Osteomielitis micótica diseminada por Schizophyllum commune en un canino: a propósito de un casoOsteomielitis micótica diseminada por Schizophyllum commune en un canino: a propósito de un caso
Resumen breve
Schizophyllum commune es un hongo basidiomiceto ambiental reconocido como patógeno oportunista emergente en humanos y, en menor medida, en animales. En perros, se ha asociado ocasionalmente a lesiones cutáneas, osteomielitis y enfermedad neurológica. Este trabajo describe el primer caso confirmado en América Latina de osteomielitis diseminada por S. commune en un canino. Se trató de una hembra mestiza de 10 años con síndrome febril, claudicación migratoria y lesiones osteolíticas múltiples.…Índice de contenidos
Resumen
Schizophyllum commune es un hongo basidiomiceto ambiental reconocido como patógeno oportunista emergente en humanos y, en menor medida, en animales. En perros, se ha asociado ocasionalmente a lesiones cutáneas, osteomielitis y enfermedad neurológica. Este trabajo describe el primer caso confirmado en América Latina de osteomielitis diseminada por S. commune en un canino. Se trató de una hembra mestiza de 10 años con síndrome febril, claudicación migratoria y lesiones osteolíticas múltiples. Tras descartar diferentes patologías sistémicas, se realizó una biopsia ósea que evidenció osteólisis, inflamación granulomatosa y presencia de hifas PAS-positivas. El cultivo micológico, la identificación por espectrometría de masas (MALDI-TOF MS) y secuenciación confirmaron S. commune. A pesar del tratamiento con itraconazol, la paciente no respondió y se practicó la eutanasia. El caso destaca la necesidad de considerar micosis emergentes en osteomielitis atípicas y resalta la importancia diagnóstica de la biopsia ósea en estas circunstancias así como del cultivo bacteriano y micológico para instaurar terapias adecuadas.
Introducción
Schizophyllum commune es un hongo basidiomiceto de amplia distribución mundial. Pertenece al Phylum Basidiomycota, Subphylum Agaricomycotina, Order Agaricales, siendo estos hongos conocidos como setas1. Se mantiene mediante un ciclo de vida complejo que incluye cuerpos fructíferos (setas), basidios, basidiosporas, homo y dicariontes2. En el medio ambiente, se lo encuentra en forma de abanico o laminas en madera en descomposición o troncos de diferentes árboles.
La infección por Schizophyllum commune constituye una micosis oportunista emergente de difícil diagnóstico. En los últimos años ha sido involucrado como causa de sinusitis3, de micosis pulmonar4-5, de absceso cerebral6, otitis7 y queratitis8 en humanos. Principalmente en pacientes inmunosuprimidos pero no exclusivamente9. La presentación más frecuente es la sinusitis y/o enfermedad pulmonar, cuya vía de ingreso sería por inhalación de basidiosporas10.
En perros, ha sido involucrado como agente micótico raro productor de lesiones cutáneas11, osteomielitis12-13, de absceso cerebral14 y de fungemia15. En el caso de los caninos, se hipotetiza que la vía de ingreso puede ser a través de una herida con posterior diseminación del agente o un ingresó por el tracto respiratorio o gastrointestinal, con diseminación hematógena a través de basidiosporas circulantes13. Al igual que en humanos, la infección clínica se produciría tanto en animales inmunosuprimidos como inmunocompetentes11-12.
Hasta la fecha, no han sido descriptos casos en perros de Latinoamérica. El objetivo de este trabajo es describir el primer caso confirmado de osteomielitis diseminada por S. commune en un perro en Argentina, diagnosticado mediante biopsia ósea, histopatología y cultivo micológico identificado por observación morfológica MALDI-TOF y secuenciación.
Caso clínico
Se remitió al servicio de Infectología y Parasitología un paciente canino, hembra castrada, mestiza, de aproximadamente 10 años, proveniente de Tigre, Buenos Aires, Argentina. La paciente presentaba un síndrome febril acompañado de claudicación intermitente y migratoria, con una evolución de dos meses al momento de la consulta. Los tutores relatan que la paciente solo mejoraba cuando se administraban AINES o prednisolona. Durante la exploración clínica se observó tumefacción de los tejidos blandos a la altura de ambos húmeros y fémures. No se evidenció compromiso articular que sugiriera poliartritis. La paciente manifestó dolor a las maniobras de palpación y presentaba una temperatura corporal de 39.5 °C.
Se habían realizado previamente dos análisis de sangre en el servicio de clínica médica, sin detectarse alteraciones en el hemograma ni en la bioquímica sérica. También se descartaron diversas enfermedades transmitidas por vectores mediante técnicas serológicas (Ehrlichiosis, Anaplasmosis, Hepatozoonosis, Dirofilariosis y Leishmaniosis). La paciente no tenía antecedentes recientes ni remotos de presencia de ectoparásitos; sin embargo, había sido adoptada de la vía pública cinco años antes, por lo que se desconocían sus antecedentes médicos.
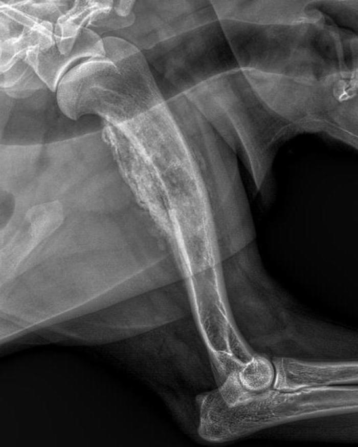
Se realizó un examen radiológico de las extremidades afectadas, en el cual se detectaron lesiones osteolíticas junto con periostitis (Figura 1).


Se descartaron otras enfermedades infecciosas (Bartonellosis y Neosporosis) y enfermedades autoinmunes mediante detección de anticuerpos antinucleares (ANA) y factor reumatoideo.
A pesar de la reticencia de los tutores y debido a la falta de respuesta terapéutica por parte de la paciente, así como a la aparición de una fractura patológica en el fémur, se realizó una biopsia ósea para cultivo bacteriano y micológico, además de un estudio histopatológico.
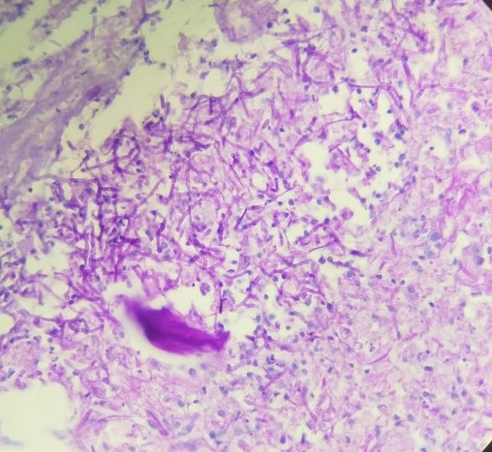
En la histopatología se observó una notable reducción de trabéculas óseas maduras (osteólisis) y mayor depósito de tejido conectivo. En este último se encontraron abundantes células inflamatorias de tipo mononuclear (macrófagos y linfocitos), principalmente. Entre las mismas se evidenciaron con la tinción de PAS estructuras levemente basófilas, de morfología elongada, compatibles con hifas fúngicas (Figura 2).

En el servicio de micología del Hospital Alemán se realizó examen directo y cultivo para hongos. En el cultivo desarrolló, a la semana, un hongo micelial hialino tabicado identificado MALDI-TOF MS como S.commune.
La confirmación se realizó mediante la observación de sus caracteres macro y micro-morfológicos y la secuenciación del ARN ribosomal, realizada en el Departamento Micología del INEI “Dr. C. G. Malbran”. El cultivo no desarrolló completamente los basidiomas característicos, sin embargo la secuenciación permitió confirmar la identificación presuntiva realizada por MALDI-TOF: S. commune.
El cultivo desarrolló los basidiomas característicos que se muestran en las Figuras 3 (ojo desnudo) y 4 (2x) luego de 40 días de incubación a 25°C.

Según diferentes reportes en la bibliografía internacional, la primera línea de tratamiento sería el uso de itraconazol. A pesar deiniciar tratamiento con este antimicótico (10 mg/kg/día PO), debido a la gravedad de las lesiones y la falta de respuesta terapéutica se decidió realizar eutanasia.
Discusión y conclusión
Este es el primer reporte de S.commune como agente causal de osteomielitis en un perro de América Latina.
El animal residía en una casa con espacio abierto y lleno de madera, en una zona de clima húmedo debido a proximidad con un río, lo cual podría haber facilitado la exposición ambiental al hongo. La causa más probable de ingreso del agente fue por inoculación traumática y posterior diseminación hematógena.
A pesar de haberse excluido diferentes enfermedades sistémicas, no se evidenció un estado de inmunosupresión subyacente. Si bien este agente etiológico se describe con mayor prevalencia en caninos inmunocomprometidos, la literatura indica que su presentación no está estrictamente condicionada a una disfunción inmunitaria, pudiendo manifestarse también en animales inmunocompetentes.
Este caso resalta la importancia de considerar infecciones micóticas emergentes en cuadros de osteomielitis atípica. La biopsia ósea es de suma utilidad diagnóstica y no debe retrasarse su implementación. Las muestras que se remiten al laboratorio no solo deben incluir histopatología (agregando tinciones específicas como PAS y Ziehl Neelsen) sino que también cultivo bacteriológico y micológico para poder implementar el tratamiento más adecuado.
Agradecimientos a la Dra. Laura Telesca y Dr. Marcelo Zysmann.
Bibliografia
- Hibbett DS, Binder M, Bischoff JF et al. A higher-level phylogenetic classification of the fungi. Mycol Res 2007; 111: 509–47.
- Palmer, G. E. and Horton, J. Mushrooms by magic: making connections between signal transduction and fruiting body development in the basidiomycete fungus Schizophyllum commune. FEMS Microbiol. 2006. Lett. 262: 1–8.
- Narazaki T, Nakashima Y, Tsukamoto Y, Nishida R, Tsuda M, Muta H, Kimura D, Masuda T, Takamatsu A, Kohashi K, Murakami D, Shiratsuchi M, Ogawa Y. Schizophyllum commune sinusitis after allogeneic bone marrow transplantation for myelodysplastic syndrome: A case report and literature review. Transpl Infect Dis. 2020 Feb;22(1):e13205
- Chowdhary A, Randhawa HS, Gaur SN, Agarwal K, Kathuria S, Roy P, Klaassen CH, Meis JF. Schizophyllum commune as an emerging fungal pathogen: a review and report of two cases. Mycoses. 2013 Jan;56(1):1-10.
- Shen Q, Yao YK, Yang Q, Zhou JY. Schizophyllum commune-induced Pulmonary Mycosis. Chin Med J (Engl). 2016 Sep 5;129(17):2141-2
- Yada Y, Shiraishi A, Ishimura M, Eguchi K, Motomura Y, Kibe Y, Kamei K, Ohga S. Post-transplant Schizophyllum communeabscess in a pediatric patient with chronic granulomatous disease. J Infect Chemother. 2023 Feb;29(2):219-222
- Matos T, Tomazin R, Battelino S. First report of otitis externa caused by Schizophyllum commune and review of the literature. Wien Klin Wochenschr. 2016 May;128(9-10):387-90
- Reddy AK, Ashok R, Majety M, Chitta M, Narayen N. Fungal keratitis due to Schizophyllum commune: an emerging pathogenic fungus. Mycoses. 2016 Dec;59(12):757-759
- Zhang J, Xu G, Shen J, Ye G. Pulmonary infection of Schizophyllum commune diagnosed by metagenomic next- generation sequencing: A case report. Medicine (Baltimore). 2023 Mar 17;102(11):e31465.
- Oliveira MME, Lemos AS, Gonçalves MLC, Almeida-Paes R, Valviesse VRGA, Moreira JA, Lima MASD, Carregal E, Gutierrez Galhardo MC, Lamas CDC, Zancopé Oliveira RM. Fungemia associated with Schizophyllum commune in Brazil. PLoS Negl Trop Dis. 2017 Jun 29;11(6):e0005549
- Kano R, Oomae S, Nakano Y, Minami T, Sukikara M, Nakayama T, Hasegawa A. First report on Schizophyllum communefrom a dog. J Clin Microbiol. 2002 Sep;40(9):3535-7
- Tanaka H, et al, 2008. Basidiomycosis: Schizophyllum commune osteomyelitis in a dog. J Vet Med Sci. Nov;70(11):1257-9
- Mori T, et al, 2009. Mycotic osteomyelitis caused by Schizophyllum commune in a dog. Vet Rec. Sep 19;165(12):350-1.
- Nagashima T, Tsumoto S, Yazawa D, Omura M, Ochiai K, Yoshida K, Sugibayashi K, Machida Y, Suzuki R, Igarashi K, Makimura K, Hara Y, Michishita M. Disseminated granulomatous encephalitis caused by Schizophyllum commune in a dog with severe neurological signs. J Comp Pathol. 2024 Aug;213:73-77
- Go H, Yeon KD, Lee JH, Ahn SY, Nam A. Disseminated fungal infection with Aspergillus versicolor and Schizophyllum commune in a dog. Med Mycol Case Rep. 2022 Oct 4;38:25-29