Importancia de la ultrasonografía en la pancreatolitiasis de felinos domésticos. Revisión bibliográfica y presentación de dos casos clínicos
Resumen breve
La pancreatolitiasis en los felinos domésticos es una patología poco frecuente y escasamente reportada en la literatura veterinaria, lo que dificulta aún más su reconocimiento clínico. Esta revisión bibliográfica, complementada con la presentación de dos casos clínicos, analiza su etiopatogenia, las manifestaciones clínicas, los hallazgos ecográficos y las opciones terapéuticas actuales. En ambos casos clínicos, la ecografía abdominal permitió identificar cálculos intraductales y…Índice de contenidos
Introducción
Las enfermedades pancreáticas en felinos domésticos representan un desafío diagnóstico y terapéutico en la medicina veterinaria de pequeños animales. La dificultad se debe, principalmente, a la naturaleza inespecífica e insidiosa de sus manifestaciones clínicas. Signos como letargia, anorexia, vómitos intermitentes o pérdida de peso son comunes y se solapan con patologías gastrointestinales, hepáticas, endocrinas o renales, lo cual frecuentemente retrasa o impide un diagnóstico certero1. Entre estas afecciones, la pancreatitis es especialmente relevante por su alta frecuencia y tendencia a cursar de forma subclínica o con signos vagos, lo que exige una evaluación integral basada en la anamnesis, el examen clínico, pruebas bioquímicas y estudios de imagen como la ecografía abdominal2,3.
Dentro de este contexto, resulta aún más complejo diagnosticar entidades infrecuentes como la pancreatolitiasis, definida como la formación de cálculos minerales dentro de los conductos pancreáticos. En medicina humana, esta condición se asocia frecuentemente a pancreatitis crónica, con una prevalencia de entre el 50 y 90 % en algunos grupos de pacientes4. En cambio, en medicina veterinaria, su reporte es extremadamente limitado y se han documentado muy pocos casos clínicos en gatos5,6,7. A pesar de ello, sus consecuencias clínicas pueden ser relevantes: la obstrucción ductal por cálculos puede desencadenar inflamación persistente, fibrosis del parénquima pancreático, colestasis secundaria e incluso insuficiencia hepática6,8.
El diagnóstico clínico de pancreatolitiasis felina se ve dificultado por la ausencia de signos patognomónicos y por las limitaciones inherentes a las herramientas diagnósticas disponibles. La ecografía abdominal, particularmente con tecnología de alta resolución y Doppler color, permite identificar estructuras hiperecogénicas con sombra acústica posterior y dilatación del conducto pancreático, hallazgos altamente sugestivos de litiasis9,10,11. No obstante, la confirmación definitiva sigue ocurriendo con frecuencia en estudios post mortem, lo que sugiere que muchos casos podrían no ser detectados en vida5,7.
Este artículo presenta dos casos clínicos de pancreatolitiasis obstructiva en felinos domésticos, en los que se logró correlacionar los hallazgos ecográficos, bioquímicos, clínicos y, en uno de ellos, anatomopatológicos post mortem. El objetivo es aportar nueva evidencia sobre esta entidad poco reconocida, destacar los signos clave para su detección, y promover su inclusión entre los diagnósticos diferenciales en gatos con signos digestivos crónicos o refractarios.
La pancreatolitiasis felina
Etiopatogenia de la pancreatolitiasis en felinos
La formación de cálculos en el conducto pancreático en gatos es un fenómeno poco comprendido, debido a su baja incidencia y a la escasez de estudios específicos. Sin embargo, se postulan varios mecanismos etiopatogénicos que podrían explicar su aparición. Entre ellos se encuentran la alteración crónica del pH dentro del conducto pancreático, que favorece la precipitación de sales minerales como el carbonato de calcio; la estasis del flujo pancreático por inflamación o fibrosis ductal; y la hipersecreción de componentes proteicos en el jugo pancreático, que pueden servir como núcleo del cálculo12. Asimismo, se sospecha que procesos inflamatorios repetidos o de baja intensidad podrían desencadenar un microambiente propicio para la mineralización, especialmente si existe una predisposición individual o una alteración metabólica subyacente. En medicina humana, el hiperparatiroidismo y la hipercalcemia crónica han sido implicadas en la litogénesis pancreática, aunque estas asociaciones no han sido demostradas en felinos13.
Clasificación y composición de los cálculos pancreáticos
Los cálculos pancreáticos pueden clasificarse según su composición química y su ubicación anatómica. En humanos, los más frecuentes están compuestos por carbonato de calcio, oxalato cálcico y proteínas precipitadas14. En felinos, la bibliografía veterinaria reporta casos aislados de cálculos de carbonato de calcio5, lo que podría indicar una predisposición hacia este tipo de mineralización. Desde el punto de vista clínico, la composición del cálculo tiene implicancias diagnósticas y terapéuticas, ya que algunos pueden ser más fácilmente fragmentables o detectables por imagen. Sin embargo, en veterinaria aún no existen técnicas de litotricia ni abordajes específicos para cada tipo de cálculo, lo que limita la utilidad práctica de esta clasificación más allá del diagnóstico post mortem9.
Pancreatolitiasis en otras especies: comparación con caninos y humanos
En comparación con los gatos, los perros presentan una mayor prevalencia de pancreatopatías agudas, aunque los cálculos pancreáticos también son infrecuentes. En ellos, las litiasis suelen ser hallazgos incidentales o asociados a procesos crónicos1. En cambio, en humanos, la pancreatolitiasis es una complicación común en casos de pancreatitis crónica, especialmente de origen alcohólico, y puede alcanzar una prevalencia de hasta el 90 % en esos pacientes4. A nivel terapéutico, la diferencia es aún más marcada: la medicina humana cuenta con herramientas avanzadas como la colangiopancreatografía retrógrada endoscópica (CPRE), ecografía endoscópica y litotricia extracorpórea, que permiten la extracción o fragmentación de los cálculos. En medicina veterinaria, la intervención quirúrgica sobre el páncreas es excepcional, y las decisiones se orientan mayoritariamente hacia el manejo médico y paliativo15.
Pronóstico y evolución clínica
El pronóstico de los gatos con pancreatolitiasis depende del grado de obstrucción ductal, la presencia de pancreatitis secundaria, y de si existe o no compromiso biliar o hepático. En la mayoría de los casos documentados, la evolución es desfavorable, con desenlaces fatales si no se detecta precozmente8. La ictericia progresiva, la anorexia persistente y el deterioro del estado general son señales de mal pronóstico. El desarrollo de fibrosis pancreática y colestasis obstructiva puede desencadenar un síndrome multiorgánico, especialmente si la obstrucción persiste sin intervención. Por esta razón, el diagnóstico temprano, aunque poco frecuente, se asocia con mejores posibilidades de intervención médica y soporte clínico.
Perspectivas de investigación futura
Dada la rareza de esta patología, se requieren estudios multicéntricos retrospectivos y prospectivos que aborden su prevalencia real en la población felina, los factores predisponentes y las opciones terapéuticas eficaces. Sería particularmente valioso desarrollar protocolos estandarizados de diagnóstico ecográfico para la detección de pancreatolitiasis, así como modelos experimentales que simulen el proceso de litogénesis pancreática en gatos. Asimismo, se necesita fomentar la investigación histopatológica post mortem en felinos con signos digestivos crónicos, a fin de identificar posibles casos no diagnosticados en vida. El desarrollo de tecnologías mínimamente invasivas en veterinaria (como la ecografía endoscópica) podría transformar en el futuro el enfoque clínico de esta condición.
Impacto del diagnóstico temprano y educación al tutor
El éxito en el manejo de patologías pancreáticas felinas depende en gran parte de la educación y compromiso del tutor. La identificación temprana de signos como vómitos recurrentes, inapetencia e ictericia requiere una vigilancia activa por parte del tutor, así como el conocimiento de la importancia del chequeo preventivo veterinario. Además, el acceso a servicios de diagnóstico por imagen avanzados, como la ecografía con Doppler color, aún es limitado en muchas regiones, lo que subraya la necesidad de promover la capacitación continua de clínicos generales en el reconocimiento ecográfico de estructuras pancreáticas. El fortalecimiento del vínculo entre el tutor informado y el veterinario capacitado es esencial para mejorar los tiempos diagnósticos y, potencialmente, el pronóstico clínico.
Casos clínicos
Caso 1
Se presentó a consulta un paciente felino, mestiza, hembra castrada, de 8 años de edad, con vómitos intermitentes, pérdida de peso y dolor abdominal, de tres semanas de evolución. Al examen físico se evidenció condición corporal baja (BCS 2/5), deshidratación leve y dolor a la palpación abdominal craneal.
Se realizaron estudios de sangre (Figura 1) cuyos resultados indicaron una colestasis severa con posible afectación hepatobiliar o pancreática secundaria. El hemograma evidenció la presencia de leucocitosis (33.750 /mm³), linfocitosis y monocitosis.

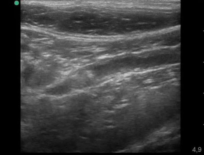
El estudio ultrasonográfico abdominal se realizó con un ecógrafo marca Mindray® modelo Z60Vet®, con transductor de 12 MHz. El estudio reveló los siguientes hallazgos (Figura 2-4):
- Hiperecogenicidad difusa e irregularidad de contornos en la rama derecha del páncreas.
- Dilatación del conducto pancreático derecho, alcanzando 0.49 cm de diámetro.
- Imagen hiperecogénica intraductal con sombra acústica posterior y artefacto de centelleo en Doppler color, compatible con litiasis.



Pese al tratamiento instaurado (fluidoterapia, analgesia y protectores hepáticos), la paciente presentó evolución desfavorable, con ictericia progresiva y decaimiento, falleciendo días posteriores a la evaluación. La necropsia confirmó obstrucción ductal pancreática derecha secundaria a cálculo único, con pancreatitis obstructiva y cambios fibróticos (Figura 5). El análisis del cálculo post mortem determinó que se trataba de carbonato de calcio puro (Figura 6).


Caso 2
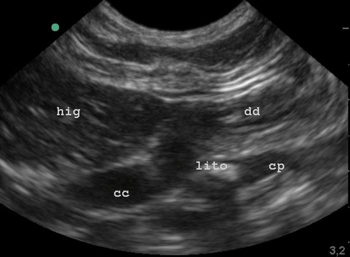
Se trató de otro paciente felino de 10 años de edad, que padecía desde hace algún tiempo de triaditis felina, presentando períodos asintomáticos, con reagudizaciones esporádicas. En una reagudización se le realizaron estudios de sangre (Figura 7), obteniéndose amilasa y colesterol elevados, y un estudio ultrasonográfico, en la cual se detectaron signos compatibles con pancreatitis crónica y un cálculo semiobstructivo en el conducto pancreático (Figuras 8 y 9).



En otra toma ultrasonográfica se reconoció que el cálculo se ubicaba en la región del esfinter de Oddi, e indirectamente afectaba al conducto colédoco (Figura 10).

La paciente respondía rápida y favorablemente a la fluidoterapia, alimentación especializada y manejo del dolor, por lo cual no ha fallecido al día de la fecha. Tampoco fue intervenida quirúrgicamente. Debido a todo esto no se tienen datos anatomopatológicos ni análisis de la composición del cálculo.
La ultrasonografía del caso 2 fue realizada utilizando un equipo marca Sonosite® modelo M-Turbo®, con transductores microconvexo de 5 a 9 MHz y lineal de 8 a 15 MHz.
Discusión
La pancreatolitiasis en gatos es una entidad infrecuente, pero potencialmente grave, cuya detección precoz reviste importancia clínica significativa. En los casos aquí presentados, se observaron signos compatibles con enfermedad pancreática como vómitos, pérdida de peso e ictericia, lo que concuerda con lo reportado en la literatura como manifestaciones típicas de pancreatitis obstructiva2,3.
El hallazgo ecográfico de estructuras hiperecogénicas intraductales con sombra acústica posterior, asociado a la dilatación del conducto pancreático, fue fundamental para la sospecha diagnóstica de litiasis pancreática. Esta combinación ha sido descrita previamente como una de las principales herramientas de diagnóstico por imagen en casos de pancreatolitiasis felina9,10. El uso de Doppler color, que permite identificar artefactos de centelleo o twinkling, ha demostrado aumentar la sensibilidad para detectar minerales intraductales como el carbonato de calcio11.
La composición del cálculo pancreático analizado en uno de los casos (carbonato de calcio puro) coincide con lo reportado en otros estudios de casos felinos y bovinos, y sugiere un mecanismo fisiopatológico relacionado con inflamación crónica, estasis ductal o incluso hipercalcemia5,16. En uno de los reportes recientes, se describió por primera vez una asociación entre pancreatolitiasis obstructiva felina e hipercalcemia concurrente, lo que apoya la hipótesis de una alteración del metabolismo mineral como factor contribuyente5.
El abordaje terapéutico fue sintomático y conservador, con resultados diversos. Un paciente falleció debido a complicaciones obstructivas graves, mientras que otro evolucionó favorablemente sin necesidad de cirugía. Si bien en medicina humana existen opciones como la litotricia endoscópica o la CPRE (colangiopancreatografía retrógrada endoscópica), en veterinaria estas técnicas no están disponibles de forma rutinaria. Sin embargo, un reciente reporte documentó el uso exitoso de un stent ureteral doble pigtail como manejo quirúrgico innovador para resolver una pancreatolitiasis obstructiva en un gato, lo cual abre la puerta a nuevas estrategias de tratamiento en la clínica especializada6.
Por último, cabe destacar la relevancia de estudios retrospectivos que evidencian la alta proporción de pancreatitis idiopática en gatos y la frecuente subestimación de hallazgos como la litiasis pancreática3,17. La mayor difusión del conocimiento sobre esta entidad, junto con el uso sistemático de herramientas ecográficas avanzadas, podría mejorar significativamente su detección temprana.
Conclusión
La pancreatolitiasis en felinos domésticos sigue siendo una patología subestimada en la práctica veterinaria, tanto por su baja prevalencia como por la inespecificidad de sus manifestaciones clínicas. Sin embargo, los casos documentados, incluyendo los aquí presentados, evidencian que esta condición puede tener consecuencias sistémicas graves como pancreatitis obstructiva crónica, colestasis biliar e insuficiencia hepática progresiva2,3,8.
Los signos clínicos observados, como ictericia, pérdida de peso y vómitos crónicos, deben ser considerados como alertas diagnósticas, particularmente si se acompañan de hallazgos ecográficos como dilatación del conducto pancreático o estructuras hiperecogénicas con sombra acústica posterior10,11. La ecografía transabdominal, especialmente combinada con Doppler color, constituye una herramienta fundamental para la sospecha de litiasis intrapancreática, aunque su confirmación definitiva sigue dependiendo frecuentemente de evaluaciones post mortem9.
En uno de los casos reportados, la composición del cálculo (carbonato de calcio) y la presencia concomitante de hipercalcemia, según lo documentado también por Allan et al.5, sugieren la necesidad de explorar alteraciones metabólicas subyacentes como parte del enfoque clínico integral. Además, estudios recientes han demostrado que, aunque el manejo suele ser sintomático, existen abordajes quirúrgicos innovadores como el uso de stents ureterales dobles para aliviar la obstrucción ductal, lo cual representa una alternativa prometedora en medicina veterinaria especializada6.
El subregistro actual de pancreatolitiasis en felinos podría explicarse por la falta de sospecha clínica, las limitaciones diagnósticas y la escasez de herramientas terapéuticas específicas. Esto pone de relieve la necesidad de fortalecer la vigilancia clínica, la formación del personal veterinario en ecografía avanzada y la creación de registros sistemáticos para caracterizar mejor esta patología.
(A las familias de los pacientes por autorizar el uso de los casos con fines académicos. También agradecemos a Clínica Veterinaria Priotti y a la Médica Veterinaria Julieta Toranzo, por facilitar el uso de su equipo de ecografía y permitir la realización del estudio en sus instalaciones, donde se obtuvieron las imágenes del caso 1. Los autores declaran que no existen conflictos de interés en el presente trabajo.)
Bibliografía
- Watson P. Pancreatitis in cats. Top Companion Anim Med. 2017;32(1):36–41.
- Xenoulis PG, Steiner JM. Current concepts in feline pancreatitis. Top Companion Anim Med. 2008;23(4):185–92.
- Nivy R, Kaplanov A, Kuzi S, Mazaki-Tovi M, Yas E, Segev G, et al. A retrospective study of 157 hospitalized cats with pancreatitis. J Vet Intern Med. 2018; 32 (6):1874–85.
- Ong WC, Lakhtakia S, Ang TL, Teoh AYB, Seo DW. Pancreatolithiasis: An update. J Gastroenterol Hepatol. 2017;32(9):1590–9.
- Allan F, Peschard AL, Schiavo L, Bayton W, Corbetta D, McCallum KE. Obstructive pancreatolithiasis in a cat with triaditis and concurrent hypercalcaemia. JFMS Open Rep. 2021;7(1):2055116921998494.
- Chang L, Taylor JA. Use of a double pigtail ureteral stent for surgical management of obstructive pancreatolithiasis in a feline patient. JFMS Open Rep. 2024;10(2):20551169241288217.
- Plesman RL, Norris A, Ringwood PB. What Is Your Diagnosis? JAVMA. 2014;244(6):647–9.
- Mansfield CS, Jones BR. Pancreatitis in cats: A retrospective study. Aust Vet J. 2001;79(9):579–82.
- Steiner JM, Williams DA. Diagnostic evaluation of the pancreas. Clin Tech Small Anim Pract. 2002;17(3):117–23.
- Larson MM, Biller DS. Ultrasonographic evaluation of the feline pancreas. Vet Clin North Am Small Anim Pract. 2012;42(6):1243–58.
- Lamb CR. Twinkling artifact on colour Doppler ultrasound: A review. Vet Radiol Ultrasound. 2016;57(2):141–50.
- Hall JA, Hand MS, Thatcher CD, Remillard RL, Roudebush P. Small Animal Clinical Nutrition. 5th ed. Topeka: Mark Morris Institute; 2010.
- Guda NM, Partington S, Freeman ML. Review article: pathogenesis and management of pancreatic stones in chronic pancreatitis. Aliment Pharmacol Ther. 2005;22(9):845–55.
- Kleeff J, Korc M, Apte M, La Vecchia C, Johnson CD, Biankin AV, et al. Pancreatic cancer. Nat Rev Dis Primers. 2017;3(1):1–22.
- Tandan M, et al. Endotherapy for pancreatic calculi – experience from a tertiary care center. Surg Endosc. 2010;24(10):2322–30.
- López A, McKenna S. Bovine pancreatolithiasis: case report and review of the literature. J Vet Diagn Invest. 2018;30(5):760–62.
- Bailiff NL, Norris CR, Seguin B, et al. Pancreatolithiasis and pancreatic pseudobladder associated with pancreatitis in a cat. J Am Anim Hosp Assoc. 2004;40(1):69–74.