Condrosarcoma en paciente felino: diagnóstico citológico, radiográfico y tratamiento
Resumen breve
El condrosarcoma en pacientes felinos representa un desafío clínico debido a su presentación poco frecuente y síntomas inespecíficos. En gatos, suele afectar huesos planos o largos, con presentación clínica inespecífica como claudicación progresiva y aumento de volumen en la extremidad. El diagnóstico citológico permite identificar células malignas de origen cartilaginoso, mientras que la radiografía revela lesiones osteolíticas agresivas y expansión ósea, ayudando a delimitar…Índice de contenidos
Resumen
El condrosarcoma en pacientes felinos representa un desafío clínico debido a su presentación poco frecuente y síntomas inespecíficos. En gatos, suele afectar huesos planos o largos, con presentación clínica inespecífica como claudicación progresiva y aumento de volumen en la extremidad. El diagnóstico citológico permite identificar células malignas de origen cartilaginoso, mientras que la radiografía revela lesiones osteolíticas agresivas y expansión ósea, ayudando a delimitar la extensión tumoral. El tratamiento principal es la resolución quirúrgica mediante amputación del miembro afectado, especialmente cuando se confirma la ausencia de metástasis y los márgenes quirúrgicos libres, siendo la quimioterapia adyuvante generalmente innecesaria por el bajo riesgo de diseminación sistémica.
Se presenta el caso de una gata hembra, de 5 años, con una lesión osteolítica agresiva en el fémur distal derecho, evaluada mediante radiografía, confirmada por citología e histopatología como condrosarcoma convencional grado II, con infiltración focal a tejidos blandos y márgenes quirúrgicos libres. El tratamiento consistió en la amputación completa del miembro afectado. No se consideró necesaria la quimioterapia adyuvante por su bajo riesgo metastásico. Este caso destaca la importancia del diagnóstico temprano mediante imagen y citología, y la resolución quirúrgica como herramienta curativa eficaz.
Palabras clave: gato, condrosarcoma, neoplasia ósea, amputación, diagnóstico por imagen.
Reporte de caso
Historia médica
Bella Gatuna, una gata doméstica común europea castrada de 5 años de edad y 4.8 kg, fue llevada a consulta por su propietaria debido a claudicación progresiva grado 2 del miembro pélvico derecho, con una evolución de aproximadamente seis meses posterior a una caída accidental. La paciente había sido tratada previamente con meloxicam y gabapentina sin mejoría clínica evidente.
Hallazgos físicos
En el examen físico se observó una protuberancia indolora que abarcaba la articulación femoro-tibio-rotuliana derecha, con limitación importante de la movilidad y sin signos inflamatorios locales. La paciente no presentaba fiebre, linfadenopatía ni otras alteraciones clínicas relevantes.
Métodos diagnósticos y resultados
Radiografía
Se identificó una masa de densidad mineral heterogénea, con patrón mixto geográfico-agresivo, reacción perióstica desorganizada y mineralización en tejidos blandos adyacentes. Estos hallazgos son altamente sugestivos de una neoplasia ósea de origen condrogénico (Figura 1).


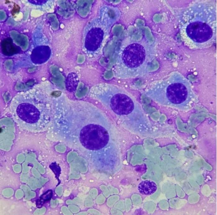
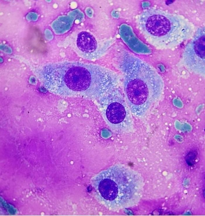
Citología
Los núcleos muestran cromatina granular fina, moderada anisocariosis y nucleolos visibles en algunas células (Figura 2A).

Imágenes de citología: Dr M.V. Edie Avila Kristancic (MSc en oncología clínica, diplomado en citopatología veterinaria).
El citoplasma era moderado, basofílico, con vacuolización ocasional. Los hallazgos citológicos fueron compatibles con una neoplasia mesenquimal de estirpe condrogénico, altamente sugestiva de condrosarcoma (Figura 2B).

Hematología y bioquímica
Hemograma sin anormalidades, ligera reticulocitosis sin anemia, trombocitopenia sin signos clínicos (más probable por agregados plaquetarios). No se identificaron alteraciones hepáticas, renales ni electrolíticas significativas (Figura 3 y 4).


Diagnóstico diferencial
Se consideraron como principales diagnósticos diferenciales:
- Osteosarcoma condroblástico.
- Condrosarcoma.
- Tumores metastásicos óseos (menos probable por localización y patrón).
- Osteomielitis granulomatosa (descartada por evolución crónica y patrón imagenológico).
Tratamiento quirúrgico
El tratamiento consistió en amputación radical desde la articulación coxo femoral. El procedimiento se realizó sin complicaciones y se indicó manejo postoperatorio con meloxicam (0.1 mg/kg PO cada 24 h) y gabapentina (5 mg/kg PO cada 12 h) durante 10 días. Las suturas se retiraron el día 21 a partir de la fecha de cirugía, observándose una adecuada cicatrización quirúrgica (Figura 5).



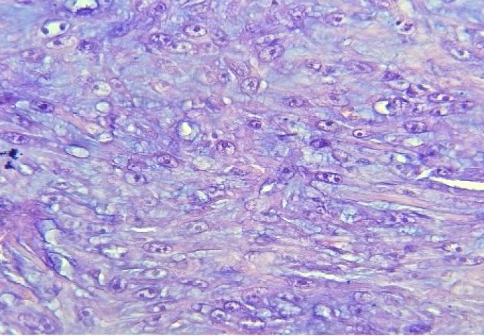
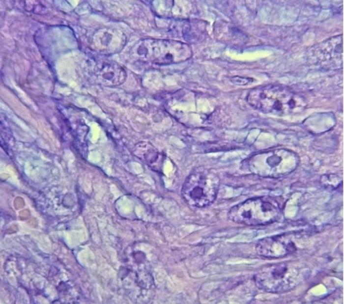
Diagnóstico histopatológico
Corte histopatológico del condrosarcoma femoral distal teñido con H-E (40×). Se observa proliferación de células pleomórficas inmersas en matriz condroide, con disposición lobular irregular (Figura 6 y 7).

Imagen de corte histopatológico cedida por el doctor Federico Castro (patólogo).

Imagen de corte histopatológico cedida por el doctor Federico Castro (patólogo).
Diagnóstico definitivo: condrosarcoma convencional grado II, confirmado por histopatología, con márgenes quirúrgicos limpios e infiltración leve a tejidos blandos.
Evolución posoperatoria
Evolución 3 semanas después de la cirugía (Figura 8).

La paciente presenta una buena evolución clínica, adaptándose favorablemente a la marcha con tres extremidades. Se programaron controles mensuales durante los primeros 3 meses y no se evidenciaron recidivas ni signos de metástasis.
Discusión
El condrosarcoma representa la segunda neoplasia ósea primaria más común en gatos, después del osteosarcoma. Aunque puede afectar huesos largos, su presentación en el fémur distal es poco frecuente. A diferencia del osteosarcoma, este tumor tiene menor tasa metastásica (menor al 10 %), lo que hace de la cirugía radical una opción curativa viable.
En una revisión retrospectiva de 67 casos, los autores reportaron que en gatos sometidos a cirugía radical no se observaron metástasis, lo que respalda el tratamiento quirúrgico agresivo como opción curativa [6].
El uso de la citología como herramienta diagnóstica permitió orientar rápidamente hacia un tumor mesenquimal condrogénico, facilitando la toma de decisiones terapéuticas sin necesidad de biopsias invasivas prequirúrgicas. La radiografía proporcionó información clave sobre la agresividad y extensión de la lesión, cumpliendo un papel fundamental en la planificación quirúrgica.
Este caso resalta la utilidad de integrar imagen, citología y cirugía en el abordaje de neoplasias óseas, especialmente en especies como el gato, donde el comportamiento biológico del condrosarcoma es más favorable que en otras especies.
Conclusión
El condrosarcoma en gatos, aunque poco frecuente, debe ser considerado ante lesiones osteolíticas agresivas de progresión lenta. La integración del diagnóstico citológico y radiográfico permitió una rápida intervención quirúrgica con fines curativos. La amputación radical, con márgenes adecuados, ofrece un pronóstico excelente en ausencia de metástasis.
Bibliografía
- Loukopoulos P, Robinson WF. Clinicopathological relevance of tumour grading in canine osteosarcoma. J Comp Pathol. 2007;136(1):65-73.
- Johnson KA. Veterinary Surgery: Small Animal. 2nd ed. Elsevier; 2013.
- Thrall DE. Textbook of Veterinary Diagnostic Radiology. 8th ed. Elsevier; 2023.
- Madewell BR. Tumors of the skeletal system. In: Tumors in Domestic Animals. 5th ed. Wiley; 2016.
- Dennis MM, McSporran KD, Bacon NJ, et al. Prognostic factors for feline soft tissue sarcomas: 45 cases. Vet Pathol. 2006;43(3):302–310.
- Durham AC, Popovitch CA, Goldschmidt MH. Feline chondrosarcoma: a retrospective study of 67 cats. J Am Anim Hosp Assoc. 2008;44(3):124–130.
- Merchav R, Dank G, Aizenberg I, Shahar R. Chondrosarcoma of the proximal humerus in a cat. J Small Anim Pract. 2005;46(9):454–456.
- Yildirim F, Gurel A, Yesildere T, Ozer K. Frontal chondrosarcoma in a cat. J Vet Sci. 2003;4(2):193–194.
- Nicholls P, O’Leary M. Chondrosarcoma in cats. Vetlexicon: Felis. Disponible en: https://www.vetlexicon.com/felis/musculoskeletal/articles/chondrosarcoma