Valor diagnóstico del índice cardíaco vertebral derecho (VRHi) en la hipertensión pulmonar canina asociada a Dirofilariosis cardiopulmonar
Resumen breve
La dirofilariosis cardiopulmonar canina es una enfermedad parasitaria grave que puede provocar hipertensión pulmonar crónica e irreversible. La radiografía torácica ha sido históricamente utilizada para evaluar lesiones pulmonares y cardíacas, aunque de forma principalmente subjetiva. El índice cardíaco vertebral derecho (VRHi) ha sido recientemente propuesto como una herramienta radiográfica cuantitativa para valorar el agrandamiento de las cámaras cardíacas derechas. Estudios como los…Índice de contenidos
Resumen
La dirofilariosis cardiopulmonar canina es una enfermedad parasitaria grave que puede provocar hipertensión pulmonar crónica e irreversible. La radiografía torácica ha sido históricamente utilizada para evaluar lesiones pulmonares y cardíacas, aunque de forma principalmente subjetiva. El índice cardíaco vertebral derecho (VRHi) ha sido recientemente propuesto como una herramienta radiográfica cuantitativa para valorar el agrandamiento de las cámaras cardíacas derechas. Estudios como los de Puccinelli et al. (2024) demostraron que un VRHi ≥ 3.5 vértebras en proyección lateral derecha tiene una sensibilidad del 68 – 71 % y especificidad del 86 – 89 % para detectar cardiomegalia derecha. Choi et al. (2025), por su parte, propusieron valores de corte diferenciados por raza, destacando la necesidad de ajustar su interpretación a contextos clínicos específicos.
El presente estudio evaluó el valor diagnóstico del VRHi en 29 perros con dirofilariosis canina, clasificándolos según presencia o ausencia de hipertensión pulmonar mediante ecocardiografía. Se observó un VRHi medio significativamente mayor en los perros hipertensos, relacionando la presencia de cardiomegalia derecha con la presencia de hipertensión pulmonar, tanto en la proyección latero-lateral derecha (3.66 ± 0.31 CV frente a 3.18 ± 0.22 CV; p < 0.05) como en la ventrodorsal (2.94 ± 0.27 CV frente a 2.45 ± 0.24 CV; p < 0.05). Estos hallazgos respaldan el uso del VRHi como herramienta accesible y objetiva para detectar hipertensión pulmonar en pacientes con dirofilariosis, especialmente en contextos clínicos donde no se dispone de ecocardiografía inmediata. Se requieren estudios adicionales con mayor tamaño muestral y ajuste por raza para definir valores de referencia específicos.
Introducción
La dirofilariosis cardiopulmonar canina es una enfermedad parasitaria de distribución mundial causada por el nematodo Dirofilaria immitis, transmitido por mosquitos del género Culex, Aedes y Anopheles. Una vez en el hospedador definitivo, las formas adultas del parásito se alojan principalmente en las arterias pulmonares y, en casos avanzados, en el ventrículo derecho y la vena cava caudal. Esta localización anatómica conduce a una serie de alteraciones vasculares, como inflamación endotelial, engrosamiento de la íntima, tromboembolismo e hipertrofia vascular, que resultan en un aumento sostenido de la presión en la circulación arterial pulmonar (Falcón-Cordón et al., 2024).
La hipertensión pulmonar inducida por D. immitis es un fenómeno progresivo y, en muchos casos, irreversible. El aumento de la poscarga del ventrículo derecho genera, en fases tempranas, hipertrofia concéntrica con disfunción diastólica, y posteriormente dilatación excéntrica con disfunción sistólica y presencia de fallo cardíaco congestivo derecho. La evaluación clínica de estos cambios estructurales debe realizarse mediante ecocardiografía, aunque su disponibilidad puede estar limitada en ciertos entornos clínicos (Adams et al., 2017).
En este contexto, la radiografía torácica sigue siendo una herramienta útil y ampliamente accesible. Sin embargo, la interpretación tradicional de la cardiomegalia derecha ha sido predominantemente subjetiva. Recientemente, se ha propuesto el índice cardíaco vertebral derecho (VRHi) como una medida objetiva para cuantificar el tamaño de las cámaras cardíacas derechas en perros, mostrando buena correlación con hallazgos ecocardiográficos en casos de hipertensión pulmonar, estenosis pulmonar, displasia tricuspídea y otras etiologías cardiovasculares (Puccinelli et al., 2024; Choi et al., 2025).
El presente estudio tiene como objetivo evaluar el uso del VRHi como herramienta diagnóstica de hipertensión pulmonar en perros parasitados por D. immitis y con presencia de cardiomegalia derecha detectada mediante estudio radiológico torácico.
Material y métodos
Se realizaron estudios radiológicos torácicos estándares con empleo de proyecciones ventro-dorsal (VD) y latero-lateral derecha (LLD) en un total de 29 perros previamente diagnosticados de dirofilariosis mediante un kit de prueba inmunocromatográfica comercial (Urano Dirofilaria® test).
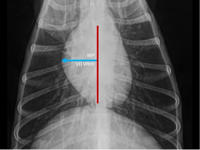
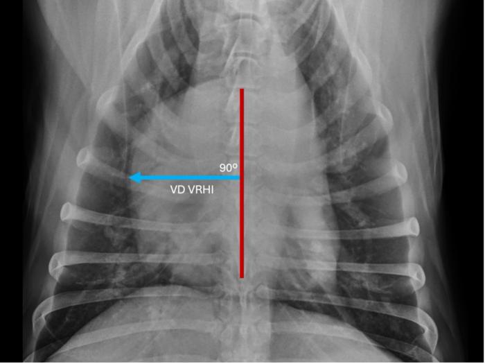
La determinación del VRHi se basó en el protocolo descrito por Puccinelli y colaboradores(2024). En la proyección LLD, el eje largo y el eje corto máximo de la silueta cardíaca se identificaron como se describió previamente para la escala cardíaco vertebral o índice de Buchanan (Buchanan & Bücheler, 1995). En el eje corto, se midió la distancia desde el margen craneal de la silueta cardíaca hasta la línea de intercepción del eje largo. Posteriormente, la misma línea se colocó sobre las vértebras torácicas comenzando en el borde craneal de la cuarta vértebra torácica, y se estimó el número de cuerpos vertebrales (CV). En la vista VD, el eje longitudinal torácico se trazó como una línea superpuesta a la columna vertebral. En el eje transversal, se calculó la distancia desde el margen derecho de la silueta cardíaca hasta el eje longitudinal torácico y se midió contra las vértebras torácicas en las vistas laterales, como se describió anteriormente (Figura 1 y 2).


La presencia de hipertensión pulmonar se realizó mediante ecocardiografía transtorácica (Viviq Iq®) a través de la determinación del gradiente de presión de la regurgitación tricúspidea (TRPG>46 mmHg) y la presencia de un índice de distensibilidad de la arteria pulmonar derecha (RPADi<30 %), siguiendo las directrices previamente descritas (Reinero et al., 2020).
Los exámenes y las determinaciones de VRHi fueron realizados por el mismo operador y empleando el mismo equipo radiológico (Bennett HFQ-600P®). Los animales no recibían medicación en el momento de realización de las radiografías y fueron excluidos los animales que padecían otras condiciones cardiorrespiratorias concomitantes.
Resultados
Mediante la evaluación ecocardiográfica de los parámetros TRPG y RPADi, se conformaron dos grupos de estudio: 13 de los 29 perros incluidos no presentaron signos ecocardiográficos compatibles con hipertensión pulmonar, mientras que los 16 restantes sí evidenciaron alteraciones compatibles con esta condición. La muestra total estuvo compuesta mayoritariamente por animales mestizos (21/29), con una edad media de 6,6 ± 3,65 años y un peso corporal promedio de 14.3 ± 9.8 kg. Se registraron 11 hembras y 18 machos, sin observarse diferencias significativas entre los grupos en cuanto a edad, peso, sexo o raza.
En relación con las determinaciones radiológicas, se obtuvieron diferencias estadísticamente significativas en los valores del VRHi entre ambos grupos, tanto en la proyección LLD como en la proyección VD, como se presenta en la Tabla 1. En la proyección LLD, los animales sin hipertensión pulmonar mostraron un VRHi medio de 3.12 ± 0.43 CV, mientras que aquellos con signos de hipertensión alcanzaron un valor promedio de 3.85 ± 0.61 CV. De manera similar, en la proyección VD, los valores fueron de 2.37 ± 0.33 CV y 3.34 ± 0.50 CV, respectivamente. Estas diferencias fueron estadísticamente significativas (p < 0.05), según la prueba de la U de Mann-Whitney.
Tabla 1. Resultados obtenidos del índice cardíaco vertebral derecho (VRHi) en las proyecciones radiológicas latero-lateral derecha (LLD) y ventro-dorsal (VD) en un grupo de perros parasitados por Dirofilaria immitis. Los valores están expresados como media aritmética ± desviación estándar. Se utilizó la prueba estadística de la U de Mann-Whitney para el análisis de diferencias (P valor).
| Grupo | VRHi (LLD) | VRHi (VD) | P valor |
|---|---|---|---|
| Ausencia de hipertensión pulmonar (13/29) | 3.12 ± 0.43 CV | 2.37 ± 0.33 CV | < 0.05 |
| Presencia de hipertensión pulmonar (16/29) | 3.85 ± 0.61 CV | 3.34 ± 0.50 CV | < 0.05 |
Estos resultados se ilustran también en el Gráfico 1, donde se representa la distribución del VRHi en ambos grupos de estudio. Se observa una elevación clara y consistente del índice en los animales con hipertensión pulmonar, lo que respalda su utilidad como herramienta diagnóstica para detectar remodelación cardíaca derecha secundaria a la infección por Dirofilaria immitis (Figura 3 y 4).

Distribución del índice cardiovertebral derecho (VRHi) en proyecciones radiográficas latero-lateral derecha (LLD) y ventro-dorsal (VD) en perros con y sin hipertensión pulmonar (HP) secundaria a infección por Dirofilaria immitis. Se observa una elevación significativa de los valores de VRHi en ambas proyecciones en el grupo con hipertensión pulmonar (p < 0.05). Los valores están representados mediante gráfico de boxplot, que indica mediana, cuartiles y rango.

Representación de la determinación del índice cardíaco vertebral derecho (VRHi) en proyección ventro-dorsal (VD) en un perro parasitado por Dirofilaria immitis y que sufría de hipertensión pulmonar. Valor de 2,5 cuerpos vertebrales al trasladar la determinación sobre las vértebras torácicas comenzando en el borde craneal de la cuarta vértebra torácica en proyección latero-lateral derecha (línea de color azul).

Representación de la determinación del índice cardíaco vertebral derecho (VRHi) en proyección latero-lateral derecha (LLD) en un perro parasitado por Dirofilaria immitis y que sufría de hipertensión pulmonar. Valor de 3,9 cuerpos vertebrales al trasladar la determinación sobre las vértebras torácicas comenzando en el borde craneal de la cuarta vértebra torácica (línea de color naranja).
Discusión
Este estudio evaluó por primera vez la utilidad diagnóstica del índice VRHi en perros con dirofilariosis cardiopulmonar, específicamente para detectar hipertensión pulmonar secundaria, una complicación frecuente y de alto impacto clínico. Los resultados demostraron diferencias estadísticamente significativas en los valores de VRHi entre perros con y sin hipertensión pulmonar, tanto en proyección LLD como VD.
Los perros con hipertensión pulmonar mostraron un VRHi promedio de 3.66 ± 0.31 CV en LLD y 2.94 ± 0.27 CV en VD, valores superiores a los de los perros sin hipertensión pulmonar (3.18 ± 0.22 CV y 2.45 ± 0.24 CV, respectivamente). Estos hallazgos sugieren que el VRHi es capaz de discriminar la presencia de remodelación cardíaca derecha asociada a hipertensión pulmonar en el contexto de la infección por Dirofilaria immitis.
Los resultados son consistentes con los reportados por Puccinelli et al. (2024), quienes validaron el VRHi como herramienta diagnóstica para detectar agrandamiento cardíaco derecho en perros mediante ecocardiografía. En su estudio multicéntrico (n = 204), los autores identificaron un valor de corte de ≥ 3.5 CV en proyección LLD con una sensibilidad del 68–71 % y especificidad del 86–89 %. Para la proyección VD, propusieron un punto de corte de ≥ 3,0 vértebras, con menor sensibilidad (57 %) pero alta especificidad (95 %). En nuestro estudio, los valores promedio de VRHi en perros con hipertensión pulmonar superaron ambos umbrales, lo que respalda su utilidad en pacientes con dirofilariosis cardiopulmonar.
Por otro lado, Choi et al. (2025) evaluaron el VRHi en una población amplia de perros (n=359) y demostraron que razas braquicéfalas como Pomeranias, Dachshunds y Yorkshire Terriers presentan valores de VRHi elevados incluso en ausencia de patología cardíaca, proponiendo valores de corte ajustados por raza. Los perros braquicéfalos mostraron un LLD VRHi ≥ 3.45 CV y VD ≥ 2.75 CV y los no braquicéfalos un LLD ≥ 3.25 CV y VD ≥ 2.4 CV.
En nuestra población, compuesta mayoritariamente por perros mestizos de tamaño mediano, los valores de VRHi en el grupo con hipertensión pulmonar superaron dichos umbrales, lo cual refuerza la aplicabilidad del índice incluso en contextos sin control de raza. Además, Choi et al. observaron que el VRHi medido en proyección lateral presentaba mayor correlación clínica con la ecocardiografía, hallazgo que también muestra ser consistente en los resultados obtenidos.
En conjunto, estos hallazgos consolidan el valor clínico del VRHi como método radiográfico objetivo, accesible y reproducible para evaluar hipertrofia o dilatación de cavidades cardíacas derechas en perros. Su empleo puede facilitar la detección temprana de hipertensión pulmonar en perros con dirofilariosis, especialmente en entornos donde la ecocardiografía no está disponible de forma inmediata.
Se recomienda profundizar esta línea de investigación con estudios prospectivos y una población más amplia, que permita establecer valores de referencia específicos para pacientes parasitados, y que considere variables como raza, peso corporal y estadio clínico.
Bibliografía
- Falcón-Cordón S., Falcón-Cordón Y., Costa-Rodríguez, N., Matos J.I., Montoya-Alonso J.A., Carretón E. Assessment of Thoracic Radiographic Alterations in Dogs with Heartworm and Their Correlation with Pulmonary Hypertension, Pre- and Post-Adulticide Treatment. Animals. 2024, 14, 2551.
- Adams D.S., Marolf A.J., Valdés-Martínez A., Randall E.K., Bachand A.M. Associations between thoracic radiographic changes and severity of pulmonary arterial hypertension diagnosed in 60 dogs via Doppler echocardiography: a retrospective study. Vet Radiol Ultrasound. 2017, 58,454-462.
- Puccinelli C., Vezzosi T., Grosso G., et al. The vertebral right heart index: A new radiographic method to assess right heart enlargement in dogs. Vet Radiol Ultrasound. 2024,65,96–602.
- Choi M., Hwang S., Lee J.H., et al. Diagnostic Accuracy of Vertebral Right Heart Index (VRHi) for Right Heart Enlargement in Dogs: A Breed-Specific Radiographic Study. Vet Sci. 2024, 12, 300.
- Buchanan J.W., Bücheler J. Vertebral scale system to measure canine heart size in radiographs. J AmVet Med Assoc. 1995, 206,194-199.
- Reinero C., Visser L.C., Kellihan H.B., et al. ACVIM consensus statement guidelines for the diagnosis. classification. treatment. and monitoring of pulmonary hypertension in dogs. J Vet Intern Med. 2020, 34,549- 573.