Infecciones extracraneales complicadas en dos gatos con signos neurológicos centrales
Resumen breve
Las lesiones talamocorticales en el paciente felino se caracterizan por alteraciones en el estado mental y/o en el comportamiento en diferentes grados, generalmente de leves a moderadas (alteraciones más severas son propias de lesiones en el tronco del encéfalo) y/o por crisis epileptiformes.Concretamente, se describen signos como: déficits en las alteraciones posturales y en la respuesta a la amenaza contralaterales al hemisferio afectado, marcha en círculos y otros signos vestibulares,…
Índice de contenidos
Introducción
Las lesiones talamocorticales en el paciente felino se caracterizan por alteraciones en el estado mental y/o en el comportamiento en diferentes grados, generalmente de leves a moderadas (alteraciones más severas son propias de lesiones en el tronco del encéfalo) y/o por crisis epileptiformes.
Concretamente, se describen signos como: déficits en las alteraciones posturales y en la respuesta a la amenaza contralaterales al hemisferio afectado, marcha en círculos y otros signos vestibulares, pleurotótonos ipsilaterales (giro pronunciado de cabeza y cuerpo) y de forma específica:
- En lesiones talámicas pueden aparecer cambios en el ciclo vigilia-sueño, alteraciones en la termorregulación, reacciones comportamentales (agresividad, cambios en los hábitos de eliminación o hábitos higiénicos) y alteraciones autonómicas y endocrinas1.
- En alteraciones de corteza cerebral pueden aparecer crisis epileptiformes, a causa de la hipersincronización neuronal en dicha corteza. Las crisis epileptiformes se caracterizan por actividad muscular anormal, alteraciones de comportamiento y consciencia y signos autonómicos2,3,4.
- En alteraciones del sistema vestibular central en porciones talámica y cortical pueden aparecer, además, nistagmos y ladeo de cabeza. En caso de afectación de cerebelo o tronco del encéfalo, podrían aparecer signos específicos de estas localizaciones5.
Las alteraciones en estas regiones anatómicas pueden tener diversas causas, incluidas en la Tabla 1.
Tabla 1. Lesiones cerebrales, causas y presentación clínica.
| Tipo | Presentación clínica / Aparición | Presentación clínica / Progresión | Presentación clínica / Localización | Presentación clínica / Edad |
|---|---|---|---|---|
| Alteraciones congénitas | Agudo | Progresivo/no progresivo | Focal | Jóvenes |
| Degenerativo | Agudo/crónico | Progresivo | Focal/difuso | Jóvenes/adultos |
| Inflamatorio | Agudo/crónico | Progresivo | Focal/difuso | Jóvenes/adultos |
| Metabólico | Crónico | Progresivo | Difuso | Jóvenes/adultos |
| Neoplásico | Agudo/crónico | Progresivo | Focal | Jóvenes/adultos |
| Nutricional | Agudo/crónico | Progresivo | Difuso | Jóvenes/adultos |
| Traumático | Agudo | No progresivo | Focal | Jóvenes/adultos |
| Tóxico | Agudo/crónico | Progresivo | Difuso | Jóvenes/adultos |
| Vascular | Agudo | No progresivo | Focal/difuso | Jóvenes/adultos |
La epilepsia afecta al 1-2 % de la población felina y de estos, se estima que en un 25 % se trata de epilepsia idiopática8.
La epilepsia se define como una condición neurológica caracterizada por la presencia recurrente de convulsiones. Las convulsiones constan de las siguientes fases: prodromo o fase preictal, aura, ictus o convulsión propiamente dicha, y fase postictal. Las convulsiones se pueden categorizar como parciales (movimientos paroxísticos de una parte del cuerpo, asociados o no a alteraciones en la consciencia y signos autonómicos) o generalizadas (movimientos de todo el cuerpo, habitualmente tónico clónicos, con alteraciones en la consciencia y signos autonómicos)9.
La epilepsia idiopática se diagnostica por exclusión de otras patologías9:
- Convulsiones reactivas por causas extracraneales describiéndose las siguientes en el gato:
- Metabólicas: encefalopatía hepática, encefalopatía urémica, hipoglucemia, hipertiroidismo, hipocalcemia, alteraciones electrolíticas, anemia severa, hiperlipidemia.
- Nutricionales: deficiencia de tiamina.
- Tóxicas: metronidazol, permetrinas, otros.
- Vasculares: hipertensión severa, policitemia, trombocitopenia, coagulopatías (causan hipoperfusión/hemorragia y, por tanto, lesiones intracraneales)
- Epilepsia estructural por causas intracraneales (también conocida como epilepsia secundaria o epilepsia sintomática), en el gato son:
- Neoplásicas: primarias o metastásicas.
- Inflamatorias: infecciones por los virus de la rabia o la leucemia o inmunodeficiencia felina, granulomas por el virus de la peritonitis infecciosa felina, infecciones parasitarias (toxoplasmosis, criptococosis, migración de otros parásitos), encefalitis no supurativa de origen desconocido, infecciones bacterianas, abscesos o granulomas bacterianos o fúngicos, otros.
- Vasculares: tromboembolismo cerebral, infarto, encefalopatía isquémica felina, hemorragia.
- Degenerativas: necrosis del hipocampo, enfermedades por almacenamiento (p. ej., enfermedad por depósito lisosomal).
- Congénitas: hidrocefalia, lisencefalia, porencefalia, otros.
- Traumáticas: lesiones traumáticas.
Por tanto, el protocolo diagnóstico debe incluir las siguientes evaluaciones9:
- Anamnesis: vacunación, dieta, exposición a tóxicos, comportamiento, características de las convulsiones, signos sistémicos.
- Exploración física completa, incluyendo exploración oftálmica, exploración neurológica completa y medición de la presión arterial.
- Exámenes laboratoriales: hemograma, bioquímica, urianálisis, pruebas de función hepática (ácidos biliares pre y postprandiales, test de tolerancia al amoniaco), tiroxina total o tiroxina libre, pruebas para agentes infecciosos (FeLV, FIV, serología para Toxoplasma gondii).
- Screening para tumores extracraneales: radiografía torácica y ecografía abdominal.
- Pruebas de imagen avanzadas: idealmente resonancia magnética.
- Análisis del líquido cefalorraquídeo, si la resonancia magnética evidencia alteraciones compatibles con enfermedad inflamatoria o linfoma.
El tratamiento para la epilepsia depende de la causa primaria si es que existe. Con respecto a la epilepsia idiopática, se recomienda comenzar la terapia farmacológica cuando10:
- El gato convulsione más de una vez en 12-16 semanas o más.
- Aparezcan convulsiones en clúster (es decir, más de una convulsión en 24 horas9) o el gato entre en estatus epiléptico (convulsiones generalizadas que duren 5 minutos o más, convulsiones focales que duren 30 minutos o más, o convulsiones repetidas sin recuperar la normalidad en el periodo entre convulsiones9).
- Las convulsiones aparezcan tras un traumatismo craneal.
- Se sospeche o se haya confirmado epilepsia estructural.
El fármaco de primera elección es el fenobarbital a dosis de 2.5-5 mg/kg/12 h, aunque en gatos pueden aparecer efectos sedantes asociados, por lo que se puede iniciar con una dosis de 1-2 mg/kg/12 h10. En gatos, el metabolismo es más lento por lo que, en algunos animales, se alcanza el objetivo terapéutico con la administración de la dosis correspondiente cada 24 h. Además, presenta menor hepatotoxicidad que en los perros11.
Hay pocos casos reportados sobre abscesos o empiemas encefálicos en gatos. Los abscesos se definen como acumulaciones localizadas de material purulento, pueden localizarse entre el parénquima cerebral y las meninges o en el espacio epidural12. Los empiemas consisten en material purulento que proviene de otra cavidad anatómica13. Provienen frecuentemente de focos extracraneales de infecciones, o bien a distancia (endocarditis, abscesos pulmonares) o bien por proximidad (senos nasales, conductos auditivos o raíces de piezas dentarias maxilares), o por penetración de bacterias a través de cuerpos extraños; asimismo, un sistema inmunitario no competente puede favorecer su aparición12. Las bacterias implicadas son más frecuentemente aerobias (p. ej., Streptococcus spp.,Staphylococcus spp. o Pasteurella spp.) que anaerobias y su mortalidad puede ser elevada (hasta 27 %)14.
Como consecuencia del absceso o empiema, se describen efectos secundarios en el parénquima cerebral adyacente (edema de la sustancia blanca, aumento de la presión intracraneal y hernia cerebral cingular, subtentorial y a través del foramen magno), alteraciones óseas y musculares12.
Su tratamiento consiste en terapia médica y/o cirugía. La terapia médica se basa en antibioterapia, en función del cultivo y el antibiograma in vitro y la capacidad de penetración del antibiótico a través de la barrera hematoencefálica (BHE), y tratamiento de soporte (manitol, glucocorticoides y/o furosemida para el manejo del edema cerebral, fluidoterapia, fenobarbital). Se ha observado similar eficacia en el tratamiento médico y quirúrgico13,14.
Asimismo, se describe el drenaje del absceso como parte del tratamiento de urgencia15. En todo caso, es fundamental un diagnóstico y abordaje temprano con el fin de reducir los efectos secundarios que pueden desencadenarse14.
Caso nº 1: infección otogénica
Reseña y motivo de consulta
Gata de 15 años, de raza Común europea, esterilizada, convive con tres gatos indoor, todos ellos con estatus FeLV/FIV negativo, vacunación y desparasitación externa al día. Acude a consulta por tres episodios de convulsiones tónico-clónicas autolimitantes, breves (aproximadamente 30 segundos) los días 0, 5 y 7. Los tutores niegan acceso a tóxicos.
Exploración física
Signos de rinitis leve crónica intermitente con auscultación cardiopulmonar normal, leve sarcopenia, leve presencia de sarro con gingivitis asociada. Se realiza medición de presión arterial obteniéndose valores de normotensión.
Pruebas diagnósticas
Se describen las pruebas y anomalías encontradas (día 0):
- Analítica sanguínea:
- Hemograma: neutrofilia leve (10.91 K/μl, ref: 2.30 - 10.29).
- Bioquímica básica: hiperglobulinemia leve (5.5 g/dl, ref: 2.8 - 5.1).
- Tiroxina total: en rango (2.0 μg/dl, ref: 0.8 - 4.7).
- Electrolitos: hipokalemia (2.9 mmol/l, ref: 3.5 - 5.8).
- Ecografía abdominal: se observa como único hallazgo patológico los riñones levemente disminuidos de tamaño, con leve pérdida de diferenciación corticomedular (deterioro propio de la edad).
- Radiografía laterolateral derecha y ventrodorsal de tórax: patrón bronquial leve.
- Electrocardiograma: levoeje leve (-19º), posible bloqueo de rama asociado.
- Resonancia magnética craneal: (día 5) ocupación completa de la cavidad timpánica izquierda (Figura 1A-F) con invasión intracraneal (Figura 1A-C) con edema vasogénico y efecto masa con desplazamiento dorso-medial del lóbulo piriforme, desplazamiento contralateral de la línea media y región talámica izquierda (Figura 1A,D), colapso marcado del ventrículo lateral izquierdo (Figura 1F), y signos de herniación transtentorial e incipiente transforaminal. Se sospecha de infección intracraneal otogénica con formación de absceso en región temporal por extensión de otitis media-interna. Cabe señalar que no se visualizó contenido en las bullas timpánicas.






Diagnóstico
Absceso temporal otogénico.
Tratamiento
Se propone abordaje con terapia médica y quirúrgica simultánea.
Inicialmente, se pauta un suplemento dietético rico en potasio (Kaminox® Vetplus) y diazepam intrarrectal (2.5 mg de rescate).
Rinoscopia anterógrada y retrógrada (día 6), con acceso a través de los ollares (acceso retrógrado) y a través de cavidad oral y nasofaringe (acceso anterógrado) con obtención de moco profundo para su cultivo bacteriano, sin observarse anomalías morfológicas (Figura 2), y otoscopia con miringotomía para el drenaje de contenido purulento y toma de muestra para cultivo bacteriano. Las muestras se envían al laboratorio de referencia.

En el periodo posquirúrgico se pautó prednisolona a dosis de 0.25 mg/kg/24 h durante 3 días. Hasta el crecimiento del cultivo y la obtención del antibiograma, se pautó trimetoprima-sulfametoxazol a dosis de 15 mg/kg/12 h y doxiciclina a dosis de 10 mg/kg/24 h. Se propone tratamiento con fenobarbital (2 mg/kg/24 h) pero en el periodo en que los tutores adquirieron el fármaco, la gata no volvió a convulsionar por lo que no llegó a administrarse.
Cultivo: en ambas muestras existe crecimiento moderado de Pasteurella multocida con antibiograma sensible a todos los antibióticos testados (Tabla 1). Por ello, se alarga la pauta con ambos antibióticos hasta alcanzar 15 días en el caso de la doxiciclina y 45 días en el caso del trimetoprim-sulfametoxazol. Una vez finalizada la pauta antibiótica, se da el alta (Figura 3).

Seguimiento
Durante los 6 meses posteriores, la gata no ha presentado signos nasales ni neurológicos.
Caso nº 2: infección de origen maxilar
Reseña y motivo de consulta
Gato de 14 años, de raza Común europeo, esterilizado, no convive con más gatos, estatus FeLV/FIV negativo, vacunación y desparasitación al día. Acude a consulta por secreción mucopurulenta verdosa en orificio nasal derecho, con prurito en pabellón auricular derecho asociado. Está diagnosticado de diabetes mellitus desde hace 7 años (en tratamiento con insulina protamina zinc Prozinc®Boehringer-Ingelheim 5 UI/12 h) y osteoartrosis (en tratamiento puntual con meloxicam 0.05 mg/kg vía oral los días que se observa dolor).
Exploración física
Enfermedad periodontal muy severa con gingivitis severa en maxilar derecho y posible fístula oronasal, sin alteraciones en oído derecho. Se pauta inicialmente terapia antibiótica con doxiciclina (19 mg/kg/24 h durante 10 días).
Pruebas diagnósticas
Bajo el efecto de la doxiciclina, se realiza bajo sedación las siguientes pruebas diagnósticas iniciales (día 5):
- Analítica sanguínea (Tabla 2):
- Hemograma: leucocitosis moderada con neutrofilia, monocitosis y eosinofilia, confirmado por frotis. No se presentan alteraciones en la serie eritrocitaria ni plaquetaria.
- Bioquímica: sin alteraciones.
Tabla 2. Analítica sanguínea.
| Día | Leucograma | Fructosamina | Tratamiento | Eventos |
|---|---|---|---|---|
| 5 | Totales: 18.28 K/μl (ref: 2.87- 17.02) Neutrófilos: 12.93 K/μl (ref: 2.30-10.29) Monocitos: 1.22 K/μl (ref: 0.05-0.67) Eosinófilos: 1.83 K/μl (ref: 0.17-1.57) | Doxiciclina 10 mg/kg/24 h Insulina 5 UI/12 h | Reparación fístula | |
| 12 | Totales: 17.31 K/μl Neutrófilos: 13.42 K/μl Monocitos: 0.98 K/μl Eosinófilos: normalizados | 183 μmol/l (ref: 191-349) | Amoxicilina/ácido clavulánico 15 mg/kg/12 h Insulina 4 UI/12 h Frunevetmab | |
| 25 | Totales: 19.22 K/μl Neutrófilos: 14.34 K/μl Monocitos: 1.35 K/μl | 159 μmol/l | Amoxicilina/ácido clavulánico 15 mg/kg/12 h | Rinoscopia |
| 35 | Totales: 20.60 K/μl Neutrófilos: 16.76 K/μl Monocitos: 1.34 K/μl | 151 μmol/l | Amoxicilina/ácido clavulánico 15 mg/kg/12 h Trimetoprima/sulfametoxazol 15 mg/kg/12 h Maropitant 2 mg/kg/24 h Insulina 2 UI/12 h | Inicio cuadro neurológico TC |
| 42 | Totales: 13.53 K/μl Neutrófilos: 8.82 K/μl Monocitos: 0.79 K/μl Eosinófilos: 1.79 K/μl | 132 μmol/l | Trimetoprima/sulfametoxazol 15 mg/kg/12 h Insulina 1 UI/12 h Frunevetmab | |
| 55 | Totales: 25.83 K/μl Neutrófilos: 18.72 K/μl Monocitos: 1.36 K/μl Eosinófilos: 1.71 K/μl | 205 μmol/l | Cefalexina 22 mg/kg/8 h Insulina 1 UI/12 h Buprenorfina 0.015 mg/kg/12 h | Absceso subcutáneo |
| 60 | - | - | Cefalexina 22 mg/kg/8 h Metronidazol 15 mg/kg/12 h Insulina 1 UI/12 h Buprenorfina 0.015 mg/kg/12 h | Sin visita clínica |
| 67 | Totales: 24.98 K/μl Neutrófilos: 19.01 K/μl Monocitos: 1.42 K/μl Eosinófilos: 1.63 K/μl | 137 | Cefalexina 22 mg/kg/8 h Metronidazol 15 mg/kg/12 h Suspensión insulina |
- Radiografía laterolateral derecha y ventrodorsal de tórax y electrocardiograma: sin alteraciones.
Estudio radiológico de cabeza (laterolateral derecha, ventrodorsal) y senos frontales (cráneo-caudal en flexión cervical): imagen compatible con fístula oronasal en área de pieza 204. En este momento no se aprecian alteraciones en los senos (Figura 4).

Diagnóstico inicial
Fístula oronasal asociada a absceso periapical en pieza 204.
Tratamiento inicial
Se realiza tratamiento periodontal, exodoncia de pieza 204 y reparación de fístula oronasal. Se alarga la pauta antibiótica 10 días más.
Pruebas diagnósticas adicionales
Revisión clínica y control analítico (día 12): a los 7 días, el animal se encuentra decaído y la secreción nasal persiste. Se realizaron controles analíticos para monitorizar leucograma (sin mejoría) y control de diabetes mellitus (compatible con remisión) con la consiguiente reducción de dosis a 4 UI/12 h (ver Tabla 2). En todos los casos, la glucemia se encontró entre 120 y 250 mg/dl.
Rinoscopia anterógrada y retrógrada (día 25): se realiza ante la persistencia de secreción nasal bilateral tras antibioterapia, observándose eritema y secreción mucopurulenta y la presencia de un pólipo nasal en la cavidad nasal izquierda (Figura 5A-B), cuyo estudio histopatológico revela una lesión de tipo inflamatorio linfoplasmocitario. La fístula oronasal se ha resuelto completamente. Se observan lesiones líticas en cornetes nasales y endoturbinados.


Al realizar esta técnica, debido a las lesiones y a la dificultad intrínseca del acceso por las características anatómicas, se produce sangrado, siendo necesarios lavados repetidos. Se obtuvo muestra para estudio microbiológico, que en este momento fue recusado por el tutor.
Previo al procedimiento, se realiza hemograma (sin cambios significativos) y fructosamina (valor más bajo que el anterior) reduciendo la dosis a 3 UI/12 h (ver Tabla 2).
Revisión clínica y control analítico (día 35): a pesar del tratamiento instaurado, el paciente acude de urgencia debido a que el cuadro progresa con signos neurológicos centrales: marcha en círculos, pressing, anisocoria (pupila izquierda miótica y derecha midriática), respuesta a la amenaza y reflejos pupilares directos e indirectos negativos bilateralmente. El paciente no presenta hipertensión ni alteraciones en el fondo de ojo. Se repite hemograma, con empeoramiento del leucograma y fructosamina, con valor nuevamente más bajo, modificándose la pauta de insulina a 2 UI/12 h (Tabla 2) y se añaden ecografía abdominal (sin alteraciones relevantes) y bioquímica completa con parámetros hepáticos (transaminasas, bilirrubina y ácidos biliares pre-prandiales), lipasa específica felina y tiroxina total en rango fisiológico. Ante la sospecha de infección intracraneal, se añade a la pauta de antibioterapia trimetoprima-sulfametoxazol a dosis de 15 mg/kg/12 h y se realiza tomografía computarizada (TC) de cráneo.
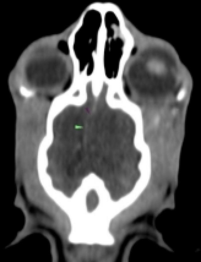
TC: efecto masa compatible con absceso, ocupando senos frontales, con osteomielitis del hueso frontal derecho, miositis y absceso en musculatura temporal derecha en contacto con hueso frontal, afectación intracraneal en área epidural del lóbulo temporal derecho con desviación de línea media de hemisferios (sin afectación de parénquima). Se observa además moderada pérdida de cornetes nasales en cavidad nasal derecha, sin secreciones asociadas y linfadenopatía regional derecha de tipo reactivo (Figura 6A-F). Se drena el contenido del absceso más superficial y se envía al laboratorio externo para su estudio microbiológico (cultivo y antibiograma).






Cultivo: revela crecimiento escaso de Pasteurella multocida sensible a todos los antibióticos testados y moderado de Prevotella heparinolytica, bacteria gram-negativa anaeróbica comensal que se puede encontrar en tracto digestivo y urinario; se han descrito implicaciones en infecciones respiratorias (no se realiza antibiograma puesto que no hay protocolos estandarizados para bacterias anaeróbicas, se recomienda tratamiento empírico) (Figura 7).

Diagnóstico definitivo
Absceso epidural en lóbulo temporal derecho, con posible origen en senos frontales, miositis y osteomielitis.
Tratamiento definitivo
Se mantiene la pauta de trimetoprima-sulfametoxazol durante 20 días y se añade maropitant a dosis de 2 mg/kg/24 h hasta mejoría clínica, que ocurre el sexto día de tratamiento antibiótico. Se mantiene pauta de insulina (2 UI/12 h).
Seguimiento posterior
Se revisa a los 7 días (día 42) por empeoramiento clínico (decaimiento e hiporexia, sin signos neurológicos y con mejoría de miositis). Se revisa hemograma, que presenta mejoría significativa, y fructosamina, con valor bajo (Tabla 2): se reduce dosis de insulina (1 UI/12 h) y se mantiene la pauta de antibioterapia 10 días más. El cuadro clínico remite.
Tres días después de finalizar la pauta antibiótica (día 55), el paciente se presenta con un absceso subcutáneo en la zona anatómica del hueso frontal derecho, se realiza radiografía de cabeza observándose fistulización del seno frontal. El hemograma revela empeoramiento del leucograma y fructosamina algo más elevada que las mediciones previas (Tabla 2) pero aún compatible con remisión, manteniéndose la pauta de insulina. Se drena el contenido del absceso, que es purulento-sanguinolento, poco denso. Se instaura antibioterapia con cefalexina (22 mg/kg/8 h) y analgesia con buprenorfina (0.015 mg/kg/12 h). El paciente presenta clara mejoría clínica pero el absceso sigue drenando, por lo que tras 5 días se añade metronidazol con el fin de ampliar el espectro contra anaerobios.
Se revisa a los 7 días (día 67) por decaimiento: el absceso continúa drenando, el hemograma y la bioquímica no presentan cambios significativos con respecto a la anterior y la fructosamina sigue indicando remisión (Tabla 2). Se coloca sensor de monitorización continua de glucemia (Freestyle libre®) y se retira la insulina, manteniéndose la doble antibioterapia, pero el cuadro progresa con signos neurológicos nuevamente (anisocoria, pressing), decaimiento severo y anorexia. Se plantea la administración intralesional de piperacilina y tazobactam vehiculados en ácido hialurónico (antibiótico utilizado en odontología y estomatología humanas), pero debido al riesgo existente de perforación de la lámina cribosa con las complicaciones derivadas de ello (desde meningoencefalitis hasta la muerte del animal), el tutor opta por la eutanasia humanitaria del animal.
Conclusiones
En el primer caso, la actuación temprana fue posible dado que la paciente presentaba signos neurológicos centrales en el momento de la primera visita. A pesar de que las consecuencias anatómicas encefálicas de esta paciente eran más severas, el acceso al foco de infección que se asume como primario es sencillo y se pudo extraer y drenar el contenido. La antibioterapia fue eficaz y el cuadro se resolvió.
En el segundo caso, la diabetes pudo favorecer el desarrollo de la infección permitiendo su progresión desde la maxila hacia la cavidad craneana. No se puede ponderar el papel patógeno de cada bacteria, en todo caso, el tratamiento empírico para anaerobios pareció no ser suficientemente eficaz, a pesar de que se avanzó de forma rápida en el protocolo diagnóstico una vez aparecieron los signos neurológicos. A su vez, las infecciones pueden suponer un factor de resistencia a la insulina: en este caso, controlar la infección (aunque de forma insuficiente) pudo contribuir en la remisión de la diabetes mellitus.
Discusión
Los mecanismos por los cuales la diabetes mellitus puede favorecer la aparición y desarrollo de infecciones son diversos. Debido a que estos gatos son pacientes de riesgo, está indicado tomar muestras para cultivo ante la aparición de los primeros síntomas. El tutor inicialmente no atribuyó suficiente consideración al estudio microbiológico al asociarlo a una infección de la cavidad oral, lo que pone de manifiesto la importancia clave de los cultivos y antibiogramas tan pronto como existan signos de infección, especialmente en aquellos que padecen diabetes mellitus, entre otros.
Debido a las crecientes resistencias antimicrobianas, actualmente el acceso a antibióticos como la piperacilina-tazobactam (de categoría A según el Plan Nacional de Resistencia a Antibióticos) puede ser dificultoso, siendo en ocasiones la única alternativa terapéutica para determinados pacientes.
En ambos casos, la elección del antibiótico se debe basar no sólo en el antibiograma, sino en la capacidad de atravesar la BHE y alcanzar el sistema nervioso central (Tabla 3) y en su eficacia in vivo contra el patógeno.
Tabla 3. Antibióticos sistémicos de uso veterinario de aplicación en los casos descritos.
| Penetración en BHE | Gram negativos | Anaerobios |
|---|---|---|
| Quinolonas (marbofloxacino) | + | - |
| Imidazoles (metronidazol) | + | + |
| Anfenicoles (cloranfenicol) | + | + |
| Tetraciclinas (doxiciclina) | +- | +- |
| Sulfamidas (trimetoprima-sulfametoxazol) | +- | - |
Es importante destacar que la epilepsia en gatos es mayoritariamente secundaria a otras causas, por lo que asumir que es idiopática conlleva un elevado riesgo de un diagnóstico incorrecto, falta de tratamiento específico y progresión del cuadro. En cuadros neurológicos centrales, se deben realizar pruebas de imagen avanzadas dentro del protocolo diagnóstico dado que el tratamiento médico (o quirúrgico, si procede) puede ser exitoso. La resonancia magnética presenta mayor especificidad y sensibilidad para el diagnóstico de alteraciones en parénquima cerebral, pero su disponibilidad y coste es menor, por lo que, ante sospechas de determinadas lesiones, la TC puede ser diagnóstica.
Bibliografía
- Lahunta A, Glass E. Diencephalon. En: Lahunta A, Glass E. Veterinary Neuroanatomy and Clinical Neurology (3rd edition). WB Saunders, St. Louis, MO; 2009:476-486.
- Lahunta A, Glass E. Seizure Disorders: Narcolepsy. En: Lahunta A, Glass E. Veterinary Neuroanatomy and Clinical Neurology (3rd edition). WB Saunders, St. Louis, MO; 2009:454-475.
- Pakozdy A, Halasz P, Klang A. Epilepsy in Cats: Theory and Practice. Journal of Veterinary Internal Medicine. 2016;28(2):255-263.
- Hazenfratz M, Taylor SM. Recurrent seizures in cats: Diagnostic approach – when is it idiopathic epilepsy? Journal of Feline Medicine and Surgery. 2018;20(9):811-823.
- Lahunta A, Glass E. Vestibular System: Special Proprioception. En: Lahunta A, Glass E. Veterinary Neuroanatomy and Clinical Neurology (3rd edition). WB Saunders, St. Louis, MO; 2009:319-347.
- Lorenz MD, Coates JR, Kent M. Neurologic History, Neuroanatomy, and Neurologic Examination. En: Lorenz MD, Coates JR, Kent M. Handbook of Veterinary Neurology (5th Edition). WB Saunders, St. Louis, MO; 2011:2-36.
- Dessal F. Manifestaciones neurológicas de enfermedades sistémicas en el gato. Argos Informativo Veterinario. 2010:124(42-46).
- Schriefl S, Steinberg TA, Matiasek K, et al. Etiologic classification of seizures, signalment, clinical signs, and outcome in cats with seizure disorders: 91 cases (2000-2004). Journal of the American Veterinary Medical Association. 2008;15(10):1591-1597.
- Hazenfratz M, Taylor SM. Recurrent seizures in cats: Diagnostic approach – when is it idiopathic epilepsy? Journal of Feline Medicine and Surgery. 2018;20(9):811-823.
- Hazenfratz M, Taylor SM. Recurrent seizures in cats: Treatment – which antiepileptic drugs are recommended? Journal of Feline Medicine and Surgery. 2018;20(9):825-834.
- Dessal F. Epilepsia idiopática en gatos. Boletín oficial GEMFE. 2011;12(5):10-11.
- Costanzo C, Garosi LS, Glass EN, et al. Brain Abscess in Seven Cats Due to a Bite Wound: MRI Findings, Surgical Management and Outcome. Journal of Feline Medicine and Surgery. 2011;13(9):672-680.
- Martin S, Drees R, Szladovits B, Beltran E. Comparison of medical and/or surgical management of 23 cats with intracranial empyema or abscessation. Journal of Feline Medicine and Surgery. 2018;21(6):566-574.
- Thompson D, Philips R, Jerram R. Surgical Management of a Brain Abscess in a Cat. Veterinary Record Case Reports. 2025;13(2):e70038.
- Bersan E, Maddox T, Walmsley G, Piviani M, Burrow R. CT-guided drainage of a brainstem abscess in a cat as an emergency treatment procedure. Journal of Feline Medicine and Surgery Open Reports. 2020;6(1).