Ultrasonografía en la evaluación de la glándula tiroides de perros y gatos sanos y con neoplasia tiroidea – revisión y actualización
Resumen breve
La ultrasonografía de la glándula tiroides en perros y gatos ha experimentado un notable avance en las últimas décadas, consolidándose como una herramienta clave en el diagnóstico estructural y funcional de patologías tiroideas y paratiroideas1,2. Esta técnica no invasiva permite una evaluación detallada de la morfología, tamaño, ecogenicidad y vascularización tiroidea3,4, y ha demostrado utilidad tanto en animales sanos como en pacientes con alteraciones hormonales o estructurales5,6.…Índice de contenidos
Resumen
La ultrasonografía de la glándula tiroides en perros y gatos ha experimentado un notable avance en las últimas décadas, consolidándose como una herramienta clave en el diagnóstico estructural y funcional de patologías tiroideas y paratiroideas1,2. Esta técnica no invasiva permite una evaluación detallada de la morfología, tamaño, ecogenicidad y vascularización tiroidea3,4, y ha demostrado utilidad tanto en animales sanos como en pacientes con alteraciones hormonales o estructurales5,6. En el perro, la ecografía permite identificar cambios compatibles con hipotiroidismo adquirido7,8, mientras que en el gato se utiliza ampliamente para detectar hipertrofia tiroidea asociada al hipertiroidismo9,10. Además, el estudio ecográfico permite evidenciar nódulos, neoplasias, calcificaciones distróficas y alteraciones en la cápsula glandular11,12, así como evaluar la invasividad local en casos de carcinoma13. La incorporación del Doppler color y espectral ha mejorado la caracterización vascular de las lesiones14, y en algunos casos se ha propuesto la relación entre el volumen tiroideo y estructuras adyacentes como método de evaluación indirecta15. Este artículo presenta una revisión actualizada sobre los hallazgos ecográficos normales y patológicos en ambas especies, con énfasis en la correlación clínica, los parámetros de referencia y la utilidad diagnóstica de la ecografía en endocrinología y oncología veterinaria.
Introducción
La glándula tiroides desempeña un rol esencial en la regulación del metabolismo a través de la producción de hormonas tiroideas, cuyas alteraciones pueden generar cuadros clínicos de significativa repercusión en perros y gatos2. Las enfermedades tiroideas presentan características clínicas y epidemiológicas particulares en ambas especies: el hipotiroidismo adquirido es la endocrinopatía más frecuente en perros adultos, mientras que el hipertiroidismo constituye la alteración tiroidea más común en gatos geriátricos16,17.
La ultrasonografía se ha consolidado como una herramienta fundamental para la evaluación estructural de la glándula tiroides y, en menor medida, de las glándulas paratiroides1,3. Su carácter no invasivo, accesibilidad y alta resolución espacial permiten una valoración precisa del tamaño, forma, ecogenicidad y vascularización glandular5,12. Esta técnica es particularmente útil para diferenciar masas cervicales, detectar nódulos funcionales o neoplásicos, y valorar la simetría y homogeneidad parenquimatosa, siendo complementaria a las pruebas bioquímicas y funcionales4.
En el perro, la ecografía tiroidea ha permitido caracterizar con mayor detalle las alteraciones propias del hipotiroidismo, como la disminución del volumen glandular, la hipoecogenicidad y la pérdida de definición capsular7,8. En gatos, su utilidad se ha centrado principalmente en la detección de glándulas agrandadas, asimétricas o nodulares asociadas al hipertiroidismo funcional9,10. Asimismo, la evaluación ecográfica es clave para el diagnóstico diferencial de neoplasias tiroideas, tanto benignas como malignas, especialmente los carcinomas invasivos, en los cuales puede observarse pérdida de la cápsula, vascularización anómala, mineralización distrófica y desplazamiento de estructuras adyacentes13.
Además de la evaluación tiroidea, la ecografía permite, en casos seleccionados, visualizar las glándulas paratiroides, sobre todo cuando se encuentran agrandadas en el contexto de hiperparatiroidismo primario o tumores funcionales14,15. El Doppler color y espectral contribuye significativamente a la valoración hemodinámica y puede orientar sobre el comportamiento biológico de las lesiones3.
Este artículo ofrece una revisión integral de la aplicación de la ultrasonografía en la evaluación tiroidea y paratiroidea de perros y gatos, incluyendo los hallazgos normales, las alteraciones más frecuentes, los avances técnicos recientes y las perspectivas clínicas futuras.
Objetivo general
Analizar y actualizar el rol de la ultrasonografía, incluyendo modalidades Doppler, en la evaluación estructural de la glándula tiroides en perros y gatos, destacando su valor como herramienta diagnóstica esencial dentro del algoritmo clínico-endocrinológico veterinario.
Objetivos específicos
- Describir la anatomía ecográfica normal de la glándula tiroides en ambas especies, incluyendo variantes morfológicas según edad, tamaño corporal y lateralidad.
- Identificar los principales hallazgos ultrasonográficos asociados a las enfermedades tiroideas más frecuentes: hipotiroidismo adquirido en perros e hipertiroidismo en gatos.
- Revisar la utilidad de la ecografía en la detección de nódulos, neoplasias tiroideas y lesiones invasivas, así como su correlación con otras herramientas diagnósticas.
- Evaluar el aporte del Doppler color y espectral en la caracterización vascular de la glándula y su posible valor pronóstico.
- Sistematizar los parámetros de referencia ecográficos disponibles y su aplicabilidad clínica en distintas etapas de la enfermedad tiroidea.
- Analizar las posibilidades y limitaciones de la ecografía en la evaluación de las glándulas paratiroides, especialmente en contextos de hipercalcemia.
- Resaltar la importancia de la ecografía como método complementario en la toma de decisiones clínicas, seguimiento terapéutico y pronóstico del paciente con enfermedad tiroidea.
Anatomía ecográfica de la glándula tiroides en perros y gatos
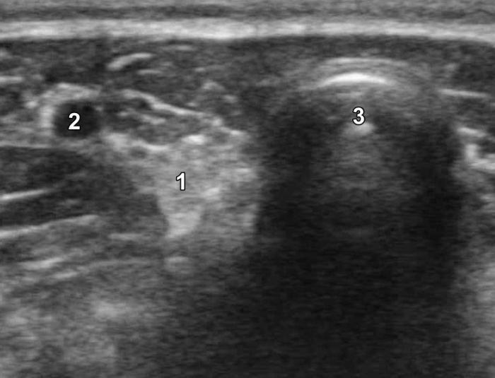
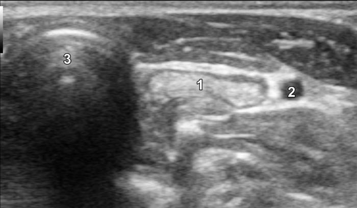
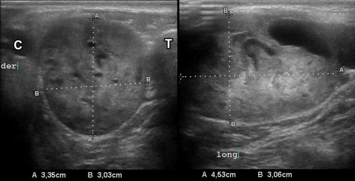
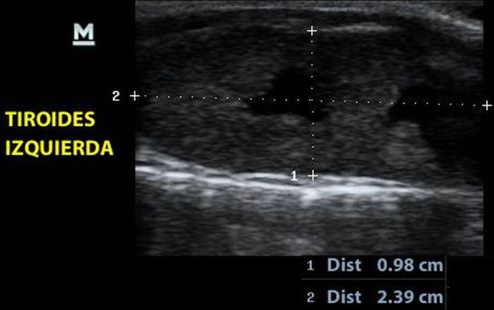
La glándula tiroides en perros y gatos está constituida por dos lóbulos situados a ambos lados de la tráquea cervical, con disposición longitudinal y una forma fusiforme o alargada que se extiende desde el cartílago cricoides hasta la entrada torácica superior2. En condiciones normales, cada lóbulo presenta contornos bien definidos, cápsula hiperecogénica delgada y parénquima homogéneo, con una ecogenicidad generalmente igual o ligeramente superior al músculo esternohioideo adyacente3,8. En la imagen transversal, los lóbulos suelen adoptar una configuración oval o ligeramente triangular (Figura 1); en longitudinal, se observa una forma alargada con extremos redondeados y orientación paralela a los vasos carotídeos y la tráquea1 (Figura 2).


En perros, el tamaño de la glándula tiroides muestra una correlación directa con el peso corporal. Algunos estudios han demostrado que las dimensiones tiroideas aumentan progresivamente en razas de mayor talla, manteniéndose proporciones constantes entre largo, ancho y alto de los lóbulos6. En gatos, la glándula tiroides suele ser más pequeña, delgada y elongada, con lóbulos habitualmente simétricos en animales sanos. La vascularización normal puede ser visualizada mediante Doppler color como un flujo periférico tenue y homogéneo, sin evidencia de hipervascularización focal ni penetración central4.
La localización anatómica superficial de la glándula, junto con su estructura relativamente uniforme, facilita su identificación mediante ultrasonografía de alta resolución. Entre los reparos anatómicos más importantes para su localización se encuentran las arterias carótidas comunes (laterales), la tráquea (medial) y los músculos esternotiroideos (ventrales), mientras que el esófago puede constituir una referencia dorsal del lóbulo izquierdo15 (Figuras 3 y 4).



La identificación ecográfica de la glándula tiroides en gatos puede presentar mayores desafíos debido a su menor tamaño y a la interferencia por gas traqueal o hiperecogenicidad muscular en animales delgados, por lo que se recomienda el uso de transductores lineales de alta frecuencia (mínimo 12 MHz) y una técnica meticulosa12.
Cambios ecográficos relacionados con la edad en la glándula tiroides
El envejecimiento fisiológico conlleva modificaciones estructurales y funcionales en múltiples órganos, y la glándula tiroides no es la excepción. Diversos estudios ecográficos en perros han demostrado que, con el aumento de la edad, pueden observarse cambios graduales en el tamaño, ecogenicidad y morfología tiroidea, incluso en ausencia de enfermedad endocrina activa5.
En términos generales, se ha documentado una tendencia a la disminución del volumen tiroideo en perros adultos mayores. Este fenómeno, atribuido a una posible atrofia glandular fisiológica, puede traducirse en lóbulos tiroideos más delgados, con bordes menos definidos y, en algunos casos, con ecogenicidad levemente disminuida8. No obstante, estos cambios no deben confundirse con los hallazgos típicos del hipotiroidismo adquirido, ya que no siempre se acompañan de alteraciones funcionales ni clínicas.
En estudios retrospectivos, se ha evidenciado que la ecogenicidad parenquimatosa puede volverse más heterogénea o hipoecogénica en perros geriátricos, lo cual se relaciona con procesos de fibrosis, infiltración adiposa o microcambios degenerativos asociados a la senescencia tisular. Estos patrones pueden ser sutiles y requieren un ecografista entrenado para diferenciarlos de signos patológicos reales1.
En gatos, aunque la información es menos abundante, se ha observado que la glándula tiroides mantiene una morfología relativamente constante con la edad, salvo en aquellos individuos con hipertiroidismo. Sin embargo, la edad avanzada es un factor de riesgo conocido para el desarrollo de nódulos tiroideos funcionales, por lo que se recomienda incluir la evaluación tiroidea dentro de los protocolos ecográficos geriátricos felinos9.
Por estas razones, es importante que el ecografista considere la edad del paciente como una variable fisiológica normal que puede influir en los hallazgos, sin que necesariamente implique enfermedad. La integración con datos hormonales y clínicos sigue siendo esencial para evitar sobrediagnósticos.
Técnica ecográfica y parámetros de referencia
La evaluación ecográfica de la glándula tiroides en pequeños animales requiere una técnica precisa, transductores adecuados, rasurado extenso de la región cervical ventral y posicionamiento óptimo del paciente. Para lograr imágenes de alta calidad, se recomienda el uso de transductores lineales de alta frecuencia, preferentemente de 10 a 15 MHz, lo que permite una adecuada resolución de estructuras superficiales como la glándula tiroides1,15. De todos modos, si el equipo de ultrasonido es de buena calidad per se, incluso con un transductor microconvexo se logra una evaluación diagnóstica de las ramas de la glándula tiroides.
El paciente debe colocarse en decúbito dorsal, con el cuello extendido y ligeramente elevado mediante un soporte blando. Esta posición favorece el desplazamiento de las estructuras cervicales profundas y mejora la visualización bilateral de los lóbulos tiroideos3. En gatos o perros poco colaboradores, el decúbito lateral con ligera extensión cervical también puede emplearse como alternativa válida. Incluso puede intentarse la maniobra con el paciente sentado o en estación. Lo importante es no iniciar una lucha con el paciente, y estresarlo lo menos posible.
En pocas ocasiones resulta inevitable sedar al paciente, pero es algo que debe considerarse.
El escaneo ecográfico se realiza en planos transversal y longitudinal, evaluando ubicación, dimensiones, simetría, contornos, cápsula, ecogenicidad, ecotextura, homogeneidad del parénquima, presencia de quistes, nódulos o calcificaciones, y relación con estructuras adyacentes. En condiciones normales, el parénquima tiroideo se presenta homogéneo, isoecogénico o ligeramente hiperecogénico respecto al músculo esternohioideo8, y de ecotextura granular fina.
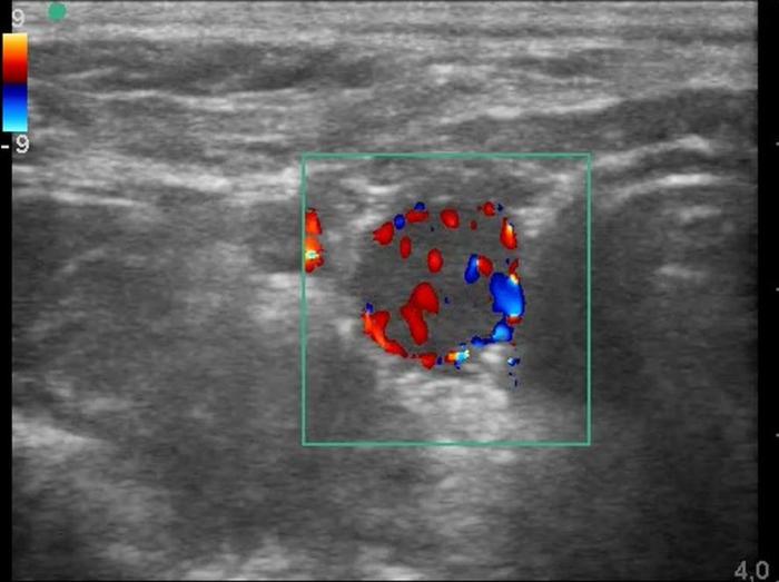
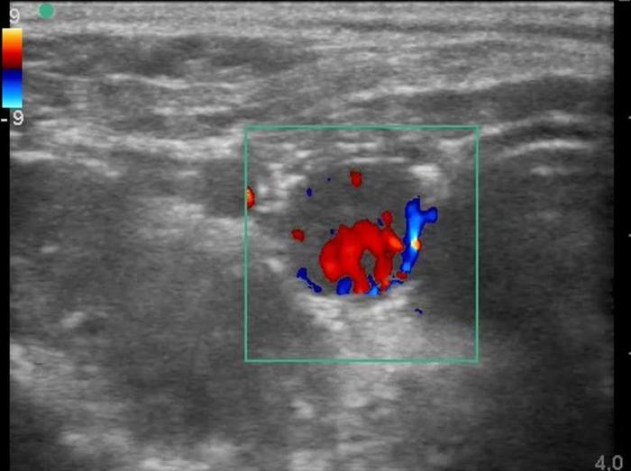
El Doppler color y espectral es especialmente útil para valorar la vascularización glandular. Un patrón de flujo periférico leve y simétrico es considerado normal. El aumento en la intensidad, desorganización o presencia de flujo central puede sugerir procesos funcionales como el hipertiroidismo o lesiones neoplásicas9.
Algunos autores proponen el cálculo del volumen glandular por fórmulas geométricas o índices relativos, como la relación área tiroidea/carótida, con valor diagnóstico potencial en casos de hipotiroidismo en perros12.
En cuanto a los parámetros ecográficos de referencia, estudios realizados en perros han determinado que los lóbulos tiroideos sanos presentan una longitud entre 13-23 mm, ancho de 3-8 mm y alto de 2-5 mm, con variaciones según raza y tamaño corporal6. En gatos, las dimensiones normales son más pequeñas y oscilan entre 10-17 mm de largo, y 2-4 mm de ancho y alto, dependiendo de la edad y el estado funcional10 (ver además la Tabla 1).
Tabla 1. Parámetros ecográficos normales de la glándula tiroides en perros y gatos.
| Parámetro | Perro | Gato |
|---|---|---|
| Forma general | Ovalada, alargada | Ovalada, más delgada |
| Ecogenicidad | Isoecoica a ligeramente hiperecoica respecto a los músculos adyacentes | Isoecoica respecto a los músculos adyacentes |
| Ecotextura | Homogénea, de grano fino | Homogénea, de grano fino |
| Longitud del lóbulo | 13-23 mm (varía según tamaño corporal) | 10-17 mm |
| Ancho del lóbulo tiroideo | 3–8 mm | 2–4 mm |
| Altura del lóbulo tiroideo | 2–5 mm | 2–4 mm |
| TG/CCA (índice de áreas) | 1.53 en promedio <1.12 muy probable hipotiroidismo | No reportado con datos consistentes |
| TD/CCA (índice de diámetros) | 1.74 ± 0.40 (rango 1.11-2.43) | No reportado con datos consistentes |
| Cápsula tiroidea | Hiperecoica, fina, bien delimitada | Hiperecoica, delgada |
| Vascularización al Doppler | Flujo periférico leve, simétrico | Leve, periférica; puede no visualizarse |
| Visualización paratiroides | Difícil, solo si mide más de 3-4 mm | Muy difícil; requiere patología asociada |
La evaluación bilateral es esencial, ya que la simetría es un hallazgo habitual en glándulas normales, mientras que las asimetrías o presencia de un solo lóbulo visible pueden asociarse a patologías estructurales o funcionales subyacentes.
Relación entre el área transversal de la glándula tiroides (TG) y de la arteria carótida común (CCA)
El índice TG/CCA es una herramienta ecográfica cuantitativa propuesta para la evaluación del tamaño tiroideo en perros, particularmente útil cuando se sospecha de hipoplasia glandular o hipotiroidismo12. Este índice se calcula mediante la medición del área transversal del lóbulo tiroideo (TG) y la comparación con el área de la arteria carótida común (CCA) adyacente, ambas obtenidas en un corte transversal a nivel medio cervical8.
Para su obtención, el animal se posiciona en decúbito dorsal con el cuello extendido. Se utiliza un transductor lineal de alta frecuencia (mínimo 10 MHz), y se realiza una imagen transversal donde se identifican claramente el lóbulo tiroideo y la arteria carótida. Se mide el área de cada estructura mediante trazo elíptico o libre, dependiendo de la morfología. La relación se expresa como TG/CCA, un valor adimensional que permite estandarizar la evaluación tiroidea en animales de distinto tamaño corporal7.
En perros clínicamente sanos, se ha reportado un valor promedio de TG/CCA de 1.53 en promedio12. Valores consistentemente bajos pueden sugerir atrofia glandular o hipoplasia, siendo útiles para apoyar el diagnóstico de hipotiroidismo en pacientes con hallazgos clínicos y laboratoriales compatibles. Según Sasaki et al. (2020), si se utiliza el valor de corte <1.12, el índice TG/CCA indica hipotiroidismo con una sensibilidad del 100 %, una especificidad del 83 % y una precisión del 90 %.
Este índice se ha mostrado reproducible, poco afectado por el tamaño corporal o la edad, y puede ser una herramienta de utilidad en estudios longitudinales o de seguimiento terapéutico. Si bien su uso no reemplaza las pruebas hormonales específicas, constituye un complemento objetivo y no invasivo dentro del algoritmo diagnóstico ecográfico de la glándula tiroides en perros4.
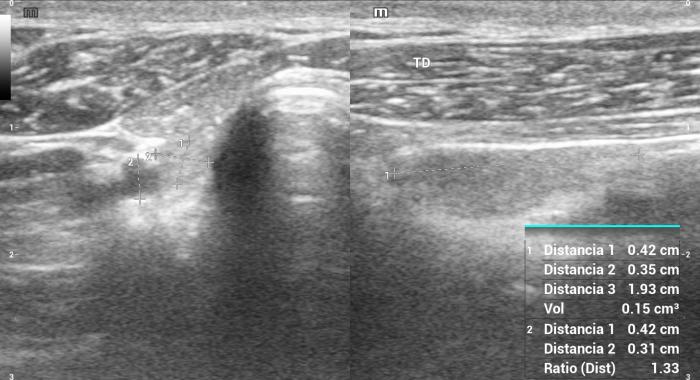
Relación entre el diámetro tiroideo (TD) y el diámetro de la arteria carótida común (CCA)
El uso de estructuras vasculares adyacentes como referencias anatómicas ha sido una estrategia útil en ecografía veterinaria para estandarizar las mediciones de órganos pequeños como la glándula tiroides. En este contexto, Bandula Kumara et al. (2019) propusieron la medición de la relación entre el diámetro tiroideo (TD) y el diámetro de la arteria carótida común (CCA) como una forma práctica de evaluar el tamaño de la glándula en perros clínicamente normales (Figura 5A-B).


Los autores realizaron un estudio en el que midieron el diámetro anteroposterior de los lóbulos tiroideos y el diámetro externo de la CCA en cortes transversales obtenidos a nivel del cuello medio. Encontraron que esta relación se mantiene relativamente constante entre razas y tamaños corporales, sugiriendo que puede ser utilizada como parámetro de referencia ecográfica. Específicamente, en perros adultos sanos, la relación TD/CCA fue de 1.74 ± 0.40 (rango 1.11–2.43)6. Si los valores se encuentran por debajo del rango normal pueden ser considerados potencialmente indicativos de hipoplasia tiroidea o atrofia glandular.
Una ventaja de esta relación es que la arteria carótida común es fácilmente identificable ecográficamente, presenta un diámetro estable y poco variable en condiciones fisiológicas, y se ubica en estrecha proximidad con la glándula tiroides. Esto la convierte en una excelente estructura de referencia para normalizar mediciones entre individuos de diferente tamaño corporal, permitiendo evaluaciones objetivas en poblaciones mixtas de perros de compañía.
Además, este índice podría tener aplicación clínica en el seguimiento de animales con enfermedad tiroidea subclínica o en tratamiento, ya que permite detectar cambios discretos en el volumen glandular con buena reproducibilidad interobservador. Aunque su utilidad clínica requiere aún validación en animales con patología confirmada, representa una herramienta complementaria valiosa dentro del enfoque ecográfico sistemático de la glándula tiroides en pequeños animales.
Ecografía tiroidea en perros: glándula normal, hipotiroidismo y neoplasias
En perros sanos, la ecografía tiroidea revela una glándula simétrica, con lóbulos bien delimitados, contornos regulares, cápsula hiperecogénica fina y parénquima homogéneo, de ecogenicidad igual o ligeramente mayor al músculo esternohioideo adyacente8. Las dimensiones de los lóbulos varían en función del tamaño corporal, con glándulas más desarrolladas en razas grandes y proporciones anatómicas conservadas en todos los tamaños6. La vascularización normal observada mediante Doppler color se limita a un flujo periférico leve y uniforme, sin señales de hiperemia o vascularización central4.
En perros con hipotiroidismo adquirido, los hallazgos ecográficos típicos incluyen una reducción del volumen glandular, pérdida de la ecogenicidad normal, hipo/hiperecogenicidad difusa, pérdida de la homogeneidad parenquimatosa y, en algunos casos, bordes mal definidos o cápsula engrosada7 (Figuras 6 y 7; Tabla 2). Estas alteraciones reflejan los cambios histopatológicos asociados a procesos inflamatorios crónicos, atrofia glandular o infiltración linfoplasmocítica. El Doppler puede mostrar disminución del flujo o vascularización periférica pobre, aunque este hallazgo no es constante.




Tabla 2. Comparación ecográfica entre lesiones tiroideas benignas y malignas.
| Característica | Lesión benigna (Adenoma) | Lesión maligna (Carcinoma) |
|---|---|---|
| Número de lóbulos afectados | Unilateral o bilateral | Generalmente unilateral |
| Morfología | Ovalada o ligeramente lobulada | Irregular, deformante |
| Ecogenicidad | Isoecoica o hipoecoica | Variable. Habitualmente marcadamente hipoecoica |
| Ecotextura | Homogénea | Heterogénea |
| Delimitación de bordes | Bien definidos | Mal definidos o infiltrativos |
| Vascularización (Doppler) | Moderada, periférica o radial | Intensa, central, caótica |
| Presencia de cápsula | Presente, bien delimitada | Ausente o interrumpida |
| Invasión de tejidos vecinos | Ausente | Frecuente |
| Tamaño | <2.5 cm | >2.5 cm |
| Crecimiento en el tiempo | Lento o nulo | Rápido, progresivo |
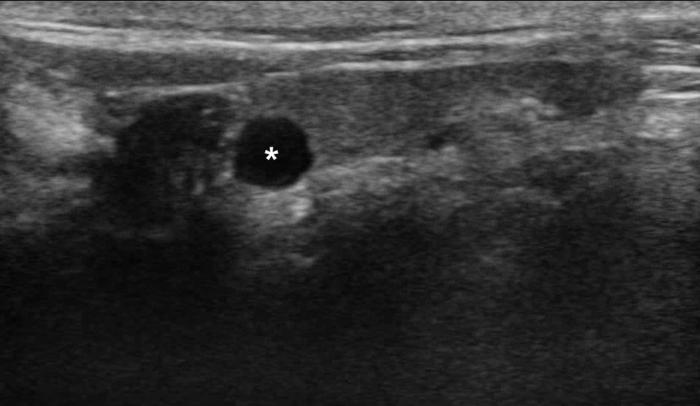
Respecto a las lesiones nodulares, la ecografía permite diferenciar nódulos sólidos, quísticos o mixtos (Figuras 8-10), y evaluar su tamaño, forma, ecogenicidad y comportamiento vascular. La presencia de nódulos hipoecogénicos, de contornos irregulares, con vascularización central intensa y crecimiento rápido, es sugestiva de neoplasia1.






Entre las neoplasias más frecuentes se encuentran los carcinomas tiroideos, los cuales suelen presentarse como masas lobuladas, de aspecto invasivo, con pérdida de la cápsula glandular, mineralización distrófica (ver Figura 8), desplazamiento o compresión de estructuras vecinas, y vascularización anómala al Doppler13 (Figura 11A-E).





La evaluación ecográfica permite, además, valorar la extensión local de la lesión, establecer sospechas de invasión a vasos o tejido peri tiroideo y guiar la toma de muestras por aspiración con aguja fina (FNA), especialmente en lesiones accesibles y sin compromiso de estructuras vasculares profundas11. No obstante, la ecografía tiene limitaciones en la diferenciación definitiva entre procesos inflamatorios y neoplásicos, por lo que siempre debe integrarse con estudios clínico-laboratoriales y citológicos18.
Ecografía tiroidea en gatos: glándula normal, hipertiroidismo y neoplasias
En gatos clínicamente sanos, los lóbulos tiroideos se presentan simétricos, de forma alargada y tamaño reducido, con parénquima homogéneo e isoecogénico respecto al tejido muscular cervical adyacente1. Debido a su pequeño tamaño y a la posible interferencia de gas traqueal, se requiere una técnica meticulosa con transductores lineales de alta frecuencia para su correcta identificación12.
El hipertiroidismo felino, endocrinopatía común en gatos geriátricos, se caracteriza por una hipertrofia glandular funcional, frecuentemente bilateral, aunque puede presentarse en forma asimétrica o unilobular17. Los hallazgos ecográficos incluyen aumento del tamaño tiroideo, contornos irregulares, parénquima hipo o mixto-ecogénico, y pérdida de la arquitectura homogénea (Figura 12A-B), con lesiones cavitarias internas (Fgura 13A-D). Es común observar nódulos de pequeño tamaño (<10 mm), bien delimitados y con vascularización periférica o central aumentada al Doppler color9.






Los estudios de seguimiento postratamiento han evidenciado una reducción significativa del volumen glandular tras terapias con metimazol o radioyodo, observándose una reaparición progresiva de la homogeneidad parenquimatosa en algunos casos10. Sin embargo, en gatos con recaídas clínicas o mala respuesta, la glándula puede mantener un patrón nodular persistente o desarrollar mineralización distrófica19.
Las neoplasias tiroideas son menos frecuentes en gatos que en perros y, cuando ocurren, suelen corresponder a adenomas funcionales. No obstante, se han documentado casos de carcinomas, los cuales pueden imitar ecográficamente al patrón nodular benigno, aunque con mayor tendencia a la invasión local, pérdida de la cápsula y vascularización desorganizada13 (Figura 14). Por ello, la ecografía debe ser interpretada junto con los hallazgos clínicos, bioquímicos y eventualmente citológicos.






Ecografía de las glándulas paratiroides en perros y gatos
Las glándulas paratiroides, encargadas de la regulación del metabolismo del calcio, pueden ser evaluadas mediante ecografía, aunque su identificación depende de la experiencia del ecografista, la calidad del equipo y la presencia o no de patología subyacente3. En condiciones normales, estas glándulas son pequeñas (menores de 3-4 mm), isoecogénicas o ligeramente hipoecogénicas respecto al tejido tiroideo (Figura 15A-B; ver Figura 2), y se ubican en las proximidades del polo craneal y caudal de cada lóbulo tiroideo1.


En perros y gatos sanos, las paratiroides pueden ser difíciles de visualizar debido a su tamaño y ecogenicidad similar al entorno. Sin embargo, en presencia de hiperparatiroidismo primario o adenomas funcionales, es posible detectar masas redondeadas, bien delimitadas, hipoecogénicas, no dolorosas a la palpación y con diámetro mayor a 4 mm14. El hallazgo de una masa paratiroidea en un paciente con hipercalcemia persistente es altamente sugestivo de enfermedad funcional11.
El uso del Doppler color y espectral ha sido propuesto como complemento diagnóstico, ya que estas lesiones pueden presentar un patrón vascular característico: flujo perilesional con refuerzo interno, aunque no siempre constante19. En casos de hiperplasia bilateral, como en el contexto de hiperparatiroidismo nutricional secundario, pueden observarse múltiples estructuras hipoecogénicas de aspecto similar a ambos lados del cuello, lo que dificulta su diferenciación de otras masas cervicales.
En felinos, la evaluación ecográfica de las paratiroides ha sido documentada en menor medida. No obstante, se han reportado casos en los que se identificaron adenomas paratiroideos funcionales como nódulos solitarios hipoecogénicos de localización paratiroidea, confirmados por estudios histopatológicos o por resolución clínica post-escisión quirúrgica20.
La ecografía permite no solo detectar lesiones paratiroideas, sino también guiar procedimientos como la aspiración con aguja fina o la inyección percutánea de etanol en casos seleccionados, aunque estas intervenciones aún no son de uso rutinario en medicina veterinaria15.
Discusión y perspectivas clínicas
La incorporación sistemática de la ecografía en la evaluación de la glándula tiroides ha transformado el abordaje clínico de las endocrinopatías en perros y gatos. Su capacidad para detectar alteraciones morfológicas, evaluar la simetría glandular, identificar nódulos y caracterizar su vascularización, permite una aproximación diagnóstica más precisa, especialmente cuando se integra con datos clínicos, laboratoriales y funcionales1.
En el perro, la ecografía ha demostrado utilidad tanto en la confirmación de sospechas de hipotiroidismo como en la identificación de neoplasias. Aunque el diagnóstico definitivo del hipotiroidismo sigue requiriendo la medición de T4 total, TSH canina y eventualmente pruebas de estimulación, la detección de glándulas atróficas, hipoecogénicas o asimétricas mediante ecografía contribuye al algoritmo diagnóstico y puede anticipar la confirmación endocrina7.
En gatos, la ecografía cumple un rol destacado en el diagnóstico del hipertiroidismo, especialmente cuando se acompaña de hipertrofia glandular evidente o nódulos hiperfuncionales. Su utilidad se extiende también al seguimiento posterapéutico, permitiendo valorar la regresión del volumen glandular, la desaparición de nódulos y el restablecimiento de un patrón ecográfico homogéneo9. No obstante, debe reconocerse que no todos los casos clínicamente hipertiroideos presentan alteraciones ecográficas, por lo que su ausencia no excluye el diagnóstico funcional.
El uso del Doppler color y espectral ha enriquecido la caracterización vascular de las glándulas tiroideas y paratiroideas. La presencia de flujo central aumentado, vascularización caótica o hipervascularización periférica son signos sugestivos de actividad funcional o de transformación maligna, aunque su interpretación exige experiencia y debe ser contextualizada clínicamente4.
Entre las principales limitaciones de la ecografía se destacan la dificultad para identificar lesiones de muy pequeño tamaño, la imposibilidad de diferenciar de forma definitiva entre lesiones inflamatorias, hiperplásicas y neoplásicas, y la baja sensibilidad en casos de enfermedad bilateral difusa, especialmente en gatos delgados o inquietos14.
En cuanto a las perspectivas futuras, se espera un mayor desarrollo de técnicas cuantitativas, como la elastografía y el uso sistemático de índices volumétricos (p. ej., relación área-tiroides/carótida) que aporten objetividad a la evaluación ecográfica12. La incorporación de la ecografía como herramienta de rutina en los chequeos geriátricos y endocrinos de pequeños animales permitirá no solo mejorar la detección precoz de enfermedades tiroideas, sino también optimizar el seguimiento terapéutico, ajustar dosis hormonales y evitar complicaciones asociadas a sobre o infratratamiento10.
Conclusiones
La ultrasonografía se ha consolidado como una herramienta diagnóstica indispensable en la evaluación estructural de la glándula tiroides en perros y gatos. Su carácter no invasivo, la posibilidad de obtener información morfológica en tiempo real y su aplicabilidad en diferentes contextos clínicos, la convierten en una técnica de primera línea dentro del abordaje de las enfermedades endocrinas tiroideas.
En el perro, la ecografía aporta información clave para la caracterización del hipotiroidismo y la diferenciación de procesos neoplásicos, mientras que en el gato permite identificar con precisión los cambios estructurales asociados al hipertiroidismo, facilitando además el seguimiento terapéutico y la detección de recurrencias. La evaluación ecográfica de la vascularización, mediante técnicas Doppler, agrega valor diagnóstico especialmente en el contexto de nódulos funcionales o lesiones sospechosas.
La detección ecográfica de las glándulas paratiroides, aunque técnica y anatómicamente más desafiante, cobra relevancia en el contexto de hiperparatiroidismo y trastornos del metabolismo del calcio. La identificación de lesiones paratiroideas funcionales puede modificar significativamente el enfoque terapéutico y el pronóstico.
A pesar de sus múltiples ventajas, la ecografía tiene limitaciones que deben reconocerse, como la dependencia del ecografista, la imposibilidad de realizar una diferenciación etiológica definitiva sin estudios complementarios, y la dificultad en animales de pequeño tamaño o con anatomía alterada.
En conclusión, la integración de la ultrasonografía en la práctica clínica veterinaria permite una evaluación más precisa, dinámica y orientada al diagnóstico temprano y al seguimiento de patologías tiroideas y paratiroideas, constituyéndose como un pilar fundamental en la medicina endocrina de pequeños animales.
Bibliografía
- Wisner ER. Ultrasonography of the thyroid and parathyroid glands. Vet Clin North Am Small Anim Pract. 1998;28(4):973–991.
- Vargas Araya MV. Glándula tiroides en caninos y felinos domésticos: revisión bibliográfica, su embriología, anatomía e histología. Universidad Nacional, Costa Rica; 2015.
- Liles J, Barthez PY, Panciera DL. Ultrasonography of histologically normal parathyroid glands and thyroid lobules in normocalcemic dogs. Vet Radiol Ultrasound. 2001;42(4):330–334.
- Brömel C, Pollard RE, Kass PH, Samii VF, Davidson AP. Ultrasonographic evaluation of the thyroid gland in healthy, hypothyroid, and euthyroid Golden Retrievers with nonthyroidal illness. J Vet Intern Med. 2005;19(4):499–506.
- Muller H, Henninger W. Do thyroid ultrasonographic features change according to age in euthyroid dogs? Vet Radiol Ultrasound. 2022;63(5):519–526.
- Bandula Kumara A, Yamate J, Itou T. Dimensional ultrasonographic relationship of the thyroid gland with associated anatomic landmarks in clinically normal dogs. Vet Sci. 2021;8(6):112.
- Taeymans O, Daminet S, Duchateau L, Saunders JH. Pre- and post-treatment ultrasonography in hypothyroid dogs. Vet Radiol Ultrasound. 2007;48(3):262–269.
- Brömel C, Pollard RE, Feldman EC. Comparison of ultrasonographic characteristics of the thyroid gland in healthy small, medium and large breed dogs. Vet Radiol Ultrasound. 2003;44(5):569–574.
- Barberet V, Hernandez J, Ragetly GR, Suchodolski JS, Steiner JM. Pre- and post-treatment ultrasonography of the thyroid gland in hyperthyroid cats. Vet Radiol Ultrasound. 2009;50(3):286–291.
- Volckaert V, Duchateau L, Smets P, Daminet S. Scintigraphic thyroid volume calculation in hyperthyroid cats: Comparison with computed tomography and ultrasonography. J Feline Med Surg. 2021;23(5):389–397.
- Pollard RE, Feldman EC, Nelson RW, Griffey SM. Prevalence of incidental thyroid nodules in ultrasound studies of dogs with hypercalcemia. Vet Radiol Ultrasound. 2001;42(6):572–575.
- Sasaki N, Yamashita K, Hirayama K, Izawa T, Kuwamura M, Yamate J. An area ratio of thyroid gland to common carotid artery for evaluating the thyroid gland size in dogs. J Vet Med Sci. 2013;75(9):1177–1181.
- Taeymans O, Penninck D, Peters R. Comparison between clinical, ultrasound, CT, MRI, and pathology findings in dogs presented for suspected thyroid carcinoma. Vet Radiol Ultrasound. 2013;54(1):61–70.
- Sueda K, Johnson EG, Egner BE. Ultrasound evaluation of the parathyroid glands in two hypercalcemic cats. J Am Anim Hosp Assoc. 2008;44(6):296–300.
- Wisner ER. Normal ultrasonographic anatomy of the canine neck. Vet Clin North Am Small Anim Pract. 1998;28(5):1025–1040.
- Daminet S, Ferguson DC. Thyroid disorders. In: Ettinger SJ, Feldman EC, eds. Textbook of Veterinary Internal Medicine. 7th ed. St Louis: Elsevier; 2010. p. 1526–1538.
- Peterson ME. Hyperthyroidism in cats: history and current understanding. J Feline Med Surg. 2013;15(9):765–776.
- Brömel C, Pollard RE. Sonographic evaluation of cervical masses in dogs and cats. In: Penninck D, d’Anjou MA, eds. Atlas of Small Animal Ultrasonography. 2nd ed. Ames, IA: Wiley-Blackwell; 2015. p. 325–337.
- Wisner ER, Nyland TG, Mattoon JS. High-resolution parathyroid sonography. In: Small Animal Diagnostic Ultrasound. 2nd ed. Philadelphia: Saunders; 2002. p. 332–335.
- Liles J, Barthez PY. Doppler ultrasonographic features of canine parathyroid tumors. Vet Radiol Ultrasound. 2003;44(5):582–587.