Enfermedad renal poliquística; A propósito de un caso clínico.
Resumen breve
La Enfermedad Renal Poliquística (ERP o PKD en inglés) es la enfermedad felina genética más frecuente. Afecta a los gatos persa, cruces y razas relacionadas, como el exótico. Se trata de una enfermedad de carácter progresivo que conduce a un daño renal irreversible. Puede afectar, además del riñón, otros órganos como el hígado o el páncreas. Su prevalencia en los últimos años ha disminuido gracias a los programas de cribado y la cría selectiva.Índice de contenidos
Introducción
La Enfermedad Renal Poliquística (ERP o PKD en inglés) es la enfermedad felina genética más frecuente. Afecta a los gatos persa, cruces y razas relacionadas, como el exótico. Se trata de una enfermedad de carácter progresivo que conduce a un daño renal irreversible. Puede afectar, además del riñón, otros órganos como el hígado o el páncreas. Su prevalencia en los últimos años ha disminuido gracias a los programas de cribado y la cría selectiva (1) (2).
Caso clínico
Acudió a revisión general un macho castrado raza persa de 5 años procedente de un criadero. En el examen físico se palparon ambos riñones rugosos y el izquierdo con un tamaño superior al derecho. El resto de la exploración no reveló más alteraciones y la presión arterial era correcta (120 mmHg Doppler Extr.Ant.Der. manguito 3cm). Se solicitaron los análisis genéticos del paciente, pero, desgraciadamente, el criadero de procedencia no llevaba a cabo las pruebas genéticas para la detección de ERP.
Analíticamente presentaba anemia no regenerativa (hematocrito 22 %) y valores de las concentraciones de urea y de creatinina elevados en 137 mg/dL y 3.38 mg/dL, respectivamente (Tablas 1 y 2).
Tabla 1. Hemograma del paciente en la primera visita. VCM: Volumen Corpuscular Medio. HCM: Hemoglobina Corpuscular Media. CHCM: Concentración de Hemoglobina Corpuscular Media.
| Parámetro | Resultado | Rango de referencia |
|---|---|---|
| Hematocrito | 22.0 %* | 24.0 – 45.0 % |
| Hemoglobina | 6.7 g/dL* | 8.0 – 14.0 g/dL |
| Hematíes | 3940 x 103/uL* | 5500 – 10500 x 103/uL |
| VCM | 55.84 fL* | 40.00 – 55.00 fL |
| HCM | 17.01 pg* | 13.00 – 17.00 pg |
| CHCM | 30.45 g/dL | 30.00 – 36.00 g/dL |
| Reticulocitos (valor relativo) | 2.94 % | < 10.80 |
| Reticulocitos (valor absoluto) | 116.10 x 103/mm3 | < 500.00 |
| Leucocitos | 8510/uL | 5500 – 19500/uL |
| Eosinófilos | 680.80/uL | 0.00 – 1500.00/uL |
| Basófilos | 0.00/uL | 0.00/L |
| Linfocitos | 2382.80/uL | 1500.00 – 7000.00/uL |
| Monocitos | 255.30/uL | 0.00 – 850.00/uL |
| Cayados | 0.00/uL | 0.00 – 300.00/uL |
| Segmentados | 5191.10/uL | 2500.00 – 12.500.00/uL |
Tabla 2. Bioquímica del paciente en la primera visita.
| Parámetro | Resultado | Rango de referencia |
|---|---|---|
| Urea | 137 mg/dL* | 40 - 70 mg/dL |
| Creatinina | 3.38 mg/dL* | < 1.60 mg/dL |
| Fósforo | 6.5 mg/dL | 2.9 – 8.3 mg/dL |
| Sodio | 149 mEq/L | 147 – 156 mEq/L |
| Potasio | 4.38 mEq/L | 3.80 – 4.50 mEq/L |
| Cloro | 125 mEq/L | 119 – 132 mEq/L |
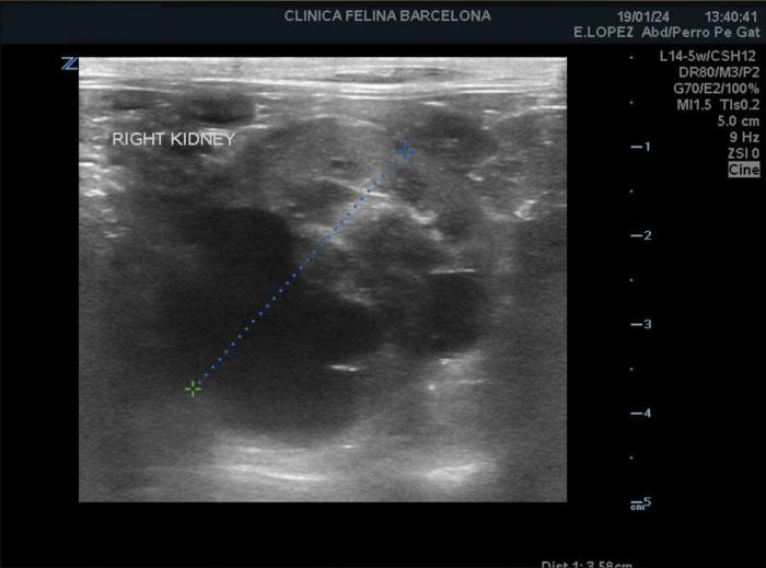
En la ecografía abdominal se visualizaron los dos riñones con contorno irregular. Tanto en la corteza como en la médula de ambos riñones se distinguieron múltiples estructuras redondeadas y anecoicas, de tamaño variable, compatibles con quistes (Figura1 y 2).


Se decidió realizar un urianálisis en el que se observó una disminución de la densidad urinaria (1.015 g/L), proteinuria, hematuria y un UPC de 0.55. A la vista de los resultados, se inició tratamiento con dieta renal, suplemento acuoso y telmisartán 1 mg/kg una vez al día vía oral.
Al mes de tratamiento se realizó una revisión en la que se detectó un soplo cardíaco III/VI. La frecuencia cardíaca era de 240 lpm. En la analítica sanguínea se mantuvo el hematocrito bajo (22.6 %) y los valores de creatinina (3.1 mg/dL) y urea (99 mg/dL) por encima del rango de referencia. Se realizó un NT-proBNP cuantitativo con un valor de 210 pmol/L. (Estos valores se encuentran 100 - 270 pmol/L y el laboratorio de referencia los clasifica como anormales/sospechosos e implican que hay estrés en el miocardio). En ese momento se recomendó realizar una ecocardiografía pero se pospuso por problemas económicos.
En la revisión a los 3 meses, la propietaria refirió vómitos tras la administración de telmisartán. Se continuaba auscultando un soplo cardíaco con la misma intensidad que en el anterior control. Se observó pérdida de peso con leve sarcopenia. Respecto al hematocrito, se mantenía en 20.9 %. La bioquímica demostraba un incremento de los valores renales (creatinina en 4.2 mg/dL y urea en 138 mg/dL) y potasio (5.3 mEq/L). Se suspendió el telmisartán y se inició tratamiento con benazeprilo 0.75 mg/kg una vez al día vía oral.
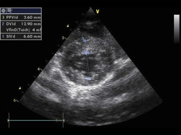
Se decidió realizar una ecocardiografía en la que se evidenciaron alteraciones compatibles con una cardiomiopatía hipertrófica obstructiva (Figura 3). Como la frecuencia cardíaca continuaba elevada en 260 lpm, se decidió instaurar un tratamiento con atenolol 6.25 mg/gato una vez al día.

Se realizaron controles analíticos seriados cada 3 meses en los que se observó estancamiento de la anemia y de los valores renales, además de una disminución de la albúmina hasta 2 g/dL. Tras un tiempo estable, el paciente comenzó con un cuadro de vómitos, anorexia y apatía por el cual fue necesario hospitalizar. La analítica mostraba un hematocrito de 14.1 %, albúmina en 2.4 g/dL y azotemia (nivel de creatinina sérica en 3.8 mg/dL). Debido al empeoramiento del estado clínico, se optó por la eutanasia humanitaria.
Discusión
Etiología y prevalencia
La ERP afecta principalmente a los gatos de raza persa y de razas exóticas. Se han utilizado estirpes persas en la selección de varias razas, como British Shorthair y Burmilla, por lo que es posible que la mutación del gen también se haya introducido en individuos de dichas razas (3).
La prevalencia en gatos de raza persa varía entre el 36 y 49.2 %, sin predilección sexual. La enfermedad en la especie felina es similar a la descrita en humanos, tanto por los signos clínicos como por su patrón hereditario.
La ERP se transmite debido a un defecto autosómico dominante que se origina a partir de una mutación de un nucleótido en el gen PKD1. Dicha mutación se ha identificado únicamente en gatos heterocigotos, por lo que el estado homocigótico se ha relacionado con muerte embrionaria (1) (4).
Existe un pequeño porcentaje de gatos con ERP en los que no se ha detectado la mutación del gen PKD1. Esto sugiere que otras mutaciones, ya sea en el propio gen PKD1 o en otros, pueden desencadenar la enfermedad en la población felina (1) (5).
Diagnóstico
La ERP es asintomática en etapas tempranas. Los signos clínicos suelen aparecer en individuos jóvenes/adultos (el paciente del caso acudió a la primera visita con 5 años) (6) (2). La exploración física demuestra renomegalia bilateral y contorno irregular. Los quistes pueden provocar hematuria y favorecer la aparición de infecciones del tracto urinario (2) (7).
Los hallazgos laboratoriales en individuos con ERP son compatibles con una enfermedad renal crónica (ERC). El análisis de sangre suele revelar anemia, azotemia e incremento de la concentración sérica de fósforo. La densidad urinaria tiende a ser baja y puede aparecer proteinuria. La radiografía permite confirmar la presencia de cambios en el tamaño de los riñones. La aparición de signos clínicos asociados con insuficiencia hepática, debido a la presencia de quistes en esta localización, no es habitual(3). En nuestro caso, la palpación renal era anormal y analíticamente destacaba una anemia leve no regenerativa, azotemia y densidad urinaria baja.
Para su diagnóstico molecular, el veterinario clínico tiene a su disposición: la prueba de Reacción en Cadena de la Polimerasa - Fragmentos de Restricción de Longitud Polimórfica (PCR-RFLP) y la PCR en tiempo real para la identificación de la mutación en el gen PKD1, ambas con una elevada sensibilidad y especificidad (5). Las pruebas genéticas permiten un diagnóstico temprano de ERP en individuos de menos de 4 meses. También se pueden emplear para diferenciar quistes hereditarios y no hereditarios (1).
En el año 2000, se puso en marcha en Reino Unido el programa de la International Cat Care AD-PKD (Autosomal Dominant Polycistic Kidney Disease), cuya finalidad es identificar a los gatos afectados en dicho territorio y fomentar la selección de individuos aptos para la reproducción con la creación de un registro de gatos con resultados negativos a las pruebas. El análisis genético, a partir de una muestra sanguínea o de la mucosa oral, es el método de elección para la inclusión de un animal en dicho programa (2).
Las pruebas genéticas tienen la limitación de que solo detectan la ERP asociada a la mutación en el gen PKD1, además de que su disponibilidad es escasa (5) (8). Se recomienda llevar a cabo un estudio ecográfico en gatos positivos para determinar el número y tamaño de los quistes renales y poder predecir la severidad de la enfermedad (1). En el caso descrito anteriormente, al tratarse de un individuo adulto castrado, de raza predispuesta y con hallazgos ecográficos compatibles con ERP, no se consideró necesaria la realización de un análisis genético.
La ecografía es la herramienta diagnóstica más práctica en individuos adultos. En la fase inicial de la enfermedad, resulta complicado identificar quistes de pequeño tamaño, sobre todo si su diámetro es inferior a 2 mm (3). La sensibilidad aumenta en función de la edad, siendo del 75 % cuando se realiza a las 16 semanas de edad y del 91 % a las 36 semanas. La especificidad se estima del 100 %, aunque depende sobre todo de la experiencia del ecografista (1). Se ha visto que la ausencia de quistes en la ecografía a los 6 meses de edad se asocia con la ausencia de ERP en la necropsia (4).
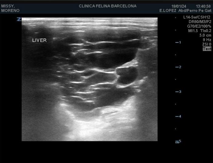
Ecográficamente, los quistes se visualizan como estructuras redondas u ovaladas, de tamaño variable (desde menos de 1 mm hasta más de 1 cm), con la pared fina y contenido anecoico con fuerte refuerzo acústico posterior. La mayoría se localizan en la corteza y en la unión corticomedular de uno o ambos riñones. Con el paso del tiempo, los quistes aumentan en número y volumen, sustituyendo el parénquima normal e incluso llegando a deformar el contorno renal. En algunos casos se pueden desarrollar quistes en el hígado y/o páncreas (4)(6)(8) (Figura 4). En nuestro paciente, ecográficamente se observaron ambos riñones irregulares y con quistes, sin lesiones en hígado ni tampoco en páncreas.

El examen ecográfico ayuda a determinar la evolución y progresión de la enfermedad. Hay que tener en cuenta que no todos los quistes renales se asocian a ERP, por lo que los análisis genéticos son útiles para confirmar el patrón hereditario (1) (8). Se han identificado varios individuos de raza Maine Coon con quistes renales y negativos a las pruebas genéticas, aunque la prevalencia es baja. También es posible detectar quistes corticales en gatos con ERC como hallazgos incidentales (8).
En 2019, se propuso un criterio ecográfico basado en la edad para el diagnóstico de ERP, el cual aparece resumido en la Tabla 3 y que puede resultar de gran utilidad en la práctica clínica (5). Se recomienda combinar el estudio ecográfico con las pruebas genéticas para alcanzar un diagnóstico óptimo y monitorizar la progresión de la enfermedad (7).
Tabla 3. Criterios ecográficos por intervalo etario para el diagnóstico de ERP.
| Criterio diagnóstico | Intervalo etario |
|---|---|
| Presencia de al menos 1 quiste | < 15 meses |
| 2 o más quistes uni o bilaterales | 16-32 meses |
| 3 o más quistes uni o bilaterales | 33-49 meses |
| 4 o más quistes uni o bilaterales | 50-66 meses |
El fluido presente en el interior de los quistes es claro e inodoro. La aspiración del mismo no se recomienda, pues el riesgo de infección iatrogénica de los quistes es elevado. La biopsia renal no suele estar indicada. Las complicaciones derivadas del procedimiento deben considerarse teniendo en cuenta la escasa información adicional que aporta el estudio histopatológico (3).
Los quistes renales se deben diferenciar de otras lesiones cavitarias, como hematomas o abscesos, aunque éstas son infrecuentes y tienden a ser unilaterales. El tamaño de los hematomas disminuye con el tiempo y la ecogenicidad varía en función de la cronicidad. Los abscesos se observan como estructuras redondeadas hipoecoicas y la aspiración de material purulento confirma su diagnóstico. Los pseudoquistes perirrenales se originan debido a la acumulación de líquido anecoico, entre la corteza y la cápsula renal, secundaria a una enfermedad parenquimatosa (3) (8).
Tratamiento
En la actualidad no existe un tratamiento específico para la ERP felina, por lo que el manejo a largo plazo es similar al de un paciente con ERC. Se debe monitorizar la función renal y las complicaciones derivadas de la ERC (deshidratación, anemia, hipocalemia, hipertensión, infecciones del tracto urinario inferior...) a través de análisis de sangre y orina periódicos (3).
Tal y como señala la Sociedad Internacional de Interés Renal (IRIS), se deben controlar la hipertensión y proteinuria y, en su caso, tratarlas. A mayores, se recomienda iniciar una dieta renal a partir del estadio IRIS II cuando se cumplen los requisitos(9). Basándonos en dichas directrices, nuestro paciente se encontraba en un estadio IRIS III proteinúrico normotenso en el momento del diagnóstico. Por consiguiente, se comenzó tratamiento con dieta renal y telmisartán para tratar la proteinuria, el cual se tuvo que sustituir por benazeprilo debido a la aparición de efectos gastrointestinales tras su administración.
Se han publicado múltiples estudios sobre el uso de tolvaptán, un antagonista del receptor de vasopresina, o la metformina, entre otros, para la reducción de la formación de quistes en humanos diagnosticados de ERP. Sin embargo, su eficacia en la especie felina aún no se ha evaluado(10).
En 2022, se llevó a cabo un estudio piloto sobre los efectos renoprotectores del ácido docosahexaenoico (DHA), un ácido graso esencial omega-3, en gatos con ERC secundaria a ERP. Los resultados mostraron que la administración de DHA a una dosis de 250 mg/kg durante 28 días reduce significativamente los niveles de SDMA y UPC, sin producir efectos secundarios(11).
Pronóstico
La ERP es una enfermedad progresiva, aunque el ritmo al que avanza es variable e impredecible en numerosas ocasiones(1) (3). Los primeros signos de disfunción renal pueden manifestarse a partir de los 2-3 años de edad. No obstante, los gatos afectados tienden a permanecer clínicamente estables durante la mayor parte de su vida y el fallo renal suele ocurrir tarde, aproximadamente a los 7 años (3) (4). Nuestro paciente falleció a los 6 años y 9 meses de edad, casi 2 años después del momento del diagnóstico.
Prevención
Debido a la elevada morbilidad/mortalidad en razas predispuestas, la detección temprana es esencial para establecer un programa de cría adecuado(5). Es posible erradicar la ERP realizando pruebas de cribado y seleccionando a aquellos progenitores libres de la enfermedad para evitar la transmisión a la descendencia. En la primera visita de gatitos de razas predispuestas, es importante indagar sobre su procedencia y si sus progenitores son negativos a las pruebas genéticas(12).
Bibliografía
1. Bonazzi M, Volta A, Gnudi G, Cozzi M, Strillacci M, Polli M, Longeri M, Manfredi S, Bertoni G. Comparison between ultrasound and genetic testing for the early diagnosis of polycystic kidney disease in Persian and Exotic Shorthair cats. 2009, J Feline Med Surg, 11, págs. 430-434.
2. Cannon M, Korman R. Kidney: Autosomal Dominant Polycystic Kidney Disease. Vetlexicom Felis [Internet] Disponible en: https://www.vetlexicon.com/felis/urinary/articles/kidney-autosomal-dominant-polycystic-disease/. Último acceso 09 Feb 2026.
3. Cannon M. International Cat Care AD-PKD negative register. Vetlexicom Felis [Internet] Disponible en: https://www.vetlexicon.com/felis/diagnostic-imaging/articles/international-cat-care-ad-pkd-negative-register/. Último acceso 09 Feb 2026.
4. Domanjko-Petric A, Cernec D, Cotman M. Polycystic kidney disease: a review and occurrence in Slovenia with comparison between ultrasound and genetic testing. 2008, J Feline Med Surg, 10, págs. 115-119.
5. Guerra J, Freitas M, Daniel A, Pellegrino A, Cardoso N, Castro I, Onuchic L, Cogliati B. Age-based ultrasonographic criteria for diagnosis of autosomal dominant polycystic kidney disease in Persian cats. 2019, J Feline Med Surgs, 21 (2), págs. 156-164.
6. Debruyn J, Haers H, Combes A, Paepe D, Peremans K, Vanderperren K, Saunders J. Ultrasonography of the feline kidney: technique, anatomy and changes associated with disease. 2012, J Feline Med Surg, 14, págs. 794-803.
7. Segev G. Enfermedades renales familiares y congénitas de gatos y perros. Ettinger S, Feldman E, Côté E. Tratado de Medicina Interna Veterinaria 8ª Edición. 2021, págs. 1981-1984.
8. Griffin, S. Feline abdominal ultrasonography: what’s normal? What’s abnormal? The kidneys and perinephric space. 2020, J Feline Med Surg, 22, págs 409-427.
9. International Renal Interest Society. Treatment Recommendations for CKD in Cats. 2023.
10. Jaturanratsamee K, Sukumolanan P, Jiwaganont P, Petchdee S. PKD1 gene mutation and ultrasonographic characterization in cats with renal cysts. 2023, F1000Research, 12.
11. Kobayashi S, Kawarasaki M, Aono A, Cho J, Hashimoto T, Sato R. Renoprotective effects of docosahexaenoic acid in cats with early chronic kidney disease due to polycystic kidney disease: a pilot study. 2022, J Feline Med Surg, 24 (12), págs 505-512.
12. Volta A, Manfredi S, Gnudi G, Gelati A, Bertorni G. Polycystic kidney disease in a Chartreux cat. 2010, J Feline Med Surg, 12, págs. 138-140.