Adenitis sebácea idiopática
Resumen breve
La inflamación de las glándulas sebáceas puede ser secundaria a diversas dermatosis inflamatorias/infecciosas. Pero cuando hablamos de adenitis sebácea idiopática (ASI), generalmente, nos referimos a una patología folicular poco frecuente, en la que se produce un ataque inflamatorio/inmunitario celular idiopático frente las glándulas sebáceas, que acaba produciendo su destrucción. Dicho ataque podría estar relacionado o impulsado, a su vez, por otras alteraciones tanto a nivel de proliferación…Índice de contenidos
Reseña y anamnesis
Se presenta a consulta una perra de aguas de 3 años, no esterilizada, con un cuadro dermatológico progresivo consistente en cambios en la calidad, cantidad y aspecto del pelo a nivel dorsal. Los tutores lo notaron porque solían hacerle rastas, y la última vez fue imposible. Además, en las últimas semanas han notado un aumento en la descamación de la piel de las regiones afectadas. Al principio del cuadro clínico sí que observaron prurito, pero actualmente ha desaparecido.
Es una perra que vive en ciudad, con contacto moderado con otros perros. Recibe desparasitaciones externas de manera continuada, a base de isoxazolinas y collar de deltametrina. La bañan cada 4-6 semanas con un jabón para perros de uso frecuente. Y se alimenta con un pienso comercial de alta gama.
Examen físico general
No se observan cambios patológicos.
Examen dermatológico
- Cambios en el aspecto macroscópico del pelo a nivel dorsal, siendo de un color más oscuro y habiendo perdido parte del rizo característico de la raza (Figura 1 y 2).


- Descamación moderada adherida a piel, en la misma región (cilindros foliculares) (Figura 3 y 4).


- Descamación leve adherida a piel, con ligero eritema asociado, en la región apical de la cara interna de los pabellones auriculares y cabeza (Figura 5 y 6).


- Comedones a nivel abdominal ventral-inguinal (Figura 7).

Diagnóstico diferencial más probable
- Adenitis sebácea (idiopática vs secundaria a leishmaniosis).
- Leishmaniosis exfoliativa.
- Displasia-secuestro folicular.
- Otros problemas descamativo-seborreico primarios (poco probable).
- Endocrinopatía (poco probable por edad).
- Foliculitis bacteriana.
- Dermatofitosis.
- Demodicosis (poco probable por el uso de isoxazolinas).
Pruebas diagnósticas
- Lámpara de Wood: negativa.
- Examen microscópico del pelo: queratosis peripilar moderada-grave. Imposible discernir si existen cambios compatibles con dermatofitosis. No se observan ácaros compatibles con Demodex spp. (Figura 8).

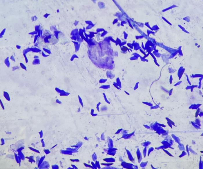
- Citología de superficie bajo la descamación: población abundante de corneocitos sin inflamación ni infección secundaria (Figura 9).

- Proteinograma: normal.
- Serología de Leishmania spp: negativa (ELISA 0,11).
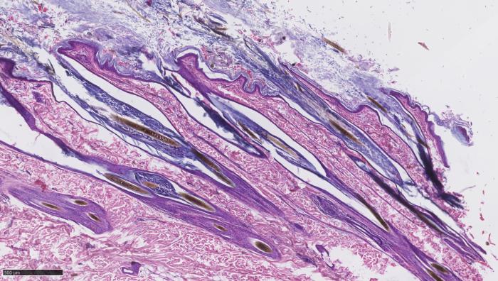
Considerando el diagnóstico diferencial propuesto y los resultados obtenidos en las pruebas iniciales, se toman 3 fragmentos de piel de 8 mm (punch quirúrgico, utilizando lidocaína como anestésico local, para posterior estudio histopatológico. En él, la patóloga observa leve hiperplasia de la epidermis con acantosis y severa hiperqueratosis ortoqueratótica laminar y marcada queratosis infundibular. La queratina envuelve los pelos a su salida del ostium folicular, formando cilindros foliculares. Presencia de folículos en todas las fases de crecimiento. Los folículos aparecen dilatados con abundante queratina en su interior. En la dermis seobserva un infiltrado inflamatorio muy leve, de distribución perivascular y perianexal con linfocitos, plasmáticas, mastocitos y algunos macrófagos. Ausencia de glándulas sebáceas, o escaso tejido residual, en las secciones examinadas (Figura 10).

A pesar del leve infiltrado inflamatorio observado, y aun considerando el resultado de la serología, se realiza una tinción inmunoperoxidasa sobre la muestra, donde no se observan amastigotes de Leishmania spp.
Pese a que se incluyó la dermatofitosis en el diferencial, no se realizó cultivo fúngico DTM (Dermatophyte Test Medium) ni una tinción PAS (Periodic Acid-Schiff) en la biopsia, porque los hallazgos histopatológicos no eran sugestivos de esta patología infecciosa.
Diagnóstico definitivo
Adenitis sebácea “idiopática”.
Manejo propuesto
Se inicia un tratamiento con ciclosporina oral (5 mg/kg/24 h), además de baños semanales con un jabón rico en un polihidroxiácido, la gluconolactona.
Discusión
La inflamación de las glándulas sebáceas puede ser secundaria a diversas dermatosis inflamatorias/infecciosas. Pero cuando hablamos de adenitis sebácea idiopática (ASI), generalmente, nos referimos a una patología folicular poco frecuente, en la que se produce un ataque inflamatorio/inmunitario celular idiopático frente las glándulas sebáceas, que acaba produciendo su destrucción. Dicho ataque podría estar relacionado o impulsado, a su vez, por otras alteraciones tanto a nivel de proliferación epidérmica como de metabolismo lipídico.
A pesar de su etiología desconocida, se presume una base genética ya que se presenta con más frecuencia en algunas razas el Chow Chow, el Caniche y el Akita Inu. Concretamente, en esta última se sugirió hace ya algunos años un modelo de herencia autosómico recesivo. A pesar de esto, la ASI puede presentarse en cualquier raza, y los animales afectados generalmente son jóvenes adultos o de edad media.
El buen funcionamiento de las glándulas sebáceas es fundamental para el mantenimiento de la homeostasia folicular. Junto con la secreción de las glándulas sudoríparas y los lípidos que forman parte de la estructura de la epidermis, los componentes lipídicos que producen las glándulas sebáceas permiten mantener un adecuado nivel de hidratación de la piel y el pelo, y actúan como barrera físico-química.
Así, la pérdida en la secreción glandular da lugar al signo que comparten la mayoría de los pacientes afectados, la seborrea, que se presenta en forma de descamación adherida a la piel u ocupando el ostium folicular (en forma de cilindro folicular). Además, esta descamación suele implicar también a cabeza y orejas, siendo en algunos casos la región que primero se ve afectada en el curso de la enfermedad, a diferencia de otras patologías foliculares. Por otra parte, la destrucción glandular que se produce en la ASI da lugar a cambios en la calidad y cantidad de pelo, por pérdida del equilibrio funcional de la unidad pilosebácea.
Aun así, los signos clínicos no siempre van a ser iguales y dependerán de la raza/tipo de pelo que presente el paciente. En perros de pelo corto no es raro observar regiones alopécicas circulares (que podrían recordar a foliculitis de otros orígenes); y en perros de pelo rizado como el nuestro, además de la seborrea, es común observar la pérdida del rizo característico y cambios en el color del manto. Es importante remarcar que siempre que veamos estas alteraciones macroscópicas en un perro de aguas debemos incluir la ASI en nuestro diagnóstico diferencial.
Del mismo modo, hay que señalar que no se trata de una patología pruriginosa en inicio, a no ser que se produzcan infecciones secundarias. No debemos olvidar la función de barrera físico-química que ejercen las secreciones glandulares, que, gracias a su alto contenido en moléculas como sales inorgánicas, proteínas antimicrobianas o inmunoglobulinas, presentan una importante acción en la prevención del desarrollo de infecciones cutáneas. Por tanto, no es raro observar pacientes con adenitis sebácea y piodermas secundarias, o sobrecrecimientos de levaduras, que cursen con prurito y compliquen el abordaje inicial del caso.
En base en la historia clínica, y descartando el resto de las patologías seborreicas que hemos incluido en nuestro diferencial (siempre basado en la reseña y las características del paciente), podremos emitir un primer diagnóstico presuntivo. En los pacientes afectados, en el examen microscópico del pelo veremos grandes acúmulos de queratina peripilar (correspondiente a los cilindros foliculares que veíamos a nivel macroscópico), pero cabe remarcar que este hallazgo no es patognomónico de la adenitis sebácea, por lo que el diagnóstico definitivo pasa por la realización de un estudio histopatológico. Éste, no sólo permitirá valorar el estado de las glándulas, sino que también será fundamental para descartar la implicación de algunos agentes infecciosos como la leishmaniosis, que es una causa de adenitis sebácea en zona endémica (principalmente porque, como veremos a continuación, un pilar fundamental del tratamiento pasa por el uso de fármacos con efecto inmunosupresor).
Los cambios que se observan durante el estudio histopatológico también pueden ser diferentes en función de la raza y momento cronológico de la patología, pero en muchas ocasiones coincide con lo que reportó la patóloga en nuestro paciente, que es la destrucción más o menos generalizada de las glándulas sebáceas. En algunos casos todavía se puede valorar un infiltrado inflamatorio perifolicular-periadnexal evidente, generalmente granulomatoso o piogranulomatoso; pero en ocasiones sólo observamos inflamación residual en la zona de proyección de las glándulas “desaparecidas”, con un grado variable de atrofia o fibrosis folicular. El tipo de infiltrado y su localización puede ayudarnos a sospechar con mayor o menor intensidad de la implicación de la leishmaniosis en el cuadro clínico. En un artículo publicado por Bardagí y col. en 2010 se observó que en los casos en los que la leishmaniosis estaba implicada en la adenitis se observaba un infiltrado inflamatorio multinodular en dermis, mientras que ese infiltrado era menor o ausente en los casos de ASI, en los que se restringía a las glándulas sebáceas. Aun así, y tal como realizamos en nuestro paciente, es ideal llevar a cabo pruebas específicas para llegar a un diagnóstico definitivo, como por ejemplo una tinción inmunohistoquímica sobre la muestra de biopsia.
No siempre el diagnóstico patológico es sencillo, y puede depender de la experiencia del dermatopatólogo. De hecho, se han propuesto diferentes técnicas de preparación de la muestra para intentar hacer más sencilla la valoración de las glándulas sebáceas, como realizar un corte transversal en lugar de longitudinal del folículo, que suele ser la manera mayormente aceptada.
El tratamiento de la ASI no siempre será sencillo y la respuesta dependerá mucho del paciente, cronicidad de la patología y reserva glandular en el momento del diagnóstico. De hecho, es fundamental manejar las expectativas de los tutores, ya que es una patología que requiere un tratamiento crónico, de intensidad variable entre pacientes, y que no siempre nos permite conseguir el resultado deseado.
El uso de moléculas con efecto queratolítico o queratoplástico, tanto a nivel tópico como sistémico (como por ejemplo los polihidroxiácidos incluidos en determinados jabones, o retinoides por vía oral), pueden mejorar el aspecto macroscópico de la piel, disminuyendo la seborrea y evitando en cierta medida la aparición de infecciones secundarias. Pero no ejercen efecto sobre el ataque inmunitario contra la glándula sebácea, por lo que el manejo de la patología pasa por el uso de fármacos inmunosupresores, como la ciclosporina. Recientemente se ha descrito el uso anecdótico de otros fármacos con capacidad para modificar la respuesta inmunitaria, como oclacitinib. Siempre tendremos que trazar un plan terapéutico individualizado, que se ajuste a la gravedad del cuadro clínico y a la realidad del paciente y su tutor (teniendo en cuenta factores como la existencia de comorbilidades o la posibilidad de realización de baños en casa).
Por tanto, es importante incluir la ASI en el diagnóstico diferencial de perros con múltiples cuadros clínicos dermatológicos, desde seborrea más o menos intensa hasta cambios en la cantidad y calidad del pelo, ya que un diagnóstico adecuado y temprano puede cambiar radicalmente el curso de la enfermedad.
Bibliografía
- Bardagí M, Fondevila D, Zanna G, Ferrer L. Histopathological differences between canine idiopathic sebaceous adenitis and canine leishmaniosis with sebaceous adenitis. Vet Dermatol. 2010 Apr;21(2):159-65. doi: 10.1111/j.1365-3164.2009.00774.x. Epub 2009 Aug 19. PMID: 19695011.
- Bond R, Brooks H. Transverse sectioning for histological assessment of sebaceous glands in healthy dogs and canine sebaceous adenitis. J Small Anim Pract. 2013 Jun;54(6):299-303. doi: 10.1111/jsap.12067. Epub 2013 Apr 21. PMID: 23600451.
- Gross TL, Ihrke PJ, Walder EJ et al. Skin diseases of the Dog and Cat. Clinical and Histopathologic Diagnosis, 2nd ed. Oxford: Blackwell Publishing, 2005. Pg 186-8.
- Lam AT, Affolter VK, Outerbridge CA, Gericota B, White SD. Oral vitamin A as an adjunct treatment for canine sebaceous adenitis. Vet Dermatol. 2011 Aug;22(4):305-11. doi: 10.1111/j.1365-3164.2010.00944.x. Epub 2011 May 20. PMID: 21599767.
- Linek M, Boss C, Haemmerling R, Hewicker-Trautwein M, Mecklenburg L. Effects of cyclosporine A on clinical and histologic abnormalities in dogs with sebaceous adenitis. J Am Vet Med Assoc. 2005 Jan 1;226(1):59-64. doi: 10.2460/javma.2005.226.59. PMID: 15646573.
- Lortz J, Favrot C, Mecklenburg L, Nett C, Rüfenacht S, Seewald W, Linek M. A multicentre placebo-controlled clinical trial on the efficacy of oral ciclosporin A in the treatment of canine idiopathic sebaceous adenitis in comparison with conventional topical treatment. Vet Dermatol. 2010 Dec;21(6):593-601. doi: 10.1111/j.1365-3164.2010.00902.x. PMID: 20529011.
- Palmeiro BS. Cyclosporine in veterinary dermatology. Vet Clin North Am Small Anim Pract. 2013 Jan;43(1):153-71. doi: 10.1016/j.cvsm.2012.09.007. PMID: 23182330.
- Pérez-Aranda M, Yotti C, Pérez J, Ginel PJ. Successful treatment of sebaceous adenitis with oclacitinib and low-dose prednisolone in a dog. Vet Dermatol. 2024 Apr;35(2):238-241. doi: 10.1111/vde.13216. Epub 2023 Nov 15. PMID: 37968244.
- Pye C. Canine sebaceous adenitis. Can Vet J. 2021 Mar;62(3):293-296. PMID: 33692587; PMCID: PMC7877684.
- Reichler IM, Hauser B, Schiller I, Dunstan RW, Credille KM, Binder H, Glaus T, Arnold S. Sebaceous adenitis in the Akita: clinical observations, histopathology and heredity. Vet Dermatol. 2001 Oct;12(5):243-53. doi: 10.1046/j.0959-4493.2001.00251.x. PMID: 11906649.
- Saridomichelakis MN, Koutinas AF. Cutaneous involvement in canine leishmaniosis due to Leishmania infantum (syn. L. chagasi). Vet Dermatol. 2014 Apr;25(2):61-71, e22. doi: 10.1111/vde.12105. Epub 2014 Jan 25. PMID: 24461051.
- Sousa CA. Sebaceous adenitis. Vet Clin North Am Small Anim Pract. 2006 Jan;36(1):243-9, ix. doi: 10.1016/j.cvsm.2005.09.009. PMID: 16364788.