Depósitos cálcicos localizados: a propósito de un caso de calcinosis circunscrita
Resumen breve
La calcinosis circunscrita es una forma de calcificación distrófica que ocurre en perros jóvenes, habitualmente de razas grandes, aunque también puede observarse en razas pequeñas. Se presenta con lesiones nodulares o crateriformes despigmentadas o blanquecinas en las almohadillas plantares, asociadas a dolor y cojera, o en otras localizaciones. El diagnóstico se confirma mediante pruebas de imagen, citología y, especialmente, histopatología, donde se observan depósitos de sales cálcicas.…Índice de contenidos
RESUMEN
La calcinosis circunscrita es una forma de calcificación distrófica que ocurre en perros jóvenes, habitualmente de razas grandes, aunque también puede observarse en razas pequeñas. Se presenta con lesiones nodulares o crateriformes despigmentadas o blanquecinas en las almohadillas plantares, asociadas a dolor y cojera, o en otras localizaciones. El diagnóstico se confirma mediante pruebas de imagen, citología y, especialmente, histopatología, donde se observan depósitos de sales cálcicas. El tratamiento de elección es la escisión quirúrgica de los depósitos cálcicos, aunque se podrían utilizar productos tópicos como DMSO. El obejtivo de este trabajo es describir un caso de calcinosis circunscrita en un cachorro de raza Teckel de 6 meses con lesiones plantares, que tras las pruebas correspondientes fue diagnosticada y se resolvió tras la biopsia y extracción del material cálcico. Es importante, aunque se trate de raza pequeñas, incluir en el diferencial esta entidad clínica, y así evitar tratamientos innecesarios.
INTRODUCCIÓN
La calcinosis circunscrita es una manifestación localizada de calcificación distrófica en los tejidos blandos, frecuentemente observada en perros jóvenes de razas predispuestas. Se caracteriza por la deposición de sales de calcio en áreas sometidas a presión o a microtraumas, como las almohadillas plantares y palmares. A diferencia de otras formas de calcificación, no suele asociarse con alteraciones sistémicas del metabolismo calcio-fósforo. Su importancia clínica radica en la presentación de dolor, cojera y lesiones ulceradas, que afectan a la funcionalidad del miembro afectado.
CASO CLÍNICO
Se presentó en consulta una cachorra de especie canina, raza Teckel, hembra entera de 6 meses de edad, con cojera leve-moderada de la extremidad anterior izquierda. El historial incluía tratamientos tópicos previos con pomadas de glucocorticoides y antibióticos así como cicatrizantes a base de centella asiática, sin mejoría clínica. A la exploración física general no se observaron alteraciones sistémicas, pero sí dolor a la palpación de la almohadilla palmar.
En la inspección dermatológica se observaron lesiones crateriformes, blanquecinas, de tamaño variable, en la superficie de la almohadilla palmar de la extremidad anterior izquierda (Figura 1).

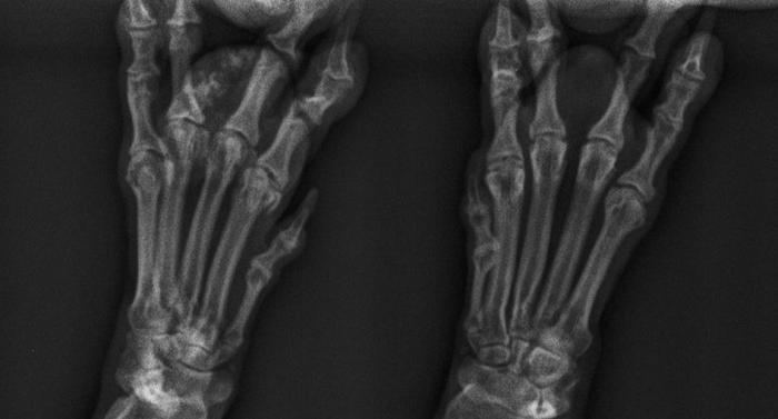
Las radiografías latero-laterales y dorso-ventrales de las extremidades anteriores mostraron material amorfo radiodenso localizado en la almohadilla afectada (Figuras2 y 3). Se realizó citología PAF (Punción con Aguja Fina), analítica sanguínea y biopsia de la zona. El análisis hematológico evidenció hiperfosfatemia leve, sin alteraciones en calcio, función renal o hepática.


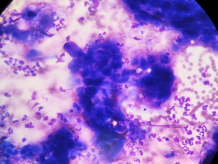
En la citología se pudo observar células gigantes multinucleadas, macrófagos, neutrófilos, macrófagos epitelioides y material granular basófilo así como restos traslúcidos compatibles con sales cálcicas (Figura 4 y 5).


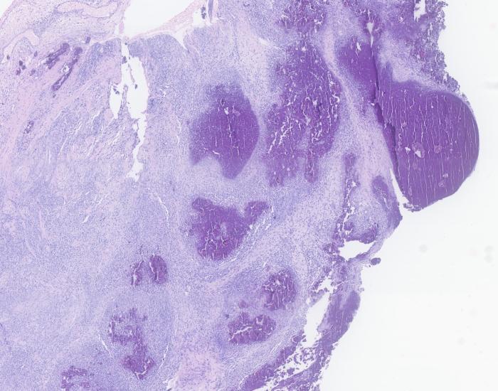
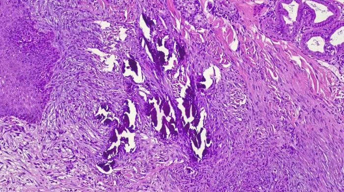
Durante la biopsia se observó salida de material amorfo, semisólido y blanquecino. El estudio histopatológico confirmó que se trataba de una calcinosis circunscrita por la presencia de dépositos de calcio (Figura 6 y 7).


Tras la extracción de los depósitos cálcicos durante la toma de biopsia (Figuras 8 y 9), la paciente evolucionó favorablemente, con resolución completa de la cojera y ausencia de recidiva en los controles posteriores. Actualmente, la paciente se encuentra sana.


DISCUSIÓN
La calcinosis circunscrita (CC) es un proceso de mineralización distrófica o idiopática caracterizado por el depósito de sales cálcicas en tejidos blandos previamente lesionados o sometidos a microtraumas1. Es una entidad poco frecuente en veterinaria, con predilección en perros jóvenes de razas grandes, en particular Pastor Alemán, Rottweiler y Labrador, aunque se han descrito casos en razas pequeñas y otras especies, incluyendo el gato1-4.
Se han descrito en estudios de series de casos, que la mayoría de los animales afectados tenían menos de 2 años y las lesiones aparecían principalmente en las almohadillas plantares (50 %) y lalengua (23 %), aunque también se identificaron nódulos en tejido subcutáneo, mucosa oral, pared intestinal y canal vertebral1-5. Este patrón sugiere que el trauma local repetido y la presión mecánica son factores predisponentes importantes.
El presente caso, descrito en uncachorro Teckel, refuerza la necesidad de considerar la CC como diagnóstico diferencial incluso en razas pequeñas, especialmente cuando se presentan lesiones firmes, no dolorosas, en almohadillas, acompañadas de cojera intermitente. La fisiopatología puede relacionarse con microtraumas en zonas de apoyo, más que con alteraciones sistémicas del metabolismo mineral. En este cachorro, la hiperfosfatemia leve observada, se asoció posiblemente al crecimiento óseo fisiológico, dado que el calcio sérico y la función renal permanecían normales1,2,5,6.
La calcificación tisular se clasifica en cuatro tipos principales según el mecanismo patogénico subyacente: distrófica, metastásica, idiopática e iatrogénica7-9. La calcinosis distrófica es la forma más común y ocurre en tejidos previamente lesionados o inflamados, sin alteraciones sistémicas del metabolismo del calcio o fósforo7,9.
En cambio, la calcinosis metastásica se asocia con hipercalcemia o hiperfosfatemia, secundarias a trastornos metabólicos como el hiperparatiroidismo o la insuficiencia renal crónica10,11.
La calcinosis idiopática aparece sin causa aparente, en animales metabólicamente sanos y suele tener un componente local (p. ej., la forma juvenil o la de los puntos de presión)9.
Finalmente, la calcinosis iatrogénica puede desarrollarse tras la administración parenteral de soluciones de calcio o fosfato11.
El proceso patológico se relaciona con la precipitación de cristales de hidroxiapatita y fosfato de calcio amorfo en el espacio extracelular, lo que desencadena una respuesta inflamatoria granulomatosa8,10,11.
En la citología se pueden observar células gigantes multinucleadas, macrófagos, neutrófilos, células macrófagos epitelioides y material granular basófilo, como se observó en este caso9.
Histológicamente, la CC se caracteriza por la presencia de material basofílico amorfo o granular, rodeado de reacción inflamatoria granulomatosa con macrófagos espumosos y células gigantes multinucleadas, a menudo encapsulado por tejido conectivo fibroso7,12-14.
La confirmación definitiva del componente mineral puede lograrse mediante tinciones von KossaoAlizarin Red S (ARS), que identifican sales cálcicas tanto en muestras histológicas como en extendidos citológicos1,2,6,7. Estas técnicas se consideran fundamentales, por ejemplo, en el diagnóstico citológico decalcinosis lingual15.
- Se han descrito múltiples localizaciones atípicas en la literatura
- Lesiones linguales aisladas en perros jóvenes15
- Depósitos intestinales idiopáticos3
- Reacciones distróficas a material de sutura (polidioxanona) tras cirugía16
- Depósitos epidurales calcificados en la articulación atlantoaxoidea asociados a signos neurológicos5
- Formas raras tipo“milk of calcium”, con acumulaciones de líquido calcificado subcutáneo17
Además, se ha documentado recientemente una calcinosis tonsilar felina4, lo que subraya que este proceso puede afectar distintas especies y tejidos, con mecanismos patogénicos semejantes.
El tratamiento de elección es la exéresis quirúrgica completa del material mineralizado y del tejido inflamatorio circundante, lo cual suele ser curativo y con escasas recidivas18-19. En lesiones pequeñas o localizadas, como la del presente caso, la extracción parcial del material cálcico durante la biopsia puede bastar para la resolución clínica.
Existen alternativas médicas o tópicas, entre ellas el dimetilsulfóxido (DMSO), que posee propiedades antiinflamatorias y quelantes, favoreciendo la disolución parcial del calcio distrófico19. No obstante, su eficacia es variable y está indicada únicamente en lesiones superficiales no ulceradas.
En resumen, la calcinosis circunscrita plantar en cachorros puede confundirse clínicamente con procesos infecciosos o neoplásicos, pero su reconocimiento temprano evita tratamientos innecesarios. El pronóstico es excelente tras la resección completa o el manejo conservador adecuado, con recuperación funcional rápida y baja tasa de recidiva1,9,18,19.
BIBLIOGRAFÍA
1 Tafti A.K., Hanna P., Bourque A.C.Calcinosis circumscripta in the dog: a retrospective pathological study.J Vet Med A. 2005; 52(1): 13–17.
2 Stampley A.R., Bellah J.R.Calcinosis circumscripta of the metacarpal pad in a dog.J Am Vet Med Assoc. 1990; 196: 1503–1505.
3 Tafti A.K. et al.Idiopathic intestinal calcinosis circumscripta in a dog.J Vet Med A. 2005; 52(1): 13–17.
4 Moserová H., et al.Calcinosis circumscripta tonsillaris in a cat (Felis catus): first case report.Vet Rec Case Rep. 2025; e70195.
5. Lemarie R.J., et al.Calcinosis circumscripta in dogs as a cause of spinal ataxia.J Small Anim Pract. 1984; 25: 485–491.
6. Aguado-Delgado J., Ríos-Marín J., et al.Cytochemical detection of calcium in a case of calcinosis circumscripta in a dog.Vet Clin Pathol.2010; 39(2): 226–229.
7. Scott DW, Miller WH, Griffin CE. Muller and Kirk’s Small Animal Dermatology. 7th ed. St. Louis: Elsevier; 2013. pp. 1081–1085.
8. Ginn PE, Mansell JEKL, Rakich PM. Jubb, Kennedy & Palmer's Pathology of Domestic Animals. 6th ed. Philadelphia: Elsevier; 2016. Vol 1, pp. 496–498.
9. Gross TL, Madewell BR. Idiopathic calcinosis circumscripta in dogs: a clinicopathologic study of 23 cases. Vet Pathol. 1985;22(5):447–454
10. Ginn PE, Mansell JEKL, Rakich PM. Jubb, Kennedy & Palmer's Pathology of Domestic Animals. 6th ed. Philadelphia: Elsevier; 2016. Vol 1, pp. 496–498.
11. Mauldin EA, Peters-Kennedy J. Integumentary System. In: Zachary JF (ed). Pathologic Basis of Veterinary Disease. 6th ed. St. Louis: Elsevier; 2017. pp. 1121–1123.
12. Gross TL, Ihrke PJ, Walder EJ, Affolter VK. Skin Diseases of the Dog and Cat: Clinical and Histopathologic Diagnosis. 2nd ed. Oxford: Blackwell Science; 2005. pp. 470–473.
13. McAbee GN, et al. Soft tissue calcification: mechanisms and diagnostic approach. Vet Clin Pathol. 2018;47(2):236–247.
14. Doerr A., et al.Calcinosis cutis in dogs: histopathological and clinical analysis of 46 cases.Vet Dermatol. 2013; 24: 355–e78.
15. Tafti A.K., Bourque A.C.Calcinosis circumscripta of the tongue in an Irish Wolfhound.J Small Anim Pract. 1983; 24: 87–92.
16. Bellah J.R., Stein L.E.Calcinosis circumscripta associated with polydioxanone suture in two young dogs.J Am Vet Med Assoc. 1991; 199: 1543–1546.
17. Cullen J.M., et al.Milk of calcium in a dog: a rare presentation of calcinosis circumscripta.Vet Dermatol. 2019; 30(5): e78.
18. Scott-Moncrieff J.C., et al.Surgical management of calcinosis in dogs.J Am Vet Med Assoc. 1993; 202: 413–416.
19. Tolón A., et al.Resolution of iatrogenic calcinosis cutis in a dog through topical application of DMSO.Vet Rec Case Rep. 2018; 6(3): e000678.