La ecografía torácica no cardíaca en el paciente de urgencias: un juego de artefactos
Resumen breve
La ecografía torácica en el paciente de urgencias supone un gran beneficio en la rapidez con la que podemos llegar a un diagnóstico inicial. Comúnmente al tratar con pacientes en urgencia torácica o respiratoria, no podemos permitirnos perder un tiempo muy preciado para su estabilización, la ecografía, al tratarse de un procedimiento que podemos realizar a la par de otras operaciones (oxigenación, colocación de catéteres endovenosos…) representa una ventaja evidente. La imposibilidad…Índice de contenidos
Introducción
La ecografía torácica en el paciente de urgencias supone un gran beneficio en la rapidez con la que podemos llegar a un diagnóstico inicial. Comúnmente al tratar con pacientes en urgencia torácica o respiratoria, no podemos permitirnos perder un tiempo muy preciado para su estabilización, la ecografía, al tratarse de un procedimiento que podemos realizar a la par de otras operaciones (oxigenación, colocación de catéteres endovenosos…) representa una ventaja evidente. La imposibilidad en muchos de los casos de adoptar un posicionamiento adecuado para la obtención de radiografías torácicas hace que este método sea ideal ya que lo podemos realizar con el paciente en estación.
La ecografía torácica tal como exponemos en este artículo, supone un juego de entender los artefactos, que más allá de ser una molestia durante el exámen, se convertirán en nuestros aliados. Este texto trata de agrupar todos aquellos signos que nos encontraremos en las diferentes situaciones, normales y anormales de la exploración ecográfica del tórax no cardíaco.
Seteo básico del equipo
En general uno de los principales cambios que realizaremos en la ecografía torácica será la desactivación de la mayor parte de filtros que ofrecen los aparatos de ultrasonido actuales. Una imagen más “dura” y con más grano nos ayudará a la mejor evaluación de la línea pleural (LP), para ello se aconsejan los siguientes cambios:
- Disminución de la ganancia general: ya que estamos tratando con una superficie altamente reflectante como lo es la LP.
- Posicionamiento de un único foco a nivel de la LP o inmediatamente tras ella.
- Ajustar la profundidad según si estamos evaluando un pulmón aireado (sólo estaremos trabajando en los primeros centímetros del tórax de paciente ya que el aire no me permitirá ver más allá) o por ejemplo un derrame pleural (aumentaremos la profundidad para ver planos más profundos determinando si el fluido puede estar confinado en el pericardio, espacio pleural o incluso una cámara cardíaca aumentada de tamaño)
- Emplear frecuencias altas ya que por norma general evaluaremos apenas unos centímetros de profundidad.
- Grabar videos de entre 5-10 segundos para poder evaluar más lentamente las imágenes, especialmente si el paciente tiene taquipnea.
Manejo del paciente
Cuando evaluamos a un paciente con un trastorno que compromete su respiración, es fundamental intentar evitar que este se sienta perjudicado por nuestro manejo, para ello podemos oxigenarlo previamente a nuestra manipulación y utilizar una sedación leve para evitar su estrés a la vez que intentamos no deprimir demasiado su respiración. Podemos evaluar al animal en estación lo que permitirá un mayor confort durante la exploración y en caso necesitar un decúbito lateral, intentaremos que este esté lo más relajado posible, sin forzar la postura y a ser posible con mascarilla para su oxigenoterapia durante la maniobra.
Principales signos a evaluar
Signo del cocodrilo
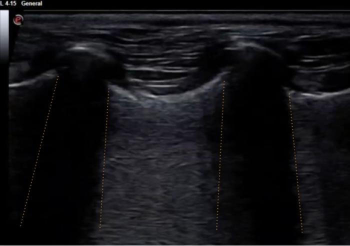
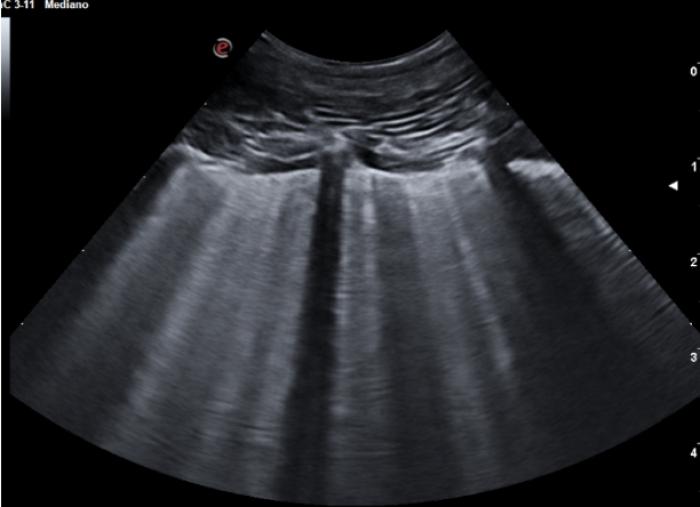
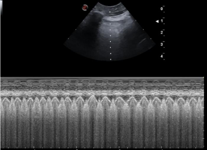
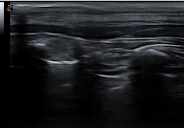
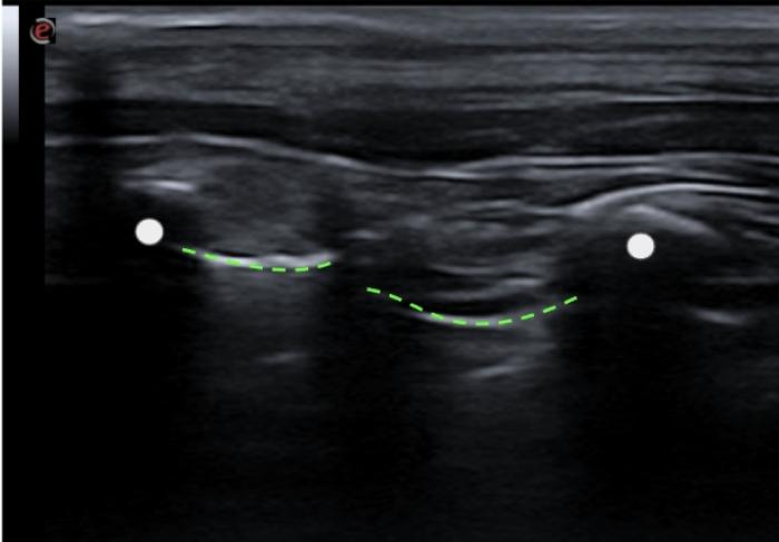
Comenzaremos posicionando el transductor perpendicular a las costillas en uno de los espacios intercostales, pudiendo evaluar al menos el espacio entre dos costillas, la línea PP y no más de 2-3 cm de profundidad de campo (Figura 1A-B).


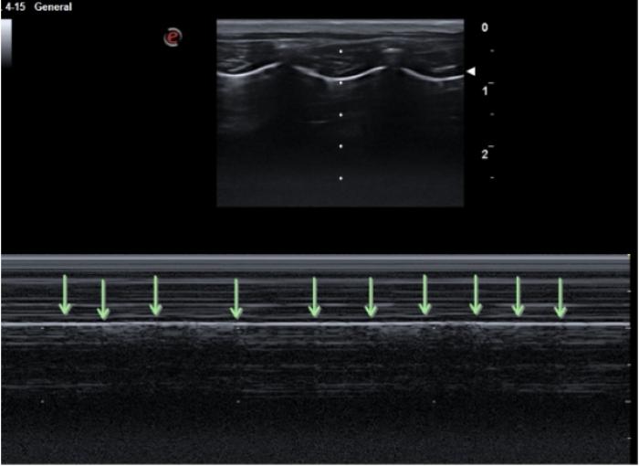
Línea pleural y signo de deslizamiento de la línea pleural
Es vital durante la exploración ecográfica del pulmón de nuestros pacientes, que evaluemos en primera instancia el deslizamiento que existe entre ambas hojas pleurales (parietal y visceral) gracias a la existencia de una mínima cantidad de fluido que lubrica y adhiere una pleura sobre la otra. Este movimiento de izquierda a derecha será nuestro punto de partida, su evaluación se hará más evidente si inclinamos el transductor unos 60º con respecto a la pared torácica.
La LP es fina (por lo general inferior a 0.5 mm), regular y a pesar de tener dos componentes, la veremos como una única línea hiperecogénica.
En algunas localizaciones podemos observar una pequeña discontinuidad de la LP que corresponde a las incisuras existentes entre los diferentes lóbulos, las cuales no irán acompañadas de más signos considerados patológicos, puesto que son visibles en pacientes sanos (Figura 2) (Vídeo 1).

Vídeo 1. Deslizamiento pleural.
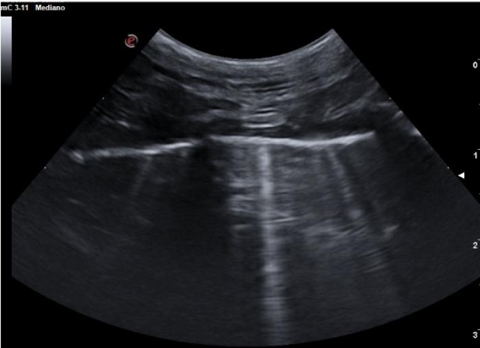
Signo de cortina
Se trata de la transición vertical que podemos evaluar entre el pulmón aireado y las estructuras abdominales tras el diafragma (hígado, estómago, etc.), este último no será visible dada la curvatura que presenta. En condiciones normales observaremos como la expansión pulmonar durante la inspiración hace que el área aireada se extiende caudalmente ocupando los penúltimos espacios intercostales, para seguidamente dirigirse cranealmente dando el efecto de “descorrer una cortina”. Este signo se perderá ante la presencia de consolidación caudal del pulmón o en presencia de derrame pleural (Vídeo 2).
Vídeo 2. Signo de cortina abdominal.
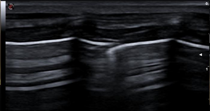
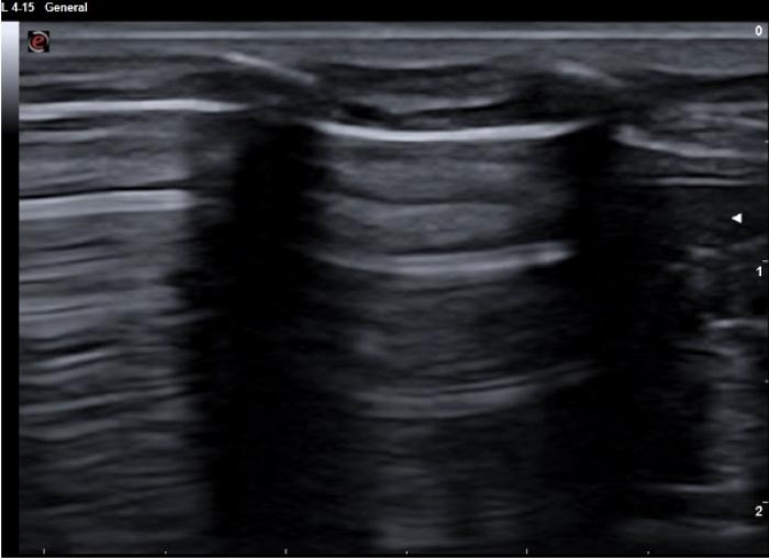
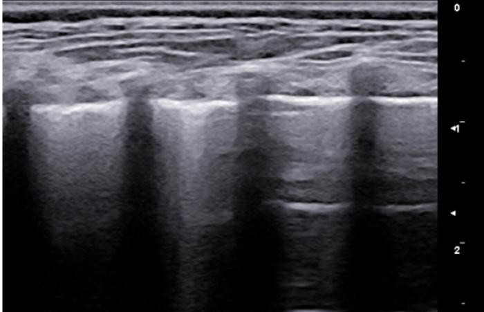
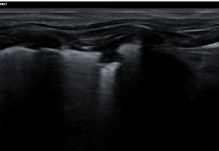
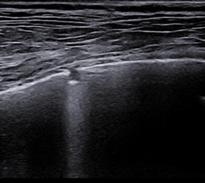
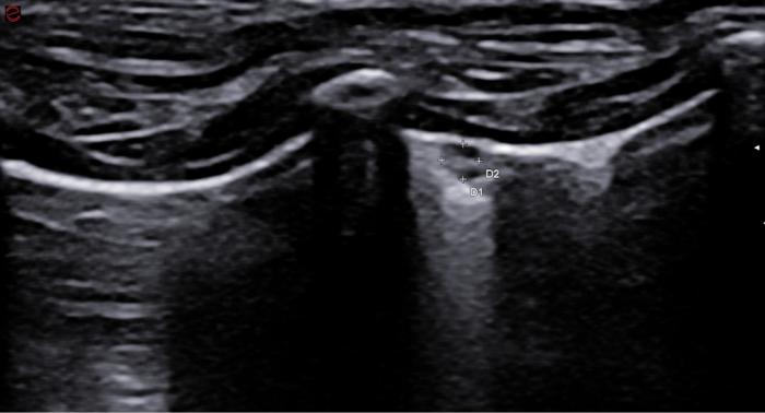
Líneas A
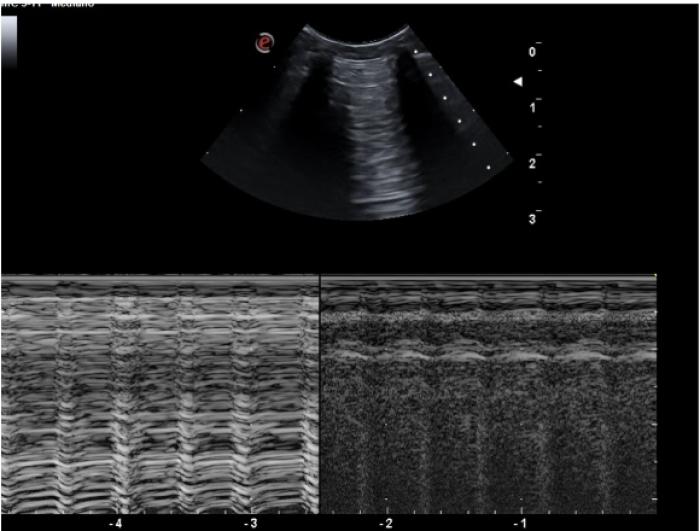
Son las líneas hiperecogénicas, horizontales, paralelas a la LP y equidistantes (su separación es la misma que existe entre la piel y la superficie pleural) que se van extendiendo hasta el fondo del campo ecográfico. Son fruto del reflejo del ultrasonido en el aire pulmonar, volviendo este a la sonda y creando la repetición de dicha superficie (reverberación).
Son visibles en todo pulmón bien ventilado, pero también estarán presentes en el neumotórax por lo que en este punto es vital observar el deslizamiento de la LP para su diferenciación (Figura 3A-B).


Hasta aquí todos los signos que hemos visto pertenecen al pulmón aireado correctamente, a partir de aquí comenzamos pues a hablar de lo que no se considera normal en el paciente sano y la serie de signos que nos ayudarán en la evaluación del paciente que acude al servicio de urgencias por un cuadro respiratorio.
Líneas B
Se describen como líneas verticales que surgen de la línea pleuropulmonar y se extienden hasta el fondo del campo borrando las líneas A horizontales. El grosor de dichas líneas B puede variar y por ello podemos tener inclusive líneas coalescentes generando una imagen de “pulmón blanco”.
Causas:
1- Aumento del agua extravascular (edema pulmonar cardiogénico).
2- Exudado (neumonía).
3- Sangre (contusión pulmonar aguda).
4- Fibrosis (suele acompañarse de irregularidad pleural).
5- Infiltrado de células inflamatorias o neoplásicas.
6- Atelectasia subpleural incipiente.
En los casos 1,2 y 3 hablaremos de líneas B húmedas y en los supuestos 4,5 y 6 de líneas B secas (Figura 4 y 5A-D).





La presencia de líneas B a menudo es el primer signo de anormalidad pulmonar detectado en la ecografía POCUS torácica no cardíaca.
En cuanto al número de dichas líneas se ha admitido que hasta 3 en un hemitórax se pueden visualizar en pacientes sanos, pero en opinión de esta autora, quizá este número sea demasiado elevado e infravalora una posible alteración pulmonar que aún no ha afectado a la superficie pleural.
A menudo observamos líneas que no cumplen todos los requisitos de una línea B, por ejemplo, las líneas Z no llegan al fondo del campo, las líneas I no borran las líneas A y son cortas, las líneas E surgen del espacio subcutáneo y no de la LP, las líneas R surgen del pericardio, etc. y todas ellas son artefactos verticales que podrían desorientarse (Figura 6).

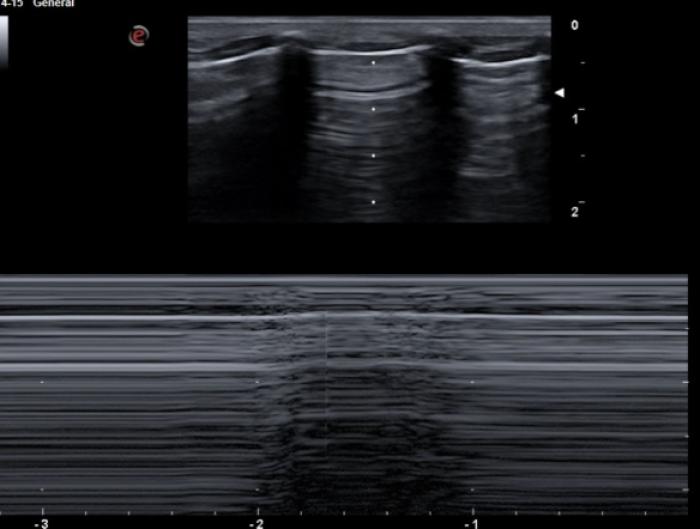
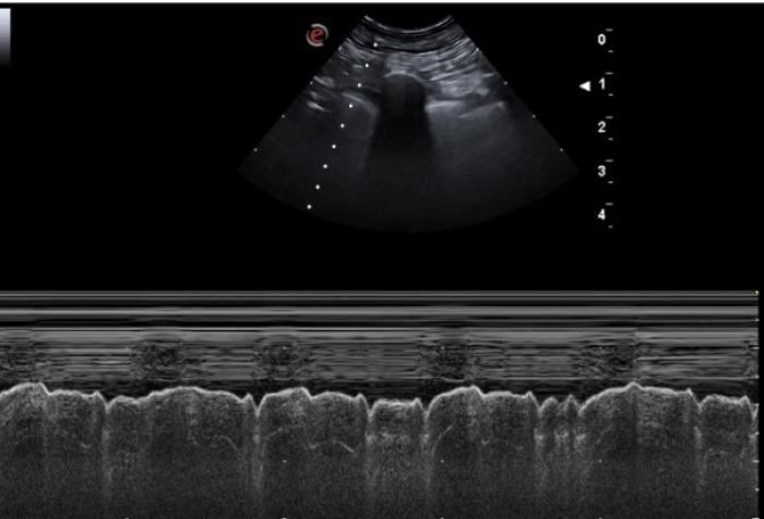
Pulso pulmonar
Es la transmisión del latido cardíaco a través del tejido pulmonar. Aunque es considerado un movimiento normal dentro de la exploración pulmonar con ultrasonido, especialmente en regiones próximas al corazón, lo cierto es que cuando se visualiza con facilidad es posible que exista una mayor consolidación pulmonar sin llegar a la superficie pleural, el aumento de peso del lóbulo transmite mejor dicho movimiento y lo hace más evidente. Su visualización excluye el neumotórax en el área observada.
Puede evaluarse tanto en modo M como en modo B (Figura 7) (Vídeo 3).

Vídeo 3. Pulso pulmonar.
Ausencia de deslizamiento de la línea pleural
En todo pulmón aireado es vital la visualización del signo de deslizamiento (movimiento de izquierda a derecha originado por la movilización de la pleura parietal sobre la visceral).
La ausencia de dicho deslizamiento sumado a no visualizar el pulso pulmonar u otras alteraciones propiamente pulmonares como las líneas B, nos lleva al diagnóstico presuntivo de neumotórax. Ante esta sospecha intentaremos detectar el punto pulmonar (área sin signo de deslizamiento contigua a otra con deslizamiento visible) y anormalidades en el signo de cortina.
El signo de deslizamiento puede ser evaluado tanto en modo B como en modo M.
En caso de neumotórax severo con ocupación del receso costofrénico el signo de cortina se verá inalterado llamándose pseudo signo de cortina y siendo exactamente igual que el signo de cortina del paciente sano. En caso de neumotórax parcial, podemos ver el signo de cortina asincrónico, en el cual las vísceras abdominales se desplazan caudalmente en la inspiración y el signo de cortina lo hace cranealmente (al contrario que en el paciente sano) (Figura 8A-C).



Vídeo 4. Ausencia de deslizamiento pleural y punto pulmonar.
Separación de pleuras
Varios fenómenos pueden afectar a la separación de ambas pleuras. Entre ellos destacan la presencia de aire, fluido, masas o vísceras abdominales entre ambas hojas pleurales. Previamente hemos hablado de la presencia de aire en el espacio pleural, veremos ahora signos asociados a la presencia de fluido y algunas imágenes en las que observaremos la ocupación del espacio por parte de tejidos no torácicos.
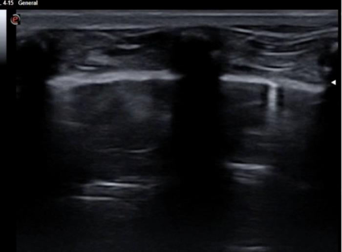
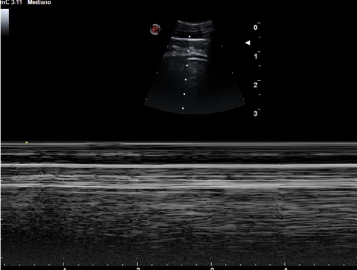
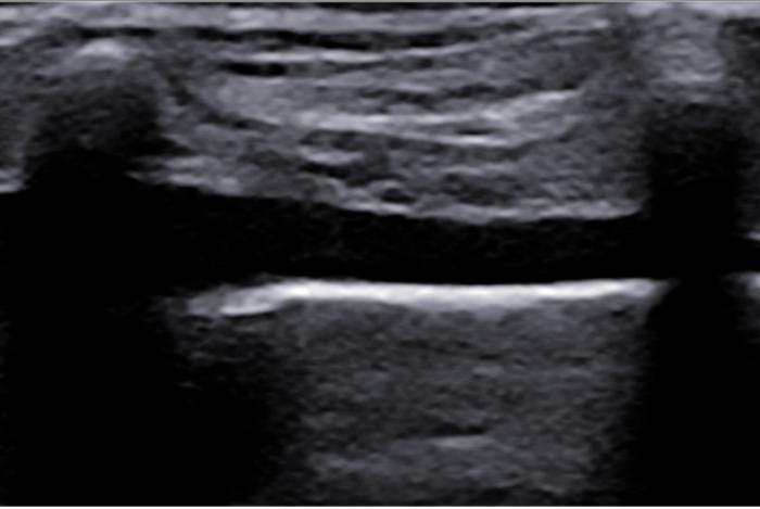
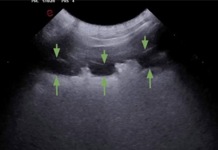
Signo del sinusoide y cuadrilátero
La presencia de pequeñas colecciones de fluido en el espacio pleural no siempre son del todo fáciles de evaluar, especialmente si el contenido en cuestión es lo suficientemente celular como para no visualizarse anecoico. El uso del modo M en estas circunstancias puede ser muy útil. Nos posicionamos con el transductor transversal en el espacio intercostal seleccionado (áreas más declives tienen mayor porcentaje de éxito puesto que el fluido desciende por gravedad), situamos el cursor y activamos el modo M, puesto que el pulmón no está en contacto en todo momento con la pared costal, la LP dibujará un movimiento sinusoidal en el registro en movimiento, muy diferente de la recta hiperecogénica que vemos en el tórax sano (Figura 9A-B).


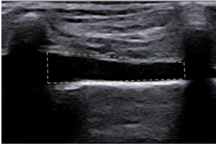
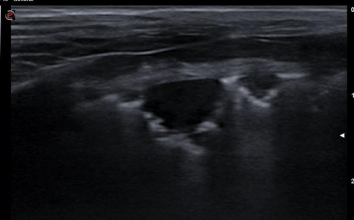
Por contra, en modo B es posible visualizar lo que se llama signo del cuadrilátero, que es el área comprendida entre la pared costal (límite superior), costillas (laterales) y pleura visceral (límite inferior) dejando un aspecto poligonal en el foco con fluido (Figura 10A-B).


Signo de la medusa o de la lengua
Balanceo que generan tanto el pulmón atelectásico como estructuras mediastínicas y ligamentos al estar, flotando, en el fluido del derrame pleural. Su visualización nos ayuda a saber que dicho fluido está en el espacio pleural y no en el saco pericárdico, en el cual son las cámaras cardíacas derechas las que se colapsan generando movimientos ondulantes y donde el fluido no sobrepasa la base cardíaca por adherencia del pericardio (Vídeo 5).
Vídeo 5. Signo de la medusa en derrame pleural.
Signo del plancton
Cuando estamos en presencia de un derrame pleural altamente celular, como puede ser el caso de los exudados o de las hemorragias, observamos en el fluido un artefacto dinámico con ecos hiperecogénicos en suspensión. En ocasiones llegan incluso a parecer un tejido en caso de ser extremadamente densos, es entonces cuando el movimiento de estas partículas nos ayuda a saber que estamos en presencia de fluido libre en el espacio pleural (Vídeo 6).
Vídeo 6. Signo del plancton.
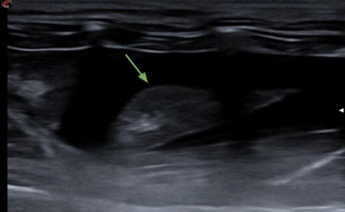
El espacio en situaciones patológicas puede estar ocupado no sólo por aire o fluido, ecográficamente podemos detectar órganos abdominales que ante una rotura diafragmática que se traslocan cavidad torácica, la presencia de masas con origen en linfonodos, timo, neoplasias de la pared torácica, etc. y comprometen la distensión pulmonar por volumen que ocupan (Figura 11A-B) (Vídeo 7).


Vídeo 7. Lipoma intratorácico.
Una vez evaluado el espacio pleural nos fijaremos en la LP y todos los signos derivados de las patologías a este nivel.
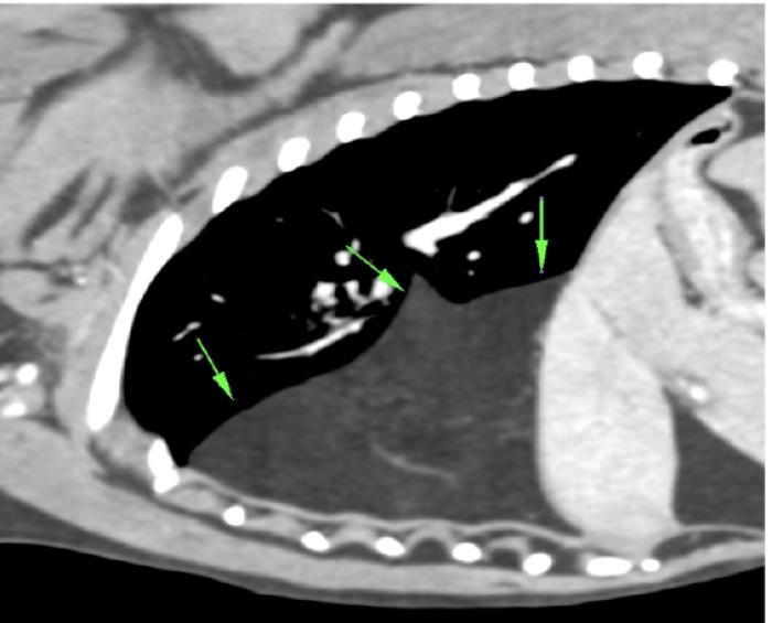
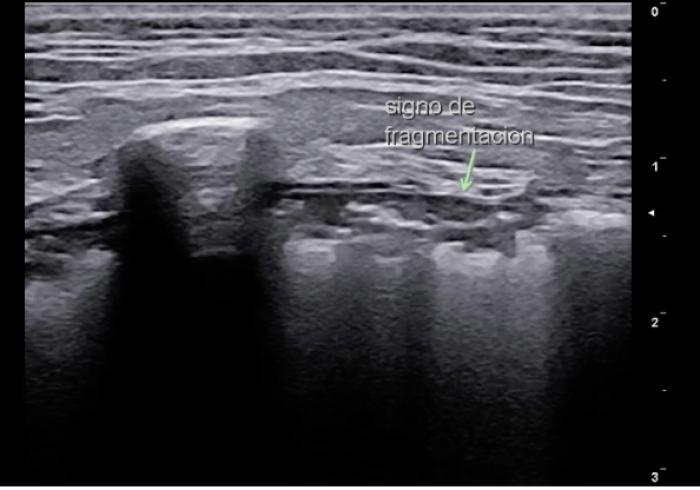
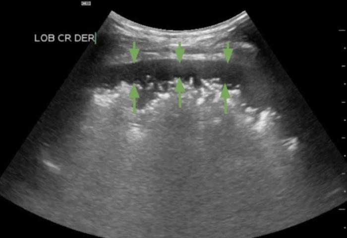
Signo de fragmentación
En inicio la consolidación pulmonar a nivel subpleural se produce cuando la aireación se encuentra por debajo del 10%. La comenzaremos viendo como focos irregulares bajo la LP que nos darán un aspecto irregular de la misma (Vídeo 8).
Vídeo 8. Focos de consolidación subpleural pequeños.
Paulatinamente estos focos aumentaran su extensión (pero restringiendo a parte de un lóbulo y no a su totalidad), generando unos bordes dentados en su transición con el pulmón aireado y con presencia de broncogramas en su interior, que definiremos como signo de fragmentación, desgarro o en “dientes de sierra”. Su presencia está ligada principalmente a la existencia de procesos bronco neumónicos o evolución de áreas de edema o contusión. Ocasionalmente pueden ser la imagen de una neoplasia cuando esta comienza a gestarse, de ahí la importancia de la anamnesis del paciente. Las líneas b suelen estar presentes en todas estas situaciones ya que suponen el inicio de nuevos puntos con falta de aireación (Figura 12A-D).




Signo tisular
Cuando la aireación se pierde por completo encontramos el signo tisular, en el cual podemos observar el tejido pulmonar conservado o no en su totalidad. A menudo se ha utilizado el término “hepatizado” para el pulmón que tras su falta de aireación se observa con un aspecto similar al tejido hepático (atelectásico) y el término consolidado se puede utilizar con más criterio para aquel que por un proceso infeccioso o neoplásico ha perdido su estructura normal. El signo tisular puede afectar a la totalidad de un lóbulo (Figura 13A.E).





Signo de banda
Se describe como una banda hipoecogénica subpleural de unos milímetros de grosor y con una transición dentada con el aire atrapado bajo ella que observaremos como marcadamente hiperecogénico. Frecuentemente se asocia a la torsión lobar (en lóbulos craneales en razas braquicéfalas y en lóbulo medial derecho en pacientes de tórax profundo) y a hemorragias pulmonares como ocurre en neumonías necrotizantes (afectando a más de un lóbulo). Suele ir acompañado de efusión pleural (Figura 14A-B).


Signo de cuña
Se trata de una consolidación de aspecto triangular o trapezoidal cuya base se encuentra en la LP. Los bordes son más regulares que en el caso del signo de fragmentación, no presentan broncogramas aéreos y si es factible utilizar el Doppler veremos ausencia de flujo en el foco afectado. Comúnmente pueden ir asociados a efusión pleural y si el cuadro respiratorio es agudo, la causa más frecuente es el tromboembolismo pulmonar.
Existe cierta controversia con respecto a si en perros y gatos este signo se describe con aspecto triangular como ocurre en los humanos, puesto que anatómicamente hay diferencias con respecto a la sección menos triangular que describe la vasculatura y por tanto quizá sea más correcto hablar de un aspecto trapezoidal del área consolidada (como se visualiza en la figura 15.3) que puramente triangular (Figura 15A-D).




Signo nodular
Consiste en una consolidación de aspecto circular a menudo de anecoicos a hipoecoicos con rara aparición de broncogramas en su interior. Distalmente al signo nodular observamos una línea cóncava hiperecogénica llamada línea C y un refuerzo posterior o signo de brillo en la profundidad del campo. Este hallazgo es común en neoplasias primarias o metastásicas, granulomas fúngicos o abscesos. Es un signo de especial importancia cuando tenemos un paciente con historial oncológico previo o en el protocolo de búsqueda de metástasis. Los nódulos observados veremos cómo se desplazan de izquierda a derecha de la imagen con la respiración del paciente, haciendo patente que se encuentran a nivel pulmonar y no de la pared costal, en cuyo caso no se desplazaran mientras el transductor se encuentre inmóvil (Figura 16A-D).




Signo de escalón
Se describe cuando existe un “escalón” o desnivel en la LP comúnmente asociada a fracturas costales, también se asocia a lesiones internas de la pared torácica que deprimen focalmente la pleura visceral (Figura 17A-B).


Discusión
Todos los signos que observamos durante el examen ecográfico del tórax no cardíaco nos ayudan a establecer un diagnóstico probable con apenas unos minutos de exploración del paciente, pudiendo así instaurar un primer tratamiento que nos ayude a estabilizar la situación para poder completar posteriormente la evaluación con pruebas complementarias como radiografías, tacs, resonancias o toma de muestras para su estudio citológico. A continuación, en la Tabla 1 se describen los principales signos de forma resumida y el diagnóstico más probable según el área torácica donde son observados.
Tabla 1. Tabla de interpretación de signos ecográficos pulmonares (perros y gatos).
| Signo ecográfico | Descripción visual | Significado fisiopatológico | Diagnóstico más probable y localización |
|---|---|---|---|
| Líneas B | Cohetes hiperecogénicos verticales que nacen de la línea pleural y llegan al fondo. | Edema intersticial o alveolar (sustitución de aire por líquido/tejido). | Edema cardiogénico (más simétricas y en área perihiliar) o Neumonía (desorganizadas y multifocales). |
| Ausencia de deslizamiento | Línea pleural estática; no hay movimiento de "vaivén" con la respiración. | Separación de las pleuras parietal y visceral por aire. | Neumotórax. Se busca en las zonas más altas (no dependientes) del tórax. |
| Signo de la estratosfera | En Modo M: líneas horizontales paralelas a la pleura (sin granularidad). | Confirmación de ausencia de movimiento pleural. | Neumotórax. Ausencia del "Signo de la orilla" normal. |
| Signo del sinusoide | En Modo M: Movimiento ondulante de la línea pleural visceral dentro del líquido. | Movimiento del pulmón que flota o se desplaza en un derrame. | Derrame Pleural. Indica que el líquido es libre y no está a tensión o tabicado. |
| Signo del cuadrilátero | Espacio anecoico (negro) limitado por costillas y pleuras. | Acumulación de líquido en el espacio pleural. | Derrame Pleural. Localizado inicialmente en zonas dependientes (ventrales). |
| Signo de la medusa | Pulmón colapsado y hepatizado "nadando" en abundante líquido. Imagen ondulante de ligamentos torácicos. | Atelectasia pasiva total de un lóbulo por compresión. | Derrame Pleural Masivo. Típico en efusiones pleurales graves. |
| Signo del plancton | Puntos hiperecogénicos móviles dentro del líquido pleural. | Presencia de células, detritos, fibrina o sangre en el líquido. | Exudado, quilotórax o hemotórax. Indica que no es un trasudado simple. |
| Signo de fragmentación | Línea pleural irregular, "deshilachada" o con pequeñas roturas. | Consolidaciones subpleurales pequeñas que rompen la interfase. | Fases iniciales de neumonía/contusión. Neumonía bacteriana: áreas ventrales más afectadas, neumonía verminosa multifocal |
| Signo tisular | El pulmón parece un órgano sólido (similar al hígado). | Consolidación completa: el aire ha desaparecido totalmente. | Neumonía bacteriana o aspiración (craneoventral) o Atelectasia (ventral). Neoplasia si el aspecto es heterogéneo. |
| Signo de banda | Línea hipoecogénica gruesa justo bajo la pleura (hemorragia)con aire desorganizado adyacente (enfisema). | Engrosamiento pleural o fibrosis. | Torsión lóbulo pulmonar (lóbulos craneales o medio dch) o hemorragia pulmonar (áreas ventrales de los lóbulos y bilateral). |
| Signo de cuña | Pequeña zona triangular hipoecoica con base en la pleura. | Consolidación alveolar focal periférica. | Tromboembolismo Pulmonar. Localización dorso caudal. |
| Signo nodular | Estructura redondeada u ovalada hipo o anecoica. | Masa sólida ocupante de espacio. | Neoplasia (Metástasis si son múltiples) o Granulomas o abscesos. Cualquier región. |
| Signo del escalón | Desalineación brusca o "salto" en la continuidad de la línea pleural. | Irregularidad de la superficie pulmonar por lesiones adyacentes. | Trauma costal Cualquier región. |
Bibliografía
- Lichtenstein DA. Current Misconceptions in Lung Ultrasound: A Short Guide for Experts. Chest. 2019 Jul;156(1):21-25. doi: 10.1016/j.chest.2019.02.332. Epub 2019 Mar 11. PMID: 30872018.
- Rigot M, Boysen SR, Masseau I, Letendre JA. Evaluation of B-lines with 2 point-of-care lung ultrasound protocols in cats with radiographically normal lungs. J Vet Emerg Crit Care (San Antonio). 2024 Mar-Apr;34(2):143-152. doi: 10.1111/vec.13360. Epub 2024 Feb 26. PMID: 38407524.
- Boysen S, McMurray J, Gommeren K. Abnormal Curtain Signs Identified With a Novel Lung Ultrasound Protocol in Six Dogs With Pneumothorax. Front Vet Sci. 2019 Aug 28;6:291. doi: 10.3389/fvets.2019.00291. PMID: 31555674; PMCID: PMC6722189.
- Boysen S, McMurray J, Gommeren K. Abnormal Curtain Signs Identified With a Novel Lung Ultrasound Protocol in Six Dogs With Pneumothorax. Front Vet Sci. 2019 Aug 28;6:291. doi: 10.3389/fvets.2019.00291. PMID: 31555674; PMCID: PMC6722189.
- Lichtenstein DA, Lascols N, Prin S, Mezière G. The "lung pulse": an early ultrasound sign of complete atelectasis. Intensive Care Med. 2003 Dec;29(12):2187-2192. doi: 10.1007/s00134-003-1930-9. Epub 2003 Oct 14. PMID: 14557855.
- Kraszewska K, Gajewski M, Boysen S, Buda N. Retrospective Evaluation of Subpleural Consolidations Using Lung Ultrasound in 634 Dogs and 347 Cats. Animals (Basel). 2025 Feb 13;15(4):549. doi: 10.3390/ani15040549. PMID: 40003031; PMCID: PMC11851566.
- Soldati G, Demi M, Smargiassi A, Inchingolo R, Demi L. The role of ultrasound lung artifacts in the diagnosis of respiratory diseases. Expert Rev Respir Med. 2019 Feb;13(2):163-172. doi: 10.1080/17476348.2019.1565997. Epub 2019 Jan 10. PMID: 30616416.
- Skulec R, Parizek T, David M, Matousek V, Cerny V. Lung Point Sign in Ultrasound Diagnostics of Pneumothorax: Imitations and Variants. Emerg Med Int. 2021 May 28;2021:6897946. doi: 10.1155/2021/6897946. PMID: 34136286; PMCID: PMC8177981.
- Lisciandro GR, Lisciandro SC. Lung Ultrasound Fundamentals, "Wet Versus Dry" Lung, Signs of Consolidation in Dogs and Cats. Vet Clin North Am Small Anim Pract. 2021 Nov;51(6):1125-1140. doi: 10.1016/j.cvsm.2021.07.012. Epub 2021 Sep 14. PMID: 34535335.
- Belmudes A, Gory G, Cauvin E, Combes A, Gallois-Bride H, Couturier L, Rault DN. Lung lobe torsion in 15 dogs: Peripheral band sign on ultrasound. Vet Radiol Ultrasound. 2021 Jan;62(1):116-125. doi: 10.1111/vru.12918. Epub 2020 Oct 31. PMID: 33128837.
- Kraszewska K, Gajewski M, Boysen SR. Case report: Application of color Doppler sonography for the assessment of pulmonary consolidations in a dog. Front Vet Sci. 2023 Dec 8;10:1275929. doi: 10.3389/fvets.2023.1275929. PMID: 38152596; PMCID: PMC10752369.
- Bhoil R, Ahluwalia A, Chopra R, Surya M, Bhoil S. Signs and lines in lung ultrasound. J Ultrason. 2021 Aug 16;21(86):e225-e233. doi: 10.15557/JoU.2021.0036. Epub 2021 Sep 9. PMID: 34540277; PMCID: PMC8439137.