Detección de la mutación braf para el diagnóstico de carcinoma uroterial y de carcinoma prostático, de la teoría a la práctica
Resumen breve
ResumenEl carcinoma urotelial invasivo (CUi) en perros representa un reto diagnóstico debido a la inespecificidad de sus signos clínicos y a las limitaciones de las técnicas convencionales. La citología del sedimento urinario, aunque útil, puede resultar inconclusa, especialmente en muestras con cambios displásicos. En este contexto, la detección de la mutación V595E del gen BRAF se plantea como una herramienta diagnóstica molecular complementaria, no invasiva y de rápida aplicación.
Índice de contenidos
Resumen
El carcinoma urotelial invasivo (CUi) en perros representa un reto diagnóstico debido a la inespecificidad de sus signos clínicos y a las limitaciones de las técnicas convencionales. La citología del sedimento urinario, aunque útil, puede resultar inconclusa, especialmente en muestras con cambios displásicos. En este contexto, la detección de la mutación V595E del gen BRAF se plantea como una herramienta diagnóstica molecular complementaria, no invasiva y de rápida aplicación.
Este estudio retrospectivo y multiinstitucional evaluó la fiabilidad diagnóstica de la prueba de detección de mutación en el gen BRAF en 16 perros con sospecha de CUi. La mutación fue detectada en 13 de ellos (81.25 %), mientras que 3 casos (18.75 %) presentaron resultados negativos a pesar de contar con una citología compatible con CUi, lo que indica la presencia de falsos negativos. En los 9 animales en los que se realizó citología urinaria, 8 resultaron positivos (88.88 %) y uno fue negativo.
Estos resultados respaldan el uso de esta prueba molecular como una herramienta complementaria al diagnóstico citológico, especialmente útil cuando no se puede obtener una para su estudio citológico/histopatológico. No obstante, su aplicación debe considerarse dentro de un enfoque diagnóstico multimodal. La estandarización de métodos entre laboratorios y la interpretación integrada de resultados son claves para optimizar su utilidad en la práctica clínica veterinaria.
Introducción
El cáncer de vejiga representa aproximadamente el 0.5-2 % de todos los tumores malignos de la especie canina1,2. El carcinoma urotelial invasivo (CUi), también conocido como carcinoma de células transicionales (CCT), representa la forma de neoplasia más común, con una incidencia del 70-90 % de todos los tumores vesicales en el perro2,3. Si bien, este tumor pueda desarrollarse en cualquier región del tracto urinario recubierta por epitelio transicional, suele manifestarse con más frecuencia en la región del trígono vesical, lo que, en ocasiones, desemboca en la obstrucción parcial o completa del tracto urinario2,4.
Existen diferentes factores de riesgos asociados al desarrollo de CUi, como la obesidad, el uso de antiparasitarios tópicos de última generación y la exposición prolongada de moléculas cancerígenas en contacto con la mucosa vesical, entre ellas ciertas sustancias químicas, y, en ocasiones, la exposición a ciclofosfamida1,2,5.
Los signos clínicos más comunes incluyen hematuria, polaquiuria, disuria, estranguria y, en ocasiones, se puede observar cojera causada por metástasis ósea regional2,3. Estos signos clínicos puedes confundirse con infecciones del tracto urinario (ITU), por lo que pueden resolverse temporalmente con tratamiento sintomático si existe ITU concomitante. Además, diversas neoformaciones benignas, entre ellas pólipos fibroepiteliales o las cistitis/uretritis granulomatosas, suelen simular la misma presentación clínico, situaciones que dificultan el diagnostico2.
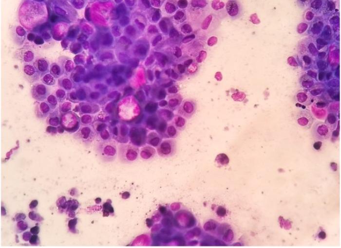
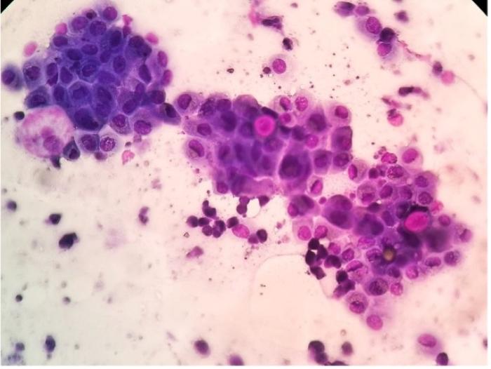
El procedimiento diagnóstico del CUi en perros requiere un enfoque multimodal que combine distintas técnicas diagnósticas, orientadas a una identificación temprana del tumor. El uroanálisis, junto con la citología urinaria (Figura 1), pueden en muchos casos ayudar en el diagnóstico de la neoplasia. Sin embargo, la presencia de células displásicas en el sedimento urinario no siempre indica la presencia de neoplasia, dado que, en situaciones de daño tisular de la mucosa urinaria, las células del epitelio pueden alterar su morfología, así como aumentar su actividad mitótica, observándose un aumento de células transicionales atípicas en el sedimento6,7.

Se observa gran cantidad de células epiteliales pleomórficas, en ocasiones conteniendo un núcleo gigante. Las células presentan anisocitosis y anisocariosis marcadas, así como binucleación. Algunas células contienen inclusiones citoplasmáticas prominentes, compatibles con cuerpos de Melamed-Wolinska (aumento original 40x, Diff-Quick).


En la actualidad, existe un creciente interés en el desarrollo de nuevas herramientas diagnósticas en oncología veterinaria, donde destaca el uso de pruebas moleculares. Estos biomarcadores resultan de gran utilidad no solo para el diagnóstico clínico, sino también para orientar las decisiones terapéuticas y establecer, en ocasiones, un pronóstico más preciso7,8.
En estudios recientes se identificó la presencia de una mutación somática en el gen BRAF canino (cBRAF) en diferentes neoplasias, de entre las que destacan tanto el CUi de vejiga y de próstata, como el carcinoma prostático. A menudo, las células tumorales pueden exfoliar y eliminarse a través de la orina, lo que convierte a la orina en una muestra de fácil acceso y obtención para el estudio molecular9. Se ha demostrado que el 67-87 % de estos tumores presentan alta tasa de mutación BRAF, lo que convierte a este biomarcador en una herramienta diagnóstica válida en la clínica diaria que permite un diagnóstico rápido no invasivo10,11. Una de las grandes ventajas de esta técnica es la ausencia de falsos positivos según la literatura. Sin embargo, un resultado negativo, no descarta en todos los casos la presencia del tumor, de forma que, la ausencia de mutación puede deberse a la falta de sedimento o que las células tumorales no presenten la mutación V595E en el genBRAF11.
La técnica más utilizada para la detección de la mutación caninaBRAFV595E es la digital droplet PCR (ddPCR), técnica que presenta una sensibilidad del 83 %. En los ensayos clínicos que evaluaron la especificidad de la prueba no se detectó en ningún caso la mutación BRAF en patologías no tumorales del tracto urinario inferior, lo que confiere a la prueba una especificidad del 100 %, destacando su uso como herramienta diagnostica12-14.
Material y métodos
Se trata de un estudio retrospectivo multiinstitucional que forma parte del trabajo de fin de grado de Doña Emma Gulino. En la población en estudio se incluyeron 16 perros de cualquier raza, edad, sexo y estado hormonal, atendidos en varios centros veterinarios (Hospital Clínico Veterinario UAX, CV Surbatán, Onconseil) a los que se les había realizado la prueba de detección de la mutación V595E en el gen BRAF, con el objetivo de identificar la presencia de un CUi o de un carcinoma prostático en perros con signos de ITU y pruebas de imagen compatibles con neoplasia en vejiga, uretra y/o próstata. En la mayor parte de los casos se tomó una muestra citológica de la lesión (sondaje traumático/citología del sedimento) que confirmó la presencia de Cui o carcinoma prostático. Cuando no fue posible la toma de muestra para el estudio citológico, se confirmó la presencia de neoplasia en base a la progresión de la enfermedad.
Las pruebas de detección de mutación se enviaron a diferentes laboratorios, en función del centro donde se atendió el paciente (Laboklin España, Idexx España, Cerbavet Francia). Para la realización de la prueba de mutación, se recolectaron las muestras de orina mediante micción espontánea y/o sondaje traumático. Fue necesario recolectar un mínimo de 5-10 ml de muestra urinaria para obtener una población celular suficiente que permitiese aislar la mutación presente en el ADN. Además, se incluyeron los pacientes que en el momento del estudio presentaban signos de infección urinaria, ya que la presencia de hematuria, piuria o bacterias no influencia el resultado según las publicaciones consultadas15. La técnica utilizada para la detección de la mutación fue la ddPCR.
En lo referente a la interpretación de los resultados, la presencia de positividad a la mutación BRAF se consideró como herramienta diagnóstica válida para confirmar la presencia de un CUi.
Los perros con neoplasia compatible con CUi/carcinoma prostático en los que se confirmó la presencia de neoplasia mediante ecografía y/o tomografía computarizada (TC), se consideró la presencia de positividad a la mutación BRAF como diagnóstico de CUi prostático. En caso contrario, la existencia de un resultado negativo se interpretó como ausencia de células mutadas en la muestra urinaria o que el tumor no fuese causado por la mutación BRAF (aproximadamente del 30-50 % de estos carcinomas, en función de la raza).
En todos los casos se realizó hemograma, bioquímica completa, uroanálisis completo con UPC, urocultivo, ecografía de abdomen y radiografías de la columna lumbar y de tórax para descartar la presencia de metástasis a distancia.
Resultados
Uno de los principales objetivos de este trabajo de fin de grado fue demostrar la fiabilidad diagnóstica del BRAF como marcador molecular en el CUi, tal y como describe la escasa literatura existente al respecto.
De la población en estudio, los signos clínicos identificados fueron: hematuria (75 %), disuria (37.5 %), polaquiuria (31.25 %), estranguria (25 %). Dos animales tenían ITU concomitante. Un solo paciente presentó obstrucción urinaria en el momento de la primera consulta (Tabla 1).
Tabla 1. Signos clínicos más frecuentes en los animales del estudio.
| Signos clínicos | N | % |
|---|---|---|
| Hematuria | 12 | 75 |
| Disuria | 6 | 37.5 |
| Polaquiuria | 5 | 31.25 |
| Estranguria | 4 | 25 |
| ITU | 2 | 12.5 |
| Obstrucción urinaria | 2 | 12.5 |
Se realizó citología del sedimento urinario de orina en 9/16 animales (56.25 %) que emitió un diagnóstico presuntivo de CUi en 8/9 animales (88.88 %). El perro con citología negativa para CUi obtuvo un resultado positivo en la detección de la mutación (Tabla 2).
Tabla 2. Relación entre los resultados de la citología y detección de mutación BRAF en los animales del estudio.
| Animal | |||
|---|---|---|---|
| Perro 1 | No | Positiva | 23.8 % |
| Perro 2 | No | Positiva | 37 % |
| Perro 3 | No | Positiva | - |
| Perro 4 | No | Positiva | - |
| Perro 5 | Sí | Negativa | - |
| Perro 6 | Sí | Negativa | - |
| Perro 7 | Sí | Positiva | - |
| Perro 8 | Sí | Positiva | - |
| Perro 9 | Sí | Positiva | - |
| Perro 10 | Sí | Positiva | - |
| Perro 11 | No | Positiva | - |
| Perro 12 | No | Positiva | 19.2 % |
| Perro 13 | No | Positiva | - |
| Perro 14 | Sí | Negativa | - |
| Perro 15 | Sí | Positiva | - |
| Perro 16 | Sí | Positiva | - |
La mutación V595E en el gen BRAF se detectó en 13/16 animales (81.25 %) y no se identificó en 3/16 animales (18.75 %). De las 13 muestras positivas a la mutación, 5/13 se realizaron en el laboratorio Cerbavet, 5/13 en el laboratorio Laboklin y 3/13 en el laboratorio Idexx. Una de las herramientas del laboratorio Idexx es la presencia en el informe del porcentaje de positividad a la mutación, lo que no aparece en los informes de los otros laboratorios. Todos los animales con resultado negativo a la prueba BRAF (3/16, 18.75 %) presentaron una citología compatible con el diagnóstico de CUi. Es decir, la prueba ddPCR para la identificación de la mutación V595E en el gen BRAF identificó el 81.25 % de los casos y resultó en un falso negativo en el 18.75 % restante.
Ninguno de los perros incluidos en el estudio presentaba metástasis regional ni a distancia en el momento de la toma de muestra.
Discusión
Este estudio retrospectivo multiinstitucional tuvo como objetivo valorar la fiabilidad de la prueba molecular para detectar la mutación V595E del gen BRAF como herramienta diagnóstica en casos de carcinoma urotelial invasivo (CUi) en perros.
El diagnóstico de CUi representa un desafío, debido a la inespecificidad de los signos clínicos y a las dificultades inherentes al proceso diagnóstico, ya que la toma de muestras por vía percutánea está contraindicada debido al alto riesgo de implantación de este grupo de neoplasias. Debido a que no siempre es posible el sondaje traumático y la inespecificidad en ocasiones de las muestras del sedimento urinario (células displásicas pueden confundirse con células tumorales)11 se han investigado técnicas de biología molecular que permitan un diagnóstico eficaz, rápido y no invasivo.
Diversos estudios han demostrado que la detección de la mutación V595Edel gen BRAF constituye un método diagnóstico específico en el CUi en perros aportando un valor diagnóstico complementario, especialmente en aquellos casos en los que no es posible obtener una muestra para su estudio histológico o cuyos resultados citológicos han sido inconcluyentes, a pesar de contar con una adecuada celularidad12-14.
Los resultados obtenidos muestran que la prueba de detección de la mutación BRAF fue positiva en 13/16 perros (81.25 %), lo que refleja una alta capacidad diagnóstica, pero también revela ciertas limitaciones, ya que 3/16 animales (18.75 %), la prueba no detectó la mutación, a pesar de que el estudio de la citología del sedimento urinario sí fue compatible con CUi. Estos casos se consideraron falsos negativos y ponen de manifiesto que, aunque es útil, esta herramienta no debe emplearse como único criterio diagnóstico. Los resultados coinciden con los datos previamente publicados en la literatura científica, que atribuyen a la prueba basada en la detección de la mutación BRAFV595E una sensibilidad del 80 %2,9,13,15.
Se realizó citología del sedimento urinario en 9/16 animales, siendo positiva para CUi en 8/9 de ellos (88.88 %). Este dato confirma que la citología sigue siendo una técnica valiosa en el diagnóstico presuntivo de los tumores uroteliales. Llama la atención que, en el único caso con citología negativa, la mutación BRAF fue detectada, lo cual sugiere que ambas pruebas pueden complementarse entre sí, aumentando así la fiabilidad diagnóstica cuando se emplean de forma conjunta.
Es importante destacar que este estudio se realizó con la colaboración de tres laboratorios diferentes. Aunque todos ellos detectaron la mutación en proporciones similares, solo el laboratorio Idexx incluyó en sus informes el porcentaje de positividad de la mutación, lo cual podría aportar información útil para valorar la carga tumoral o la certeza diagnóstica. Esto pone de relieve la importancia de estandarizar los métodos de análisis y los informes entre laboratorios para facilitar la interpretación de los resultados por parte de los veterinarios clínicos.
Por último, solo un paciente presentó obstrucción urinaria y ninguno metástasis en el momento del muestreo, lo que refuerza la idea de que la prueba puede ser eficaz incluso en fases iniciales de la enfermedad, antes de que aparezcan complicaciones avanzadas.
En resumen, los hallazgos de este trabajo respaldan el uso de la prueba molecular de BRAF como una herramienta diagnóstica útil y no invasiva en la práctica clínica veterinaria, especialmente en casos con alta sospecha de CUi. No obstante, debe utilizarse en combinación con otras técnicas diagnósticas, como la citología, ya que existen casos en los que la mutación no se detecta a pesar de la presencia del tumor. La colaboración entre laboratorios y la unificación de criterios serán claves para mejorar la precisión y aplicabilidad de esta prueba en el futuro.
Cabe destacar las limitaciones de este estudio a la hora de obtener conclusiones ya que se trata de un estudio retrospectivo, multiinstitucional y con un reducido tamaño de la población estudiada.
Bibliografía
- Burgess KE, DeRegis CJ. Urologic Oncology. Vol. 49, Veterinary Clinics of North America - Small Animal Practice. W.B. Saunders; 2019. p. 311–23.
- Vail DM;Thamm DH; Liptak JM. Withrow and MacEwen’s Small Animal Clinical Oncology . 6th ed. St Louis, Missouri: Elsevier ; 2019.
- de Brot S, Robinson BD, Scase T, Grau-Roma L, Wilkinson E, Boorjian SA, Gardner D, Mongan NP. The dog as an animal model for bladder and urethral urothelial carcinoma: Comparative epidemiology and histology. Oncol Lett. 2018 Aug;16(2):1641-1649.
- Fulkerson CM, Knapp DW. Management of transitional cell carcinoma of the urinary bladder in dogs: A review. Vol. 205, Veterinary Journal. Bailliere Tindall Ltd; 2015. p. 217–25
- Henry CJ. Management of transitional cell carcinoma. Vet Clin North Am Small Anim Pract. 2003 ;33(3):597-613.
- Cannon CM, Allstadt SD. Lower urinary tract cancer. Vet Clin North Am Small Anim Pract. 2015 Jul;45(4):807-24
- Gentilini, F.; Palgrave, C.J.; Neta, M.; Tornago, R.; Furlanello, T.; McKay, J.S.; Sacchini, F.; Turba, M.E. Validation of a Liquid Biopsy Protocol for Canine BRAFV595E Variant Detection in Dog Urine and Its Evaluation as a Diagnostic Test Complementary to Cytology.Front. Vet. Sci.2022,9, 909934.
- Kehl, A.; Aupperle-Lellbach, H.; de Brot, S.; van der Weyden, L. Review of Molecular Technologies for Investigating Canine Cancer.Animals2024,14, 769
- Mochizuki H, Shapiro SG, Breen M. Detection of BRAF Mutation in Urine DNA as a Molecular Diagnostic for Canine Urothelial and Prostatic Carcinoma.PLoS One. 2015;10(12):e0144170
- Rasteiro AM, Sá E Lemos E, Oliveira PA, Gil da Costa RM. Molecular Markers in Urinary Bladder Cancer: Applications for Diagnosis, Prognosis and Therapy. Vol. 9, Veterinary Sciences. MDPI; 2022.
- Appenzeller, M.; Kehl, A.; Törner, K.; Jensen, K.C.; Klopfleisch, R.; Aupperle-Lellbach, H. BRAF Mutation Analysis: A Retrospective Evaluation of 8365 Diagnostic Samples with a Special View on Canine Breeds (2018–2024).Vet. Sci.2025,12, 729
- Decker, B.; Parker, H.G.; Dhawan, D.; Kwon, E.M.; Karlins, E.; Davis, B.W.; Ramos-Vara, J.A.; Bonney, P.L.; McNiel, E.A.; Knapp, D.W.; et al. Homologous Mutation to Human BRAF V600E Is Common in Naturally Occurring Canine Bladder Cancer--Evidence for a Relevant Model System and Urine-Based Diagnostic Test.Mol. Cancer Res.2015,13, 993–1002
- Mochizuki H, Kennedy K, Shapiro SG, Breen M. BRAF Mutations in Canine Cancers.PLoS One. 2015;10(6):e0129534
- Aupperle-Lellbach, H.; Grassinger, J.; Hohloch, C.; Kehl, A.; Pantke, P. Diagnostische Aussagekraft der BRAF-Mutation V595E in Urinproben, Ausstrichen und Bioptaten beim kaninen Übergangszellkarzinom.Tierarztl. Prax. Ausg. K. Kleintiere Heimtiere2018,46, 289–295.
- Kuo, C.-C.; Yang, S.-Y.; Liu, R.-M.; Lin, Y.-H.; Liu, C.-C.; Huang, W.-H.; Lee, J.-J.; Liao, A.T. Diagnostic Value of Conventional Polymerase Chain Reaction for Detecting BRAF V595E Mutation in Liquid and Tissue Specimens of Canine Urothelial and Prostate Carcinomas.Animals2024,14, 2535
Artículos Relacionados
Clinlabvet
Abril 2022
Carcinoma urotelial canino: diagnóstico con énfasis en la mutación BRAF V595E, una nueva posibilidad diagnóstica
Argiñe Cerezo Echevarría, Julia Maria Grassinger, Alexandra Kehl, Heike Aupperle-Lellbach
Clinoncovet
Julio 2019
Electroquimioterapia como tratamiento para un carcinoma de células escamosas interdigital en un perro
Aída Amóstegui Espinosa
Clinoncovet
Abril 2016
Tratamiento mediante radioterapia de un carcinoma de células escamosas subungueal en un perro de raza Golden Retriever
Noemí Del Castillo Magán, Ana María Rios Boeta, Isabel Del Portillo Miguel
Clinlabvet
Enero 2025
Utilidad de la lipasa pancreática en el diagnóstico de carcinoma pancreático
Cristina García Gavira, Noemí Del Castillo Magán
Clinoncovet
Julio 2018
Sospecha de carcinoma tiroidea felino; tratamiento con yodo radiactivo
María del Pilar Xifra Rubio, Sara Isabel Serrano García, Mark E. Peterson
Clinoncovet
Abril 2016
Carcinoma de células escamosas canino. Artículo de revisión basado en casos clínicos
Ignacio Molina Angulo
Regístrate en CLINVET y podras acceder a todo nuestro contenido totalmente gratis
En 1 minuto estarás leyendo este artículo.
Especie
Revista
Clinanesvet
Clincardiovet
Clincirvet
Clinetovet
Clinnutrivet
Clinfelivet
Clininfectovet
Clindervet
Clinoncovet
Clinlabvet
Clinurgevet
Clinatv
Accede a CLINVET y podrás visualizar todo nuestro contenido
Recordar contraseña
Regístrate en CLINVET y podrás acceder a todo nuestro contenido
¿Has olvidado tu contraseña?