales, la HP evidencia sobrecarga de volumen y presión del ventrículo derecho, aplanamiento sistólico del septo interventricular hacia la izquierda, dilatación anular tricuspídea con aparato valvular normal, arqueamiento septal atrial hacia la izquierda, dilatación del anillo pulmonar asociada a convexidad de valvas pulmonares hacia el ventrículo derecho y arteria pulmonar y ramas derecha e izquierda, dilatadas en comparación con la aorta como patrón de referencia8,9,19(Figura3). La exploración en modo M muestra aumento del diámetro del ventrículo derecho y aplanamiento septal o, en casos más graves, movimiento septal paradójico11.

Doppler cardíaco
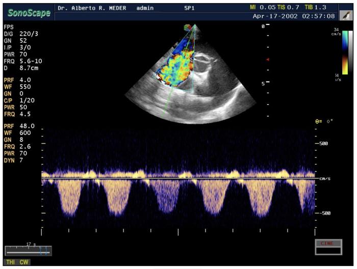
No constituye una prueba diagnóstica definitiva, ya que para este fin se requiere cateterismo cardíaco derecho, sin embargo, el uso de la ecocardiografía Doppler para estimar la presión arterial pulmonar es crucial en la evaluación ecocardiográfica de perros con sospecha de HP12. El Doppler espectral continuo del tracto de entrada del ventrículo derecho, utilizado como estimación indirecta de la presión arterial pulmonar sistólica, muestra una velocidad pico de regurgitación tricuspídea >3.4 m/s (>46 mmHg)2en casos graves (la presión arterial pulmonar sistólica puede subestimarse en presencia de hipertensión grave en la aurícula derecha) (Figura4).

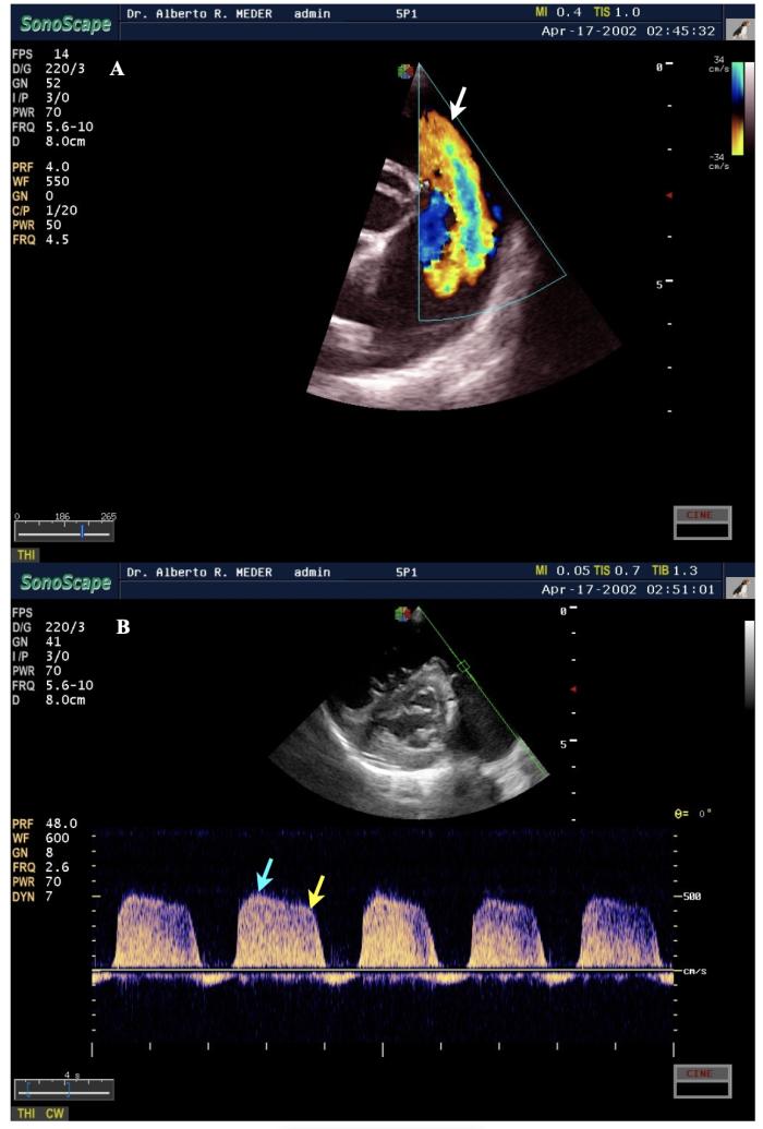
Por otro lado, la exploración Doppler espectral continuo del tracto de salida del ventrículo derecho muestra flujo pulmonar tipo II o III, con velocidades variables (generalmente >1.3 m/s) e insuficiencia pulmonar en casos graves, parámetro utilizado como estimación indirecta de la presión arterial pulmonar diastólica, con pico de velocidad temprano >2.5 m/s12,13,14(Figura5). Es importante considerar las limitaciones del examen Doppler y la inexactitud, variabilidad e imprecisión que pueden surgir al utilizar este método, para estimar la presión arterial pulmonar en perros individuales.

Discusión
La HP es una alteración vascular presente en una amplia variedad de procesos, con mecanismos fisiopatológicos diferentes y asociada a una diversidad de etiologías1,4. El diagnóstico implica no solo la interpretación de los signos clínicos presentados por el paciente, sino también su determinación objetiva mediante estudios diagnósticos complementarios2,3,5. En este contexto, varios son los aportes de los distintos métodos, siendo la ecocardiografía convencional y el estudio Doppler cardíaco los que aportan la mejor correlación con los hallazgos clínicos1. Si bien el estudio Doppler no es la técnica de elección para establecer los valores de presión arterial a nivel del tronco pulmonar, su determinación indirecta sigue siendo, en la actualidad, la herramienta más confiable para certificar la presencia de HP8,9,10,11. Asimismo, es importante conocer las limitaciones de la técnica y las distintas particularidades a considerar para evitar observaciones erróneas14. Por otra parte, y más allá de lo afirmado anteriormente, la velocidad punta de perfil del flujo asociado a regurgitación tricuspídea es la mejor determinación para establecer de manera indirecta el valor de presión arterial pulmonar sistólica2,13. Los valores de corte establecidos en la literatura sirven como una referencia aproximada, no exacta, pero ayudan a establecer la gravedad de la HP, en un paciente particular2. El presente trabajo pretende ser una síntesis de los principales hallazgos observados en pacientes con hipertensión pulmonar grave, con el objetivo de aportar una herramienta más a la rutina clínica veterinaria.
Bibliografía
- Kienle RD, Kittelson MD. Hipertensión arterial pulmonar y sistémica. En: Kittleson MD, Kienle RD. 2000.Medicina cardiovascular en pequeños animales. 2ª edición. Multimédica. Barcelona. España. 25:433-448.
- Reinero C, Visser LC, Kellihan HB, et al. ACVIM consensus statement guidelines for the diagnosis, classification, treatment, and monitoring of pulmonary hypertension in dogs. J Vet Intern Med. 2020;34:549–573. DOI: 10.1111/jvim.15725.
- Hoeper MM, Bogaard HJ, Condliffe R, et al. Definitions and diagnosis of pulmonary hypertension. J Am Coll Cardiol. 2013;62:D42-D50.
- Armstrong WF, Ryan T. Ecocardiografía de Feigenbaum. 7º Edición. Lippincott Williams & Wilkins. 2011. ISBN 978-84-96921-82-5. 13:337-359.
- Guazzi M, Naeije R. Pulmonary hypertension in heart failure: pathophysiology, pathobiology, and emerging clinical perspectives. J Am Coll Cardiol. 2017;69:1718-1734.
- Santilli R, Sydney Moïse N, Pariaut R, Perego M. 2019. Electrocardiografía en perros y gatos. Diagnóstico de arritmias. 2ª edición. Edra. Zaragoza. España.
- Thrall DE. 2009. Tratado de diagnóstico radiológico veterinario. 5ª edición. Intermédica. Buenos Aires.Argentina.
- Bonagura JD, Luis Fuentes V. Ecocardiografía. En: Mattoon JS, Nyland TG. Diagnóstico Ecográfico en Pequeños Animales. 2016. 3º edición. Multimédica Ediciones Veterinarias. Barcelona. 8:245-383.
- Augustine DX, Coates-Bradshaw LD, Willis J, et al. Echocardiographic assessment of pulmonary hypertension: a guideline protocol from the British Society of Echocardiography. Echo Res Pract. 2018;5:G11-g24.
- Gentile-Solomon JM, Abbott JA. Conventional echocardiographic assessment of the canine right heart: reference intervals and repeatability. J Vet Cardiol. 2016;18:234-247.
- Boon JA. 2006. Manual of Veterinary Echocardiography. Blackwell Publishing. Iowa. USA.
- Masuyama T, Kodama K, Kitabatake A, Sato H, Nanto S, Inoue M. Continuous-wave Doppler echocardiographic detection of pulmonary regurgitation and its application to noninvasive estimation of pulmonary artery pressure. Circulation. 1986;74:484-492.
- Soydan LC, Kellihan HB, Bates ML, et al. Accuracy of Doppler echocardiographic estimates of pulmonary artery pressures in a canine model of pulmonary hypertension. J Vet Cardiol. 2015;17:13-24.
- Abbott JA, Gentile-Solomon JM. Measurement variation and repeatability of echocardiographic variables used to estimate pulmonary artery pressure in dogs. J Vet Intern Med. 2017;31:1622-1628.