Manejo analgésico para amputaciones de miembro pélvico en felinos, a propósito de un caso clínico
Resumen breve
La amputación de un miembro pélvico es un procedimiento quirúrgico que, si bien es vital para el bienestar a largo plazo de un felino (generalmente por trauma grave, enfermedad neoplásica o afecciones ortopédicas intratables), conlleva un alto grado de dolor perioperatorio agudo y un riesgo significativo de desarrollar dolor crónico o neuropático como lo es el dolor del miembro fantasma.Índice de contenidos
Introducción y manejo de la anestesia en amputaciones
La amputación de cualquier miembro se considera una cirugía mayor, en la cual, si bien la analgesia es fundamental y debe ser prioritaria, no es el único aspecto a considerar. Estas cirugías suelen ser prolongadas y conllevan un riesgo de sangrado considerable. Por lo tanto, además de la analgesia, es crucial monitorear y prevenir complicaciones como hipotermia, hipotensión, hipoventilación, hipercapnia, bradicardia, apnea, taquicardia, complicaciones en la recuperación, dolor postoperatorio y hasta la muerte1.
Se llevará a cabo un análisis exhaustivo de los signos vitales principales a monitorear durante una cirugía de esta naturaleza. Es importante recordar que los felinos no son caninos de menor tamaño.
Los tres principales enemigos de la anestesia en felinos son la hipotermia, la bradicardia y la hipotensión1.
Es importante recordar la relación que cada uno de ellos tiene con los pacientes, ya que en felinos esta tríada puede considerarse peligrosa, sin desplazar a la triada original de la muerte que es: hipotermia, coagulopatía y acidosis. A diferencia de otras especies, como los caninos, la respuesta compensatoria de los gatos ante una bajada de presión arterial no es la taquicardia, sino que con frecuencia es la bradicardia.
Como es bien sabido la respuesta barorreceptora en felinos es completamente distinta, ya que cuando el paciente se hipotensa es más común que el paciente presente bradicardia, esta bradicardia acompañada de hipotensión puede generar una pérdida de temperatura más rápida en el paciente, por lo que durante este procedimiento el manejo integral no solo debe de enfocarse en la analgesia si no también en el mantenimiento de la temperatura.
Ante un escenario así se debería pensar primero en darle medicamentos como la atropina al paciente para subir la frecuencia cardiaca, esto subiría el gasto cardiaco y por consiguiente la presión arterial, pero en felinos la hipotermia disminuye el metabolismo general del cuerpo, incluyendo la función de los receptores cardíacos, la atropina actúa bloqueando los receptores muscarínicos del nervio vago ejerciendo un efecto parasimpaticolítico lo que permitiría que el corazón lata más rápido pero cuando el cuerpo del gato está muy frío, estos receptores cardíacos (específicamente, los receptores M2) se vuelven menos reactivos a la atropina. Esto muestra que el enfoque principal en un paciente felino que presenta hipotensión y bradicardia es la corrección de la temperatura corporal2.
Dada la tendencia natural de los gatos a ocultar el dolor y su particular metabolismo que los hace sensibles a muchos fármacos, es fundamental implementar una estrategia de analgesia multimodal robusta y rigurosa.
Este enfoque multimodal combina diferentes clases de fármacos analgésicos que actúan en distintos puntos de la vía del dolor (desde la periferia hasta el sistema nervioso central), permitiendo un control superior del dolor con dosis más bajas de cada agente individual, lo que minimiza los efectos adversos.
Un prótocolo analgésico óptimo para esta cirugía debe incluir la analgesia preventiva (iniciada antes del procedimiento) y prolongarse al menos varios días en el posoperatorio con una evaluación continua del nivel de dolor. Las bases de este manejo incluyen:
- Opioides: en situaciones de rescate analgesico de un dolor agudo e intenso de difícil manejo (p. ej., buprenorfina, metadona).
- Anestesia locorregional: técnicas como la anestesia epidural o los bloqueos nerviosos periféricos como el bloqueo del trinco lumbo-sacro o el bloqueo GIN son herramientas poderosas para bloquear la nocicepción desde el sitio quirúrgico.
- Fármacos adyuvantes: como los AINE, la ketamina con sus propiedades de agonista NMDA y, en ocasiones, la gabapentina para el componente neuropático son medicamentos que no deberían faltar en un plan analgésico y anestésico para una cirugía como esta. En felinos muchos medicamentos tiene problemas para metabolización y excreción. Uno de ellos es el paracetamol, los felinos no tienen enzimas UGT´s por lo que la mejor opción terapéutica para sustituir el paracetamol es el metamizol.
La correcta implementación de un protocolo analgésico integral no solo garantiza el confort y la rápida recuperación del paciente, sino que también reduce la posibilidad de sensibilización central y la cronicidad del dolor, asegurando una mejor calidad de vida al felino post amputación.
Bloqueos regionales como medida efectiva de analgesia
Los bloqueos de larga duración aplicándolos en felinos pueden ofrecer periodos de analgesia largos que van desde 6 horas hasta 96 horas, inclusive más, dependiendo de los fármacos usados.
Uno de los objetivos actuales de la anestesia es que los pacientes no experimenten actividad simpática ni sensibilización central durante la cirugía, ya que esto colabora a que la corteza cerebral no se active y disminuya el dolor con componente neuropático y nociceptivo en el posoperatorio inmediato y a largo plazo.
Bloquear al paciente con solo el anestésico local como la lidocaína, ropivacaína o bupivacaina ofrece un efecto analgésico relativamente corto. Con la utilización de coadyuvantes como dexmedetomidina y la dexametasona se puede llegar a prolongar los efectos analgésicos por un periodo más largo con el objetivo de obtener solo bloqueo sensitivo.
Por lo general cuando se realiza cirugía de miembros no se busca obtener un bloqueo sensitivo y motor al realizar el bloqueo, pero en casos como las amputaciones en las que no se conservará el miembro y se busca prolongar los efectos analgésicos por el periodo de tiempo más largo posible se pueden realizar técnicas de anestesia regional de larga duración. Este efecto se obtiene utilizando coadyuvantes como la metilprednisolona o la trimacinolona más dexmedetomidina lo que ayuda a prolongar los efectos del bloqueo por más de 2 semanas3.
A nivel central impedir la sensibilización central ayudará a que no desarrolle dolor crónico o neuropático el paciente.
El bloqueo GIN (Greater Ischiatic Notch) es una técnica de anestesia regional guiada por ecografía diseñada para proporcionar analgesia al miembro pélvico en perros, con el objetivo principal de ser "motor-protector", es decir, preservar la función motora mientras se bloquea la sensación de dolor. Este bloqueo es un bloqueo en plano interfascial no perineural como otros abordajes4.
Por si solo el bloqueo GIN solo actúa bloqueando los nervios que conforman el tronco lumbo-sacro, estos nervios solo cubren la parcial distal del miembro pélvico, cuando este se acompaña por un bloqueo del cuadrado lumbar cauda el cual bloquea los nervios del plexo lumbar4.
Otra opción es colocar un catéter epidural o un bloqueo local después de retirar el miembro, incluso colocar una sonda de instilación continua de anestésico, pero con esta técnica GIN & TONIC más la modificación con la aplicación de coadyuvantes se puede generar analgesia por largos periodos de tiempo con dos bloqueos en caninos, felinos, lagomorfos y caprinos4,5,6,7.
por el Dr. Pablo Otero (6).
Cabe recordar el compromiso actual de garantizar que cada vez más pacientes reciban un bloqueo regional, los bloqueos regionales son un factor protector de mortalidad en la anestesia de gatos y también aplicar la anestesia regional contribuye a la aplicación del protocolo ERAS en Veterinaria8,9,10.
Caso clínico
Se aborda un caso clínico de un felino con edad aproximada de 2 años, el cual es rescatado de la calle por dos personas, estas personas lo llevan al hospital y lo abandonan (Figura 1).

El paciente tiene múltiples heridas por todo el cuerpo, al parecer fue atropellado por un automotor y lo arrastraron lo que justifica sus heridas abrasivas, se encuentra en una condición corporal muy baja 3/9, deshidratado. El hallazgo más importante es que el miembro pélvico izquierdo presenta una fractura expuesta, contaminada y con señales de putrefacción por lo que se decide estabilizar un par de días antes de entrar a cirugía, durante esos días se le hace un manejo analgésico con meloxicam a dosis de 0.05 mg/kg/24 h, gabapentina a dosis de 5 mg/kg/12 h VO, tramadol a dosis de 3 mg/kg/12 h y se le indican cuidados avanzados de heridas + antimicrobianos (Vídeo 1).
Vídeo 1. Paciente estabilizado de dolor.
Se decide estabilizar y una semana después el paciente se encontraba con una mejora notable de condición en general. Pesaba ya 2.5 kg, tenía un mejor estado de ánimo, se encontraba más alerta y se le realizan estudios de sangre, todo dentro de rango normales, para someterse a cirugía por lo que se aprueba el procedimiento el cual sería una amputación del miembro pélvico izquierdo y curetaje de heridas superficiales del tórax.
Se realiza una medicación pre-anestésica por vía intramuscular con dexmedetomidina a una dosis de 15 mcg/kg más butorfanol a una dosis de 0.2 mg/kg. Se realiza una canalización de la vena yugular con un catéter venoso de 24 G debido a las malas condiciones de los miembros anteriores y se continúa con la tricotomía de toda la zona del miembro pélvico.
Se prepara el bloqueo a una dosis de 0.3 ml/kg para el bloqueo del GIN y una dosis de 0.5 ml/kg para el bloqueo del cuadrado lumbar caudal. Calculado los bloqueos las dosis en volumen quedarían así:
- Bloqueo GIN: 0.75 ml sitio.
- Bloqueo TONIC: 1.25 ml sitio.
- Volumen total para bloquear = 2 ml.
Sabiendo esto se calcula el bloqueo a una dosis de 2 mg/kg gato de bupivacaína. En México la bupivacaína disponible viene en presentación del 0.5 % por lo que si la llevamos a una dosis de 0.25 % obteniendo así los 2 ml de volumen de bloqueo totales.
Para diluir la bupivacaína del 0.5 % para dejarla al 0.25 % se debe agregar una parte de bupivacaína y una parte de agua estéril o solución salina. Como ejemplo, si al paciente le tocaba 1 ml de bupivacaína al 0.5 % según sus dosis se le agrega 1 ml de salina y así dejamos 2 ml de bupivacaína al 0.25 %.
A esto se sumó dexmedetomidina a una dosis de 1 mcg/kg sitio y triamcinolona a dosis de 0.15 mg/kg sitio. El total en ml de cada medicamento solo se le administra al total de medicamento para el bloqueo. Agregándole así 0.5 ml de dexmedetomidina (100 mcg/ml) y 0.125 ml de triamcinolona (6 mg/ml).
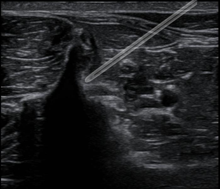
La dosis de volumen total del bloqueo ya con los coadyuvantes fue de 2.61 ml y se realizó al final una aplicación a cada punto un total de 1.7 ml para el TONIC y 0.92 ml al GIN (Figura2-4, Vídeo 2) .



Vídeo 2. Posoperatorio inmediato.
El paciente se recupera de manera favorable de la cirugía, al ser un paciente pequeño la única complicación intraoperatoria fue la hipotermia pero esta se trató de corregir en cirugías con soporte de aire caliente y al salir se antagonisa con atipamezol y continúa calentándolo de manera lenta en la Unidad de cuidados posquirrúrgicos.
Se le establece como terapia posoperatoria medicación con metamizol 12.5 mg/kg/12 h, meloxicam a dosis de 0.05 mg/kg por 5 días más y antimicrobiano a dosis de amoxicicilina + ácido clavulánico a 12.5 mg/kg/12 h. Evaluación con escala de Glasgow cada 12 horas en donde los primeros 2 días mantuvo valoraciones de 3/20, 4/20, 3/20 y 3/20 respectivamente por lo que se le indica alta y continúa con tratamiento en casa. El paciente continuó con visitas al hospital para su seguimiento de manejo de herida, por lo que se pudo tener más evidencia de su posoperatorio.
El paciente regresa a los 10 días a retiro de puntos de la amputación y a valoración de manejo de herida de tórax y se da de alta (Vídeo 3-5).
Vídeo 3. Posoperatorio con 12 días de posoperatorio.
Vídeo 4. Posoperatorio con 12 días de posoperatorio.
Vídeo 5. 7 meses posoperatorio y sin rastro de dolor en la zona de la amputación.
Conclusión
Trabajar en la actualidad para que cada día más pacientes tengan acceso a los bloqueos regionales debe de ser una de los objetivos principales10.
Los bloqueos regionales con coadyuvantes como la dexmedetomidina a dosis de 1 mcg/kg sitio y triamcinolona a dosis de 0.15 mg/kg sitio pueden ofrecer grandes beneficios en el tratamiento del dolor, ya que prolongan los efectos analgésicos del bloqueo por largos periodos de tiempo, lo cual ayuda a evitar la cronificación del dolor al bloquear desde la transducción y la transmisión del impulso nervioso, logrando así que no se genere una activación a nivel de la modulación en la médula espinal y la percepción a nivel de la corteza somato sensorial, lo que ayuda a que la memoria del dolor y la cronificación no se den en este tipo de pacientes.
Para poder concluir que este abordaje funciona para una amputación haría falta evaluarlo en una población más grande para que la N sea de mayor consideración, pero al no existir hasta el momento un reporte de este bloqueo en felinos para amputación este podría ser el primer reporte de un bloqueo GIN&TONIC en felinos para amputación.
Bibliografía
- Brown JF, Murison PJ. Perioperative anaesthetic complications in healthy cats undergoing anaesthesia for neutering in first opinion practice. Journal of Feline Medicine and Surgery. 2024;26(10). doi:10.1177/1098612X241285269
- Côté E. Feline arrhythmias: an update. Veterinary Clinics: Small Animal Practice. 2010 Jul 1;40(4):643-50.
- Otero, P. E., Portela, D. A., Fuensalida, S. E., Tarragona, L., Corral, J., Díaz, A., Ceballos, M., Waxmana, S., & Guerrero, J. A. (2023). Ultrasound-guided lateral pericapsular hip desensitization of the articular branches of the cranial gluteal nerve: A canine cadaveric study and feasibility study in dogs. Veterinary anaesthesia and analgesia, 50(6), 507–516. https://doi.org/10.1016/j.vaa.2023.08.008
- Otero PE, Fuensalida SE, Tarragona L, Díaz A, Sanchez MF, Micieli F, Waxman S, Zaccagnini AC, Donati PA, Portela DA. Ultrasound-guided caudal quadratus lumborum block combined with the greater ischiatic notch plane block as motor-protective analgesia for the pelvic limb in dogs. Vet Anaesth Analg. 2024 Jan;51(1):97-106. doi: 10.1016/j.vaa.2023.11.001. Epub 2023 Nov 7. PMID: 38000928.
- Robinson AR, Otero PE. Lumbosacral plexus block using the GIN & TONIC approach in a rabbit. Vet Anaesth Analg. 2025 Sep-Oct;52(5):698-700. doi: 10.1016/j.vaa.2025.06.003. Epub 2025 Jun 13. PMID: 40634213.
- Otero PE, Guerrero JA, Tarragona L, Micieli F, Sanchez MF, Donati PA, Ceballos MR, Portela DA. Ultrasound-Guided Greater Ischiatic Notch Plane Block Combined with the Caudal Quadratus Lumborum Block (GIN-TONIC Block) in Dogs Undergoing Pelvic Limb Surgery: Preliminary Results. Animals (Basel). 2024 Jun 11;14(12):1764. doi: 10.3390/ani14121764. PMID: 38929383; PMCID: PMC11201028.
- Heitzmann V, Otero PE, Hartnack A, Ringer S. Ultrasound-guided caudal quadratus lumborum block combined with the greater ischiatic notch plane block in a goat with femoral head fracture. Vet Anaesth Analg. 2025 Mar-Apr;52(2):252-256. doi: 10.1016/j.vaa.2024.12.010. Epub 2025 Jan 3. PMID: 39890505.
- Redondo JI, Martínez-Taboada F, Viscasillas J, Doménech L, Marti-Scharfhausen R, Hernández-Magaña EZ, Otero PE. Anaesthetic mortality in cats: A worldwide analysis and risk assessment. Vet Rec. 2024 Jul 6;195(1):e4147. doi: 10.1002/vetr.4147. Epub 2024 Jul 3. PMID: 38959210.
- Campoy L. Development of Enhanced Recovery After Surgery (ERAS) protocols in veterinary medicine through a one-health approach: the role of anesthesia and locoregional techniques. J Am Vet Med Assoc. 2022 Sep 15;260(14):1751-1759. doi: 10.2460/javma.22.08.0354. PMID: 36108100.
- Chin KJ, Mariano ER, El-Boghdadly K. Advancing towards the next frontier in regional anaesthesia. Anaesthesia. 2021 Jan;76 Suppl 1:3-7. doi: 10.1111/anae.15321. PMID: 33426654.