Caso clínico: diagnóstico y resolución quirúrgica en un perro con un diente canino mandibular incluido y alteraciones de tamaño y forma en otros dientes
Resumen breve
Un diente incluido es aquel que no ha llegado a erupcionar y se encuentra completamente rodeado por tejido óseo. Esta alteración puede generar complicaciones locales. Se presenta el caso clínico de un paciente canino diagnosticado con inclusión del diente 404, localizado en el cuerpo mandibular derecho, asociado a alteraciones dentales adyacentes. Además, presentaba otras alteraciones de forma en otros dientes, en algunos casos con signos patológicos asociados. Se describen los estudios de…Índice de contenidos
Resumen
Un diente incluido es aquel que no ha llegado a erupcionar y se encuentra completamente rodeado por tejido óseo. Esta alteración puede generar complicaciones locales. Se presenta el caso clínico de un paciente canino diagnosticado con inclusión del diente 404, localizado en el cuerpo mandibular derecho, asociado a alteraciones dentales adyacentes. Además, presentaba otras alteraciones de forma en otros dientes, en algunos casos con signos patológicos asociados. Se describen los estudios de diagnóstico por imagen realizados, el abordaje quirúrgico empleado para la extracción dentaria de los dientes incluidos y de aquellos con alteraciones de forma patológicas.
Introducción
La impactación dental se define como la falta de erupción de un diente dentro del tiempo fisiológico esperado, debido a obstáculos mecánicos o alteraciones en la posición dentaria1. La inclusión dental ocurre cuando, además, el diente está completamente rodeado por hueso. Aunque la prevalencia es mayor en humanos, los animales domésticos, especialmente caninos, también presentan casos de impactación e inclusión, principalmente asociados a dientes caninos, premolares y terceros molares2. La retención de dientes impactados puede conducir a quistes dentígeros, reabsorción de raíces adyacentes, infecciones periapicales y alteraciones funcionales de la cavidad oral3.
Las alteraciones de tamaño y forma son anomalías que ocurren durante la formación, erupción o maduración de los dientes. Pueden afectar a la corona, la raíz o ambos. Algunos ejemplos son la microdoncia, la fusión de las raíces de un premolar o molar, la geminación o la dilaceración. En algunos casos, estas alteraciones no suponen ningún problema, pero en otros sí.
En medicina veterinaria, la exploración y la evaluación radiográfica, que en algunos casos requiere complementarse con un estudio de tomografía computarizada, es esencial para determinar la ubicación exacta de un diente incluido o de dientes con alteraciones de forma, su relación con estructuras anatómicas cercanas y planificar un abordaje quirúrgico seguro y efectivo4. Se expone a continuación un caso clínico de inclusión de un diente mandibular en un paciente canino y la presencia de dientes con alteraciones de tamaño y forma, describiendo el diagnóstico, la técnica quirúrgica y el tratamiento postoperatorio.
Caso clínico
Se atendió a un paciente canino macho, de 12 meses y raza Labrador retriever, en consulta para evaluación dental, debido a que los veterinarios habituales habían detectado la falta de algunos dientes en sus revisiones generales. Durante la exploración de la cavidad oral con el paciente despierto se observaron a simple vista algunas alteraciones: ausencia del diente 401, irregularidades en la corona del diente 403 y ausencia del diente 404.
A continuación, se sometió al paciente a sedación profunda para realizar una exploración más completa y un estudio radiográfico intraoral. Además de confirmarse la ausencia externa de 401 y 404, en la exploración se observaron con mayor detenimiento las irregularidades del diente 403 (Figuras 1 y 2), presentando lobulaciones e invaginación en la corona (pliegues anormales del esmalte hacia el interior del diente).


El estudio radiográfico intraoral reveló diversas alteraciones:
- Ausencia completa o agenesia del diente 401 (Figura3).

- Tamaño más pequeño de lo normal, o microdoncia, del diente 402 (ver Figura 3).
- Invaginación y radiolucidez periapical, sugiriendo infección, del diente 403 (ver Figura 3) (Figura4).

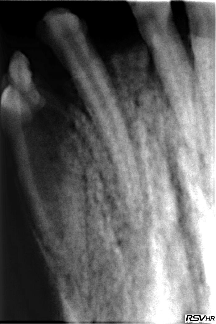
- Presencia del diente 404, incluido en el cuerpo mandibular, ventral a los dientes 406 y 407, con una forma acortada y aberrante (Figuras 5-7).



- Fusión de las raíces del diente 406, sin signos patológicos asociados (ver Figura 5).
Tras obtener estos hallazgos, para poder evaluar la posición tridimensional y la relación con las estructuras anatómicas circundantes del diente 404, se recomendó ampliar el estudio mediante la realización de una tomografía computarizada, la cual se programó unos días después en otro centro veterinario.
El estudio tomográfico permitió confirmar el diagnóstico de las alteraciones detectadas (Figuras 8 y 9).


Además, permitió comprobar la relación del diente 404 con los dientes 405 y 406, hallándose este ventral a ellos y al canal mandibular, estando ventral y medial a él. Se observó también que la silueta en la cara medial y ventral de la mandíbula estaba algo engrosada por la presencia del diente.
Se recomendó programar una cirugía para extraer los dientes 402, 403 y 404. Días después, bajo anestesia general inhalatoria, se realizó la cirugía en dos fases diferentes:
Primera fase
Extracción de los dientes 402 y 403 mediante técnica cerrada. Se realizaron incisiones sulculares en la encía alrededor de los dientes con un bisturí de hoja número 15. A continuación, se realizó la luxación de los dientes con un luxador plano de 3 mm de hoja y la extracción con un fórceps mediano. Se realizó un curetaje con cucharilla alveolar para desbridar la lesión quística periapical en 403. Por último, se suturó la encía con puntos simples de poliglecaprona 4/0 monofilamento (Figura10).

Una vez extraídos, se pudo apreciar completamente la alteración de forma del diente 403 (Figura11).

Segunda fase
Extracción del diente 404. Debido a su localización y relación con otras estructuras, se realizó un abordaje extraoral por el borde ventral de la mandíbula.Se rasuró el pelo, se aplicaron antisépticos tópicos en la piel y se realizó una incisión cutánea y subcutánea con bisturí de hoja número 15. Con un periostotomo tipo Molt (Figura12), se separó el tejido hasta exponer el hueso.
Se realizó una ostectomía con una fresa redonda de carburo de tungsteno acoplada a un contra-ángulo dental multiplicador accionado por motor quirúrgico a una velocidad de 200.000 rpm, usando irrigación con suero Ringer lactato para evitar el sobrecalentamiento del tejido (Figura13).

Se retiró hueso mandibular hasta visualizar el diente 404 y disponer de espacio suficiente para extraerlo. Se procedió a luxar el diente con luxadores planos y curvos de 3 y 5 mm y un periostotomo tipo Buser (Figuras14 y 15).


Una vez el diente estaba móvil, se extrajo con un fórceps mediano, pudiéndose apreciar su forma aberrante (Figura16).

Se realizó una osteoplastia de los bordes del hueso con una fresa redonda de diamante (Figura17) y posteriormente un curetaje de la cavidad con cucharilla alveolar. Se cerraron los tejidos subcutáneo y cutáneo con suturas continuas de poliglecaprona 4/0 monofilamento (Figura18).


Antes de la recuperación anestésica, se realizaron radiografías intraorales en las que se comprobó la extracción completa de los dientes (Figuras19 y 20). Una vez despierto, el paciente fue enviado a casa con indicaciones de reposo, dieta blanda y la administración oral de antiinflamatorios no esteroideos durante 5 días y analgésicos opiáceos durante 3 días, además de antisépticos tópicos en las zonas quirúrgicas durante 7 días.


La evolución posoperatoria fue sin incidencias, con correcta cicatrización y sin signos de dolor. Se indicó realizar un control radiográfico a los 6 meses, aunque no llegó a realizarse.
Discusión
El presente caso destaca la relevancia de la exploración completa de la cavidad oral complementada con diagnóstico por imagen avanzada para planificar procedimientos de cirugía oral en pacientes con alteraciones dentarias complejas. La inclusión del diente 404 requiere una planificación minuciosa para evitar daños a estructuras anatómicas como el nervio alveolar inferior2. En este caso, el uso del TC fue muy útil para valorar la posición y relación con otras estructuras, principalmente los dientes y el canal mandibular.
La exodoncia de dientes incluidos se justifica tanto por motivos terapéuticos como preventivos. Aunque algunos dientes incluidos pueden permanecer asintomáticos, su retención prolongada puede asociarse al desarrollo de quistes dentígeros, reabsorción radicular de dientes vecinos, infecciones periapicales crónicas y alteraciones funcionales, pudiendo derivar en pérdida ósea, maloclusión o dolor crónico. En este caso, la exodoncia se realizó para evitar complicaciones actuales y futuras.
El abordaje ventral del cuerpo mandibular resulta ventajoso en dientes ubicados profundamente o con orientación desfavorable para la extracción intraoral convencional4. Sin embargo, requiere una técnica meticulosa para preservar la integridad ósea y minimizar complicaciones como daños al nervio alveolar, fracturas mandibulares o infecciones posoperatorias2.
El equipamiento utilizado en este caso fue un motor dental quirúrgico con contra-ángulo multiplicador, capaz de desarrollar una velocidad de 200.000 rpm, con torque superior a las turbinas accionadas por aire y con irrigación estéril. En este tipo de cirugía, donde la esterilidad es esencial, este equipamiento resulta idóneo. Como alternativa pueden emplearse equipos piezoeléctricos, que permiten el corte óseo con mínimo daño a tejidos blandos, aunque su velocidad de trabajo es menor. En este caso, dada la cantidad de hueso compacto que debía retirarse, se optó por el sistema rotatorio, más rápido y eficaz.
Las alteraciones detectadas en los dientes 402 y 403 justifican su exodoncia. En el caso de 402, aunque no presentaba signos patológicos, se extrajo por su proximidad al 403, con alteración de forma y lesión quística periapical extensa. La exodoncia de 403 se justificó por la alteración de forma importante y la presencia de lesión quística. Habría sido recomendable realizar un estudio histopatológico de la cápsula quística para determinar la naturaleza de la lesión.
La técnica quirúrgica empleada para 402 y 403 fue de tipo cerrada, rápida de ejecutar y con bajo riesgo de dehiscencia. La causa probable de las alteraciones, al afectar a dientes de la misma región, podría ser adquirida durante el desarrollo dentario, como un traumatismo o infección local entre los 2 y 3 meses de edad.
El diente 406 presentaba fusión radicular, una alteración relativamente frecuente de posible origen genético, que en este caso no generaba patología, por lo que no se consideró necesaria su extracción.
El control posoperatorio riguroso, junto con la administración de terapia analgésica y antiinflamatoria adecuada, es fundamental para optimizar la recuperación y evitar complicaciones. La dieta blanda y la restricción de actividad física reducen el riesgo de dehiscencia y favorecen la regeneración ósea. No se consideró necesaria la aplicación de injertos óseos, dado que no existía riesgo de fractura y se esperaba la reparación natural del defecto. Un control radiográfico a los 6 meses habría permitido monitorizar la regeneración.
Conclusiones
La inclusión dentaria es una condición poco frecuente que requiere diagnóstico preciso y un plan quirúrgico individualizado. La combinación de estudios radiográficos y tomográficos facilita la localización exacta del diente y reduce complicaciones durante la exodoncia. El abordaje ventral del cuerpo mandibular constituye una alternativa viable para la extracción de dientes incluidos profundamente y de difícil acceso intraoral, con resultados satisfactorios. El uso de equipos quirúrgicos adecuados también facilita la realización de la cirugía. La exodoncia de dientes con alteraciones de forma puede ser necesaria y debe evaluarse cada caso individualmente.
Agradecimientos a la Clínica Veterinaria San Marcos ( Noia, A Coruña) y al Hospital Veterinario Anicura Imavet (Santiago de Compostela, A Coruña) por la colaboración en la resolución de este caso clínico.
Bibliografía
- Verstraete, F. J. M., & Lommer, M. J. (2012). Oral and Maxillofacial Surgery in Dogs and Cats. Saunders Elsevier.
- Lommer, M. J. (2015). Oral and Maxillofacial Surgery in Dogs and Cats. Elsevier.
- Verstraete, F. J. M., Kass, P. H., & Terpak, C. H. (1998). Diagnostic value of intraoral dental radiographs in dogs. American Journal of Veterinary Research, 59(6), 686–691.
- Soukup, J. W., & Snyder, C. J. (2014). Advanced Imaging of the Oral and Maxillofacial Regions. Veterinary Clinics of North America: Small Animal Practice, 44(3), 523–543.