Tratamiento de la ruptura de ligamento cruzado craneal mediante técnica intracapsular con prótesis, Evolig; a propósito de 48 casos clínicos
Resumen breve
La ruptura del ligamento cruzado craneal es sin duda una de las lesiones más frecuentes en los perros y por ello, las técnicas quirúrgicas destinadas a solucionar la inestabilidad y la cojera de la articulación femorotibirotuliana (articulación de la rodilla) son numerosas y han ido evolucionando en los últimos años.Índice de contenidos
Introducción
La ruptura del ligamento cruzado craneal es sin duda una de las lesiones más frecuentes en los perros y, por ello, las técnicas quirúrgicas destinadas a solucionar la inestabilidad y la cojera de la articulación femorotibirotuliana (articulación de la rodilla) son numerosas y han ido evolucionando en los últimos años.
Sin duda en la actualidad las técnicas más utilizadas son las basadas en la nivelación de la meseta tibial, destacando la TPLO, CTWO, Y TTA (Figura 1).

Las limitaciones de las técnicas nombradas, como por ejemplo el hecho de no limitar el pivote medial de la tibia y ser cirugías más agresivas a nivel óseo, además de la búsqueda de mejor recuperación de la fisiología de la articulación, ha hecho que vuelvan las técnicas intracapsulares, pero con materiales con mayor biocompatibilidad, como son Evolig y Novalig, estando más extendida la primera, aunque basadas en lo mismo.
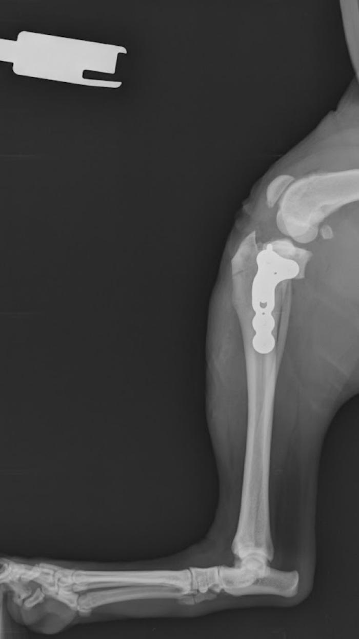
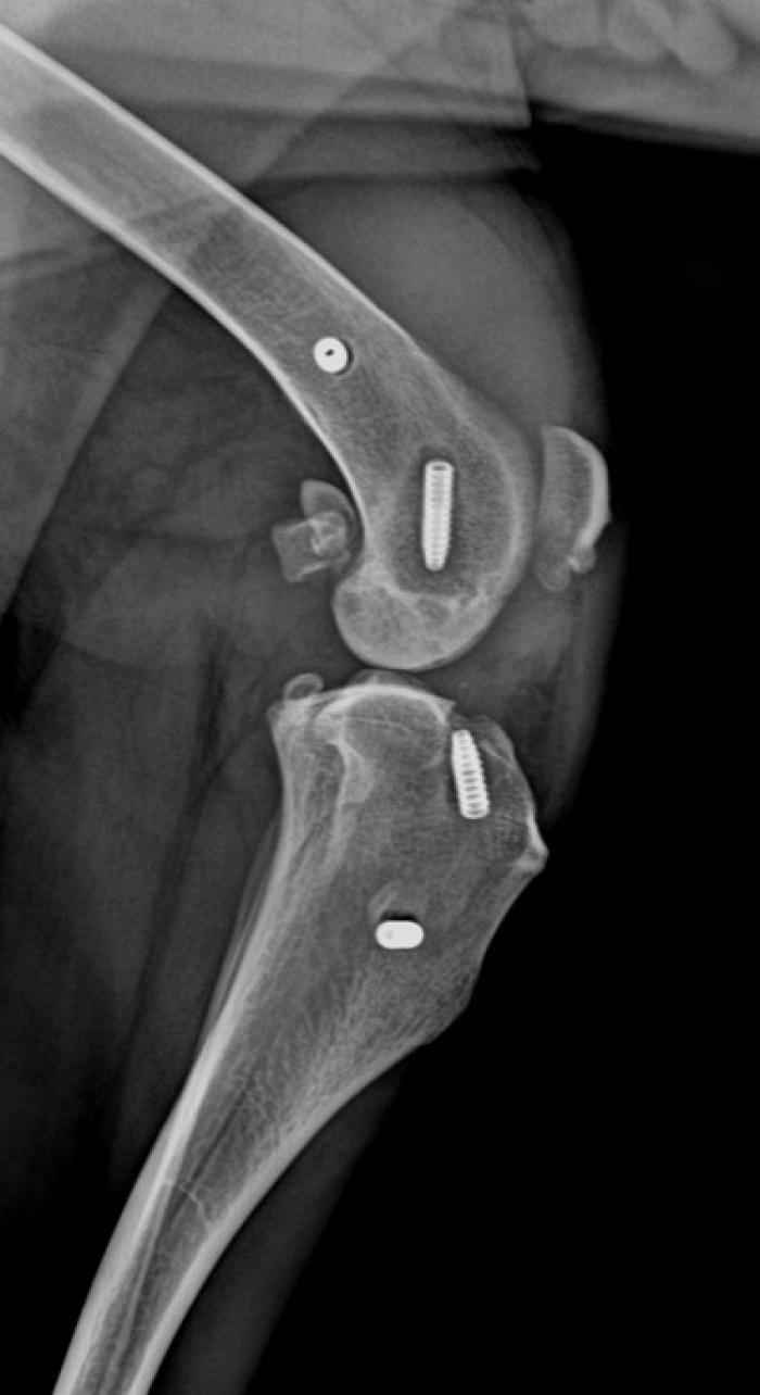
El ligamento de polietileno ultrarresistente de ultra alto peso molecular, se fija mediante tornillos interferenciales de titanio (Figura 2).

Técnica
Los 3 puntos clave de la técnica son:
- la isometría: colocación de los puntos isométricos,
- las fibras libres: posicionamiento de las fibras libres (Figura 3),

- la tensión a ejercer: regular la tensión que ejerce ese ligamento.
El ligamento “Evolig” tiene una estructura única en el mundo: una parte central activa, compuesta únicamente de fibras longitudinales, llamadas “free fibers” o “fibras libres”. Las fibras libres intraarticulares de Evolig, han hecho que aumentara considerablemente la resistencia a la fatiga ya que, es el primer implante que reproduce la función del ligamento natural. Su diseño permite la máxima biocompatibilidad, integrando los movimientos naturales de torsión, flexión y tensión propios de la articulación.
Por otro lado, estas fibras longitudinales mono filamentosas han hecho disminuir las posibles infecciones intraarticulares: así, las infecciones en implantes trenzados y con multifilamentos a nivel intraarticular, eran frecuentes porque los patógenos podían acceder a los espacios mínimos del trenzado, donde los macrófagos no tenían acceso por medir un tamaño muy superior y, por ello, las bacterias podían crecer sin ser atacadas.
Evolig resuelve todos estos impedimentos con la zona de fibras libres intraarticulares. Las “free fibers” son una evolución en la técnica de reconstrucción del ligamento cruzado craneal, ya que, soluciona los principales problemas que hubo con los implantes sintéticos del pasado. Respeta los movimientos naturales de la rodilla con la máxima biocompatibilidad.
Revisión de casos clínicos
La técnica se puede realizar en perros de cualquier tamaño y gatos, en este estudio se ha realizado solo en perros y en un alto porcentaje perros de tamaño medianos o grandes (Tabla 1).
Tabla 1.
| Razas de perros | < 10KG | 10-25 KG | >25KG |
|---|---|---|---|
| Teckel | 1 | ||
| Perro de aguas | 1 | ||
| Presa canario | 3 | ||
| Dálmata | 2 | ||
| Labrador | 7 | ||
| Rottweiler | 3 | ||
| X Mastín | 5 | ||
| Dogo argentino | 1 | ||
| Cane Corso | 1 | ||
| A Staffordshire | 4 | ||
| American Bulli | 3 | ||
| Bóxer | 2 | ||
| Dóberman | 1 | ||
| Pastor alemán | 1 | ||
| Weimaraneer | 1 | ||
| Mastín tibetano | 1 | ||
| Podenco | 1 | ||
| X Podenco | 1 | ||
| Bulldog americano | 1 | ||
| Dogo de Burdeos | 1 | ||
| Perros operados bilateral | 7 | ||
| Total de rodillas operadas | 48 Rodillas |
Evolución
En el 95 % de los casos, los perros evolucionaron muy rápido con buen apoyo de la extremidad prácticamente desde el segundo día (Vídeo 1).
Vídeo 1.
En todos los casos se empleó antibioterapia preventiva con cefalexina y marbofloxacino durante 10 días, además de tratamiento antiinflamatorio. Durante los primeros 10 días se aplicó laserterapia en días alternos.
Se aconseja al propietario paseos cortos, sin cargas explosivas durante al menos 45 días (solo paseos) (Vídeo 2).
Vídeo 2.
Complicaciones
LEVES
En la mayoría de los casos aparece inflamación en la rodilla, algún caso con seroma leve, y en un 30 % de los casos edema en tarso los 2 a 6 días posquirúrgicos (Figura 4).

MODERADAS
- Motivadas en la mayoría de los casos por dehiscencia de sutura, por la realización de un posoperatorio inadecuado.
- 2 casos en los que se produce un seroma bastante grande que requiere de drenaje (Figura 5).

- Infecciones leves que se corrigen con curas y antibioterapia.
- Deslizamiento del implante motivado por escaso reposo posquirúrgico.
GRAVES
- 4 infecciones posquirúrgicas, por mordedura y apertura de la incisión por parte del propio paciente que motiva a pesar de la antibioterapia que alrededor de 1 a 2 meses postquirúrgico requiera retirar el implante, y estabilización con extracapsular. Una de ellas adquiere una infección severa aislándose E. coli y Stafilococus spudointermedius, requiriendo también retirar el implante extracapsular, estabilizándose la articulación debido a la fibrosis, pero sin duda el caso más severo (raza Weimaraner) (Figuras 6-10).





- Llega otro caso que después de 5 años con buena condición del animal , debuta con una fístula, que posiblemente requiera retirada de implante (Figuras 11-13).
Conclusiones
La cirugía de la ruptura de ligamento cruzado con Evolig, es una buena técnica, que sin duda será el futuro pero realizada mediante artroscopia.
Requiere máxima exigencia a nivel de asepsia intraquirúrgica y sin duda máxima colaboración del tutor, tanto a nivel de curas como de su rehabilitación posquirúrgica, sin forzar al paciente antes de los 2 meses de la cirugía (Vídeo 3).
Vídeo 3.