Linfangitis lipogranulomatosa: a propósito de un caso clínico
Resumen breve
Se describe la presentación clínica, el abordaje diagnóstico, el tratamiento y la evolución clínica a medio plazo de un perro Mestizo de tres años diagnosticado de linfangitis lipogranulomatosa intestinal, de la cual, hasta la fecha, solo se han descrito 31 casos en la literatura. Este caso subraya la importancia de considerar esta entidad como diagnóstico diferencial en perros con masas intestinales, incluso en ausencia de alteraciones hematológicas o bioquímicas relevantes.Índice de contenidos
Resumen
La linfangitis lipogranulomatosa intestinal es una forma poco frecuente de enteropatía crónica canina, caracterizada por la formación de lesiones granulomatosas debidas a la fuga crónica de linfa a través de los vasos linfáticos dilatados o rotos de la pared intestinal. Aunque su patogenia aún es desconocida, no se ha identificado ningún agente infeccioso predisponente y se ha planteado la hipótesis de una etiología multifactorial con posible predisposición genética y base inmunomediada.
El diagnóstico definitivo requiere biopsias intestinales de espesor completo para su evaluación histológica, aunque ciertas alteraciones características pueden ser detectadas mediante ecografía abdominal. El tratamiento médico puede ser efectivo en determinados casos, aunque en otros puede ser necesaria la resección quirúrgica de los segmentos intestinales más afectados.
A continuación, se describe la presentación clínica, el abordaje diagnóstico, el tratamiento y la evolución clínica a medio plazo de un perro Mestizo de tres años diagnosticado de linfangitis lipogranulomatosa intestinal. Este caso subraya la importancia de considerar esta entidad como diagnóstico diferencial en perros con masas intestinales, incluso en ausencia de alteraciones hematológicas o bioquímicas relevantes.
Introducción
La linfangitis lipogranulomatosa es una forma poco frecuente de enteropatía crónica en perros, caracterizada por engrosamientos focales o multifocales de la pared intestinal secundarios a la formación de lesiones granulomatosas provocadas por la fuga crónica de linfa a través de los vasos linfáticos. Aunque su etiología no está completamente esclarecida, no se ha identificado ningún agente infeccioso predisponente yse ha propuesto una causa multifactorial con posible predisposición genética1.
Caso clínico
Se presentó en consulta un perro Mestizo, macho castrado de tres años de edad, correctamente vacunado y desparasitado, con un cuadro agudo de apatía, anorexia y vómitos de dos días de evolución (Figura 1). No presentaba antecedentes clínicos relevantes.

Figura 1. Paciente canino atendido por cuadro agudo de apatía, anorexia y vómitos.
En la exploración física general se evidenció una deshidratación estimada en un 5 %. La condición corporal era adecuada (5/9) y no se detectaron otras alteraciones clínicas evidentes.
El hemograma mostró una leve neutrofilia (12.83 K/µl, rango de referencia de 2.95-11.64 K/µl), mientras que la bioquímica sérica reveló una hipokalemia leve (3.3 mmol/l, rango de referencia de 3.5-5.8 mmol/l). La concentración de lipasa pancreática específica no fue consistente con pancreatitis (52.4 ng/ml, rango de referencia de 0-200 ng/ml) y en las radiografías torácicas y abdominales no se evidenciaron anomalías radiológicamente visibles.
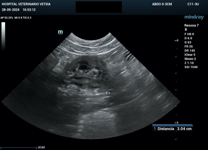
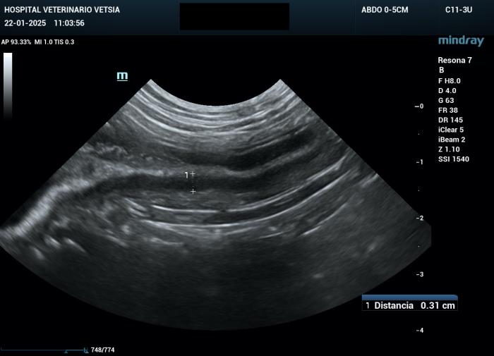
La ecografía abdominal evidenció un engrosamiento moderado de la mucosa y de la submucosa, y leve de la capa muscular del yeyuno y del íleon, generando un efecto masa transmural (Figura 2A-B).

Figura 2A-B. Imágenes ecográficas en las que se aprecia un engrosamiento de la mucosa y submucosa yeyunal, con alteración asimétrica de la capa muscular.

La grasa mesentérica adyacente se mostró moderadamente hiperecogénica, y se identificó una escasa cantidad de líquido libre, insuficiente para toma de muestra.
Basándose en estos hallazgos, se realizó una enterectomía terminoterminal del segmento afectado, respetando márgenes quirúrgicos de 3 centímetros.
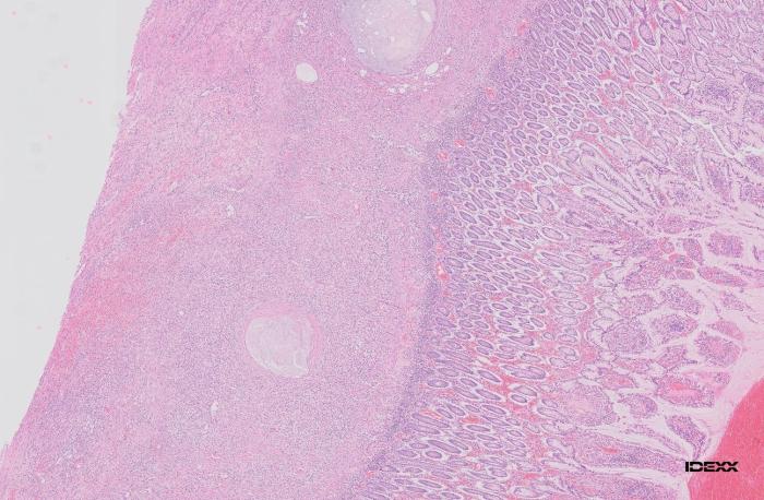
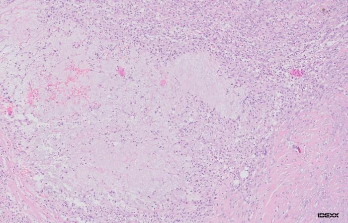
Histopatológicamente, la zona de engrosamiento intestinal se caracterizó por un intenso infiltrado de neutrófilos, macrófagos y, en menor medida, linfocitos y células plasmáticas, que afectaba predominantemente a la mucosa y se extendía al tejido muscular y mesenterio adyacente. Este proceso inflamatorio se acompañaba de hemorragia abundante y leve reacción de fibroplasia. Multifocalmente, se observaron pequeños agregados de macrófagos espumosos y ocasionales células gigantes multinucleadas dispuestos alrededor de espacios de contenido eosinofílico anfofílico pálido, correspondientes a vasos linfáticos dilatados bordeados por una fibroplasia concéntrica leve. Lesiones similares se identificaron también en la submucosa de las zonas marginales, no pudiéndose descartar, por lo tanto, la afectación de otros segmentos intestinales. La mucosa restante mostró hiperplasia moderada del tejido linfoide asociado a mucosa y un infiltrado inflamatorio mixto, compuesto por un número moderado de neutrófilos, linfocitos y células plasmáticas. Estos hallazgos fueron consistentes con linfangitis lipogranulomatosa focal grave (Figura 3A-D).

Figura 3A-D. Histopatología intestinal que evidencia linfangitis lipogranulomatosa focal grave, con infiltrado inflamatorio mixto, hemorragia, fibroplasia leve y dilatación de vasos linfáticos con macrófagos espumosos y células gigantes multinucleadas.



Se detectó una deficiencia de ácido fólico (7.8 ng/ml, rango de referencia de 8.2-13.5 ng/ml) y cobalamina (260 ng/l, rango de referencia de 275-590 ng/l), mientras que la concentración de TLI se encontraba dentro de los valores de referencia (15.3 ng/ml, rango de referencia de 10.9-50 ng/ml). Se instauró tratamiento nutricional basado en una dieta baja en grasa, junto con suplementación vitamínica específica (B12 y B9).
Un mes después, se realizó una nueva ecografía de abdomen en la que se observó un engrosamiento focal del yeyuno y un engrosamiento difuso del íleon. En ese momento, el paciente volvió a presentar signos de dolor y apatía, por lo que se inició tratamiento inmunosupresor con prednisolona a 1 mg/kg/12 h VO ante la sospecha de recidiva de granulomas y progresión de la enfermedad.
Tras el ajuste terapéutico, los signos de dolor se controlaron; sin embargo, el paciente comenzó a presentar pérdida de peso progresiva. Un mes después del inicio de la terapia con corticoides persistían las alteraciones ecográficas, motivo por el cual se añadió ciclosporina a 5 mg/kg/12 h VO como segundo agente inmunosupresor.
Dos semanas después de instaurar el tratamiento combinado, los signos clínicos y las alteraciones ecográficas habían remitido, permitiendo iniciar una pauta de reducción progresiva de la dosis de prednisolona.
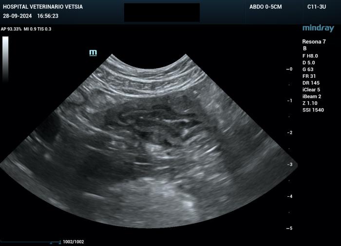
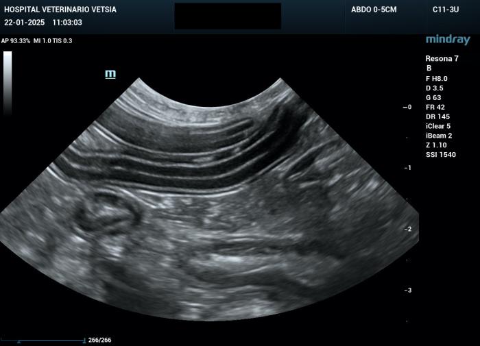
Actualmente, ocho meses después del diagnóstico, el paciente se mantiene clínicamente estable tras la retirada completa de los glucocorticoides. Continúa recibiendo ciclosporina a la dosis inicial y mantiene la dieta baja en grasa. No se han observado signos clínicos ni hallazgos ecográficos sugestivos de recidiva de la enfermedad (Figura 4A-B).

Figura 4A-B. Imágenes de ecografía abdominal sin signos de recidiva a los ocho meses tras el diagnóstico.

Discusión y conclusiones
La linfangitis lipogranulomatosa es una patología muy poco descrita en medicina veterinaria. Según el conocimiento de los autores, hasta la fecha solo se han descrito 31 casos en la literatura. La patogénesis de esta enfermedad continúa siendo desconocida; no se ha identificado ningún agente infeccioso predisponente y se ha propuesto la hipótesis de una etiología multifactorial con predisposición genética1,2.
Los hallazgos ecográficos más frecuentes incluyen el engrosamiento focal o multifocal de la pared intestinal, con afectación predominante de la capa muscular del intestino delgado, especialmente en el yeyuno e íleon, al igual que en el caso descrito2-4.
Las concentraciones séricas de ácido fólico y cobalamina fueron bajas en el presente caso, lo cual indica malabsorción a nivel del intestino delgado proximal (duodeno y yeyuno proximal) y distal (íleon), donde el folato y la cobalamina se absorben respectivamente1,6.
Es importante tener en cuenta que la concentración sérica de cobalamina puede no reflejar con precisión el estado de esta vitamina a nivel celular. Los marcadores que reflejan con mayor exactitud la disponibilidad intracelular de cobalamina son la homocisteína y el ácido metilmalónico (MMA), los cuales se elevan en situaciones de deficiencia celular de cobalamina. No obstante, debido a la falta de disponibilidad de estos ensayos, su determinación no se realiza de forma rutinaria en medicina veterinaria y, por tanto, no se consideró en el presente caso1,7. Estudios recientes han demostrado que perros con concentraciones séricas de cobalamina en el rango bajo del intervalo de referencia (<400 ng/l) pueden presentar niveles elevados de ácido metilmalónico en sangre, lo que sugiere una deficiencia de cobalamina tisular. Esto hace que el tratamiento con cobalamina sea aconsejable a partir de estos niveles de cobalamina sérica, sobre todo en presencia de signos clínicos de enfermedad gastrointestinal8-10.
Con respecto al folato, actualmente no se dispone de evidencia concluyente que respalde el beneficio de su suplementación en perros con enfermedad gastrointestinal y niveles séricos por debajo del rango de referencia. No obstante, en el caso presentado se optó por su administración, considerando las implicaciones clínicas demostradas en la deficiencia de folato inducida experimentalmente11.
La decisión de realizar una enterectomía del segmento intestinal afectado en el caso descrito estuvo motivada por la presentación focal de la lesión, la ausencia de contraindicaciones quirúrgicas, los signos clínicos y los hallazgos ecográficos de reacción peritoneal adyacente y líquido libre. Si bien el abordaje terapéutico convencional de la linfangitis lipogranulomatosa incluye la resección quirúrgica de las lesiones en combinación con manejo médico, se ha descrito recientemente la posibilidad de alcanzar la remisión clínica mediante un enfoque exclusivamente médico y nutricional. Esta alternativa es especialmente útil en casos con afectación multifocal o compromiso de la válvula ileocecal, cuya resección puede conllevar complicaciones importantes, como diarrea, malabsorción y sobrecrecimiento.
A pesar de esta alternativa terapéutica, es importante subrayar que el abordaje quirúrgico sigue siendo fundamental para obtener biopsias de espesor completo, las cuales representan el gold standard en el diagnóstico definitivo de la linfangitis lipogranulomatosa intestinal, ya que los granulomas suelen localizarse predominantemente en las capas más externas de la pared intestinal (muscular y, en menor medida, submucosa), así como en el mesenterio adyacente1,2.
Tal y como se ha descrito en estudios previos, es posible alcanzar la remisión a largo plazo tras la escisión quirúrgica de las lesiones, con o sin tratamiento médico complementario2,3. En este caso, la primera fase del tratamiento médico consistió en una dieta de proteína hidrolizada baja en grasas. Esta elección terapéutica se basó en la evidencia de remisión clínica y mejoría clinicopatológica en perros con diagnóstico presuntivo de enteropatías perdedoras de proteínas, ya que la linfangitis lipogranulomatosa se considera una forma poco común de esta entidad. El mecanismo por el cual este tipo de dieta resulta beneficiosa radica en que la restricción de grasas disminuye la congestión de los vasos linfáticos intestinales, lo que ayuda a prevenir su ruptura y la formación de lesiones inflamatorias de tipo granulomatoso1. No obstante, ante la respuesta clínica insuficiente al tratamiento dietético tras un mes, se optó por iniciar tratamiento inmunosupresor, fundamentado en la sospecha de una etiología inmunomediada del proceso patológico. Finalmente, fue necesaria la combinación de dos fármacos inmunosupresores para lograr el control de los signos clínicos y alteraciones ecográficas. La elección de estos fármacos —glucocorticoides a dosis inmunosupresoras y ciclosporina— se basó en su capacidad para suprimir la función de las células T y modular la actividad de los macrófagos, lo que los hace potencialmente eficaces en el tratamiento de inflamaciones de tipo granulomatoso1,12.
Tradicionalmente, los antibióticos han formado parte del manejo terapéutico de las enteropatías crónicas caninas. No obstante, investigaciones recientes han demostrado los efectos nocivos que estos fármacos pueden inducir en la microbiota intestinal, favoreciendo la disbiosis y comprometiendo la salud intestinal a largo plazo. En consecuencia, en los últimos años los antibióticos han sido reemplazados por estrategias orientadas a restaurar una microbiota intestinal funcional1,13.
En el caso específico de la linfangitis lipogranulomatosa tampoco se recomienda el uso de antibióticos, ya que no se ha identificado ninguna asociación con agentes infecciosos. En un estudio previo en el que se empleó la técnica de hibridación in situ con fluorescencia (FISH, por sus siglas en inglés) para evaluar la presencia de bacterias invasoras en la mucosa intestinal, estas solo se detectaron en 2 de 10 perros evaluados, y en estos casos se consideró una consecuencia del proceso patológico dada la evidencia de daño de la mucosa y la ausencia de bacterias invasoras en los demás individuos1,3.
La remisión clínica se definió como una mejora en el índice CCECAI y en la condición corporal (CC). La condición muscular (CM) no fue documentada de manera sistemática durante el diagnóstico y seguimiento, por lo que no se contó con información suficiente para su evaluación.
En general, el pronóstico de la linfangitis lipogranulomatosa es reservado y, al igual que en otras enteropatías crónicas, depende en gran medida de la respuesta al tratamiento y de la evolución de las alteraciones clinicopatológicas3.
En este trabajo se describe el diagnóstico, el abordaje quirúrgico y el manejo médico de un nuevo caso de linfangitis lipogranulomatosa en un perro, que presentó una evolución favorable tras la combinación de terapia dietética e inmunosupresora. Estos hallazgos respaldan la hipótesis de una posible etiología inmunomediada de esta enfermedad.
A pesar de tratarse de una patología poco común, la linfangitis lipogranulomatosa debe considerarse dentro del diagnóstico diferencial de las lesiones ecográficas similares a masas o engrosamientos del intestino delgado5.
Bibliografía
1. Crisonà, M., Tardo, A.M., Pietra, M., et al.; Successful clinical management of canine intestinal lipogranulomatous lymphangitis through exclusive medical and nutritional treatment: four cases (2018-2023); J Small Anim Pract.; 2025; 66: 52-60
2. De Magistris AV, Linta N, Specchi S, etal.; Ultrasonographic features of intestinal lipogranulomatous lymphangitis in 10 dogs.; Vet Radiol Ultrasound.; 2023; 64: 973–981
3. Lecoindre, A., Lecoindre, P., Cadoré, et al.; Focal intestinal lipogranulomatous lymphangitis in 10 dogs.; J Small Anim Pract.; 2016; 57: 465-471
4. Lee, H. W., Jung, J. W., Park, S. et al.; Computed tomographic features of focal lipogranulomatous lymphangitis for differentiating from malignant intestinal lesions in a dog.; Journal of veterinary science; 2023; 24(2), e25
5. Watson, V. E., Hobday, M. M., & Durham, A. C.; Focal intestinal lipogranulomatous lymphangitis in 6 dogs (2008-2011); Journal of veterinary internal medicine; 2014; 28(1), 48–51
6. Heilmann, R. M., & Steiner, J. M.; Clinical utility of currently available biomarkers in inflammatory enteropathies of dogs.; Journal of veterinary internal medicine; 2018;32(5), 1495–1508
7. Kather, S., Grützner, N., Kook, P. H., Dengler, F., & Heilmann, R. M.; Review of cobalamin status and disorders of cobalamin metabolism in dogs; Journal of veterinary internal medicine; 2020;34(1), 13–28
8. Berghoff, N., Parnell, N. K., Hill, S. L., Suchodolski, J. S., & Steiner, J. M.; Serum cobalamin and methylmalonic acid concentrations in dogs with chronic gastrointestinal disease;American Journal of Veterinary Research; 2013; 74(1), 84-89
9. Berghoff, N., Suchodolski, J. S., & Steiner, J. M.; Association between serum cobalamin and methylmalonic acid concentrations in dogs;Veterinary journal; 2012; 191(3), 306–311
10. Gastrointestinal Laboratory, Texas A&M University. Cobalamin information [Internet]. [Consultado 25 jun 2025]. Disponible en:https://vetmed.tamu.edu/gilab/research/cobalamin-information/
11. Gastrointestinal Laboratory, Texas A&M University. Folate information [Internet]. [Consultado 11 jun 2025]. Disponible en:https://vetmed.tamu.edu/gilab/research/folate-information/
12. Craven MD, Washabau RJ.; Comparative pathophysiology and management of protein-losing enteropathy; J Vet Intern Med; 2019; 33: 383–402
13. Dupouy-Manescau, N., Méric, T., Sénécat, O., Drut, A., Valentin, S., Leal, R. O., & Hernandez, J.; Updating the Classification of Chronic Inflammatory Enteropathies in Dogs;Animals: an open access journal from MDPI; 2024;14(5), 681