Dermatitis pápulo-nodular asociada a leishmaniosis en una gata europea común
Resumen breve
Se describe el caso de una gata europea común, de 11 años y esterilizada, que acudió a consulta por un nódulo en el párpado inferior izquierdo. La paciente presentaba leve linfadenomegalia submandibular y, tras la exploración, se identificó un nódulo cutáneo nodular. Entre los diagnósticos diferenciales se incluyeron infecciones, reacciones a cuerpos extraños, meibomitis, neoplasia y leishmaniosis felina. La citología reveló abundantes amastigotes de Leishmania spp. y la serología para…Índice de contenidos
Resumen
Se describe el caso de una gata europea común, de 11 años y esterilizada, que acudió a consulta por un nódulo en el párpado inferior izquierdo. La paciente presentaba leve linfadenomegalia submandibular y, tras la exploración, se identificó un nódulo cutáneo nodular. Entre los diagnósticos diferenciales se incluyeron infecciones, reacciones a cuerpos extraños, meibomitis, neoplasia y leishmaniosis felina. La citología reveló abundantes amastigotes de Leishmania spp. y la serología para Leishmania fue positiva. La paciente fue tratada con alopurinol, mostrando remisión clínica y normalización de parámetros hematológicos tras 45 días. Este caso evidencia que los gatos en zonas endémicas pueden desarrollar leishmaniosis, siendo la presentación nodular cutánea una manifestación frecuente. El pronóstico suele ser favorable, salvo en presencia de comorbilidades.
Introducción
La leishmaniosis felina, causada por el protozoo Leishmania infantum y transmitida por un flebótomo, ha sido tradicionalmente infravalorada en gatos, considerándose al perro como principal reservorio. Sin embargo, estudios recientes indican que los gatos en áreas endémicas presentan una prevalencia de infección y exposición similar a la de los perros, aunque la mayoría de los casos en felinos son asintomáticos o subclínicos. Los factores de riesgo incluyen la inmunosupresión, la edad avanzada y la exposición al exterior. Las manifestaciones clínicas más frecuentes son lesiones cutáneas nodulares o ulcerativas, acompañadas a menudo de alteraciones hematológicas. El diagnóstico se basa en la citología de lesiones, histología, inmunohistoquímica y serología. Aunque no existen estudios controlados sobre el tratamiento, el alopurinol ha mostrado eficacia clínica, recomendándose un seguimiento estricto por posibles efectos secundarios. El pronóstico suele ser favorable, salvo en pacientes que presenten comorbilidades.
En este artículo se presenta un caso de dermatitis pápulo-nodular asociada a leishmaniosis en una gata europea común.
Caso clínico
Reseña
La paciente era una gata común europea, hembra, esterilizada de 11 años y 5 kg.
Anamnesis/historia clínica
El motivo de la consulta fue la aparición de un nódulo en el párpado inferior del ojo izquierdo. La paciente vivía en una casa adosada con jardín, junto con otro gato y una perra de raza Bóxer, que no presentaban alteraciones dermatológicas.
Comía una dieta para gatos con sobrepeso y se encontraba al día de sus desparasitaciones internas mediante la administración mensual de un comprimido de milbemicina oxima y prazicuantel (Milbactor comprimidos recubiertos para gatos®, KRKA, d.d., Novo mesto, Eslovenia). No recibía desparasitaciones externas de forma regular.
Exploración general
La paciente presentaba un índice corporal de 4 sobre 5. Su temperatura rectal era de 38.8 ºC. No mostraba alteraciones evidentes a la auscultación. Presentaba una leve linfadenomegalia submandibular unilateral (lado izquierdo) a la palpación.
Exploración dermatológica
Presentaba un nódulo de 1 cm de diámetro a nivel del borde externo del párpado inferior izquierdo (Figura 1A). Al evertir el párpado se observaba hiperemia conjuntival y quemosis (Figura 1B). No se detectaba otro tipo de alteraciones cutáneas en la exploración dermatológica.


Patrón dermatológico
Se trataba de un patrón dermatológico de tipo nodular.
Diagnóstico diferencial
Se propuso el siguiente diferencial:
- Nódulo de naturaleza infecciosa (bacteriana o fúngica).
- Nódulo por reacción a cuerpo extraño.
- Meibomitis.
- Neoplasia.
- Leishmaniosis felina.
Pruebas diagnósticas básicas
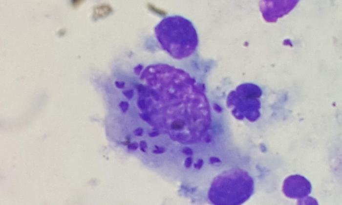
Al tratarse de una lesión nodular, la primera prueba que se realizó fue una punción con aguja fina (27G) sin aspiración, simplemente introduciendo la aguja varias veces en la misma dirección. Tras realizar la extensión de la muestra en el portaobjetos, se procedió a su fijado y tinción mediante la técnica de Diff-quik. La muestra presentaba gran cantidad de estructuras compatibles con amastigotes de Leishmania spp. la mayoría en el interior del citoplasma de los macrófagos(Figura 2).

Pruebas diagnósticas complementarias
Se procedió a la extracción de sangre para la realización de un perfil hematológico y bioquímico, además de una determinación de anticuerpos anti-leishmania (mediante la técnica de inmunofluorescencia indirecta) y un proteinograma, que reveló la existencia de una anemia de tipo normocítica y normocrómica, linfopenia y trombocitopenia. La fracción gamma estaba elevada. Estos hallazgos podían ser sugestivos de leishmaniosis.
La detección de anticuerpos anti-Leishmania mediante la técnica de inmunofluorescencia indirecta (IFI) también resultó positiva (figura 3).

Se realizó una prueba inmunocromatográfica para la detección de leucemia e inmunodeficiencia felina que resultó negativa.
Diagnóstico
Dermatitis pápulo-nodular asociada a leishmaniosis.
Tratamiento
La paciente se trató mediante la administración de 10 mg/kg/12 h de alopurinol (Zyloric 100 mg®, Faes Farma, S.A. Leioa).
Seguimiento y evolución
Se revisó a los 45 días después del inicio del tratamiento. Los signos clínicos cutáneos habían remitido (Figuras 4A y 4B) y los valores hematológicos y del proteinograma se habían normalizado (Figura 5).



Se recomendaron revisiones cada 3-6 meses para evaluar el estado de salud de la paciente, mediante el examen clínico y la realización de pruebas laboratoriales. Ante la estabilidad de los resultados analíticos se retiró el alopurinol a los 3 meses. La paciente no mostró nuevas alteraciones relacionadas con la leishmaniosis.
Discusión y conclusiones
La leishmaniosis es una enfermedad producida por un protozoo intracelular del género Leishmania (Leishmania infantum en el área mediterránea), que precisa de un vector del género Phlebotomus para su transmisión. Se ha considerado a los perros como su principal reservorio, pero otros mamíferos, domésticos y silvestres, también pueden actuar como tales. Debido a la importancia del perro como reservorio principal y a la gravedad de los signos clínicos que provoca, la enfermedad ha sido ampliamente estudiada en la especie canina.
Durante años la especie felina se ha considerado menos susceptible al contagio y a la infección por Leishmania spp. por lo que la incidencia de esta enfermedad en los gatos podría haber sido infravalorada1. La realidad es que los gatos que viven en áreas endémicas podrían tener un riesgo de exposición y una prevalencia similar a los perros que viven en dicha área, aunque la mayoría de los casos serían asintomáticos o subclínicos1. Por lo tanto, los gatos infectados pueden representar un reservorio para Leishmania infantum.
En este caso la paciente vivía en un área endémica para la leishmaniosis (la costa mediterránea) y pasaba gran parte del tiempo en el exterior, por lo que era susceptible a la picadura del vector.
La mitad de las infecciones se producen en gatos inmunosuprimidos, en gran parte debido a tratamientos inmunosupresores y los virus de la leucemia y la inmunodeficiencia felinas. La edad también puede ser un factor de riesgo para el desarrollo de esta enfermedad. En un estudio de prevalencia se reportó que el 64 % de los gatos positivos a leishmaniosis tenían 6 o más años5.
En este caso la prueba para detección de virus de leucemia felina y anticuerpos frente a virus de inmunodeficiencia felina resultó negativa, pero al ser una paciente geriátrica, podría estar en cierto modo, inmunocomprometida y ser más susceptible al desarrollo de la enfermedad.
Las lesiones cutáneas más comunes en la leishmaniosis felina son la dermatitis ulcerativa y nodular presentes de forma más frecuente en la cabeza o de forma simétrica en las extremidades distales3. Además de las lesiones cutáneas se puede encontrar uveítis, gingivoestomatitis crónica, hipergammaglobulinemia y anemia normocítica-normocrómica leve1. En el caso de esta paciente se trataba de una presentación nodular, con presencia de hipergammaglobulinemia y anemia normocítica-normocrómica leve.
La citología de lesiones nodulares o ulcerativas es un método diagnóstico rápido y fiable en caso de obtener un resultado positivo. Si no se detectan amastigotes en estas lesiones se puede basar el diagnóstico en la histología + IHQ y/o PCR de tejido lesional1,2.
El diagnóstico de esta paciente se realizó a través de la citología de la lesión, en la que se detectaron gran cantidad de amastigotes, la mayor parte intracelulares. También se detectaron cambios hematológicos y titulación positiva para anticuerpos anti-Leishmania infantum mediante la técnica de IFI.
No existen estudios controlados para el tratamiento de la leishmaniosis felina, aunque el tratamiento con alopurinol a una dosis de 10 mg/kg/12 h PO ha demostrado ser efectivo en el tratamiento de la leishmaniosis felina1. Este tratamiento resultó efectivo para la resolución de los signos clínicos de la paciente.
Dado que no existen estudios sobre la seguridad del alopurinol en gatos, se recomienda realizar un seguimiento estricto del estado de salud de los animales en tratamiento mediante controles periódicos, incluido un análisis de orina, y aconsejar al tutor que informe de inmediato cualquier anomalía1. En este caso, hubiera sido conveniente realizar análisis de orina para monitorizar la funcionalidad renal y la presencia de proteínas.
La duración del tratamiento con alopurinol debe evaluarse caso por caso en función de la respuesta clínica y del seguimiento parasitológico y serológico1.
El pronóstico en gatos con leishmaniosis felina es generalmente bueno. Enfermedades concurrentes como las neoplasias, inmunodeficiencia felina, leucemia felina o la enfermedad renal pueden empeorar el pronóstico.
Bibliografía
- Pennisi, M. G., Cardoso, L., Baneth, G., Bourdeau, P., Koutinas, A., Miró, G., Oliva, G., & Solano-Gallego, L. LeishVet update and recommendations on feline leishmaniosis. Parasites & vectors 2015, 8, 302.
- Ahuir-Baraja, A. E., Ruiz, M. P., Garijo, M. M., & Llobat, L. Feline Leishmaniosis: An Emerging Public Health Problem. Veterinary sciences 2021; 8(9), 173.
- Abramo, F., Albanese, F., Gattuso, S., Randone, A., Fileccia, I., Dedola, C., Ibba, F., Ottaiano, P., & Brianti, E. Skin Lesions in Feline Leishmaniosis: A Systematic Review. Pathogens (Basel, Switzerland) 2021; 10(4), 472.
- Alcover, M.M.; Basurco, A.; Fernandez, A.; Riera, C.; Fisa, R.; Gonzalez, A.; Verde, M.; Garrido, A.M.; Ruíz, H.; Yzuel, A.; et al. A Cross-Sectional Study of Leishmania Infantum Infection in Stray Cats in the City of Zaragoza (Spain) Using Serology and PCR. Parasit. Vectors 2021, 14, 178.
- Iatta, Roberta, et al. A nationwide survey of Leishmania infantum infection in cats and associated risk factors in Italy. PLoS Neglected Tropical Diseases, 2019, vol. 13, no 7, p. e0007594.